Myome

Neue Studie

frontend.sr-only_: Zurzeit suchen wir Patientinnen für die SUPERIOR Studie zum Vergleich der Genesungsdauer nach Sonata-Behandlung oder Myomektomie.

SUPERIOR Studie

Operative Gynäkologie: Myome

Uterus myomatosus

Vorkommen und Ursache


Myome sind gutartige, hormonsensitive Tumore der glatten Muskulatur der Gebärmutter, die in alle drei Schichten der Gebärmutter entstehen können. Sie können unter der Gebärmutterschleimhaut (submukös), in der Gebärmuttermuskulatur (intramural) und unter der Außenhaut (subserös) der Gebärmutter liegen. Auch Größe und Anzahl der Myome sind von Frau zu Frau verschieden. Meist wachsen Myome nur langsam. Haben sie jedoch eine Größe von ca. 3-5cm erreicht, kann die Wachstumsgeschwindigkeit deutlich zunehmen.

Über 50% aller Frauen in Deutschland erhalten die Diagnose „Myom“ im Laufe ihres Lebens. Die meisten Myome treten zwischen dem 46. und 50. Lebensjahr auf, jedoch sind bereits 20-30% aller Frauen im gebärfähigen Alter von Myomen betroffen.

Über die Ursachen für die Bildung von Myomen ist bisher nur wenig bekannt. Genetische Disposition, wie dunkle Hautfarbe oder eine positive Familiengeschichte sind wichtige Faktoren. Der Lebensstil scheint ebenfalls eine entscheidende Rolle in der Entstehung von Myomen zu spielen.


Die Symptome sind vielfältig: Blutungsstörungen wie eine starke Regelblutung, evtl. mit folgender Blutarmut (Anämie), oder schmerzhafte Menstruationsblutungen, Druckgefühl im Unterbauch mit Schmerzen oder Druck auf die Blase und/oder den Darm sowie Fertilitätsprobleme stellen nur einige Beispiele dar.

Die Diagnosestellung erfolgt in aller Regel mittels transvaginalem (durch die Scheide) Ultraschall. Nur in Ausnahmefällen ist eine MRT-Untersuchung notwendig.

Abb. 1: Ultraschalldarstellung eines submukösen Myoms (unter der Gebärmutterschleimhaut)
Abb. 1: Ultraschalldarstellung eines submukösen Myoms (unter der Gebärmutterschleimhaut)
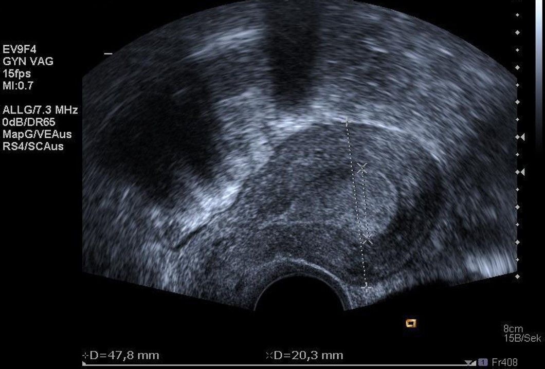
Abb. 2: Ultraschalldarstellung eines intramuralen Myoms (in der Gebärmuttermuskulatur) der Gebärmutterhinterwand
Abb. 2: Ultraschalldarstellung eines intramuralen Myoms (in der Gebärmuttermuskulatur) der Gebärmutterhinterwand

Klassifizierung

Myomklassifikation
0

Unter der Schleimhaut, gestielt in der Gebärmutterhöhle

1

Unter der Schleimhaut, < 50 % in der Muskulatur

2

Unter der Schleimhaut, > 50 % in der Muskulatur

3

100 % in der Muskulatur, Kontakt zur Schleimhaut

4

In der Muskulatur

2-5

Geht durch die gesamte Gebärmutterwand

6

Unter der Außenhaut der Gebärmutter, < 50 % in der Muskulatur

7

Gestielt auf der Außenseite

8

Andere (intraligamentär, parasitär, etc.)


