330

Address: Calwerstraße 7
72076 Tübingen


Notfälle

In case of emergency: 07071 29-82211


Gynäkologische Sonografie

Gynäkologischer Ultraschall (Sonographie)

Liebe Patientin,

es freut uns, dass Sie sich für den gynäkologischen Ultraschall (Sonographie) interessieren. Wir wollen Ihnen im Folgenden einen Überblick über die Untersuchung geben, damit Sie sich mit den Möglichkeiten und Grenzen dieser Ultraschall-Untersuchung vertraut machen können.

Gynäkologischer Ultraschall

Bei gynäkologischen Beschwerden oder Verdachtsbefunden im Rahmen der Vorsorge ist in vielen Fällen der einfache Blick mittels Ultraschall wegweisend. Diese Untersuchung ist schmerzfrei und ohne großen Aufwand schnell verfügbar. Entweder kann bereits beruhigend Einfluss genommen werden oder eine gezielte weitere Diagnostik und Therapie eingeleitet werden. Diese Diagnostik wird in der Regel bereits in der bewährten Betreuung durch ihren Frauenarzt angeboten.

Bei Beschwerden, Auffälligkeiten und verdächtigen Befunden kooperieren viele Frauenärzte mit unserer Klinik.

Die Universitätsfrauenklinik Tübingen ist eines der größten gynäkologisch-operativen Zentren in Europa. Daher kommt der hiesigen bildgebenden Diagnostik eine besondere Bedeutung in der Indikationsstellung und OP-Planung zu. Nicht zuletzt ist beachten, dass die korrekte Erkennung von pathologischen Befunden im Bereich der Eierstöcke und Gebärmutter in erster Linie von der weitreichenden Erfahrung des Untersuchers und erst in zweiter Linie von der Gerätetechnik abhängig ist.

Im Folgenden sollen einige Beispiele der klinischen Schwerpunkte gezeigt werden:

Unabdingbare Voraussetzung ist eine klare Beschreibung der Veränderungen, um die korrigierenden operativen Eingriffe bestmöglich planen und vorab besprechen zu können.
In den letzten Jahren hat sich hier die dreidimensionale Sonographie etabliert . In erfahrener Hand ist sie der vielerorts üblichen Kernspintomographie mindestens gleichwertig, in einigen Studien sogar überlegen.

Uterus septiert
Uterus septiert

Die Universitätsfrauenklinik ist ein ausgewiesenes Zentrum für Pränataldiagnostik und Fehlbildungen des inneren Genitals. Diese bleiben lange symptomlos verborgen, können jedoch bei Eintritt der Pubertät, bei unerfülltem Kinderwunsch oder wiederholten Fehlgeburten in den Vordergrund treten. In vielen Fällen kann eine gezielte  operative Therapie die Beschwerden lösen bzw. die Schwangerschaftsraten verbessern. 

In erfahrener Hand kann hier der Verdacht entweder bereits ausgeräumt werden oder eine operative Abklärung in gemeinsamer Planung mit den hiesigen Operateuren eingeleitet werden. Die korrekte Erkennung von bösartigen Befunden des Eierstocks gelingt in erfahrener Hand in über
98% der Fälle.

Dermoidzyste
Ovarialkarzinom
Ovarialkarzinom

Veränderungen des Eierstocks sind gerade vor den Wechseljahren häufig funktioneller Natur und durch zyklusbedingte Einflüsse zu erklären. Diese sollten nicht beunruhigen und sind in aller Regel im natürlichen Verlauf abzuwarten. Raumforderungen am Eierstock können aber auch Beschwerden hervorrufen. Zum anderen sollten sie gegen bösartige Veränderungen abgegrenzt werden. Letztere sind selten, jedoch von ungünstiger Prognose, wenn sie ein fortgeschrittenes Stadium erreicht haben.

Die Abgrenzung zwischen einer einfachen funktionellen Veränderung, einer gutartigen Veränderung oder einer potentiell bösartigen Veränderung sollte primär sonographisch erfolgen.

Aufgrund der Vielfalt an möglichen Symptomen handelt es sich in der Differentialdiagnostik um ein Chamäleon. Insbesondere die Manifestation innerhalb des Eierstocks (Endometriome, Schokoladenzysten) oder innerhalb der Gebärmuttermuskulatur  weisen ein charakteristisches Ultraschallbild auf. Daher ist die Vaginalsonographie ein wichtiger Bestandteil der Diagnostik zur Erkennung der Endometriose.

