Sonographie

Der diagnostische Ultraschall oder auch medizinische Sonographie genannt, ist ein bildgebendes Verfahren, das hochfrequente Schallwellen verwendet, um Bilder vom Innenleben Ihres Körpers, angefangen von der Haut bis hin zu tiefliegenden inneren Organen zu erzeugen. Die Bilder können wertvolle Informationen für die Diagnose und Behandlung einer Vielzahl von Krankheiten und Zuständen liefern.

Die Ultraschalluntersuchungen in unserer Abteilung werden mit einem Ultraschallgerät durchgeführt, welches von außen auf den Körper aufgesetzt wird.

Kontakt

Terminvergabe

+49 7071 29-86677

08.00 - 16.00 Uhr


Allgemeine Informationen

Ultraschall wird aus vielen Gründen eingesetzt, unter anderem für:

  • Diagnosen abdomineller Organpathologien
  • Bewertung der Durchblutung von arteriellen und venösen Gefäßen mit Hilfe des DOPPLER Verfahrens (im Bauchraum sowie auch peripher im Bereich der Extremitäten insbesondere der Gefäße einschließlich der Halsschlagadern)
  • Durchführung einer Biopsie oder einer Tumorbehandlung unter ständiger Ultraschallkontrolle. Hierfür kommen mehrere Biopsie-Nadeln mit jeweiligem Führungssystem zum Einsatz, die eine präzise Steuerung ermöglichen (im Sinne eines Needle tracking). Das Verfahren ermöglicht z.B. eine Gewebeentnahme unter durchgehender Sichtkontrolle um z.B. Gefäßkomplikationen zu vermeiden.
  • Sonographisch gesteuerte Abszessdrainagen
  • Untersuchungen der Schilddrüse
  • Untersuchung des muskuloskelettalen Systems sowohl bei rheumatisch/autoimmunen Erkrankungen (z.B. Muskelentzündungen, Gelenkkapselentzündungen, Tumoren, Sehnenscheidenpathologien, Verhärtung und Entzündung der Haut (Sklerodermie)) als auch bei traumatischen oder degenerativen Erkrankungen.
  • Der CEUS (Contrast enhanced ultrasound, Kontrastmittel-unterstützte Ultraschalluntersuchung) wird bei unklaren Organpathologien ergänzend durchgeführt (z.B. für Leber, Niere, Tumoren der inneren Organe, nach Nieren- oder Lebertransplantation, etc.). 
  • Ultraschalluntersuchungen (inkl. CEUS) werden u.a. auch im OP durchgeführt, zur besseren Einschätzung von anatomischen Verhältnissen sowie besserer Abgrenzbarkeit von  Tumoren.
  • SONO-Elastographie (ARFI-Acoustic Radiation Force Impulse) zur Evaluation der Organelastizität (z.B. bei Lebererkrankungen oder Pankreaserkrankungen sowie präoperativ zur Prognoseabschätzung)
  • Moderne Geräte ermöglichen auch die Bildfusion verschiedener bildgebender Verfahren wie CT, MRT mit der Ultraschalluntersuchung, so dass komplexe oder schwierige Befunde kombiniert mit verschiedenen Verfahren (multimodal) betrachtet werden können. Die Bildfusion hilft zur Detektion von Pathologien, die nur mithilfe einer Technik einsehbar sind um z.B. zielgenau solche Befunde biopsieren zu können.

Der diagnostische Ultraschall ist ein sicheres Verfahren, bei dem leistungsarme Schallwellen verwendet werden. Es sind keine Risiken bekannt. Es ist eine wertvolle Technik, die insbesondere als erstes bildgebendes Verfahren zur Klärung akuter abdomineller Symptome oder unklarer Tastbefunden (z.B. Lymphknoten) mit regelmäßig mit Erfolg eingesetzt wird. Es wird außerdem auch als probates Mittel in der Tumornachsorge eingesetzt. Dennoch hat diese Methode ihre Grenzen, die man kennen sollte. Zum Beispiel kann der Schall nicht gut durch Luft oder Knochen wandern. Daher ist eine Ultraschalluntersuchung nicht effektiv bei der Darstellung von Körperteilen, die Gas enthalten (wie z. B. die Lunge oder der Darm) oder bei der Darstellung von Knochen bzw. von Organen, die hinter Knochen liegen (z. B. der Schädeldecke). Um diese Bereiche zu betrachten, kommen andere bildgebende Verfahren wie CT-, MRT- oder Röntgenuntersuchungen zum Einsatz.

