Vaskuläre Neurochirurgie
Intrakranielle Aneurysmen & Gefäßmissbildungen Diagnostik & Chirurgie an der Neurochirurgischen Universitätsklinik

Vaskuläre Neurochirurgie

Intrakranielle Aneurysmen (Gefäßaussackungen) und Gefässmissbildungen können zu potentiell lebensgefährlichen Zuständen wie Hirnblutungen, Hirninfarkten und Schlaganfällen führen. Auf Grund der zahlreichen Krankheitsbilder gibt es ein weites Spektrum an Symptomen. In manchen Fällen verlaufen sie symptomlos und werden zufällig entdeckt. In der Neurochirurgischen Universitätsklinik Tübingen ist eine ausführliche Diagnostik essentieller Bestandteil zur präzisen Beurteilung. Die Behandlungsstrategie erfolgt in aller Regel interdisziplinär. Häufig werden auch kombinierte Behandlungsstrategien empfohlen.

Kontakt

Sie möchten einen Termin vereinbaren oder haben eine Frage? Wir stehen Ihnen gerne zur Verfügung.

frontend.sr-only_#{element.icon}: Spezialsprechstunde für Schädelbasis- und Vaskuläre Neurochirurgie


frontend.sr-only_#{element.icon}: Sektion Pädiatrische Neurochirurgie


frontend.sr-only_#{element.icon}: Bitte nutzen Sie dazu unser Kontaktformular:


Zum Kontaktformular

Patientenbroschüre

Nützliche Informationen zum Krankheitsbild, den Therapiemöglichkeiten sowie zum Ablauf der Behandlung.

Mehr erfahren

Zahlen und Fakten

Ca. 2%
der erwachsenen Bevölkerung in Mitteleuropa haben ein Aneurysma
2-5% pro Jahr
beträgt das Risiko für eine Blutung bei bekannter Arteriovenöser Gefässmissbildung (AVM).
ca. 0,5%
der Gesamtbevölkerung sind von Cavernomen betroffen, wobei hiervon nur ca. 30% klinisch symptomatisch werden.

Was sind Aneurysmen & Gefäßmissbildungen?

Bei intrakraniellen Gefäßmissbildungen gibt es drei Hauptgruppen: Arteriovenöse Malformationen, Intrakranielle Aneurysmen, Cavernome. Alle drei Krankheitsbilder können zu potentiell lebensgefährlichen Zuständen führen und sollten dann je nach Einzelfallbegutachtung behandelt werden. Als hauptsächliche klinisch symptomatische Krankheitsbilder unterscheidet man die Subarachnoidalblutung und die intrazerebrale Blutung.

Bei Aneurysmen handelt es sich um Gefäßaussackungen, die hauptsächlich an der Aufzweigung von Blutgefäßen auftreten. Man unterscheidet sackförmige (sakkuläre), welche die häufigste Form darstellen, von unregelmäßigen (fusiforme) Aneurysmen. Die Größe der Aneurysmen variiert von einigen Millimetern bis zu mehreren Zentimetern. Ist ein Aneurysma größer als 25mm, spricht man von Riesenaneurysmen. 

Arteriovenöse Malformationen (AVM) sind Gefäßmissbildungen des Gehirns. Es handelt sich um einen Kurzschluss zwischen arteriellen (Hochdrucksystem) und venösen (Niedrigdrucksystem) Gefäßen, welches in einer Nest-förmigen Struktur vorliegt (sog. Nidus). Hiervon zu unterscheiden, jedoch pathophysiologisch ähnlich, sind sogenannte Arterio-venöse (AV-) Fisteln. Hierbei handelt es sich ebenfalls um einen Kurzschluss zwischen Arterie und Vene, wobei es im Gegensatz zur AVM keinen umschriebenen Nidus gibt, jedoch potentiell eine sogenannte Fistelplatte. 

