Hydrozephalus Diagnostik und Therapie an der Neurochirurgischen Universitätsklinik

Vaskuläre Neurochirurgie

Eine Vielzahl von Erkrankungen kann zu einer Erweiterung der Hirnkammern und einem Krankheitsbild führen, welches als Hydrozephalus oder im Volksmund auch als Wasserkopf bezeichnet wird. Dabei sammelt sich im Verhältnis zur vorhanden Gehirnmasse zuviel Hirnwasser (Liquor cerebrospinalis) im Schädelinnenraum an. Die zusätzliche Flüssigkeit verursacht einen vergrößerten Kopf, Entwicklungsstörungen und kann sich durch Kopfschmerzen, Erbrechen, Sehstörungen, Bewusstseinstrübungen äußern. Die Ansammlung von Hirnwasser wird in der Regel mit einem bildgebenden Untersuchungsverfahren wie der Computertomographie oder der Kernspintomographie diagnostiziert. Ziel der Hydrozephalusbehandlung ist immer die Wiederherstellung des normalen Liquorflusses oder die Schaffung eines alternativen Abflusses, z.B. mittels eines eines Hirnwasser-Shunts oder Endoskopischer Ventrikulostomie.

Kontakt

Sie möchten einen Termin vereinbaren oder haben eine Frage? Wir stehen Ihnen gerne zur Verfügung.

frontend.sr-only_#{element.icon}: Hydrocephalus-Sprechstunde


frontend.sr-only_#{element.icon}: Sektion Pädiatrische Neurochirurgie


frontend.sr-only_#{element.icon}: Bitte nutzen Sie dazu unser Kontaktformular:


Zum Kontaktformular

Patientenbroschüre

Nützliche Informationen zum Krankheitsbild, den Therapiemöglichkeiten sowie zum Ablauf der Behandlung.

Mehr erfahren

Zahlen und Fakten

1 von 1000
Babys kommt mit einem Hydrocephalus zur Welt. Ein Hydrozephalus kann angeboren oder erworben sein.
ca. 60%
aller Fälle zeigen einen obstruktiven Hydrozephalus, dabei staut sich das Hirnwasser an einer Engstelle.
60 Plus
Der Normaldruck-Hydrocephalus ist typischerweise eine Erkrankung des alternden Gehirnes bei Patienten jenseits der 60 Jahre, oft jenseits der 70.

Was ist ein Hydrocephalus?

Kommt es zu einer – im Verhältnis zur vorhandenen Gehirnmasse relativ zu starken – Erweiterung der inneren Hirnkammern (Ventrikel) und sammelt sich z.B. durch eine Störung der Produktion oder Abflussstörungen der Hirnflüssigkeit dadurch relativ zu viel Hirnwasser (Liquor cerebrospinalis), im Schädelinnenraum an, kann ein Hydrozephalus entstehen. Die Hirnflüssigkeit in den Ventrikeln verdrängt dabei die feste Gehirnsubstanz. Dadurch kommt es zu einem starken Anstieg des Drucks im Gehirn. Bei Säuglingen, deren Schädel noch nicht ausgewachsen ist, kann sich der Schädel durch den größeren Druck im Gehirn vergrößern und den Druck so teilweise ausgleichen.

Je nachdem, wie und wodurch der Hydrocephalus entstanden ist, unterscheidet man verschiedene Formen. Während bei einem obstruktiven, nicht-kommunizierenden Hydrozephalus der Liquorfluss behindert ist, entstehen Formen des kommunizierenden Hydrozephalus durch ein Missverhältnis zwischen Produktion und Resorption des Liquors. Eine Sonderform ist dabei der sogenannte Normaldruckhydrozephalus (NPH), der meist einen schleichenden Verlauf nimmt und erst in höherem Lebensalter symptomatisch wird. 

Ein Hydrocephalus kann angeboren oder erworben sein. Der sekundäre, erworbene Hydrocephalus tritt infolge von Erkrankungen auf, die zu einer Störung der Hirnwasserzirkulation innerhalb, beim Ausfluß aus der 4. Hirnkammern oder ausserhalb der Hirnkammern führt, (Hydrocephalus occlusus) welches die weitaus häufigste Form des sekundären Hydrocephalus ist. 


Welche Symptome verursacht ein Hydrocephalus?

Bei einem akuten Hydrocephalus kommt es zu einem raschen Nervenwasseraufstau mit Kopfschmerzen, Übelkeit, Erbrechen, Schwindel und Bewusstseinsstörungen.

