Perioperative Ultraschalluntersuchungen werden in unserer Klinik routinemäßig angewendet. So werden nicht nur Gefäßkatheter mittels Ultraschall platziert sondern auch regionale und neuroaxiale Anästhesieverfahren gesteuert. Die transösophageale Echokardiographie stellt ein wichtiges diagnostisches Verfahren dar. Vor Allem in der Kardio-, Neuro- und Transplantationsanästhesie und in der Intensivmedizin hat sie einen hohen Stellenwert. Zusätzlich führen wir auf unserer Intensivstation fokussierte Ultraschalluntersuchungen des Thorax und des Abdomens sowie transthorakale Echokardiographien durch.
Unsere Klinik ist von der Deutschen Gesellschaft für Anästhesiologie & Intensivmedizin (DGAI) als Ausbildungszentrum für die Transösophageale Echokardiographie (TEE) zertifiziert.
Perioperativer Ultraschall

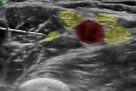
Ultraschallgesteuerte Gefäßzugänge und Regionalanästhesie (USGRA)
Moderne Ultraschallsysteme ermöglichen es uns die gesamte Palette der ultraschall-gesteuerten Gefäßzugänge und Regionalanästhesien aller Altersgruppen vom Säugling bis zum alten Menschen durchzuführen.
Jedes Jahr bieten wir Kurse zum Erlernen dieser Techniken an. Nähere Informationen erhalten sie auf der USGRA Internetseite.
Zu USGRA-Homepage
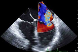
Transösophageale Echokardiographie (TEE)

An unserer Klinik führen wir jährlich rund 1500 intraoperative und intensivmedizinische transösophageale Echokardiographien durch. Hierbei kommen sowohl die 2D als auch die 3D Echokardiographie regelmäßig zum Einsatz.
Interessierten Kolleginnen und Kollegen bieten wir auf Anfrage eine Hospitationsmöglichkeit in diesem Bereich an. Bitte nehmen Sie hierzu mit unserem Oberarztsekretariat Kontakt auf.

Seit 2015 bieten wir auch jährlich einen Kurs "Transösophageale Echokardiographie in Anästhesiologie und Intensivmedizin" nach den Richtlinien der DGAI an.
Zu TEE-Homepage
Certificates and Associations

Focus: Top National Hospital 2025

Stern: Germany's Outstanding Employers in Nursing 24/25

Quality partnership with the PKV

Family as a success factor

Pension provision for the public sector