Cavernome sind Beeren-artige kleine Gefäßschwämme, die dem venösen System zuzuordnen sind. Von den drei genannten Krankheitsbildern sind Kavernome auf Grund Ihrer Eigenschaften für Patienten am wenigsten gefährlich, da Cavernomblutungen meist langsam ablaufen und somit häufig keinen schweren Schaden anrichten. Genaue Daten zur Häufigkeit sind schwierig zu erfassen, da Cavernome häufig symptomfrei bleiben. Man geht jedoch davon aus, dass ca. 0,5% der Gesamtbevölkerung betroffen sind, wobei hiervon nur ca. 30% klinisch symptomatisch werden. Die Verteilung zwischen Männern und Frauen ist hierbei ausgeglichen. 

Welche Symptome verursachen Aneurysmen & Gefäßmissbildungen

In den meisten Fällen verursachen Gefäßmissbildungen keine Symptome und werden häufig auch als Zufallsbefund entdeckt. 

Im seltenen Fall einer aktiven Blutung aus einer der genannten Pathologien kann es zu rasch auftretenden Symptomen wie bei einem Schlaganfall kommen. Schwere Verläufe einer derartigen Blutung wie beispielsweise die Ruptur eines Aneurysmas (Subarachnoidalblutung) können auch zu einem raschen Bewusstseinsverlust führen und bedürfen sofortiger ärztlicher Hilfe.

Hirnblutungen

Die Hauptursache für das Auftreten einer Subarachnoidalblutung (SAB) sind zerebrale Aneurysmen (70%). Arteriovenöse Malformationen verursachen in 6% eine SAB. In etwa 15-20% der Fälle lassen sich keine eindeutigen Ursachen für eine Blutungsquelle nach Subarachnoidalblutung finden.

Die Schwere der Symptome hängt zumeist vom Ausmaß der Blutung ab. Das häufigste Symptom ist der Vernichtungskopfschmerz, der oft plötzlich aus völliger Gesundheit heraus auftritt. Daran kann sich ein längeres Intervall von Bewusstseinstrübung bis hin zur Bewusstlosigkeit anschließen. Auf Grund der intrakraniellen Druckerhöhung kommt es häufig zu Übelkeit und Erbrechen. Gelegentlich ist der Kopfschmerz nur mild und kann wiederholt und mehrfach auftreten. In diesem Fall kann es sich manchmal um eine kleinere “Warnblutung” handeln (warning leak), die vor einer schweren SAB auftritt.

Für die klinische Einteilung der Schwere einer SAB hat sich die Graduierung nach Hunt und Hess bewährt. Diese Skala besteht aus 5 Stufen, wobei bei Grad I der Patient wach und orientiert ist, während er bei Grad V tief komatös erscheint. Diese Skala ist hilfreich bei der prognostischen Einschätzung von Patienten, wobei die Patienten mit Grad I und II das beste klinische Outcome zeigen. 

Die Ursache für eine intrazerebrale (im Gehirn befindliche) Blutung ist in den meisten Fällen ein vorliegender Bluthochdruck. Die Lokalisation dieser Blutungen ist dann typischerweise die Region der Stammganglien. Intrazerebrale Blutungen können aber auch durch Therapie mit Antikoagulantien wie Marcumar oder ASS hervorgerufen werden. Arteriovenöse Malformationen oder Aneurysmen können ebenfalls zu intrazerebralen Blutungen führen.

Intrazerebrale Hämatome haben innerhalb des Gehirns einen raumfordernden Effekt und können bei entsprechender Größe und Lokalisation zu erheblichen klinischen Ausfällen bis hin zur Lebensgefahr führen.

Klinisch werden die Blutungen oft durch plötzliche Kopfschmerzen, gefolgt von einer Bewusstseinsminderung, manifest. Meist kommt es jedoch zu einer graduellen Verschlechterung der Bewusstseinslage über 24 – 48 Stunden. Zusätzlich kommt es bei den Patienten oft zum Auftreten einer Halbseitenlähmung oder Gefühlsstörung einer Körperhälfte. Ist es zu einer Blutung im Kleinhirn gekommen, haben die Patienten oft Schwindel, Artikulationsstörungen und Gangstörungen.

