Neuigkeiten - Ältere Beiträge

Förderung von der Else Übelmesser-Stiftung

Konstanze Letta (AG Prof. Mahmoud Toulany) erhält eine Förderung von der Else Übelmesser-Stiftung.

Förderung der Else Übelmesser-Stiftung

Frau cand. med. Konstanze Letta (AG Prof. Mahmoud Toulany) erhält eine Förderung von der Else Übelmesser-Stiftung für Ihre Doktorarbeit zum Thema,” RSK-Targeting in Kombination mit
Strahlentherapie”.
Wir gratulieren Frau Lettau und wünschen Ihr viel Erfolg!

Studien für Patienten mit Prostatakrebs: MR-geführte Strahlentherapie mit Schonung von Harnblase, Harnröhre, Darm und Potenz

Studien für Patienten mit Prostatakrebs: MR-geführte Strahlentherapie mit Schonung von Harnblase, Harnröhre, Darm und Potenz

Die Universitätsklinik für Radioonkologie bietet zwei Studien (Mbase) für Patienten mit Prostatakrebs an. Die Behandlung erfolgt am MR-Linac, ein neues Geräte, das MR-Bildgebung mit einem Bestrahlungsgerät kombiniert. Dadurch ist der Tumor in Echtzeit während der Bestrahlung für den Arzt sichtbar und es kann schonender behandelt werden. 

Mehr zur den Studien

Radiochemotherapie bleibt Therapiestandard bei fortgeschrittenem Gebärmutterhalskrebs

Eine neue Studie [1] untersuchte, ob bei Patientinnen mit fortgeschrittenem Gebärmutterhalskrebs eine der Standardtherapie vorgeschaltete Chemotherapie das Rückfallrisiko senkt und das Überleben verbessert. Das war nicht der Fall –  im Gegenteil, die zusätzliche Therapie ging sogar mit einem schlechteren progressionsfreien 3-Jahres-Überleben einher. Behandlungsstandard bleibt in fortgeschrittenen Stadien die Radiochemotherapie.

Zur ganzen Meldung

In einem Jahr von Maultaschen zur 1000. Bestrahlung – Tübingens erstes Jahr mit dem 1,5 T MR-Linac Unity

Nur 9 Monate nach der ersten Behandlung hat die Universitätsklinik für Radioonkologie am MR-Linac die 1000. Bestrahlung durchgeführt. Der MR-Linac vereint MR-Bildgebung und Linearbeschleuniger in einem Gerät. Damit kann in Echtzeit die Bestrahlung an den Tumor noch präziser angepasst werden. Weltweit gibt es im Moment nur acht solcher Geräte im klinischen Betrieb. Die Tübinger Radioonkologen waren unter den Ersten, die mit dem MR-Linac Patienten behandelt haben und sind mit 1000 durchgeführten Bestrahlungen weltweit führend. 

Das erste Jahr mit dem MR-Linac: Prof. Daniela Thorwarth und Prof. Daniel Zips erzählen im RTF1 Interview von den ersten klinischen Erfahrungen mit dem neuen Gerät. 

Zum Interview

Wie laufen die Behandlungen am MR-Linac? – ein Update

Vor einem Jahr wurde am Universitätsklinikum Tübingen ein neues MR-Hybridgerät installiert, der MR-Linac. Das Besondere daran ist die Kombination der MR-Bildgebung mit einem Bestrahlungsgerät. Dadurch ist der Tumor in Echtzeit während der Bestrahlung für den Arzt sichtbar.
Seit September 2018 werden nun Patienten am MR-Linac behandelt. Kurz vor der 1000. Untersuchung erzählt Prof. Daniel Zips im Gespräch mit Martin Gramlich von SWR2 von den Erfahrungen.

Prof. Dr. Daniel Zips unter Deutschlands Top-Ärzten in Focus-Ärzteliste 2019

Prof. Dr. Daniel Zips ist wieder in der aktuellen Erhebung des Magazins Focus-Gesundheit* unter Deutschlands Top-Ärzten genannt. Das Magazin zählt Spitzen-Mediziner in 16 Ärzte-Listen auf, die sich bei der Behandlung bestimmter Erkrankungen unter ihren Fachkollegen einen besonders guten Ruf erarbeitet haben. Wichtigste Bewertungsgrundlage ist das Urteil der Fachkollegen und der Patienten.
Nur wenn ein Mediziner häufig von seinen Kollegen empfohlen wird, kommt er in die nähere Auswahl für die Expertenliste. Auch die Anzahl wissenschaftlicher Publikationen und durchgeführter Studien fließt in die Bewertung ein. Patientenbewertungen sind ein weiterer wichtiger Baustein.