Modifiziert nach: Munro, M.G., et al., FIGO classifications system (PALM-COEIN) for causes of abnormal uterine bleeding in nongravid women of reproductive age.

Abb. 3: Myomklassifikation
Abb. 3: Myomklassifikation
Startfolie des Vortrags
Myome einfach erklärt - Teil 1: Vorstellung
Startfolie des Vortrags
Myome einfach erklärt - Teil 2: Was sind Myome

Myome in der Schwangerschaft

Myome in der Schwangerschaft

Ab dem 30.Lebensjahr nimmt die Häufigkeit von Myomen deutlich zu. Besonders relevant wird dies, wenn nun der Kinderwunsch aktuell wird.

Das Risiko für eine nicht erfolgte Einnistung des befruchteten Eis oder einer Fehlgeburt steigt auf das 4-fache, wenn sich Myome direkt unterhalb der Schleimhaut der Gebärmutter (Endometrium) befinden oder eine Verformung der Gebärmutterhöhle durch Myome vorliegt. Durch eine Entfernung dieser Myome kann das Risiko wieder auf annähernde Normalwerte gesenkt werden.

Myome in der Muskulatur sind in der Regel für starke und schmerzhafte Menstruationsblutungen verantwortlich. Eine Volumenzunahme in der Schwangerschaft kann auch hier für eine erhöhte Rate an Fehl- oder Frühgeburten sorgen.

Die Myome an der Außenseite der Gebärmutter sind meist für eine Schwangerschaft nur wenig relevant. So verursachen diese Myome oft erst ab einer Größe von mehr als 5cm Druckbeschwerden.

Startfolie des Vortrags
Myome einfach erklärt - Teil 3: Kinderwunsch

Aktuelle Studien gehen bei Myomen unter 3cm Größe von einem geringen Risiko für eine Schwangerschaft aus. Ausnahme hiervon sind die in der Gebärmutterhöhle lokalisierten Myome.

Werden Myome belassen, können sie, insbesondere im ersten Drittel der Schwangerschaft, deutlich an Größe zunehmen. Eine Volumenzunahme auf das 4- bis 5-fache ist möglich. Hierdurch können kleinere Myome im Verlauf der Schwangerschaft zu erheblichen Problemen führen. Erfreulicherweise ist jedoch festzuhalten, dass 80% der Schwangerschaften mit Myomen komplikationslos verlaufen. Eine engmaschige Kontrolle während der Schwangerschaft durch den behandelnden Frauenarzt ist dennoch anzuraten. Im letzten Drittel der Schwangerschaft und nach der Entbindung kommt es meist wieder zu einer Verkleinerung der Myome. Die Ursprungsgröße wird in den meisten Fällen aber nicht wieder erreicht.

Therapieansätze

Der Therapieansatz sollte sich immer nach den Beschwerden der Patientin richten. Ist das Myom nur ein Zufallsbefund ohne Beschwerden und unter 3cm groß, so kann zugewartet werden. Bei größeren Myomen, Beschwerden oder bei Myomen, die voraussichtlich die Chancen auf eine Schwangerschaft verringern, sollte eine Therapie eingeleitet werden.

Startfolie des Vortrags
Myome einfach erklärt - Teil 4: Medikamentöse Myomtherapie
Startfolie des Vortrags
Myome einfach erklärt - Teil 5: Radiologische Myomtherapie

Welche operativen Therapiemöglichkeiten gibt es?

Operative Therapie

Abhängig von der Lage und der Größe der Myome muss der Zugangsweg gewählt werden. Unterhalb der Schleimhaut liegende Myome sind am besten per Gebärmutterspiegelung (Hysteroskopie) zu erreichen, in der Muskelschicht befindliche Myome meist über die Bauchhöhle.

Eingriffe über die Bauchhöhle können in den meisten Fällen per Bauchspiegelung (Laparoskopie) durchgeführt werden. Unser Zentrum hat sich auf die minimal invasiven Techniken spezialisiert, so dass ein Bauchschnitt (Laparotomie) nur bei sehr ausgedehnten Befunden notwendig ist.