Häufigkeit von Symptomen

40 - 60%
der Gefäßmissbildungen des Gehirnes werden klinisch durch eine Blutung auffällig.
Mit 70%
sind zerebrale Aneurysmen die Hauptursache für das Auftreten einer Subarachnoidalblutung (SAB).
30 %
Epileptische Anfälle bei Cavernomen

Ursachen und Risiken von Aneurysmen & Gefäßmissbildungen

Die Ursache für die Entstehung von Aneurysmen ist multifaktoriell. Aufgrund von angeborenen oder durch äußere Einflüsse bedingte Defekte in der Gefäßwand kann es zur Entstehung von Aneurysmen kommen. Ein erhöhter Blutdruck, sowie starkes Rauchen können ebenfalls bei der Entstehung von Aneurysmen beteiligt sein.

AVMs können angeboren sein oder sich auch im Laufe des Lebens erst entwickeln. Falls es zu einer Blutung oder zu einem epileptischen Anfall kommt, gelten diese als symptomatisch. Etwa 40 -60% der Patienten mit AVMs werden klinisch durch eine Blutung auffällig. Insbesondere sind jüngere Patienten betroffen. Das Risiko für eine Blutung bei bekannter AVM beträgt etwa 2-5% pro Jahr.

Das größte von Cavernomen ausgehende Risiko ist die Einblutung in sich selbst und in umliegendes Hirngewebe. Besonders von Hirnstamm-nahen Lokalisationen geht eine erhöhte Gefahr aus, da sich hier lebenswichtige “Knotenpunkte” des zentralen Nervensystems auf engstem Raum befinden. Eine mögliche Einblutung eines Cavernoms an einer nicht eloquenten Stelle (z.B. im rechten Stirnlappen) kann hingegen sogar komplett asymptomatisch ablaufen. 

Wie werden Aneurysmen & Gefäßmissbildungen diagnostiziert?

Neben der hochauflösenden MRT und CT-Bildgebung ist die konventionelle Angiographie (Katheteruntersuchung) eine sehr wichtige Untersuchungsmethode. Nach Komplettierung der Diagnostik wird die Behandlungsstrategie stets interdisziplinär festgelegt.

Bei Verdacht auf ein Cavernom ist die Kernspintomographie das diagnostische Mittel der Wahl. Die Durchführung einer konventionellen Angiographie ist hier in aller Regel nicht notwendig.

Als schnellste und sicherste Maßnahme gilt das craniale Computertomogramm (CCT). Hier lässt sich eine frische SAB meist zuverlässig darstellen, wobei auch bereits richtungsweisende Befunde, wie das Ausmaß der Blutung und eine eventuelle Lokalisation eines möglichen Aneurysmas bestimmt werden können. Darüber hinaus kann ein Angio-CCT, bei dem zusätzlich Kontrastmittel verabreicht wird und dann die intrazerebralen Blutgefäße gesondert rekonstruiert und dargestellt werden, weitere Informationen liefern. Der sogenannte “Goldstandard” zur Diagnose zerebraler Gefäßmissbildungen ist jedoch die zerebrale Angiographie. Dabei wird mit Hilfe eines speziellen Katheters über die Leisten- oder Armarterie Kontrastmittel gegeben und die zerebralen Blutgefäße hoch selektiv dargestellt. Sollten sich auf dem initialen CCT Zeichen des Hirnwasseraufstaus zeigen, der durch ein Verstopfen der Abflusskanäle durch das neu aufgetretene Blut bedingt ist, ist oft die Anlage einer Hirnwasserableitung nach außen notwendig (externe Ventrikeldrainage).

Neben möglichen Komplikationen des Nervenwasseraufstaus und der Blutung selbst, kommt es häufig ca. 5-14 Tage nach der Blutung zum Auftreten von mehreren Tagen dauernden Gefäßspasmen. Die dadurch bedingten Gefäßengstellungen können die cerebrale Durchblutung so stark vermindern, dass es zu Hirninfarkten kommen kann. Um diese Spasmen frühzeitig zu erkennen wird im Rahmen des Aufenthaltes auf der Intensivstation die cerebrale Durchblutung mit Hilfe von Ultraschall, Mikrodialyse und dem Einsatz der CT Bildgebung engmaschig überwacht. Falls Spasmen diagnostiziert wurden, müssen diese durch die systemische und/oder lokale (über einen Angiographiekatheter) Medikamente gelöst werden, um Schlaganfällen vorzubeugen. 

