350

Address: Liebermeisterstraße 25
72076 Tübingen


Phone number: +49 7071 29-83754 Callcenter


Phone number: +49 7071 29-84555 Pforte


Molekulare Mykologie

Untersuchungen zur Interaktion von C. albicans – Virulenzfaktoren und der Immunantwort bei lokalisierten Kandidosen

Humanpathogene Pilze verursachen sehr häufig Infektionen von Haut und Schleimhaut, aber auch lebensbedrohende systemische Mykosen. Die Hefe Candida albicans gilt als der medizinisch wichtigste Pilz und wird zur gesunden mikrobiellen Flora des Menschen gezählt. Er verursacht in den meisten Fällen nur dann Infektionen, wenn natürliche Barrieren des Menschen geschädigt sind oder wenn das Immunsystem abgeschwächt ist. Unter diesen Voraussetzungen kommen Virulenzfaktoren von C. albicans zur Geltung, die dem Pilz das Überleben an Körperoberflächen oder das Vordringen zu tieferen Geweben und Organen ermöglichen.

Leiter

Prof. Dr. med. Martin Schaller

Phone number: +49 7071 29-86868

Forschungsschwerpunkte

  • Infektionsmodelle für lokalisierte Kandidosen auf der Basis von in vitro rekonstituierter humaner Haut und Schleimhaut
  • Interaktion von C. albicans mit immunkompetenten Zellen
  • Charakterisierung von Virulenzfaktoren und Immunantwort bei lokalisierten Kandidosen in vitro und in vivo
  • Konfokale Lasermikroskopie
  • Elektronenmikroskopie
  • Immunelektronenmikroskopie
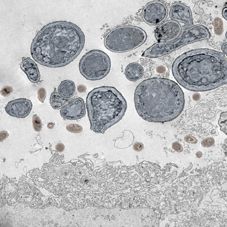
Haut-Rekonstrukt, infiziert mit Laktobazillen (braun) und Candida (blau)
Neutrophiler Granulozyt infiziert mit E. Coli Bakterien (braun)
Vergrößerung goldmarkiertes Cathelicidin in den Sekretgranula (blau)
Keratinozyten (grüne Zellkerne) infiziert mit Laktobazillen (grün) und Candida (rot/blau)

Forschungsförderung

  • Schwerpunktprogramm 1160 Kolonisation und Infektion humanpathogener Pilze, Deutsche Forschungsgemeinschaft Sch 897/3-2 DFG Graduiertenkolleg 685 Infektionsbiologie, Human- und pflanzenpathogene Bakterien und Pilze
  • BMBF-MedSys-Verbundvorhaben: Dr. Jekyll und Mr. Hyde-Ein systembiologischer Ansatz zur Behandlung nosokomialer Infektionen durch Candida albicans: Vom kommensalen Organismus zum lebensbedrohenden Pathogen, MedSys 0315409B NIH Grant 1 R01 DE017514-01, The oral mucosal proteome: perturbation in HIV infection and Candida co-infection. DFG-Sonderforschungsbereich 773, Zentralprojekt Mikromorphologie.

Certificates and Associations

Go to the main content