Myelom

Multiples Myelom

Das Multiple Myelom ist die zweithäufigste bösartige hämatologische Erkrankung. Die Krankheit kann sich durch Knochenschmerzen und Knochenbrüche, aber auch durch eine Blutarmut (Anämie) oder durch eine Verschlechterung der Nierenfunktion ausdrücken. In den letzten Jahren haben sich die Möglichkeiten in Diagnostik und Therapie der Myelomerkrankung nachhaltig verbessert. Bei keiner hämatologischen Erkrankung wurden in den letzten 10 Jahren so große Fortschritte erzielt. Es wurden neue Therapiestandards gesetzt und neue Medikamente verfügbar gemacht. An unserem Zentrum sind neue bildgebende Verfahren und Verfahren zur extrakorporalen Therapie (sog. Leichtkettendialyse) entwickelt worden, die zur optimierten Diagnostik und Therapie der Erkrankung beitragen.

Das Multiple Myelom ist eine Krebserkrankung der Plasmazellen, einer Untergruppe der lymphatischen Zellen. Sie befinden sich überwiegend im Knochenmark.

Gesunde Plasmazellen spielen eine wichtige Rolle in der körpereigenen Infektabwehr und produzieren eine Vielfalt an Eiweißstoffen (genannt „Antikörper“ oder „Immunglobuline“) gegen verschiedene Krankheitserreger.

Beim Multiplen Myelom sind Plasmazellen entartet und bösartig. Sie vermehren sich ungebremst und produzieren dabei Immunglobuline, die für die Immunabwehr funktionslos sind. Die Gesamtheit dieser funktionslosen Immunglobuline wird als „M-Gradient“ oder „monoklonales Protein“ bezeichnet und lässt sich gut im Blut messen. Die Höhe des „M-Gradienten“ korreliert mit der Menge an bösartigen Plasmazellen (auch „Myelomzellen“ genannt) im Körper.

Jährlich erkranken in Deutschland etwa 3600 Männer und 2900 Frauen an einem Multiplen Myelom. Männer sind damit etwas häufiger betroffen. Der Häufigkeitsgipfel der Neuerkrankungen liegt zwischen dem 60. und 80. Lebensjahr, kann jedoch bei Erwachsenen prinzipiell in jedem Alter auftreten.

Die Ursachen für die bösartigen Veränderungen der Plasmazellen beim Multiplen Myelom sind weitestgehend unklar. Ein geringgradig erhöhtes Risiko haben erstgradig Verwandte von Erkrankten. Eine hohe Strahlendosis scheint ebenfalls ein schwacher Risikofaktor zu sein.

Ein bekannter Risikofaktor ist die monoklonale Gammopathie unklarer Signifikanz (MGUS), also die monoklonale Vermehrung von Immunglobulinen, ohne dass die Diagnosekriterien des Multiplen Myeloms erfüllt sind. Die monoklonale Gammopathie unklarer Signifikanz wird bei 3,5% der Menschen zwischen dem 45. und dem 75. Lebensjahr beobachtet und steigt mit zunehmendem Alter. Es besteht ein 1%-Risiko/Jahr, in ein behandlungsbedürftiges Myelom überzugehen. Daher sollten Patienten mit einer monoklonalen Gammopathie in 6-12 monatigen Abständen hämatologisch verlaufskontrolliert werden.

Die Symptome des Multiplen Myeloms können sehr unterschiedlich und am Anfang häufig unspezifisch sein. Selten gibt es auch Patienten, die keine Symptome haben und bei denen ein multiples Myelom als Zufallsdiagnose im Labor gefunden wird.

Prinzipiell lassen sich die Symptome durch die Eigenschaften und den Entstehungsmechanismus des Multiplen Myeloms erklären.

Das häufigste Symptom sind langsam schlimmer werdende Knochenschmerzen. Diese sind zumeist im Stammskelett lokalisiert und sind durch eine Zerstörung des Knochens bedingt, da die Myelomzellen über Botenstoffe die knochenabbauenden Zellen (Osteoklasten) stimulieren und die knochenaufbauenden Zellen (Osteoblasten) hemmen. Dadurch kommt es zu sogenannten Osteolysen (lokale Knochenauflösung), die den Knochen schwächen. Im schlimmsten Fall kann der Knochen spontan oder bei geringer Belastung brechen („pathologische Fraktur“). Durch den vermehrten Knochenabbau kann es wiederum zu einer vermehrten Freisetzung von Kalzium kommen, welche als Hyperkalzämie im Blut messbar wird und zu Symptomen wie Verwirrtheit und Nierenversagen führen kann.

