Okklusion paravalvulärer Lecks

Interventionelle Kardiologie

Okklusion paravalvulärer Lecks

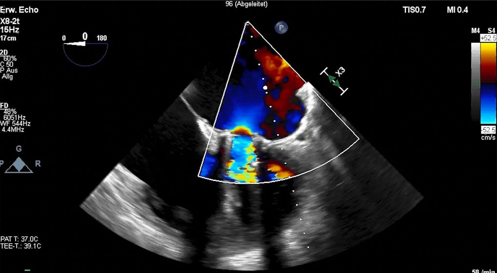
Im Laufe der Zeit können sich nach einem operativen Aortenklappen- oder Mitralklappen-Ersatz Undichtigkeiten im Bereich der Naht, neben der Herzklappe entwickeln.

Herzchirurgische  Zweiteingriffe  gehen mit einem erhöhten Risiko einher, da erneut der Anschluss an die Herz-Lungen-Maschine und die Brustkorberöffnung notwendig sind.

Die sog. paravalvulären Lecks  können wir seit geraumer  Zeit mit einem Schirmchen-(Okkluder)-System  erfolgreich verschließen. Diese Therapie stellt insbesondere für Hochrisiko-Patienten eine tolle Alternative dar, da der Eingriff  über einen Leistenzugang durchgeführt werden kann. Während des Eingriffes wird der Patient aus einem kompetenten Herzteam, bestehend aus einem interventionellen Kardiologen, einem Echokardiographeur, Herzchirurgen und Anästhesisten, begleitet. 

     

     

Ansprechpartner

PD Dr. med. Michal Droppa

E-mail address: michal.droppa@med.uni-tuebingen.de

Certificates and Associations

Go to the main content