Die meisten Ultraschalluntersuchungen erfordern keine spezielle Vorbereitung. Es gibt jedoch einige Ausnahmen:

  • Untersuchungen der Gallenblase: Bei dieser Untersuchung kann Ihr Arzt Sie bitten, bis zu sechs Stunden vor der Untersuchung nichts zu essen oder zu trinken, damit die Gallenblase gut gefüllt ist.
  • Untersuchungen des Beckens: Hier kann eine volle Blase erforderlich sein. Möglicherweise müssen Sie zwei Stunden vor der Untersuchung bis zu sechs Gläser Wasser trinken und sollten nicht zur Toilette gehen, bis die Untersuchung abgeschlossen ist.
  • US-Elastographie zur Diagnostik inflammatorischer Muskelerkrankungen.
  • US-Elastographie zur Diagnostik muskulokutaner Erkrankungen
  • US-Elastographie als Monitoring Verfahren bei Patienten mit muskulokutanen Manifestationen diverser autoimmuner Erkrankungen
  • Sheare-wave Elastographie bei Pankreastumoren und zur Prognoseabschätzung vor geplanter Pankreasteilresektion
  • Sheare-wave Elastographie bei Lymphom-Erkrankungen in Korrelation mit der Histologie
Sonographie der Halsgefäße (A.carotis). Die farbkodierte Duplexsonographie erlaubt eine Beurteilung der Durchblutungsverhältnisse, der Wandbeschaffenheit der Arterie sowie eine funktionelle Beurteilung der Flussverhältnisse (Dopplerkurve; im Bild unten). Damit können zuverlässige Aussagen über mögliche Gefäßverengungen bzw. Wandverkalkungen getroffen werden.
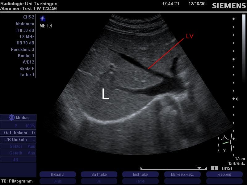
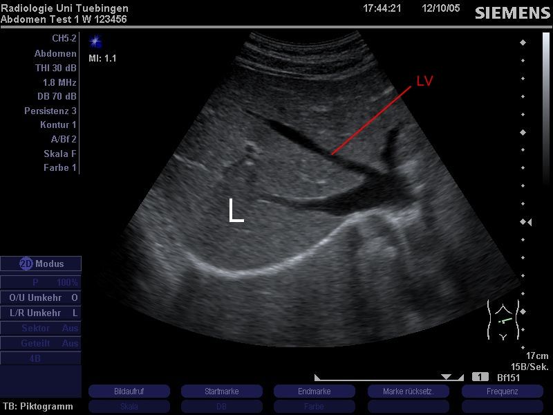
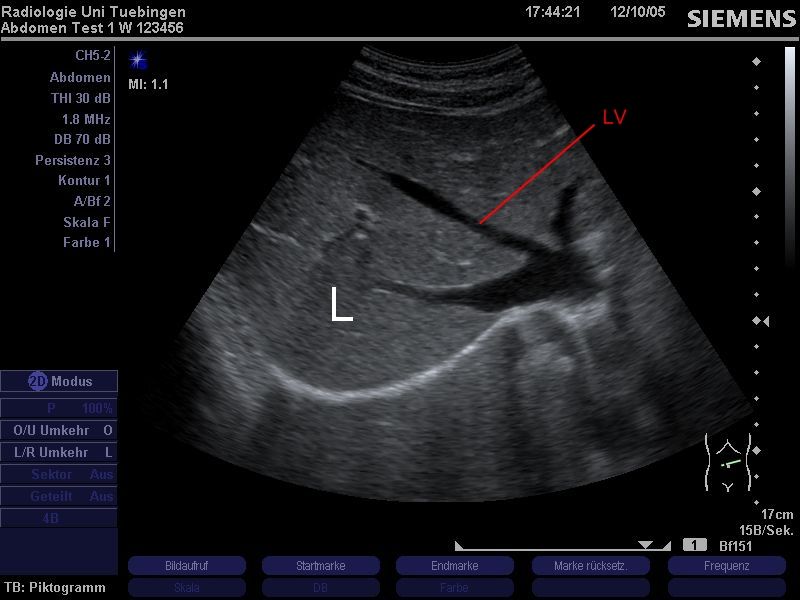
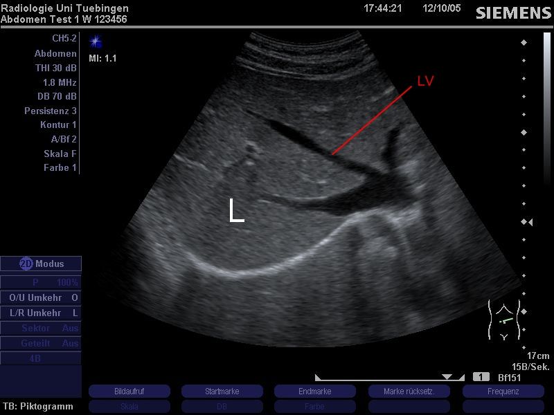
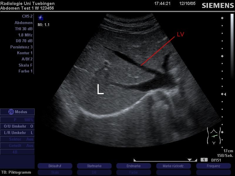
Oberbauchquerschnitt.
Regelrechte Darstellung des Leberparenchyms (=Lebergewebe) sowie der Lebergefäße (Lebervenenstern)

Die Abteilung für Diagnostische und Interventionelle Radiologie verfügt über mehrere Hochleistungsultraschallgeräte modernster Ausstattung. Diese ermöglichen mit hochauflösenden Sonden eine detaillierte Beurteilung von kleinsten Herden, wie auch von frühen Gefäßveränderungen. Zusätzlich besteht die Möglichkeit einer 3D-Bildgebung oder einer Flussbeurteilung. Mehrere Geräte können auch für modernste Verfahren wie den Konstrasmittel-verstärkten Ultraschall (CEUS) oder Darstellung der Gewebe-Steifigkeit (Elastographie) eingesetzt werden.

Certificates and Associations

Go to the main content