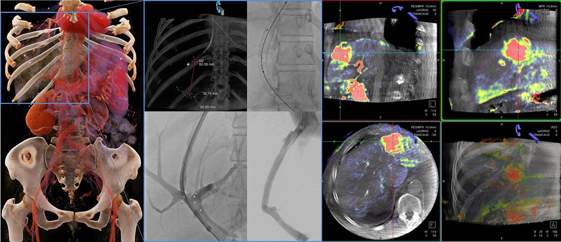
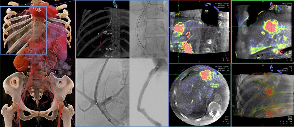
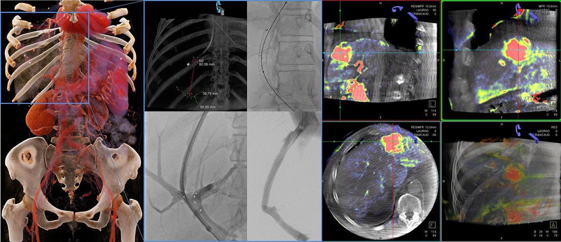
Die Arbeitsgruppe Angiographie befasst sich mit neuen klinischen Entwicklungen und Anwendungen im gesamten Gebiet der interventionellen Radiologie. Dabei werden vor allem Themen der endovakulären Gefäßtherapie sowie der interventionellen Onkologie bearbeitet.
AG Angiographie
Kontakt
Arbeitsgruppenleiter:
frontend.sr-only_#{element.icon}: Prof. Dr. med. Gerd Grözinger
Mehr zur Person

Weitere Mitarbeiter
- PD Dr. med. Christoph Artzner
- Prof. Dr. med. Rüdiger Hoffmann
- Dr. med. Felix Peisen
- Dr. med. Arne Estler
- Michael Maurer
Schwerpunkte und Themen der Arbeitsgruppe
- Multizentrische Studien: Aktuell Studienzentrum für eine Vielzahl an multizentrischen Studien (Gefäßmedizin, Interventionelle Onkologie)
- Klinische Evaluation von röntgendichten Embolisationspartikeln
- Evaluation des Cone-Beam CT bei TACE, SIRT, Bronchialarterienembolisation, Blutungen, TIPSS etc.)
- Therapie der pAVK: Evaluation fortgeschrittener Zugangs- und Crossing-Techniken bei Gefäßinterventionen.
- Klinische Evaluation der Chemosaturation
Aktuelle Studien des Gefäßzentrums
Studie | Illumentate BTK | Eminent | Torus PQ Bypass |
---|---|---|---|
Zielgefäße | Arteria Poplitea u. Infrapoliteal | Arteria femoralis superficialis | Arteria femoralis superficialis |
Läsionslänge | 6 - 32 cm | 3 - 14 cm | 8 - 18 cm |
Was wird untersucht? | Drug-eluting Ballon gegen nicht beschichteten Ballon | Drug-eluting Stent vs. Bare Stent | Covered Stent (Stent mit Außenhaut) |
Relevante Publikatioen der AG
-
2018
CT-Guided Translumbar Placement of Permanent Catheters in the Inferior Vena Cava: Description of the Technique with Technical Success and Complications Data.
Grözinger G, Grosse U, Syha R, Hoffmann R, Partovi S, Nikolaou K, Stahl S, Königsrainer A, Thiel K, Thiel C. Cardiovasc Intervent Radiol. 2018 Sep;41(9):1356-1362.
-
2016
Three-dimensional C-arm CT-guided transjugular intrahepatic portosystemic shunt placement: Feasibility, technical success and procedural time.
Ketelsen D, Groezinger G, Maurer M, Lauer UM, Grosse U, Horger M, Nikolaou K, Syha R. Eur Radiol. 2016 Dec;26(12):4277-4283.
-
2016
Parenchymal Blood Volume Assessed by C-Arm-Based Computed Tomography in Immediate Posttreatment Evaluation of Drug-Eluting Bead Transarterial Chemoembolization in Hepatocellular Carcinoma.
Syha R, Grözinger G, Grosse U, Maurer M, Zender L, Horger M, Nikolaou K, Ketelsen D. Invest Radiol. 2016 Feb;51(2):121-6.
-
2016
Assessment of the parenchymal blood volume by C-arm computed tomography for radioembolization dosimetry.
Grözinger G, Kupferschläger J, Dittmann H, Maurer M, Grosse U, la Fougère C, Nikolaou K, Syha R, Ketelsen D. Eur J Radiol. 2016 Sep;85(9):1525-31.
-
2015
Quantitative Assessment of Iron-Labeled Stem-Cell Adhesion at the Vessel Wall in a Vascular Flow Model: Correlation of T2*-Weighted Imaging at 3 T and Histology.
Grözinger G, Schick F, Eibofner F, Wiesinger B, Schenk M, Grosse U, Wendel HP, Elser S, Nikolaou K, Schmehl J. J Vasc Interv Radiol. 2015 Nov;26(11):1728-34.e1-3.
Certificates and Associations

Focus: Top National Hospital 2025

Stern: Germany's Outstanding Employers in Nursing 24/25

Quality partnership with the PKV

Family as a success factor

Pension provision for the public sector