Ist der Hydrocephalus sekundär, richten sich Zeitpunkt und Art des Auftretens nach der Geschwindigkeit der Ansammlung des überschüssigen Hirnwassers. Veränderungen des Verhaltens und der Persönlichkeit wie z.B. Teilnahmslosigkeit, Desinteresse und Gleichgültigkeit aber auch Konzentrationsstörungen und Verwirrtheitszustände können die ersten Symptome darstellen. Kopfschmerzen sind ein häufiges aber unspezifisches Symptom des sekundären Hydrocephalus, da diese bei einer Vielzahl von Erkrankungen als Begleitsymptom auftreten können. Kopfschmerzen infolge eines erhöhten Hirndruckes treten aber häufig am frühen Morgen auf und sind nicht selten mit Übelkeit und Erbrechen vergesellschaftet. Mit Zunahme des Hydrocephalus können dann Störungen des Mittelhirns und des Hirnstammes auftreten, die über eine zunehmende Schläfrigkeit und Lethargie bis zum Bewusstseinsverlust und Tode führen können.

Als Sonderfall imponieren beim chronisch entstehenden Normaldruckhydrocephalus drei Symptome: Gangstörungen, Kurzzeitgedächtnisstörungen (Demenz) und Harninkontinenz. Bei der idiopathischen intrakraniellen Hypertension bestehen neben starken Kopfschmerzen noch zusätzlich Sehstörungen, welche unbehandelt mittelfristig zur Erblindung führen können.

Bei Kleinkindern und Säuglingen kann ein gestörtes Ess- oder Trinkverhalten oder vermehrtes Schreien auf einen Hydrocephalus hindeuten. Innerhalb der ersten zwei Lebensjahren kann es außerdem zu einem verstärkten Kopfwachstum kommen, da die Schädelnähte noch nicht verknöchert sind.

Ursachen und Risiken des Hydrocephalus

Angeborener Hydrocephalus

Ein Hydrocephalus kann angeboren sein, ursächlich sind dabei in der Regel Entwicklungsstörungen, die z.B. zu angeborenen Rückenmarksfehlbildungen wie Spina bifida, Neuralrohrdefekten oder zu einer Fehlentwicklung der Hirnstrukturen wie bei der Chiari-Malformation oder dem Dandy-Walker-Syndrom führen. 

Erworbener oder sekundärer Hydrocephalus

Daneben kann eine Vielzahl von Erkrankungen kann zu einer Erweiterung der Hirnkammern und dem Krankheitsbild des Hydocephalus führen.  Lässt sich eine Obstruktion der Hirnwasserwege auf CT oder besser auf MRT-Bildern klar erkennen, ist die Ursache verständlich. 

Ursachen für Zirkulationsstörungen des Hirnwassers in den Hirnwasserkammern (ventrikel):

  • Hirntumore und Zysten (z.B. Ependymome, Astrozytome, Medulloblastome)
  • Lokale Blutungen (z.B. Blutung ins Hirngewebe und in die Hirnwasserkammern)
  • Schädelhirntrauma

Der lokale Verschluss der Hirnwasserwege führt zu einem Aufstau des Hirnwassers vor dem Abflusshindernis mit Aufweitung der Kammern. Dies kann einerseits durch einen direkten Verschluss der Hirnwasserwege durch z.B. Hirntumoren oder Blutkoagel verursacht werden. Anderseits können auch nicht unmittelbar benachbarte Prozesse wie z.B. Hirnblutungen oder nach Trauma aufgetretene Schwellungen des Hirngewebes eine Verlagerung von Hirnstrukturen herbeiführen, die indirekt zur Kompression und Verschluss der Hirnwasserwege führen.

Ursachen für zirkulationsstörungen des hirnwassers ausserhalb der hirnwasserkammern (ventrikel):

  • Diffuse Blutungen (Blutung in den Subarachnoidalraum, SAB)
  • Meningitis (Entzündungen der Hirnhaut)
  • diffuse Tumoraussaht in den Subarachnoidalraum (Meningeosis carcinomatosa)

Blutungen aus Aneurysmen (krankhaft veränderte Gefäßaussackungen) verteilen sich im Subarachnoidalraum (Raum zwischen der Hirnhaut und dem Hirngewebe, in dem die Gefäße verlaufen), können ebenso wie Entzündungen des Hirngewebes /der Hirnhaut und diffuse Tumoraussaht zu einer Entzündungsreaktionen in den Subarachnoidalräumen führen. Die daraus folgende Verklebung behindert / unterbindet den normalen Hirnwasserkreislauf und die normale Hirnwasserdynamik in diesem sehr wichtigen Kompartiment und führt damit auch zu einem Hirnwasseraufstau.

