400

Address: Crona Kliniken
Hoppe-Seyler-Str. 3
72076 Tübingen


Phone number: +49 7071 29-86591


E-mail address: gefaesszentrum@​​med.​​uni-​​tuebingen.​​de


Venöse Interventionen

Behandlungsspektrum bei venösen Erkrankungen

  • Implantation von Cavafiltern bei Beckenvenenthrombose
  • Behandlung der tiefen Beinvenenthrombose (Ilio-femorale Thrombose) mit Thombektomie und Lyse.
  • Stentangioplastie bei May-Thurner Syndrom oder postthrombotischem Syndrom (PTS) zur Rekanlisation verschlossener Beckenvenen
  • Stentangioplastie bei oberer Einflussstauung.
Gefäße
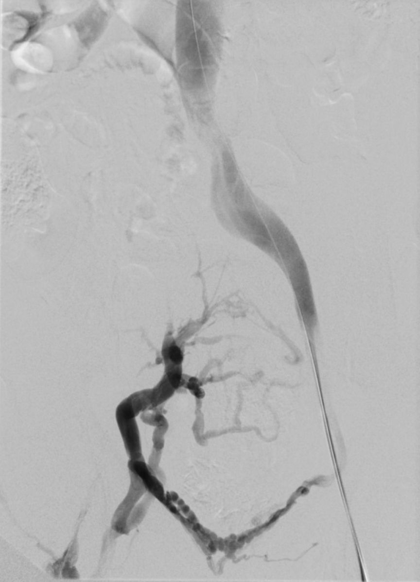
Beispiel eines Patienten mit Postthrombotischem Syndrom des rechten Beines (Schmerzen und Schwellung). Verschluss der Beckenvenen rechts.
Gefäße
Rekanalisation mit Dilatation und Stents der rechtsseitigen Beckenvenen. Hierdurch wieder freier Fluss in den Beckenvenen.

Certificates and Associations