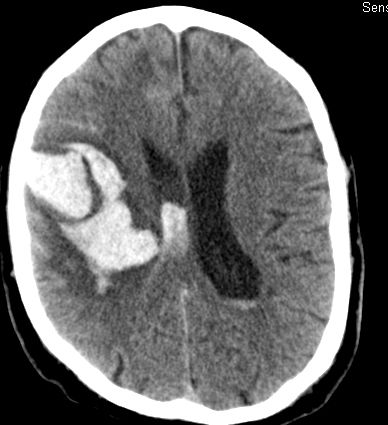
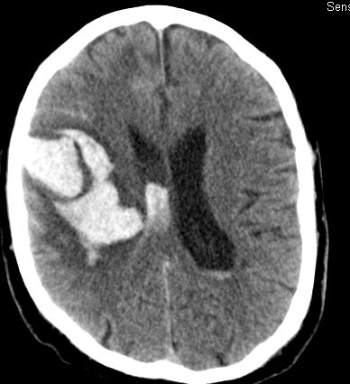
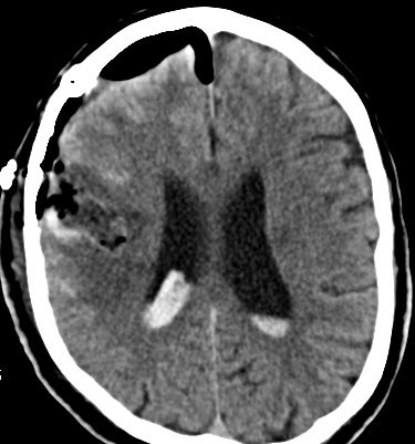
CT Bildgebung der klassischen subarachnoidalen Blutverteilung nach SAB
3D Darstellung eines Aneurysmas
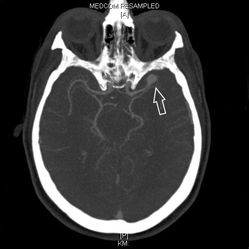
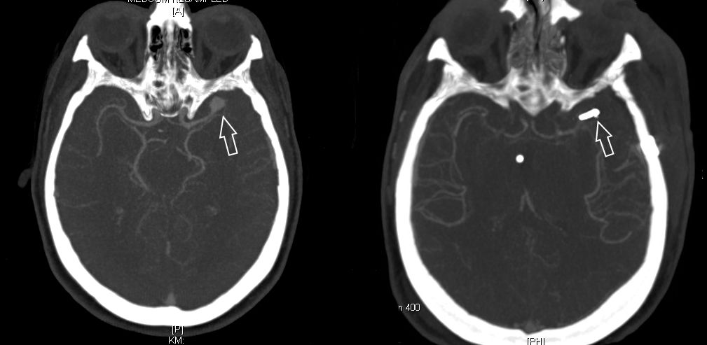
CT-Angiographie eines gebluteten Aneurysmas

Als diagnostische Maßnahme wird in der Regel ein craniales Computertomogramm (CCT) durchgeführt. Intrazerebrale Blutungen lassen sich mit dieser Methode sicher diagnostizieren. 

Je nach Lokalisation und Ausdehnung der Blutung und in Abhängigkeit vom klinischen Zustand des Patienten muss entschieden werden, ob eine chirurgische Intervention notwendig ist. In diesem Falle wird über eine Eröffnung der Schädeldecke die Blutung in mikrochirurgischer Technik entfernt. 

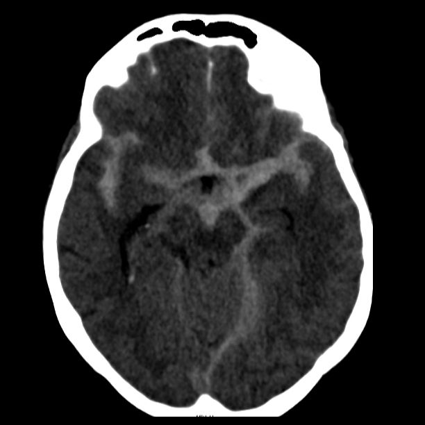
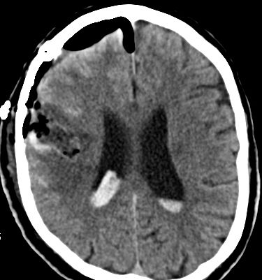
Bild einer intracerebralen Blutung nach OP.
Bild einer intracerebralen Blutung vor OP.
Bild einer intracerebralen Blutung nach OP.
Bild einer intracerebralen Blutung nach OP.