Beim kommunizierenden Hydrozephalus, wie zum Beispiel beim Normal-Druck-Hydrozephalus, ist kein Kommunikationshindernis offensichtlich und die Entstehung weiterhin unklar. Eine Störung der Liquorpulsation scheint jedoch ein wichtiger Faktor im Entstehungsmechanismus zu sein.

Theoretischer Hintergrund

Das klassische Vorstellungsmodell über die Liquorzirkulation geht von einem einfachen Hirnwasserkreislauf aus, der mit der Liquorproduktion im Plexus choroideus beginnt, sich über die Liquorzirkulation durch die Hirnkammern und die äußeren Liquorräume fortsetzt und am Rückresorptionsort, den Pacchioni’schen Granulationen, endet. Nach dieser einfachen Vorstellung entsteht ein Hydrozephalus dann, wenn entweder zu viel Hirnwasser produziert wird, der Fluss von Hirnwasser innerhalb der inneren Liquorräume oder im Ausflussbereich am 4. Ventrikel blockiert wird oder die Rückresorption im Bereich der Pacchioni’schen Granulationen gestört ist. Abgesehen von den nicht allgemeinhin akzeptierten Mechanismen der Liquorrückresorption greift dieses einfache Modell für eine große Zahl von Hydrozephaluspatienten zu kurz. Das Verständnis der krankhaften Mechanismen, aufgrund derer es zur Ausbildung des Hydrozephalus kommt, ist nur für bestimmte Formen des Hydrozephalus vorhanden, für andere Formen wiederum, wie zum Beispiel für den chronischen Erwachsenen-Hydrozephalus (oder Normaldruckhydrozephalus = NPH), existieren nur Hypothesen, die mehr oder weniger allgemeine Akzeptanz haben. 

Was sind innere und äussere Liquorräume?

Im Gehirn befinden sich vier Hirnkammern, die sogenannten „inneren Liquorräume“. Die beiden großen Hirnkammern, die Seitenventrikel, liegen symmetrisch innerhalb des Großhirns zentral angeordnet und dehnen sich, im Stirnhirnbereich (Frontallappen) beginnend oberhalb und seitlich der so genannten Stammganglien nach hinten in den Hinterhauptsbereich (Okzipitallappen) aus und setzen sich mit dem sogenannten Temporalhorn wieder im Halbkreis nach vorne in den Schläfenhirnlappen hinein fort. Unterhalb der Seitenventrikel und zentral mittig im Gehirn, vorne vom Sehnerven begrenzt und seitlich vom Hypothalamus und Thalamus begrenzt, liegt die 3. Hirnkammer (3. Ventrikel), der mit den Seitenventrikeln über je ein Verbindungsloch, das Foramen Monroi, verbunden ist. Durch einen dünnen Gang, den Aquäduct (Aquaeductus cerebri), der durch das Mittelhirn führt, ist der 3. Ventrikel mit der 4. Hirnkammer (4.Ventrikel) verbunden. Dieser liegt im unteren Hinterkopfbereich und ist von vorne durch den Hirnstamm und von seitlich und hinten durch das Kleinhirn begrenzt. Drei Ausflussöffnungen aus dem 4. Ventrikel (Foramen Luschkae rechts und links, sowie Foramen Magendii mittig hinten) verbinden den 4. Ventrikel mit den das Gehirn umgebenden Hirnwasserräumen, den sogenannten „äußeren Liquorräumen“. Der Liquor fließt aus dem 4. Ventrikel in die Kleinhirnbrückenwinkelzisterne beiderseits über die Foramen Luschkae bzw. in die große Hinterhauptszisterne (Cisterna magna) am Übergang vom Hirnschädel zum Rückenmarkskanal über das Foramen Magendii. Die äußeren Liquorräume umfassen den Subarachnoidalraum über der Hirnoberfläche, die basalen Zisternen im Bereich der Schädelbasis und der gesamte Liquorraum des Spinalkanals im Inneren der Wirbelsäule.

Im Bereich der Seitenventrikel befindet sich der so genannte Plexus choroideus, eine zottenartige Struktur, der durch das Foramen Monroi ins Dach des 3. Ventrikels zieht. Ein weiterer Plexus choroideus befindet sich im unteren Bereich des 4. Ventrikels. Der Plexus choroideus produziert den größten Teil des Liquor cerebrospinalis in einem Filtrationsprozess, der durch den Druckgradienten zwischen arteriellem Druck und Druck im Liquorraum angetrieben wird. Die Liquorproduktionsrate ist unterschiedlich und kann nicht direkt gemessen werden. Indirekte Verfahren lassen annehmen, dass die Liquorproduktionsrate zwischen 0,1 und 0,3 ml pro Minute beträgt. Sie ist von Individuum zu Individuum stark schwankend und wahrscheinlich altersabhängig auch abnehmend. Im Regelfall kann der Mensch den innerhalb der Hirnkammern produzierten Liquor cerebrospinalis unter normalen Druckbedingungen nicht wieder vollständig über die innere Oberfläche der Hirnkammern ins Gehirngewebe zurück resorbieren, so dass ein gewisser Nettofluss von Hirnwasser aus den Seitenventrikeln über den 3.Ventrikel durch den Aquädukt in den 4. Ventrikel und von dort in die äußeren Liquorräume existiert. Die Rückresorption dieses austretenden Hirnwassers findet dann aus den äußeren Liquorräumen statt.

