Venöse Interventionen

Behandlungsspektrum bei venösen Erkrankungen:

  • Implantation von Cavafiltern bei Beckenvenenthrombose
  • Behandlung der tiefen Beinvenenthrombose (Ilio-femorale Thrombose) mit Thombektomie und Lyse.
  • Stentangioplastie bei May-Thurner Syndrom oder postthrombotischem Syndrom (PTS) zur Rekanlisation verschlossener Beckenvenen Stentangioplastie bei oberer Einflussstauung.
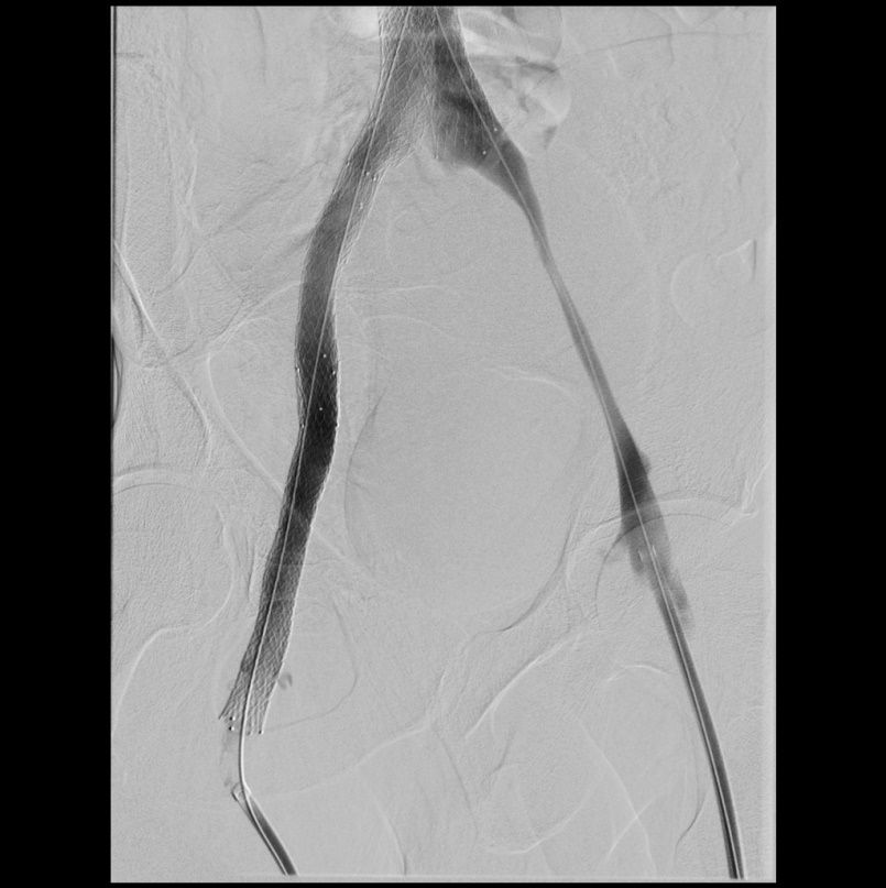
Venöse Intervention
Venöse Intervention

Beispiel eins Patienten mit Postthrombotischem Syndrom des rechten Beines (Schmerzen und Schwellung). Verschluss der Beckenvenen rechts (linkes Bild).

Rekanalisation mit Dilatation und Stents der rechtsseitigen Beckenvenen  (rechtes Bild). Hierdurch wieder freier Fluss in den Beckenvenen.

Certificates and Associations

Go to the main content