Myomentfernung per Gebärmutterspiegelung

Myomentfernung per Gebärmutterspiegelung

Bei der Gebärmutterspiegelung wird die Gebärmutterhöhle mit Kochsalzlösung aufgedehnt. Eine Kamera mit integrierter Elektroschlinge wird in die Gebärmutter eingeführt. Die vorhandenen Myome können nun schrittweise unter Sicht abgetragen werden. Mittels modernsten Ultraschalluntersuchungen werden die Myome während der Operation noch einmal genau dargestellt. Bei sehr großen Befunden können zwei Operation zur kompletten Myomentfernung notwendig sein.

3 Monate nach einer solchen Operation kann mit der Kinderplanung begonnen werden. Blutungsstörungen werden in aller Regel bereits zur nächsten Menstruation gebessert sein. Der Eingriff per Gebärmutterspiegelung wird meistens in Vollnarkose und ambulant durchgeführt. Bei kleinen Myomen kann der Eingriff, dank neuester, kleinen Instrumente, auch in lokaler Betäubung ohne Narkose durchgeführt werden.

Abb. 4: Sicht auf eine submuköses Myom (unter der Gebärmutterschleimhaut) per Gebärmutterspiegelung
Abb. 4: Sicht auf eine submuköses Myom (unter der Gebärmutterschleimhaut) per Gebärmutterspiegelung
Abb. 5: intraoperative Ultraschalldarstellung eines intramuralen Myoms der Gebärmuttervorderwand (in der Gebärmuttermuskulatur) mit flüssigkeitsgefüllter Blase (links) und Gebärmutter (mitte)
Abb. 5: intraoperative Ultraschalldarstellung eines intramuralen Myoms der Gebärmuttervorderwand (in der Gebärmuttermuskulatur) mit flüssigkeitsgefüllter Blase (links) und Gebärmutter (mitte)

Myomentfernung per Bauchspiegelung

Myomentfernung per Bauchspiegelung

Bei der Bauchspiegelung wird über einen kleinen Einschnitt in der Nabelgrube die Bauchhöhle mit CO2-Gas gefüllt. Über 3-4 weitere kleine Operationshülsen im Unterbauch wird nun das Myom entfernt und die Gebärmutter, falls notwendig, wieder genäht. Auf diese Art können Myome bis zu einer Größe von ca. 10cm entfernt werden.

Je nach Lage und Größe der Myome kann die Kinderplanung nach 3-6 Monaten verwirklicht werden. Bei sehr tief in der Gebärmutterwand befindlichen Myomen sollte bei Eintritt einer Schwangerschaft das Kind per geplantem Kaiserschnitt vor Beginn der Geburtswehen zur Welt kommen.

Der Eingriff wird in Vollnarkose durchgeführt. Je nach Lage, Größe und Anzahl der Myome wird die Operation ambulant oder in einem 1-3 nächtigen stationären Aufenthalt durchgeführt.

Startfolie des Vortrags
Myome einfach erklärt - Teil 6: Operative Myomtherapie
Abb.6: Sicht ein Myom der Gebärmutterhinterwand per Bauchspiegelung (Laparoskopie)
Abb.6: Sicht ein Myom der Gebärmutterhinterwand per Bauchspiegelung (Laparoskopie)
Abb.7: Sicht Gebärmutterhinterwand nach Entfernung des Myoms per Bauchspiegelung (Laparoskopie) mit Naht der Gebärmutter
Abb.7: Sicht Gebärmutterhinterwand nach Entfernung des Myoms per Bauchspiegelung (Laparoskopie) mit Naht der Gebärmutter

Myomverkleinerung per Radiofrequenzablation

Myomverkleinerung per Radiofrequenzablation

In Tübingen gehen wir mit den neuesten Entwicklungen der Medizin. So bieten wir auch die transzervikale Radiofrequenzablation (Sonata®) zur Myomverkleinerung an. Bei dieser Technik wird durch Einbringen einer speziellen Sonde durch den Gebärmutterhals das Myom per Ultraschall dargestellt und gezielt mit einer speziellen Elektrode punktiert. Über diese Elektrode wird mittels Strom Hitze erzeugt, die das Myom nachhaltig zerstört. Das geschädigte Myom wird in den folgenden Monaten vom Körper abgebaut und damit kleiner.