Wie zirkuliert der Liquor?

Klassischerweise wurde in den vergangenen hundert Jahren als wesentlicher Ort der Liquorrückresorption die so genannten Pacchioni’schen Granulationen entlang des Sinus sagittalis angenommen, in deren Zentrum die sogenannten arachnoidalen Villi stehen. Bereits im Jahr 1913 wurde dieser Ansicht jedoch schon widersprochen und ein ubiquitärer, also überall stattfindender Rückresorptionsmechanismus postuliert. Hierfür spricht, dass Menschen ohne arachnoidale Villi und ohne Pacchioni’sche Granulationen geboren werden und sich diese erst zwischen dem 2. und 7. Lebensjahr ausbilden, ohne dass Neugeborene oder Kinder einen Hydrozephalus erleiden. Sicher bekannte Orte für eine Liquorrückresorption sind die arachnoidalen Umscheidungen der Spinalnerven, des Riech- und des Sehnerven, von hier erfolgt eine Rückresorption in das lymphatische System. Auch ist eine Rückresorption über das Hirngewebe in die venöse Seite des Blutgefäßsystems anzunehmen. Es ist sehr wahrscheinlich, dass die Rückresorptionsfähigkeit des menschlichen Gehirns für Liquor cerebrospinalis um ein Vielfaches über der Liquorproduktionsrate liegt und nur sehr selten ein limitierender Faktor ist.

Das klassische Vorstellungsmodell über die Liquorzirkulation geht von einem einfachen Hirnwasserkreislauf aus, der mit der Liquorproduktion im Plexus choroideus beginnt, sich über die Liquorzirkulation durch die Hirnkammern und die äußeren Liquorräume fortsetzt und am Rückresorptionsort, den Pacchioni’schen Granulationen, endet. Nach dieser einfachen Vorstellung entsteht ein Hydrozephalus dann, wenn entweder zu viel Hirnwasser produziert wird, der Fluss von Hirnwasser innerhalb der inneren Liquorräume oder im Ausflussbereich am 4. Ventrikel blockiert wird oder die Rückresorption im Bereich der Pacchioni’schen Granulationen gestört ist. Abgesehen von den nicht allgemeinhin akzeptierten Mechanismen der Liquorrückresorption greift dieses einfache Modell für eine große Zahl von Hydrozephaluspatienten zu kurz. 

Seit den Versuchen von Dandy und Blackfan im Jahre 1913 spricht man von kommunizierendem und nicht-kommunizierendem Hydrozephalus. Die ursprüngliche Definition betrifft die Feststellung, ob ein Farbstoff, der in die Hirnkammern eingegeben wurde, auch im Rückenmarkskanal ankommt. Im positiven Falle spricht man von einem kommunizierenden Hydrozephalus, also einer freien Kommunikation zwischen den inneren Hirnkammern und dem Spinalkanal. Ein nicht kommunizierender Hydrozephalus bedeutet somit einen Verschluss der Hirnwasserwege zwischen Hirnkammern und Spinalkanal. Im Jahre 1949 wurde durch Dorothee Russell die Begriffe des obstruktiven und nicht-obstruktiven Hydrozephalus definiert, wobei mit obstruktiv jede Form der Flussbehinderung von Liquor, in den inneren und in den äußeren Liquorräumen, definiert wird, und als nicht-obstruktiv lediglich eine Behinderung der Liquorrückresorption definiert ist.