Insgesamt werden 46 Tübinger Universitätsmediziner  in unterschiedlichen Fachbereichen und Spezialisierungen in der Top-Ärzte Liste geführt.

Mehr erfahren

Copyright: MCI Thomas Ecke

Dissertationspreis der DEGRO für Frau Dr. Hauth

Für ihre experimentelle Doktorarbeit wurde Frau Dr. Franziska Hauth auf der 25. Jahrestagung der Deutschen Gesellschaft für Radioonkologie mit dem Dissertationspreis ausgezeichnet.
Der Preis ist mit 1.500 € dotiert und wird jedes Jahr an vielversprechende NachwuchswissenschaftlerInnen verliehen.
In ihrer Arbeit untersuchte Frau Dr. Hauth den Zusammenhang zwischen Strahlenempfindlichkeit und Tumorhypoxie. 

Die Ergebnisse konnten bereits publiziert werden:

Zur Publikation: https://www.ncbi.nlm.nih.gov/pubmed/29594212)

Frau Dr. Hauth wird im Junior Clinician Scientist Programm der Medizinischen Fakultät gefördert.

Studienpreis der Arbeitsgemeinschaft Radiologische Onkologie für Herr Dr. Gani

Auf der 25. Jahrestagung der Deutschen Gesellschaft für Radioonkologie e.V. (DEGRO) wurde Dr. Cihan Gani von der Arbeitsgemeinschaft Radiologische Onkologie der Deutschen Krebsgesellschaft der diesjährige Studienpreis verliehen. Dr. Gani erhält diese Ehrung für sein innovatives Studienkonzept in der CAO/ARO/AIO-16 Studie.

Die Studie mit Patienten mit Rektumkarzinom wird an vier Standorten in Deutschland (Würzburg, Frankfurt a. Main, Erlangen, Tübingen) unter der Leitung von Dr. Gani durchgeführt. Ziel dieser Organerhaltstudie ist es, durch eine intensive Radiochemotherapie (ggfs. mit Hyperthermie) eine komplette Rückbildung des Tumors zu erreichen und nachfolgend statt einer Operation eine engmaschige Verlaufskontrolle durchzuführen. Hiervon profitieren möglicherweise v.a. Patienten, die sonst im Rahmen der Operation die Anlage eines dauerhaften künstlichen Darmausgang benötigen würden.

Zu den Einschlusskriterien dieser Studie zählen unter anderem die Diagnose eines histologisch gesicherten Rektumkarzinoms des unteren oder mittleren Rektumdrittels im UICC Stadium II oder III und der Ausschluss von Fernmetastasen. 

Mehr Informationen zur Studie

Kontakt bei Interesse an dieser Studie:
Dr. Cihan Gani

cihan.gani@med.uni-tuebingen.de

07071 29-68338

Studienzentrale:

07071 29-83420           

Stereotaktische Bestrahlung von Metastasen verlängert Gesamtüberleben

Zwei kürzlich publizierte Studien unterstützen weiter den Nutzen einer stereotaktischen Bestrahlung von Metastasen bei Patienten mit Oligometastasierung, das heißt maximal drei bis fünf Metastasen. In der ersten Studie, die am MD Anderson Cancer Center Houston durchgeführt wurde, wurden Patienten mit nicht-kleinzelligem Lungenkrebs, deren Tumorleiden unter Chemotherapie nicht fortschritt und die maximal drei Metastasen hatten, behandelt. Es wurde randomisiert zwischen einer Standardtherapie (Systemtherapie oder Behandlungspause) oder einer Behandlung der Metastasen, wobei sowohl eine Operation als auch Bestrahlung möglich war. Der Großteil der Patienten erhielt hierbei eine Bestrahlung. Die Studie musste nach Einschluss von 49 Patienten vorzeitig abgebrochen werden, da sich bereits ein deutlicher Überlebensvorteil für die Metastasenbehandlung zeigte. Das mediane Überleben verlängerte sich von 17 auf 41 Monate.
Die Originalpublikation zur Studie