Großer Vorteil der Verfahren ist, dass an der Gebärmutter keine Narbe entsteht. Die durch das Myom entstandenen Beschwerden (insbesondere Blutungsstörungen) werden schnell besser.

Geeignet für diese Therapie sind Myome die in der Gebärmutterhöhle und in der Muskulatur liegen (Typ 1, 2, 3, 4, 5, 2-5 und 6).

Startfolie des Vortrags
Myome einfach erklärt - Teil 7: Myomtherapie mit Sonata®

Aktuelle Studien, auch aus Tübingen zeigen, dass die so therapierten Myome in folgenden Schwangerschaften nicht oder nur wenig wachsen. Eigene Erfahrungen aus der laparoskopischen Radiofrequenzablation (Acessa®) zeigen im Vergleich zur laparoskopischen Myomenukleation in ersten Studien vergleichbare Schwangerschaftsraten. Weitere Studien zum Schwangerschaftsverlauf nach laparoskopischer Radiofrequenzablation laufen gerade.

Eine prospektive, randomisiert kontrollierte Studie zur Evaluation der Genesungsdauer nach transzervikaler Radiofrequenzablation (Sonata®) im Vergleich zur laparoskopischen Myomenukleation ist vor kurzem in Tübingen gestartet.

Bei Interesse an der Studienteilnahme sprechen sie uns gerne an:

felix.neis@med.uni-tuebingen.de


Myomverkleinerung per Embolisation der Arteria uterina

Myomverkleinerung per Embolisation der Arteria uterina

Dieses Verfahren wird in enger Kooperation mit der Abteilung für interventionelle Radiologie an der Universität Tübingen angeboten. Geeignet ist dieses Verfahren für Frauen, bei denen aufgrund von Voroperationen oder Vorerkrankungen mit einem deutlich erhöhten Operationsrisiko zu rechnen ist.

Die Leistenarterie wird für dieses Verfahren punktiert. Wie bei einem Herzkatheter wird ein winziger Katheter unter Durchleuchtung bis zum Myom vorgeschoben. Winzige Kügelchen werden durch den Katheter in die Gefäße, welche das Myom versorgen gespritzt. Hierdurch wird die Blutzufuhr zum Myom unterbrochen. Das Myom stirbt ab und wird vom Körper abgebaut.

Der Eingriff wird mit einer lokalen Betäubung durchgeführt. Die anschließende intensive Schmerztherapie erfolgt in einem 2-4 tägigen stationären Aufenthalt.

Gebärmutterentfernung

Gebärmutterentfernung

Ist die Familienplanung abgeschlossen und ein Erhalt der Gebärmutter nicht mehr gewünscht, kann als endgültige Lösung der Beschwerden eine Gebärmutterentfernung sinnvoll und notwendig sein. Auch dieser Eingriff kann entweder per Bauchspiegelung, auch roboterassistiert (daVinci®), von der Scheide her oder im seltenen Einzelfall, z.B. bei sehr großer Gebärmutter, per Bauchschnitt vorgenommen werden.

Da die Eierstöcke bei diesem Eingriff belassen werden, ändert sich die hormonelle Situation der Patientin nicht. Es kommt also nicht zu einem Vorzeitigen Eintritt in die Wechseljahre.

Bei der Entfernung der Gebärmutter kann der Gebärmutterhals belassen oder mitentfernt werden.

Welcher Zugangsweg und ob der Gebärmutterhals belassen oder entfernt werden sollte hängt von der Größe der Gebärmutter, eventuell vorhandenen Voroperationen, dem Gebärmutterhals-Abstrich (PAP-Abstrich und HPV-Abstrich) und natürlich dem Wunsch der Patientin ab.

In unserer Myomsprechstunde beraten wir Sie gerne bezüglich der unterschiedlichen Eingriffsmöglichkeiten.