Obstruktiver / nicht-kommunizierender Hydrozephalus

Im Alltagsgebrauch werden diese Begriffe jedoch leider nicht in der ursprünglichen Definition verwendet. Man spricht allgemein von einem obstruktiven oder nicht-kommunizierenden Hydrozephalus, wenn mittels MRT oder CT eine Flussbehinderung in den inneren Liquorräumen oder am Ausfluss vom 4. Ventrikel erkannt werden kann. Klassische Beispiele sind Tumoren oder Zysten (wassergefüllte Blasen), die die Liquorpassage im Bereich der Verbindungsöffnungen, des 3 Ventrikels, des Aquäduktes oder des 4. Ventrikels blockieren. Es kommt dann zum Aufstau von Hirnwasser in den inneren Hirnkammern (da ja dort nicht aller Liquor rückresorbiert werden kann) und nachfolgend des Druckanstieges zu einer Erweiterung der Hirnkammern. Diese Formen von Hydrozephalus lassen sich noch am einfachsten verstehen und idealer weise durch eine Entfernung des Flusshindernisses behandeln oder auch durch eine innere Umleitung, indem z.B. eine künstliche Ausflussöffnung am Boden des 3. Ventrikels in die äußeren Liquorräume geschaffen wird (sogenannte Ventrikulozisternostomie), und damit der Aufstau von Liquor durch einen wiederhergestellten Ausfluss behoben wird.

Nicht obstruktiver oder kommunizierende Hydrozephalus

Für einen großen Teil der Hydrozephaluspatienten lässt eine einfach CT- oder Kernspinuntersuchung jedoch keine Flussbehinderung im Bereich der inneren Liquorräume erkennen. Dies betrifft insbesondere den chronischen Erwachsenenhydrozephalus oder auch so genannten Normaldruckhydrozephalus (NPH = normal pressure hydrocephalus (englisch)). Dieser wird, da keine offensichtliche Flussbehinderung zu erkennen ist, deswegen allgemein als kommunizierender Hydrozephalus bezeichnet. Das gängige Erklärungsmodell ist, dass es zu einer Störung der Rückresorption von Liquor kommt, ohne dass die Mechanismen dieser gestörten Rückresorption weiter bekannt wären. Nicht einsichtig ist, wie es dann bei einer freien Kommunikation und damit fehlenden Druckgradienten zwischen inneren und äußeren Liquorräumen zu einer Erweiterung der inneren Liquorräume und einer Verschmälerung der äußeren Liquorräume, insbesondere oberhalb des Gehirns und entlang der sogenannten Pacchioni’schen Granulationen, kommt. Insbesondere, wenn die Rückresorption tatsächlich über die Pacchioni’schen Granulationen erfolgen würde und dieser Rückresorptionsmechanismus dort gestört wäre, müsste es zuallererst zu einer Erweiterung der äußeren Liquorräume im Bereich dieses Staus kommen und nicht zu einer Verschmälerung derselben, wie bei typischen Normaldruckhydrozephalus zu beobachten ist.


Das klassische Liquorzirkulationsmodell (sogenannte bulk-flow-Theorie) erklärt also nicht die Entstehungsgeschichte des chronischen Erwachsenenhydrozephalus (NPH) und ebenso wenig bestimmte Formen des kindlichen Hydrozephalus. Einen neuen Erklärungsansatz bietet die hydrodynamische Theorie, die auf Beobachtungen der Pulsation von Liquor und arteriellem und venösem Blut beruht, wie sie in speziellen kernspintomographischen Darstellungen sichtbar gemacht werden können.

Das Herz erzeugt in den Schlagadern (Arterien) keinen gleichförmigen, sondern einen pulsartig an- und abschwellenden Blutstrom: Die Pulsatilität des zufließenden arteriellen Blutes wird im Hirninnenraum über mehrere Mechanismen zu einem gleichförmigen Blutstrom in der Endstrecke des Gefäßbettes im Gehirn umgewandelt. Wichtig für eine Abschwächung der Pulsatilität des arteriellen Blutstromes ist der so genannte Windkesseleffekt, der im Bereich der äußeren Liquorräume zu einer Übertragung des arteriellen Pulses auf den Liquorraum führt. Der arterielle Blutpuls ist somit ein wesentlicher Generator der Liquorpulsation. Zudem pulsiert das Gehirn selbst durch das Eintreffen des bereits abgeschwächten arteriellen Blutstromes im Gehirngewebe. Der Liquorpuls wird zum Teil auf das abfließende (venöse) Blut übertragen, so dass ein sehr komplexes, im Normalzustand exakt synchronisiertes, Pulsationsbild von arteriellem Blut, Hirnwasser und venösem Blut resultiert. Das Volumen hin- und herströmenden (pulsierenden) Hirnwassers übertrifft den Nettofluss von Hirnwasser von den inneren in die äußeren Liquorräume bei Weitem. Es wird mittlerweile immer klarer, dass eine Störung der Pulsatilität bzw. eine Störung der Synchronizität zwischen arteriellem, venösem und Liquorpuls zu einer Erweiterung der Hirnkammern und dem Bild eines Hydrozephalus führen kann.

