Zentrum für Muskuloskelettale Diagnostik

Über uns

Die Abteilung für diagnostische und Interventionelle Radiologie des Universitätsklinikums Tübingen ist zusammen mit der Abteilung Radiologie der BG Unfallklinik Tübingen als Zentrum für Muskuloskelettale Radiologie von der deutschen Röntgengesellschaft (DRG) zertifiziert und deckt mit hoher Expertise das gesamte Gebiet der muskuloskelettalen Diagnostik und Therapie ab. Wir betreiben in diesem Rahmen sowohl Erstdiagnostik in der Akutsituation als auch die weiterführende Diagnostik für akute und chronische, erworbene und angeborene Störungen des Bewegungsapparates.

Als universitäres Zentrum im Bereich der muskuloskelettalen Radiologie ist uns auch die Aus-und Weiterbildung von Assistenz- und Fachärzten sowie unserer MTRA ein großes Anliegen. Daher beteiligen wir uns aktiv und regelmäßig auf nationalen und internationalen Kongressen sowie abteilungsinternen Fortbildungsveranstaltungen mit dem Ziel einer Stärkung und Qualitätssteigerung im Bereich der muskulosklettalen Radiologie. Aus diesem Grund haben wir für Fachärzte ein strukturiertes Fellowship-Programm in muskuloskelettaler Radiologie ins Leben gerufen, welches die anschließende Zertifizierung als spezialisierter muskuloskelettaler Radiologe durch die nationalen und internationalen Fachgesellschaften ermöglicht. Darüber hinaus sind wir auch im Bereich der Forschung aktiv und führen verschiedene klinische und Grundlagen-orientierte Studien im Bereich der muskuloskelettalen Radiologie durch. Es besteht z.B. eine enge Zusammenarbeit mit der Klinik für Unfall- und Wiederherstellungschirurgie, der Klinik für Hand-, Plastische, Rekonstruktions- und Verbrennungschirurgie der BG Klinik Tübingen sowie der orthopädischen Klinik, der Rheumatologie und dem Zentrum für Weichteilsarkome und Knochentumore des UKT.

Ansprechpartner

Prof. Dr. med. Fabian Springer

Ltd. Oberarzt, Bereichsleitung BG Unfallklinik Tübingen
Leitung des Zentrum für muskuloskelettale Radiologie an UKT / BG

Phone number: +49 7071 60-63302

Phone number: +49 7071 29-86676 (Oberarzt Sekretariat)

Fax number: 07071 29-5845

E-mail address: fabian.springer@med.uni-tuebingen.de

MRT Aufnahme eines Kniegelenks
CT Aufnahme der Handwurzelknochen bei Zustand nach osteosynthetischer Versorgung einer Kahnbein-Fraktur.
MRT Aufnahme des Schultergelenks mit intraartikulärer Injektion von Kontrastmittel (MR-Arthrographie) zur detaillierten Darstellung der Gelenk-Binnenstrukturen.
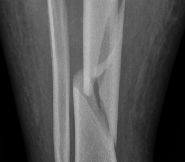
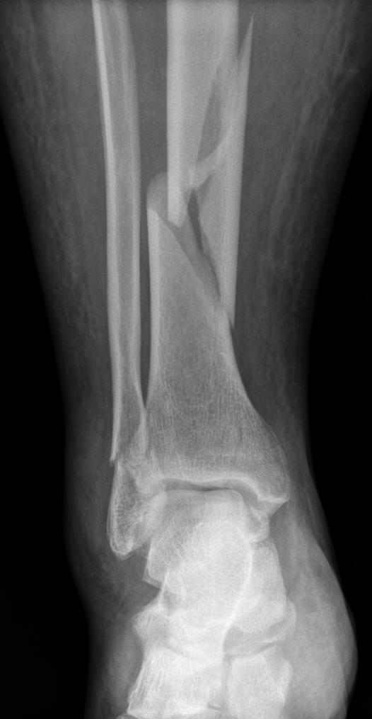
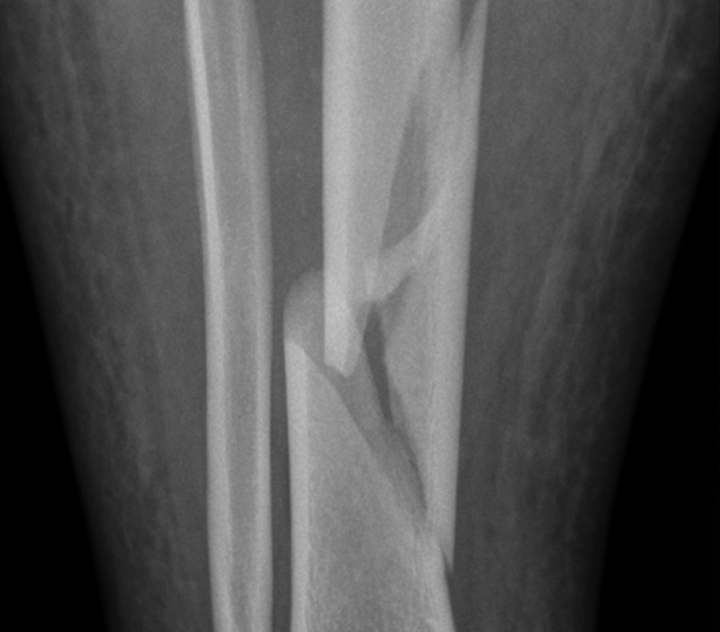
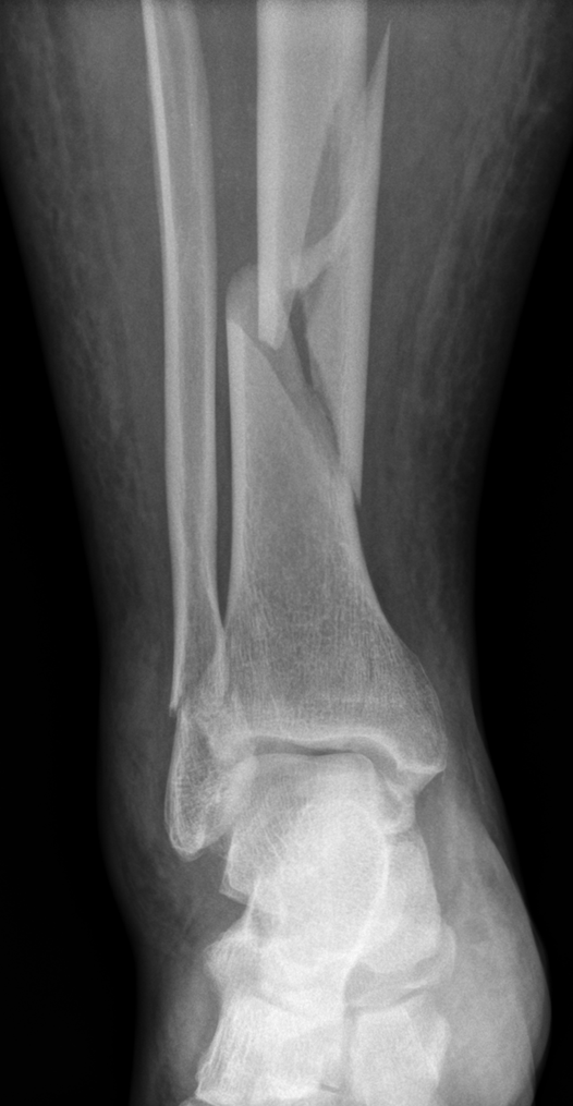
Röntgenaufnahme des Unterschenkels bei komplexer Fraktur von Scheinbein und Wadenbein.