Ähnliche Ergebnisse zeigte die SABR-COMET Studie, die an zehn Zentren in Kanada, den Niederlanden, Schottland und Australien durchgeführt wurde. In dieser Studie wurden 99 Patienten mit unterschiedlichen Krebserkrankungen und höchstens fünf Metastasen, die ähnlich wie in der vorangegangenen Studie nach einer Chemotherapie nicht fortgeschritten waren, eingeschlossen. Es erfolgte die Randomisierung in eine Standardbehandlung oder eine stereotaktische Bestrahlung aller Metastasen. Auch in der SABR-COMET Studie zeigte sich eine Verlängerung des medianen Überlebens (18 auf 41 Monate).
Die Originalpublikation zur Studie

In der Universitätsklinik für Radioonkologie in Tübingen werden bereits seit Jahren stereotaktischen Behandlungen von Metastasen durchgeführt. Vor allem für die Behandlung von Metastasen im Bauchbereich einschließlich der Leber eröffnen sich seit September 2018 mit der Inbetriebnahme des Magnetresonanz-Linearbeschleunigers (MR-Linac) neue Möglichkeiten hinsichtlich der Präzision der Metastasenbestrahlung und Schonung der gesunden Gewebe. Inzwischen wurden in Tübingen 15 Patienten mit Metastasen der Leber, Lymphknoten im Bauchraum oder im Knochen mit Infiltration in Weichteile in einer klinischen Studie behandelt.


Weitere Informationen zur Studie 

Rückfragen an 07071 29-83420 oder roinfo@med.uni-tuebingen.de

Neuigkeiten

MR-Linac im Einsatz

Seit der Behandlung des ersten Patienten am 20.09.2018 haben wir bis heute über 100 Bestrahlungen am 1,5 T MR-Linac Unity erfolgreich durchgeführt. Mit der Unterstützung durch Elekta und Philips konnten wir einen reibungslosen Ablauf der Echtzeit-MR-geführten Bestrahlung im täglichen Einsatz entwickeln. Bisher haben wir Patienten mit Metastasen im Beckenraum und in der Brustwand sowie Patienten mit Rektum- und Prostatakrebs behandelt. Bei allen Patienten war der Tumor und die angrenzenden gesunden Gewebe mit der hohen Auflösung der MRT am Bestrahlungsgerät sehr gut sichtbar. 

Zusätzlich untersuchen wir mit speziellen MRT-Techniken das Therapieansprechen des Tumorgewebes, um in Zukunft die Therapie entsprechend anzupassen. Eine Übersicht über die Studienprotokolle am neuen MR-Linac finden Sie unter unserer Rubrik  "Klinische Studien".

Am 20.09.2018 wurde die erste Bestrahlung am 1.5 T MR-Linac Unity erfolgreich durchgeführt. 

Tübinger Ärzte und Forscher über die Möglichkeiten und geplante Anwendungen der neuen Technologie des Unity 1.5 T MR-Linac.

Neue Ära in der Strahlenbehandlung

Einweihung des ersten Unity 1.5 Tesla MR-Linac mit Theresia Bauer, Ministerin für Wissenschaft, Forschung und Kunst BW und Prof. Dr. Peter Strohschneider, Präsident der Deutschen Forschungsgemeinschaft (DFG).

Zum Video auf Youtube

Abgebildete Personen von links nach rechts: Prof. Dr. Daniel Zips (Ärztlicher Direktor der Universitätsklinik für Radioonkologie Tübingen), Prof. Dr. Peter Strohschneider (Präsident der Deutschen Forschungsgemeinschaft DFG), Prof. Dr. Daniela Thorwarth (Sektionsleitung Universitätsklinik für Radioonkologie, Sektion Biomedizinische Physik), Prof. Dr. Ingo B. Autenrieth (Dekan der Medizinischen Fakultät Tübingen), Theresia Bauer (Ministerin für Wissenschaft, Forschung und Kunst Baden-Württemberg), Richard Hausmann (CEO, Elekta), Prof. Dr. Michael Bamberg (Leitender Ärztlicher Direktor und Vorstandsvorsitzender Universitätsklinikum Tübingen)

Feierliche Einweihung des ersten Unity 1.5 Tesla MR-Linac

Hochrangige Gäste aus Politik und Wissenschaft haben sich am Mittwoch, 25.07.2018, in der Universitätsklinik für Radioonkologie versammelt, um die feierliche Einweihung des ersten Unity 1.5 Tesla MR-Linac von Elekta und Philips zu begehen. Dieses neue Gerät vereint erstmals Hochfeld-Kernspintomographie und Linearbeschleuniger in einem. So ermöglicht diese Kombination in Echtzeit, den Tumor und die angrenzenden Normalgewebe während der Bestrahlung mit der hohen Qualität der Magnetresonanz-Tomographie (MRT) sichtbar zu machen. Damit kann der Behandlungsstrahl präzise auf den Tumor fokussieren und gleichzeitig gesundes Gewebe schonen.