Ebenso haben mittlerweile Untersuchungen gezeigt, dass die Mehrzahl der Normaldruckhydrozephaluspatienten eine eingeschränkte intrakranielle Compliance hat. Die intrakranielle Compliance beschreibt die Druck-Volumen-Beziehung im Innenraum des Schädels, in dem das Gehirn liegt. Bei einer großen Compliance führt die Addition von zusätzlichem Volumen zu einem geringen Druckanstieg, bei einer geringeren Compliance führt die Addition des gleichen Volumens zu einem sehr großen Druckanstieg. Eine eingeschränkte Compliance führt also zu einer Zunahme der Pulsatilität im intrakraniellen Raum. Eine eingeschränkte Compliance führt auch zu einer Abnahme des Windkesseleffekts und damit zu einer Zunahme der arteriellen Pulsatilität. Es ist anzunehmen, dass das gehäufte Auftreten einer eingeschränkten Compliance und die ebenfalls beobachtete erhöhte Pulsatilität des Liquors bei Patienten mit Normaldruckhydrozephalus bzw. mit einer symptomatischen Ventrikelerweiterung ursächlich mit der Entstehung des Krankheitsbildes verbunden sind. Es hat sich herausgestellt, dass jene Patienten mit hoher Pulsatilität und deutlich eingeschränkter Compliance in weitaus größerem Maße positiv auf die Ableitung von Hirnwasser in Bezug auf eine Besserung ihrer Symptome reagieren, als solche Patienten, die diese Charakteristika nicht haben.

Auch durch die hydrodynamische Theorie lassen sich nicht alle Phänomene des so genannten kommunizierenden Hydrozephalus erklären. Sicher ist jedoch, dass die Pulsatilität bzw. eine Änderung der Pulsatilität eine wichtige Rolle bei der Entstehung des Hydrozephalus spielen. Ebenso klar geworden ist die Bedeutung der äußeren Liquorräume, insbesondere im Bereich der basalen Zisternen. Eine ungestörte Liquorpassage in den basalen Zisternen ist für das Funktionieren des Windkessels von elementarer Bedeutung. Nur wenn der Liquor aus den basalen Zisternen ungestört abfließen kann, funktioniert der Windkessel im vorgesehenen Sinne und die Pulsatilität des arteriellen zufließenden Blutes wird entsprechend abgeschwächt. Tierversuche konnten eindeutig belegen, dass eine Blockade des Liquorflusses in den basalen Zisternen zu einer sehr schnellen Entstehung eines Hydrozephalus führt, obwohl der Ausfluss aus den Hirnkammern weiterhin offen ist und keine Obstruktion im herkömmlichen Sinne vorliegt. Beim Menschen entsteht diese Situation in einem bekannten Krankheitsbild, der Subarachnoidalblutung, bei der eine Einblutung in die basalen Zisternen den Liquorfluß stört und die Patienten bei einer größeren Blutmenge regelhaft einen Hydrozephalus entwickeln. Der Begriff obstruktiver Hydrozephalus, so wie er ursprünglich definiert wurde, hat damit eine neue Bedeutung erhalten. Eine Obstruktion des Liquors in den äußeren Liquorräumen führt somit auch zu einem Hydrozephalus.

Unklar ist auch der Einfluss des Alters. Der Normaldruck-Hydrocephalus ist typischerweise eine Erkrankung des alternden Gehirnes bei Patienten jenseits der 60 Jahre, oft jenseits der 70. Es ist davon auszugehen, dass die meisten Patienten mit Normaldruck-Hydrozephalus bzw. mit den Symptomen eines Normaldruckhydrozephalus und erweiterten Hirnkammern nicht plötzlich, quasi über Nacht, erweiterte Hirnkammern bekommen und dann Symptome auftreten, sondern dass sie schon seit vielen Jahren erweiterte Hirnkammern haben und erst im späteren und fortgeschrittenen Alter symptomatisch werden.

Wie wird ein Hydrocephalus diagnostiziert?

Aufgrund der klinischen Beschwerden wird eine kraniale Bildgebung (CT oder MRT) durchgeführt, mit der die Verdachtsdiagnose eines Hydrocephalus gestellt wird.

Für die nicht obstruktiven Hydrocepahluserkrankungen bieten wir an der Neurochirurgischen Univesritätsklinik Tübingen eine dreitätige Hirnwasserableitung über eine Lumbaldrainage an. Vor Anlage und am Ende der drei Tage findet zusätzlich eine Testung des Gangbildes, Feinmotoriktest und eine Gedächtnisprüfung statt. Bei Verbesserung der Beschwerden wird eine Shuntanlage indiziert.