Durch die Expansion von Plasmazellen kann die gesunde Blutbildung im Knochenmark verdrängt werden. Eine Folge ist der Mangel an roten Blutkörperchen (=Anämie), welcher sich häufig in einer Leistungsminderung, Müdigkeit und Abgeschlagenheit (=Fatigue) oder Kurzatmigkeit äußert. Durch die Bildung von nicht funktionsfähigen, monoklonalen Antikörpern entsteht ein sekundärer Mangel funktionstüchtiger Antikörper, was in einer Infektneigung resultieren kann.

Die von den Myelomzellen vermehrt produzierten Eiweiße werden über die Niere ausgeschieden, wodurch die Niere selbst geschädigt werden und es zu einer Verschlechterung der Nierenfunktion bis hin zum Nierenversagen kommen kann. Auch kann durch die vermehrte Ausscheidung von Eiweißen manchmal ein schäumender Urin beobachtet werden.

Symptome des Multiplen Myeloms und ihre Häufigkeit bei Diagnosestellung:

  • Knochenschmerzen (60%)
  • Hyperkalzämie (10-20%)
  • Fatigue (40%)
  • Infektneigung (10-20%)
  • Verschlechterung der Nierenfunktion und schäumender Urin
  • Gewichtsverlust



Diagnostik

Bei Verdacht auf das Vorliegen eines Multiplen Myeloms sollte eine spezielle Labordiagnostik, eine Knochenmarkpunktion und Bildgebung (CT/MRT) erfolgen. 

Wegweisend für die Diagnose des Myeloms ist der Nachweis eines monoklonalen Proteins, das sogenannte M-Protein oder Paraprotein (IgG oder IgA, selten IgM oder IgD) bzw. Teile davon (Leichtkettenmyelom vom Typ “kappa” bzw. “lambda”). Dieses M-Protein kann im Blut und/oder im Urin mittels Elektrophorese und Immunfixation nachgewiesen werden und korreliert in etwa mit der Menge der Myelomzellen im Knochenmark.

Abbildung der Elektrophorese

Selten kommt es vor, dass weder im Serum noch im Urin ein monoklonales Protein bzw erhöhte Leichtketten nachgewiesen werden, obwohl ein Multiples Myelom im Knochenmark vorliegt. Dann spricht man von einem sogenannten asekretorischen Myelom, welches keine Antikörper oder Teile davon produziert. Patienten mit einem asekretorischen Myelom fallen in der Regel über Knochenschmerzen und Nachweis von Osteolysen im CT auf.

Um den Grad der Knochenschädigung (Osteolysen) bei Diagnosestellung zu ermitteln, erfolgt außerdem eine Ganzkörper-Computertomographie (GK-CT). Ergänzend wird häufig auch eine Ganzkörper-MRT durchgeführt, um den Befall des Knochenmarks sowie der Weichteile zu überblicken.

Unerlässlich für die Diagnose des Multiplen Myeloms ist außerdem eine Knochenmarkpunktion aus dem Beckenkamm. Aus den Proben wird der Infiltrationsgrad des Knochenmarks durch die Myelomzellen bestimmt und eine molekulare Diagnostik zur Risiko- und Prognoseeinschätzung durchgeführt. Das multiple Myelom gilt als gesichert, wenn ≥10% klonale Plasmazellen im Knochenmarkausstrich/-biopsat nachgewiesen werden.

Dann ist zunächst zwischen dem sog. smoldering multiplen Myelom (asymptomatisches/frühes multiples Myelom) und dem behandlungspflichtigen Multiplen Myelom zu unterscheiden. 

Letzteres ist der Fall, wenn eine Organschädigung durch das Myelom eingetreten ist oder bestimmte Risikobefunde vorliegen (zusammengefasst als Akronym: „SLiM CRAB-Kriterien“).