AG MSK BG

Geräteausstattung

Wir verfügen am Universitätsklinikum Tübingen und der BG Unfallklinik Tübingen über eine breite Palette modernster Geräte. 

Neben zahlreichen Magnetresonanztomographie-(MRT)-Systemen mit 1,5T und 3T Feldstärke mit breiter Patientenöffnung (70cm) und Computertomographie-(CT)-Systemen (Dual-Source / Dual-Energy sowie Single-Source 128 Zeilen Detektorsysteme) neuester Bauart zur Schnittbildgebung und minimal-invasiver Therapie stehen uns auch modernste Angiographie-, digitale Röntgen- und Ultraschallsysteme zur Verfügung. Über eine enge Kooperation mit der Klinik für Nuklearmedizin des Universitätsklinikums Tübingen können wir darüber hinaus auch spezielle nuklearmedizinische Untersuchungsverfahren wie z.B. die Skelett-Szintigraphie und SPECT/CT, aber auch PET/CT und PET/MRT für spezielle Fragestellungen im Bereich der muskuloskelettalen Diagnostik anbieten.

Kompetenzen

  • Digitales Röntgen des gesamten Skelettsystems und der übrigen Organsysteme inkl. Ganzbeinstandaufnahmen sowie Stressaufnahmen aller Gelenke
  • Röntgendurchleuchtung der Gelenke bzw. des Stammskeletts zur dynamischen Untersuchung von Bandinstabilitäten
  • Ultraschall-Untersuchungen des weichteiligen Bewegungsapparates bzw. der Gelenke (ggf. auch mit ergänzender Elastographie bzw. als kontrastmittel-verstärkter Ultraschall (CEUS)
  • Hochauflösende CT-Diagnostik des Bewegungsapparates ohne und mit Applikation von intra-venösem Kontrastmittel
  • CT-Diagnostik in Dual-Energy Technik zum Gichtnachweis
  • CT-Rotationsbestimmungen der Extremitäten mit minimaler Strahlenbelastung
  • Knochendichtemessung mittels qCT an der Lendenwirbelsäule (DEXA äquivalent)
  • Hochauflösende MRT-Untersuchungen des gesamten Bewegungsapparates inkl. Wirbelsäule und Weichteile bei 1,5 Tesla und 3 Tesla mit und ohne Applikation von intra-venösem Kontrastmittel z.B. bei orthopädischen, sportmedizinischen, traumatologischen oder rheumatologischen Fragestellungen
  • MRT-Untersuchungen mit dezidierter Artefaktunterdrückung auch bei Implantaten oder Prothesen
  • Direkte MRT- und CT-Arthrographien aller Gelenke
  • Ultraschall-/CT- oder MRT-gesteuerte Biopsien der Weichteile und Knochen
  • Diagnostische und therapeutische CT-gesteuerte Infiltrationen z.B. von Nervenwurzeln, Facettengelenken oder des ISG-Gelenks an der Wirbelsäule
  • CT-gesteuerte Radiofrequenzablation (RFA) von Osteoidosteomen / Osteoblastomen

zur BG Klinik Tübingen, Abteilung Radiologie

Certificates and Associations

Go to the main content