Kardiovaskuläre Bildgebung
Herz MRT
- Nicht-ischämische Kardiomyopathien (u.a. Systemsklerose)
- Myokarditis, entzündliche Herzerkrankungen (u.a. Sarkoidose)
- Ischämische Kardiomyopathie
- Technische Innovationen: Ödembildgebung, Mapping, Koronararterien
- Sportlerherz
- Kinder und Erwachsene mit angeborenem Herzfehler
- Technische Innovationen: (Ergänzung) Funktion, Late Gadolinium Enhancement
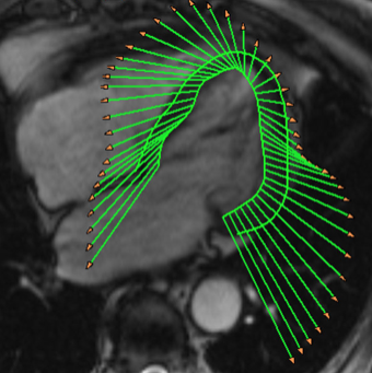
- Strainanalyse
- Zelluläre und globale Erholung nach Myokardinfarkt
- Bildgebung markierter Zellen
Herz CT
- Perfusion
- Planungsbildgebung für neue interventionelle Verfahren am Herzen (TAVI, Cardioband, Carillon, MitraClip)
- CT-FFR
- Planungsbildgebung für neue interventionelle Verfahren am Herzen: Revivent TC
Kontakt
Arbeitsgruppenleiter:
frontend.sr-only_#{element.icon}: Prof. Dr. med. Patrick Krumm
Mehr zur Person
Mitglieder der AG Herz
- Dr. med. Jan M. Brendel
- PD Dr. med. Moritz Winkelmann
- Dr. med. Jens Kübler
- Dr. med. Florian Hagen
- Amalia Jimeno Ledesma
Sektion für Experimentelle Radiologie
- Prof. Dr. med. Dr. rer. nat. Fritz Schick
- Dr. sc. hum., Dipl.-Phys. Petros Martirosian
- Prof. Dr.-Ing. Thomas Küstner




Certificates and Associations

Focus: Top National Hospital 2025

Stern: Germany's Outstanding Employers in Nursing 24/25

Quality partnership with the PKV

Family as a success factor

Pension provision for the public sector