AG Gynäkologische Radiologie

Die vornehmlich klinische Forschung der Arbeitsgruppe umfasst Projekte zur multimodalen Mammadiagnostik, den interventionellen Verfahren sowie dem Therapiemonitoring bei Mammakarzinom. Einen Forschungsschwerpunkt bildet die MR-Forschung.

Durch die Erforschung neuer bildgebender Methoden wird zur stetigen Verbesserung der radiologischen Mammadiagnostik beigetragen bzw. das Setzen neuer Standards angeregt. Als Teil des universitären Brustzentrums besteht eine enge Kooperation mit der Universitätsfrauenklinik und dem Institut für Pathologie und Neuropathologie. Außerdem werden Projekte zur Bildgebung des weiblichen Beckens, u.a. zur Darstellung von Fehlbildungen der weiblichen Geschlechtsorgane durchgeführt, um auch hier die präoperative Diagnostik stetig zu optimieren.

Aktuelle Forschungsprojekte

  • Optimierung der Mamma-MRT inkl. Validierung neuer MR-Sequenzen im klinischen Alltag
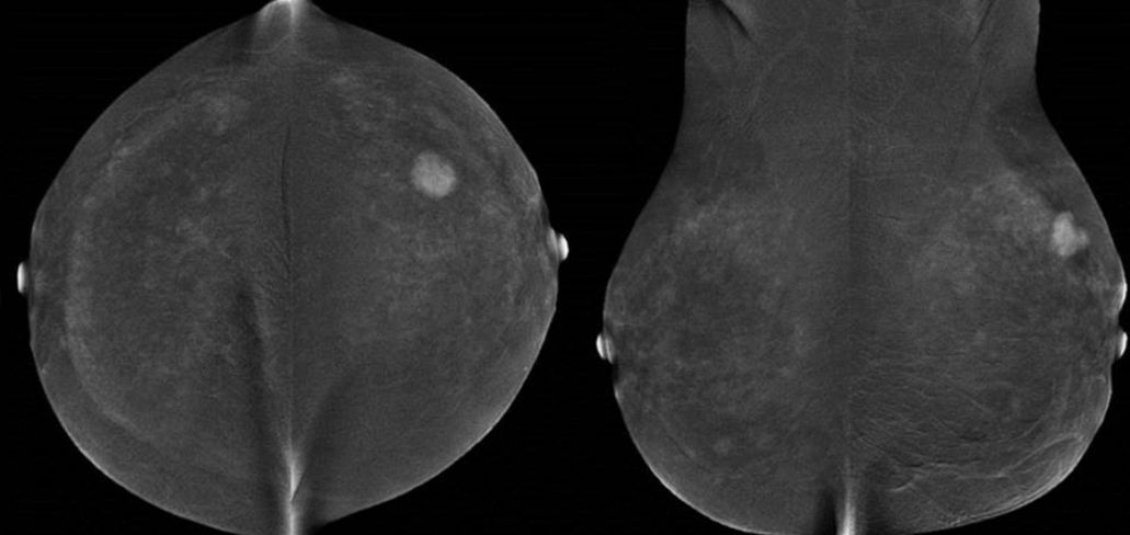
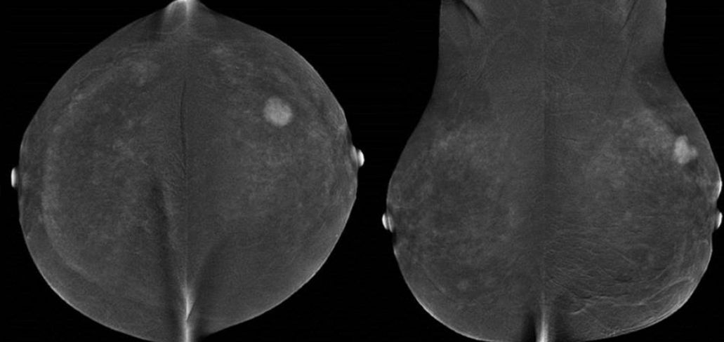
  • Analyse des diagnostischen Mehrwerts der KM-angehobenen Mammographie
  • KI gestützte Bildanalyse zur Charakterisierung des Mammakarzinoms
  • Verbesserung der Diagnostik des in-situ-Karzinoms
  • Untersuchung verschiedener Biopsieverfahren
  • Einsatz digitaler Medien zur Workflowoptimierung

Kontakt

frontend.sr-only_#{element.icon}: Universitätsklinikum Tübingen
Diagnostische und Interventionelle Radiologie
AG Gynäkologische Radiologie
Calwerstr. 7
72076 Tübingen


Arbeitsgruppenleiterin:

frontend.sr-only_#{element.icon}: PD Dr. med. Heike Preibsch


+49 7071 29-82241

heike.preibsch@med.uni-tuebingen.de


Mehr zur Person

Stellv. Arbeitsgruppenleiterin:

frontend.sr-only_#{element.icon}: Dr. med. Susann-Cathrin Olthof


+49 7071 29-82241

susann-cathrin.olthof@med.uni-tuebingen.de


Mehr zur Person
  • PD Dr. med. Moritz Winkelmann
  • Dr. med. Valerie Hattermann
  • Dr. med. Felix Peisen
  • Dr. med. Regine Perl
  • Dr. med. Simon Männlin
  • Barbara Feeß
  • 2019

    Accuracy of Breast Magnetic Resonance Imaging Compared to Mammography in the Preoperative Detection and Measurement of Pure Ductal Carcinoma In Situ: A Retrospective Analysis.

    Preibsch H, Beckmann J, Pawlowski J, Kloth C, Hahn M, Staebler A, Wietek BM, Nikolaou K, Wiesinger B.Acad Radiol. 2019 Jun;26(6):760-765.

    Zu Pumed
  • 2018

    Contrast-enhanced spectral mammography in patients with MRI contraindications.

    Richter V, Hatterman V, Preibsch H, Bahrs SD, Hahn M, Nikolaou K, Wiesinger B.Acta Radiol. 2018 Jul;59(7):798-805.

    Zu Pumed
  • 2017

    Preoperative breast MR Imaging in patients with primary breast cancer has the potential to decrease the rate of repeated surgeries.

    Preibsch H, Blumenstock G, Oberlechner E, Brucker SY, Hahn M, Staebler A, Wiesinger B, Claussen CD, Nikolaou K, Siegmann-Luz KC.Eur J Radiol. 2017 Sep;94:148-153.

    Zu Pumed
  • 2016

    Background parenchymal enhancement in breast MRI before and after neoadjuvant chemotherapy: correlation with tumour response.

    Preibsch H, Wanner L, Bahrs SD, Wietek BM, Siegmann-Luz KC, Oberlechner E, Hahn M, Staebler A, Nikolaou K, Wiesinger B. Eur Radiol. 2016 Jun;26(6):1590-6.

    Zu Pumed
  • 2014

    Clinical value of magnetic resonance imaging in patients with Mayer-Rokitansky-Küster-Hauser (MRKH) syndrome: diagnosis of associated malformations, uterine rudiments and intrauterine endometrium.

    Preibsch H, Rall K, Wietek BM, Brucker SY, Staebler A, Claussen CD, Siegmann-Luz KC. Eur Radiol. 2014 Jul;24(7):1621-7.

    Zu Pumed
PET/MRT-Mammographie
Kontrastmittel-Mammographie: Low-Energy-Bild
Kontrastmittel-Mammographie: Rekombinationsbild

Certificates and Associations

Go to the main content