Die Tübinger Ärzte und Wissenschaftler erhoffen sich durch diese neue Technologie bessere Behandlungsergebnisse bei Krebserkrankungen.

Klinik für Radioonkologie wieder in der Spitzengruppe der Focus-Klinikliste 2019

In der neuen Focus-Klinikliste 2019 konnte sich die Klinik für Radioonkologie wieder in der Spitzengruppe der Kliniken in Deutschland platzieren. Als Kriterien werden die Reputation sowie die medizinische und pflegerische Qualifikation, die Ausstattung und Interdisziplinarität genannt.

Prof. Dr. Daniel Zips unter Deutschlands Top-Ärzten in Focus-Ärzteliste 2018

48 Mediziner des Universitätsklinikums und der Universität Tübingen gehören laut der aktuellen Erhebung des Magazins Focus-Gesundheit* zu Deutschlands Top-Ärzten. Das Magazin nennt in der Ärzteliste Spitzen-Mediziner aus 14 Fachbereichen, die sich bei der Behandlung bestimmter Erkrankungen unter ihren Fachkollegen einen besonders guten Ruf erarbeitet haben.

Hormonentzugstherapie nach Bestrahlung bei Hochrisiko-Prostatakrebs

Eine Behandlungsoption bei Patienten mit fortgeschrittenen oder Hochrisiko-Tumoren ohne Lymphknotenbefall oder Metastasen (cT3-cT4-Tumoren, PSA > 20ng/ml oder Gleason >8), ist die Strahlentherapie mit Langzeit-Hormonentzugstherapie. Während die Strahlentherapie relativ gut vertragen wird, treten bei vielen Patienten Probleme unter der Hormonentzugstherapie aus. Wie eine aktuelle Studie zeigt, kann die Therapie in diesen Fällen von 36 auf 18 Monate verkürzt werden - ohne dass dadurch das Gesamtüberleben beeinträchtigt wird.

DEGRO-Pressemitteilung

Vereint gegen den Krebs

Werden Kernspintomographen und Bestrahlungsgeräte kombiniert, können die heilenden Strahlen noch genauer gegen den Krebs gerichtet werden. Lesen Sie in Perspektive LEBEN, wie Patienten von diesem neuen Verfahren profitieren können. Ein Artikel in "Perspektive LEBEN - das Magazin für Menschen mit Krebsdiagnose und ihre Angehörigen" (Autor: Heiko Schwöbel)

Zum Artikel

Präoperative Strahlenchemotherapie erhöht Überleben bei Plattenepithelkrebs der Speiseröhre

Multimodale Therapiekonzepte, die eine moderne Strahlentherapie beinhalten, können für viele Patienten mit den unterschiedlichsten Krebsarten den Behandlungserfolg gegenüber früher deutlich verbessern. Eine neue Studie zeigte dies eindrucksvoll auch für das sogenannte Plattenepithelkarzinom der Speiseröhre. „Die präoperative Bestrahlung plus Chemotherapie verkleinerte den Tumor, so dass er besser operiert werden konnte“, so Frau Prof. Stephanie Combs, DEGRO-Pressesprecherin. „Die Studie zeigt, wie sehr die Patienten von der Methode profitieren können – sie wirft aber auch die Frage auf, für welche Patienten dies im Besonderen gilt, da die Studienlage uneinheitlich ist.

Pressemitteilung DEGRO

Erste Patienten am Unity MR System untersucht

Am 19.6.2018 wurden in Tübingen die ersten Patienten am Unity System mit dem 1.5 T MRT untersucht und die ersten MR-basierten Bestrahlungspläne berechnet. Die ersten Untersuchungen erfolgten bei Patienten mit Prostata- und Darmkrebs. Die ersten Behandlungen mit dem MR-geführten Linac werden nach der intensiven Schulungsphase erfolgen.