Adenomyosis
Adenomyosis

Die Endometriose ist eine Erkrankung, die durch Auftreten von Gebärmutterschleimhaut-ähnlichem Gewebe außerhalb der Gebärmutterhöhle  geprägt ist. Das abnorm lokalisierte Gewebe kann ein Vielfalt an Symptomen auslösen. Von zyklusabhängigen Schmerzen, Blutungsunregelmäßigkeiten bis hin zum unerfüllten Kinderwunsch können diese Probleme reichen. 

2% aller Schwangerschaft nisten sich unglücklicher Weise außerhalb der Gebärmutter ein. Hier wird dies eigentlich mit Freude erwartete Ereignis der Schwangerschaft zur mütterlichen Gefährdung ohne Aussicht auf ein Austragen der Schwangerschaft.

In der deutlichen Mehrheit der Fälle nistet sich die Schwangerschaft in solchen Fällen im Eileiter ein und kann hier bei weiterem Wachstum zur Ruptur des Eileiters und schweren Blutungen führen. Daher sollte dieses Problem erkannt werden, bevor es zu solch fortgeschrittenen Komplikationen kommt.

Auf der anderen Seite erfahren viele Frauen bereits Wochen vor dem Sichtbarwerden der Fruchthöhle durch immer empfindlichere Urin- und Bluttests von dem Vorhandensein einer Schwangerschaft. In solchen Fällen ergibt sich zwangsläufig eine Phase der Ungewissheit, in der die Intaktheit und korrekte Lage der Schwangerschaft noch nicht abschließend beurteilt werden kann.

Eileiterschwangerschaft

Mithilfe regelmäßiger Bestimmungen des Schwangerschaftshormons und Ultraschallkontrollen soll hierbei möglichst sicher Klarheit geschaffen werden.
Die korrekte Erkennung einer Eileiterschwangerschaft gelingt unter entsprechender
Überwachung mittels Ultraschall in fast allen Fällen, bevor es zu Symptomen kommt,
so dass eine gute Sicherheit geboten werden kann und eine gezielte, meist operative Therapie im Falle des Nachweises einer Eileiterschwangerschaft eingeleitet werden kann.