Bei den obstruktiven Hydrocephalusformen greifen wir auf eine invasive Hirndruckmessung zurück. Hierzu wird eine kleine Hirndrucksonde für 2 Nächte angelegt. Hierüber kann mit Hilfe einer speziellen Software der Hirndruck genau evaluiert werden. Mit einer speziellen MRT-Bildgebung kann der Hirnwasserfluss und somit auch eine Abflusshinderung dargestellt werden. Als weiteres Verfahren für die primäre Diagnostik und die weitere Verlaufskontrollen wird Ultraschallgestützt der Durchmesser der Nervenscheiden des Sehnervs (ONSD) dargestellt, welcher mit dem Hirndruck korreliert.

Wie wird ein Hydrocephalus behandelt?

In der Neurochirurgischen Universitätsklinik Tübingen werden je nach Art des Hydrocephalus verschiede Therapieoptionen angeboten:

Die Anlage eines Ventrikulo-peritonealen Shunts als Wasserableitungssystems vom Kopf (Hirnkammer) in den Bauchraum (intraperitoneal) über einen unter der Haut liegenden Schlauch (Katheter). Ventile, die z.B. hinter dem Ohr unter der Haut liegen, können später zur individuellen Einstellung der Abflussmenge für den Patienten genutzt werden. Seltener aber manchmal aus medizinischer Sicht nötig ist die Ableitung vom Kopf in den rechten Vorhof des Herzens, ein sog. Ventrikulo-atrialer-Shunt. Im Falle eines Verschlusshydrocepahlus besteht bei manchen Patienten die Möglichkeit einer endoskopischen Ventrikulozisternostomie (ETV). Mit Hilfe eines Endoskops wird am Boden der 3. Hirnkammer durch einen Laser eine Öffnung geschaffen, die eine erneute Zirkulation ermöglicht und somit den Verschluss umgeht. Bei Patienten mit IHH gibt es bei Ausscheiden anderer Optionen die Möglichkeit einer Lumbo-peritonealen Hirnwasserableitung vom Spinalkanal der Lendenwirbelsäule in den Bauchraum ziehend.

Ist die Diagnose eines behandlungsbedürftigen Hydrozephalus etabliert ist eine wichtige Therapieoption die Anlage eines Hirnwasser-Shunts. Hierbei wird ein dauerhafter künstlicher Abfluss des Hirnwassers aus den erweiterten Hirnkammern in eine andere Körperhöhle geschaffen. Als Standard wird die Ableitung in den Bauchraum vorgenommen, im Fachbegriff „ventrikulo-peritonealer Shunt“ genannt. In Einzelfällen kann auch eine Ableitung in den Herzvorhof „ventrikulo-atrialer Shunt“ notwendig werden.

Verlauf der Operation: Der Patient wird in Rückenlage operiert. Die geplante Shuntanlage geschieht meist auf der rechten Seite, entweder vorne oder hinten am Kopf. Es erfolgt die Rasur eines Teils der Haare sowie die sorgfältige Desinfektion im Bereich des Shuntverlaufes. Am Kopf erfolgt dann die Anlage eines kleinen bogenförmigen Schnittes im Bereich des Schädels vorne oder hinten, Anbringen eines Bohrloches zur Einführung des „Ventrikelkatheters“, also des Schlauches in die Hirnwasserkammer. Im Bohrloch kommt ein Reservoir zu liegen, das der Arzt später benutzen kann, um den Shunt zu überprüfen. Am Bauch wird ein ca. 3 cm langer Schnitt neben dem Bauchnabel gemacht, um hier den ableitenden Schlauch (Bauchkatheter) einzuführen und zu fixieren. Zwischen beiden Schnitten erfolgt die Untertunnelung der Haut und das Schlauchsystem wird durchgezogen. Hinter dem Ohr, kommt die Ventileinheit zum liegen.

Die meist durch die Haut regelbaren „Ventile“ sorgen dafür, dass erst ab einer bestimmten Druckdifferenz zwischen Kopf und Bauch Hirnwasser abfließen kann. Dieser Öffnungsdruck kann von außen dann reguliert werden.

Probleme des Shuntsystems: Der Shunt kann zum einen zu wenig Hirnwasser abfließen lassen, zum Beispiel in Folge einer Fehllage von Kathetern (Schläuchen) oder durch Verstopfung von Kathetern oder des Ventils durch Blut, Eiweiß oder Gewebeteile. 

Ebenso kann der Shunt aber auch zu viel Wasser, besonders im Stehen ablaufen lassen, da durch das Gefälle zwischen Kopf und Bauch ein Sog im Shuntsystem entsteht, der theoretisch alles Wasser aus dem Kopf in den Bauch befördern würde. Aus dieser Überdrainage resultieren sogenannte Schlitzventrikel oder chronische Blutergüsse zwischen Hirn und Knochen (s. Abb.). 