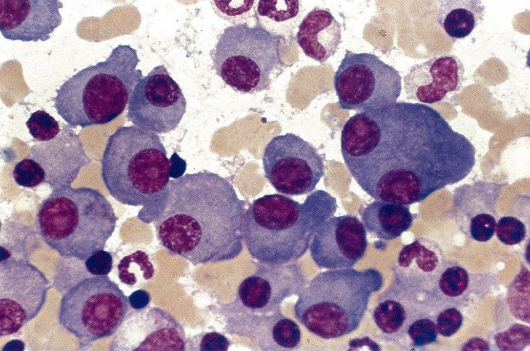
Wissenschaftliche Abbildung: Histologisches Bild der Plasmazellen
Plasmazellvermehrung im Knochenmark bei Multiplem Myelom

SLiM CRAB-Kriterien

  • S = Anteil der klonalen Plasmazellen im Knochenmark >60 %
  • Li = Verhältnis von beteiligten zu unbeteiligten freien Leichtketten im Serum >100 und betroffene freie Leichtkette mit einer Konzentration von >100 mg/l
  • M = mehr als eine fokale Läsion in der MRT >5mm (=hochkonzentrierte Plasmazellansammlung)
  • C = Hyperkalziämie
  • R = Niereninsuffizienz
  • A = Anämie
  • B = Knochenerkrankung (= Osteolysen im CT)

Kann die Diagnose eines therapiebedürftigen multiplen Myeloms gestellt werden, erfolgt eine Stadieneinteilung zur Prognoseeinschätzung, die sich nach Laborwerten und molekulargenetischen Veränderungen der bösartigen Plasmazellen richtet.

Die Stadieneinteilung der Erkrankung erfolgt nach dem Internationalen Staging System (ISS). Hier fließen folgende Werte ein:

  • Beta 2-Mikroglobulin
  • Serum-Albumin

2015 wurde der Revised ISS (R-ISS) veröffentlicht, welcher zusätzlich die LDH und die zytogenetische/molekulare Charakterisierung einbezieht. Somit kann nun eine bessere Diskriminierung in Risikogruppen sowie Prognoseabschätzung erfolgen.

Die molekulare Charakterisierung der Myelomzellen erfolgt über die sogenannte Interphase-Fluoreszenz-in situ-Hybridisierung (iFISH) aus dem Knochenmarkspunktat. Hier können Zugewinne und Verluste (= Deletionen) sowie Verschiebungen (= Translokationen) genetischen Materials festgestellt werden. Als prognostisch ungünstige Hochrisiko-Aberrationen gelten derzeit folgende:

  • Deletion Chromosom 17 (del17p)/ tp53-Mutation
  • Zugewinn von Chromosom 1q21
  • Translokation t(4;14)
  • Translokation t(14;16)

Behandlung am Myelomzentrum Tübingen

Behandlung am
Myelomzentrum Tübingen

Das Myelomzentrum Tübingen zählt zu den größten europäischen Zentren zur Behandlung der Myelomerkrankung. Hier werden für Patienten in allen Krankheitsphasen, vom asymptomatischen Myelom bis hin zur mehrfach vorbehandelten Erkrankung, klinische Studien angeboten. Im Verbund der GMMG-Studiengruppe, sowie als eines der führenden Zentren internationaler Studien, können wir Patienten mit Multiplen Myelom eine optimierte Behandlung anbieten, eingebettet in die neusten Entwicklungen.

Mehr zum Myelomzentrum Tübingen

Myelomsprechstunde

Als eines der führenden Zentren internationaler Studien, können wir Patienten mit Multiplen Myelom eine optimierte Behandlung anbieten, eingebettet in die neusten Entwicklungen.

Zur Sprechstunde

Aktuelle Studien

Wir bieten für Patienten und Patientinnen in allen Krankheitsphasen, vom asymptomatischen Myelom bis hin zur mehrfach vorbehandelten Erkrankung, klinische Studien an.

Studienübersicht

Unsere Experten

Portraitfoto

Dr. med. Britta Besemer

Oberärztin
Leitung Myelomsprechstunde, Fachärztin für Innere Medizin und Hämatologie/Onkologie

Person profile: Mehr zur Person

Dr. med. Max-Felix Häring

Facharzt für Innere Medizin und Hämatologie und Onkologie

Person profile: Mehr zur Person

Dr. med. Aileen Schenk

Ärztin in Weiterbildung

Person profile: Mehr zur Person

Dr. med. Sina Beer

Ärztin in Weiterbildung

Person profile: Mehr zur Person

Kooperationen

Weiterführende Links

Certificates and Associations