Wie werden Aneurysmen & Gefäßmissbildungen behandelt?


Nach Komplettierung der Diagnostik wird die Behandlungsstrategie stets interdisziplinär festgelegt. Je nach Krankheitsbild gibt es die Option der mikrochirurgischen (Operation), neuroradiologischen (Katheterintervention) oder selten auch strahlentherapeutischen (Bestrahlung) Behandlung (bei AVMs).

Die chirurgische Behandlung besteht in der Ausklippung des Aneurysmas. Dabei wird in mikrochirurgischer Technik ein kleiner Metallklipp aus Titan auf den Hals des Aneurysmas gesetzt und das Aneurysma so verschlossen. Eine erneute Blutung aus diesem Aneurysma ist damit nicht mehr möglich. Es gibt eine ganze Reihe unterschiedlicher Clips, die je nach Aneurysmaform und Lokalisation angewendet werden. Eine Clippingoperation wird minimalinvasiv unter dem Mikroskop durchführt, diese Operation dauert ca. 2-3 Stunden, je nach Größe und Lokalisation des Aneurysmas.

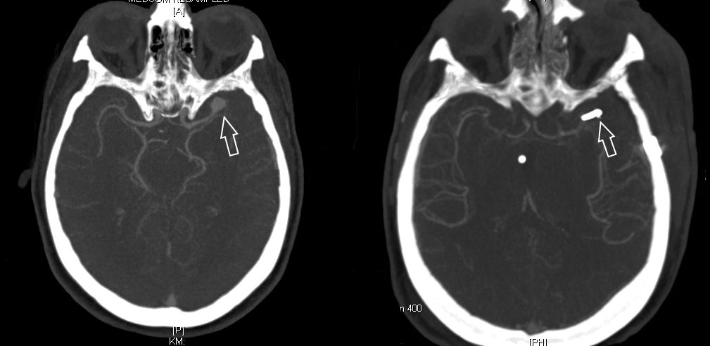
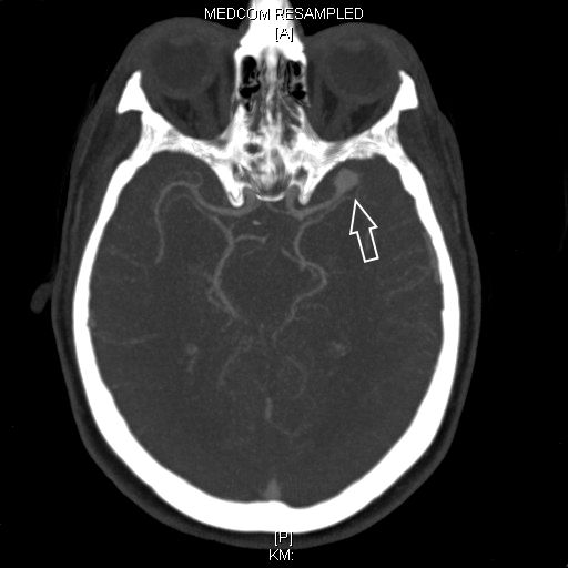
CT Angiographie eines Aneurysmas
CT Angiographie eines Aneurysmas vor und nach mikrochirurgischem Clipping
Intraoperatives Bild eines Aneurysmas
Intraoperatives Bild eines Aneurysmas vor (links) und nach (Mitte) dem Clipping. Rechts sieht man in der ICG Angiographie die vollständige Ausschaltung des Aneurysmas.