Am effektivsten wird die Überdrainage durch eine sogenannte Gravitationseinheit verhindert, bei dem durch die zunehmende Schwerkraft im Stehen der Widerstand im Ventilsystem ansteigt und damit weniger bis gar keine Wasser im Stehen abfließen kann.

Im Regelfall implantieren wir als die momentan beste verfügbare Kombination ein System aus einer regelbaren Einheit, mit der die Druckdifferenz zwischen Kopf und Bauch im Liegen eingestellt werden kann und eine gravitationsgesteuerte Zusatzeinheit, die die Überdrainage im Stehen verhindert. Das Ventil kann sich nicht durch äußere Magnetfelder, wie zum Beispiel in der Kernspintomographie, verstellen. Zudem ist das Ventil ohne Röntgenbild von außen ablesbar und auch problemlos durch die Haut von außen verstellbar.

Im Falle einer Ausflussblockade des Nervenwassers aus den Hirnwasserkammern (Ventrikel) in den das Gehirn umgebenden Raum spricht mal von einem so genannten Verschluss-Hydrocephalus (Hydrocephalus occlusus). Das Nervenwasser staut sich dann in den Ventrikeln. Diese werden weit, es baut sich Druck auf.

In diesen Fällen besteht die Behandlung mitunter in der Anlage eines alternativen Abflussweges aus dem Hirnwasserkammersystem in die das Gehirn umgebenden Zisternen (=Ventrikulozisternostomie). Dies geschieht durch einen minimalinvasiven, endoskopischen Eingriff. Ein Endoskop ist eine Art medizinisches Teleskop, das man über ein Bohrloch in die Hirnwasserkammern einführt. Da diese mit klarem Nervenwasser gefüllt sind, bietet sich eine gute Sicht auf die Wände und Strukturen der Kammern. Von oben kommt man durch eine Öffnung (Foramen Monroe) vom Seitenventrikel in den dritten Ventrikel. Mit feinen Instrumenten – wir verwenden routinemäßig einen Laser – wird der dünne Boden des dritten Ventrikels eröffnet

Das Nervenwasser kann nun wieder aus den Hirnwasserkammern ausfließen und so an die Stellen gelangen, wo es resorbiert wird.

Eine Nervenwasserableitung vom Kopf in den Bauchraum (VP-Shunt) ist dann nicht nötig. Nicht immer ist das Gehirn aber imstande, den Nervenwasserhaushalt wieder eingeständig zu regeln, sodass manchmal trotz einer offenen neuen Nervenwasserpassage eine Ableitung zusätzlich notwendig ist.

Die Hauptrisiken eines solchen Eingriffs sind eine postoperative Infektion, eine Gefäßverletzung mit Blutung sowie Gedächtnisstörungen.

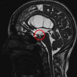
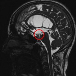
Präoperative MRT Untersuchung.
Präoperative MRT Untersuchung. Der rote Kreis zeigt den Boden des 3. Ventrikels, welcher im Rahmen einer endoskopischen VZS eröffnet wird.
Operation

Ihre Behandlung an der Universitätsklinik für Neurochirurgie Tübingen

Portraitfoto

Wir begleiten Sie mit unserer Expertise

Unter ständiger Expansion gehören wir mit weit über 3000 operativen Eingriffen pro Jahr zu den größten Kliniken Deutschlands. In fünf Operationssälen mit modernster technologischer Ausstattung, werden alle Eingriffe von einem erfahrenen Team durchgeführt. In unseren Spezialsprechstunden finden Sie kompetente Ansprechpersonen für Therapie und Nachsorge.

Univ. Prof. Dr. Marcos Tatagiba,
Ärztlicher Direktor der Klinik für Neurochirurgie

Schwerpunkt Hydrocephalus mit Spezialsprechstunde

In unserer Hydrocephalussprechstunde behandeln die verschiedenen Hydrocephalusformen und betreuuen außerdem Erwachsene mit angeborenem Hydrocephalus.

Mehr zum Schwerpunkt Hydrocephalus

Spezielle Therapieoptionen für Kinder

Da Kinder in ihren Erkrankungen besonders sind, bedürfen sie einer sehr spezifischen Therapie. Deshalb wird heutzutage die neurochirurgische Behandlung von auf Kindern spezialisierten Neurochirurgen vorgenommen. Unsere Sektion Pädiatrische Neurochirurgie bietet in enger Kooperation mit der Universitätsklinik für Kinder- und Jugendmedizin speziell auf Kinder zugeschnittene Therapieoptionen. 

Mehr zur Pädiatrischen Neurochirurgie