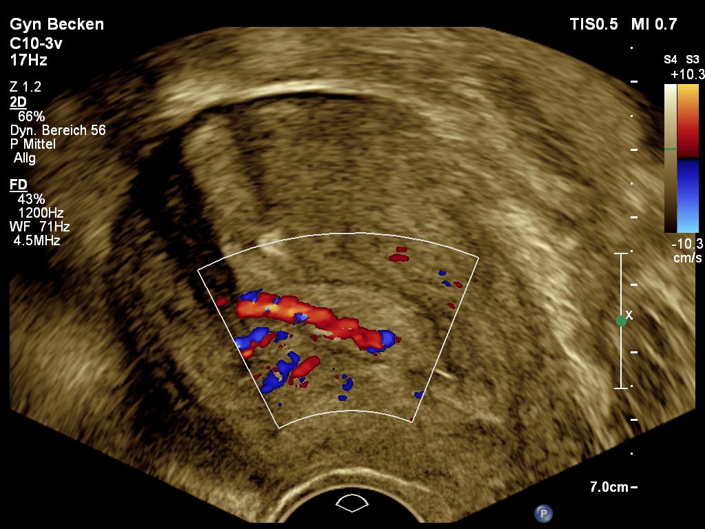
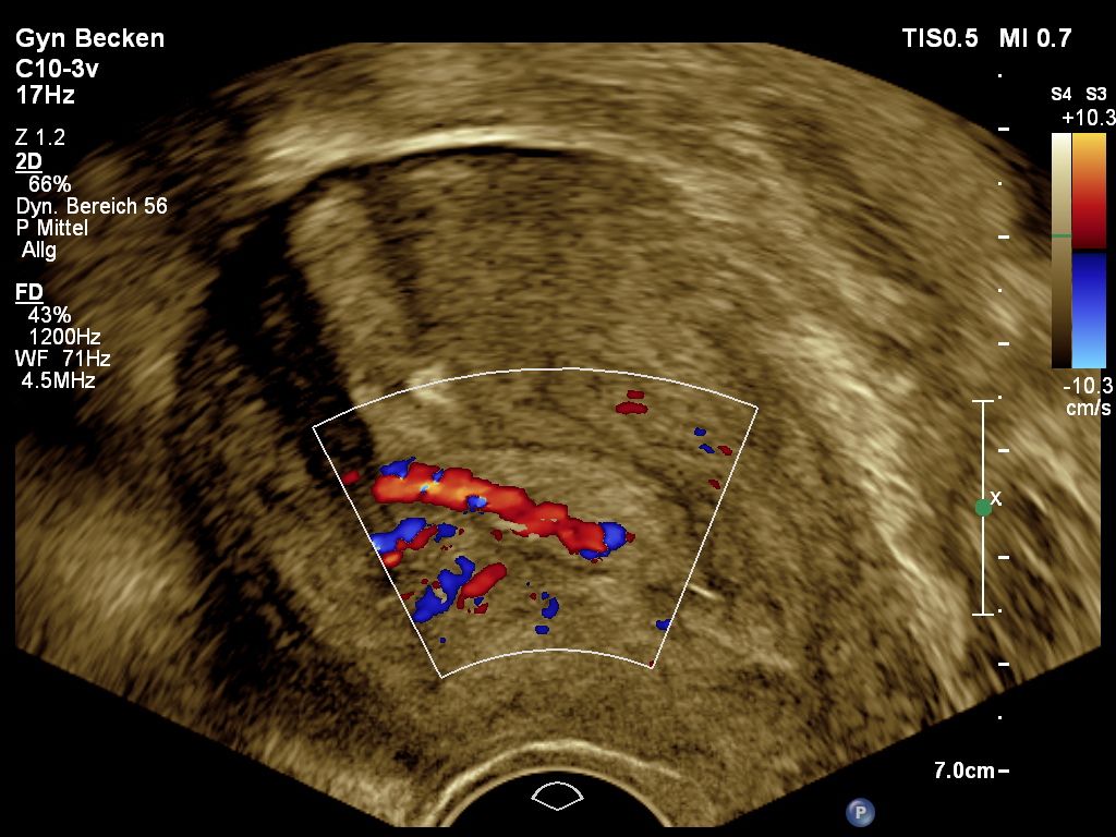
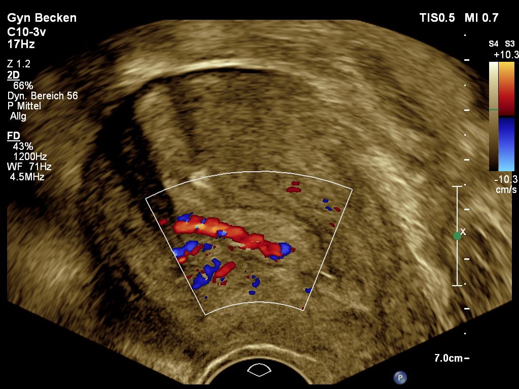
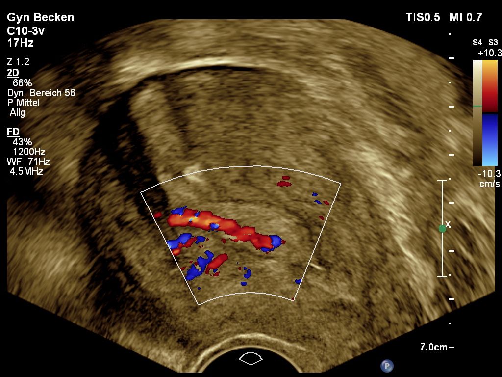
Innerhalb der Gebärmutter können sich gutartige wie bösartige Raumforderungen bilden, welche sich meist in Blutungsstörungen symptomatisch äußern. Bei gutartigen Befunden wie z.B. Polypen kann meist mit einem geringen operativen Aufwand Hilfe geleistet werden.

Unabhängig vom Ultraschall ist die Blutung nach den Wechseljahren ein frühes Verdachtsmoment für bösartige Veränderungen der Gebärmutterschleimhaut, welches weiterer, häufig operativer Diagnostik bedarf.  Der Ultraschall kann durch Messung der Dicke der Schleimhaut, durch Bestimmung der Durchblutung und Beurteilung der lokalen Struktur vorab zusätzliche Hinweise sammeln, die zu einer korrekten Erkennung bösartiger Veränderungen in über 91% der Fälle führen. Auch zur Ausbreitung der Veränderungen können wichtige Zusatzinformationen gesammelt werden. Insofern hat der Ultraschall einen festen Platz in der Diagnostik und Planung operativer Schritte bei solchen Veränderungen.

Endometriumpolyp-Doppler

Certificates and Associations