Bei der interventionellen Behandlung wird ein Mikrokatheter in das Aneurysma vorgeschoben und das Aneurysma von innen mit feinen Platindrähten aufgefüllt (Coiling des Aneurysmas). Dadurch kommt es zu einer Koagelbildung und Verklebung innerhalb des Aneurysmas. Dadurch, dass eine Operation nicht notwendig ist und auch Aneurysmen in schwieriger Lokalisation erfolgreich gecoilt werden können, hat sich eine wertvolle alternative Methode in der Behandlung der Aneurysmen etabliert. Wenn jedoch der Hals des Aneurysmas sehr weit ist, oder anatomisch schwierige Gefäßverhältnisse vorliegen die eine Sondierung der Gefäße erschweren, stellt die Operation die einzige Behandlungsmöglichkeit dar. Heutzutage gibt es ergänzende interventionelle Therapieverfahren, wie bspw. sogenannte „Web-Devices“, welche man ebenfalls im Aneurysma platziert und es zu einer Thrombosierung kommt, oder auch Flow-Divertern bei denen die Stent-ähnliche Struktur zu einer Umstellung des Blutflusses im Aneurysma und dann auch der Thrombosierung führt.

Angiographiesche Darstellung eines Aneurysmas
Angiographiesche Darstellung eines Aneurysmas vor (links) und nach (rechts) dem Coiling

Zur Behandlung von arterio-venösen Malformationen stehen sowohl chirurgische, interventionelle, sowie auch kombinierte Therapieoptionen zur Verfügung. Bei der chirurgischen Therapie muss man mikrochirurgisch unter dem OP Mikroskop die gesamte AVM von den arteriellen Zuflüssen befreien, bevor man diese dann in toto entfernen kann. Bei der interventionellen Behandlung versucht man den Zufluss zur AVM zu reduzieren oder ganz zu verschließen indem man zumeist einen speziellen Flüssigklebstoff in die AVM appliziert. Hierbei muss stets darauf geachtet werden, dass die venöse Drainage bis zum Ende erhalten bleibt, da es sonst zu einer Einblutung kommen kann. Im Falle einer kombinierten Behandlung erfolgt häufig eine Teilembolisation der AVM in einem ersten Schritt, bevor dann im Anschluss chirurgisch die gesamte AVM entfernt wird. 

Häufig werden auch kombinierte Behandlungsstrategien empfohlen. Versorgungsqualität auf höchstem Niveau wird durch das interdisziplinäre zertifizierte Neurovaskuläre Zentrum Tübingen (ZNET) sichergestellt. In der Notfallsituation entscheiden die zuständigen Ärzte die bestmögliche Behandlungsstrategie und führen diese durch. Bei der elektiven Behandlung von Gefäßmissbildungen steht die ausführliche Beratung der Patientinnen und Patienten im Mittelpunkt, so dass diese bei Bestehen verschiedener Optionen selbst die Behandlungsform mitentscheiden können.

Angiographische Darstellung einer AVM
Angiographische Darstellung einer AVM vor dem Therapiebeginn (links), nach erfolgreicher Teilembolisation (Mitte) und nach vollständiger mikrochirurgischer Resektion (rechts)

Ihre Behandlung an der Universitätsklinik für Neurochirurgie Tübingen

Portraitfoto

Wir begleiten Sie mit unserer Expertise

Unter ständiger Expansion gehören wir mit weit über 3000 operativen Eingriffen pro Jahr zu den größten Kliniken Deutschlands. In fünf Operationssälen mit modernster technologischer Ausstattung, werden alle Eingriffe von einem erfahrenen Team durchgeführt. In unseren Spezialsprechstunden finden Sie kompetente Ansprechpersonen für Therapie und Nachsorge.

Univ. Prof. Dr. Marcos Tatagiba,
Ärztlicher Direktor der Klinik für Neurochirurgie

Schwerpunkt Vaskuläre Neurochirurgie mit Spezialsprechstunde

Wir bieten Versorgungsqualität auf höchstem Niveau durch das interdisziplinäre zertifizierte Neurovaskuläre Zentrum Tübingen (ZNET). Unsere spezialisierte bildgebende Diagnostik erfolgt interdisziplinär in enger Zusammenarbeit mit der Radiologischen Universitätsklinik.

Mehr zum Schwerpunkt Vaskuläre Neurochirurgie