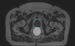
Patient mit Prostatakrebs, T2w 3D TSE MRI, 19.06.18, Elekta Unity
MR-geführte Bestrahlungsplananpassung
Maultaschen mit unterschiedlicher Füllung: Spinat (links), Schweinefleisch (Mitte), Rindfleisch (rechts)

Erste MR-Bildgebung am ersten 1,5 T MR-Linac in Tübingen

Yesterday, when the CE mark for the Unity was announced, the team at Radiation Oncology University of Tübingen has taken the first images. The installation in Tübingen is the first commercially available Unity system in the world. The program of MR-guided Radiation Oncology is funded by the German Research Council (DFG), the Medical Faculty and the University Hospital Tübingen.  The team in Tübingen will start to image the first patients today and expect the first treatments within the next few weeks.

Präzisere Strahlentherapie: Erster 1,5 T MR-Linac kommt nach Tübingen

Die Deutsche Forschungsgemeinschaft, das Universitätsklinikum und die Medizinische Fakultät Tübingen investieren in die Zukunft der Strahlentherapie (Pressemitteilung vom 17.02.2016). Die Umbauarbeiten in der Universitätsklinik für Radioonkologie für das in Deutschland einzigartige Großgerät sind in vollem Gange. Erste Patienten werden Ende 2017/Anfang 2018 behandelt werden können.

Uniklinikum Tübingen erfolgreich im DFG-Wettbewerb um neuartiges Großgerät

Die Radioonkologische Universitätsklinik Tübingen gehört weltweit zu den ersten klinischen Anwendern, die Zugang zu der neuen Technologie aus der Kombination von Magnetresonanztomografie (MRT) und der bildgeführten Strahlentherapie bekommt. Das Team um Professor Dr. Daniel Zips, Ärztlicher Direktor der Radioonkologie, und Professorin Dr. Daniela Thorwarth, Expertin für Biomedizinische Physik, konnte sich im Wettbewerb der Deutschen Forschungsgemeinschaft (DFG) als einer von zwei Standorten für das neuartige Großgerät durchsetzen.

Universitätsklinikum eröffnet Palliativstation

Wenn eine Krankheit so weit fortgeschritten ist, dass sie nicht mehr geheilt werden kann, stehen die Linderung belastender Symptome und der Erhalt von Lebensqualität im Zentrum der Bemühungen von Ärzten und Pflegenden. Wenn sich der Zustand dieser schwerkranken Menschen verschlechtert, finden sie Hilfe auf einer Palliativstation. Ihr Ziel ist es, die Symptome rasch unter Kontrolle zu bringen, Beschwerden zu lindern und den Patienten zu stabilisieren.

Im Juli hat am Universitätsklinikum Tübingen die Palliativstation ihre Arbeit aufgenommen. Am 24. November 2018 wird der Leitende Ärztliche Direktor des Universitätsklinikums, Prof. Dr. Michael Bamberg, die neue Palliativstation im Rahmen des 12. Tübinger Fachtags Palliative Care feierlich eröffnen.

CAO/ARO/AIO-16 Studie startet mit Rekrutierung

Mehrere Studien legen nahe, dass nach einer Radiochemotherapie beim Rektumkarzinom die Operation ausgelassenen werden kann, sollte sich endoskopisch nach der Bestrahlung kein Tumor mehr nachweisen lassen („klinische Komplettremission“). Allerdings wird dies mit gängigen Strahlentherapie-Regimen bei nur wenigen Patienten erreicht.

Eine neue Studie, die unter Leitung von Dr. Cihan Gani (Clinician Scientist, Universitätsklinik für Radioonkologie) an vier deutschen Universitätsklinika durchgeführt wird, untersucht nun, ob durch eine intensivierte Radiochemotherapie die Wahrscheinlichkeit für eine klinische Komplettremission gesteigert werden kann. In diesem Fall wird im Rahmen der Studie die Operation zunächst ausgelassen und nur durchgeführt, sollte sich bei einer engmaschigen Verlaufskontrolle ein Nachwachsen des Tumors zeigen.Das Studienboard der Deutschen Krebsgesellschaft (DKG) hat die CAO/ARO/AIO-16 Studie positiv bewertet. Das DKG-Zertifizierungssystem erachtet es als eine zentrale Zielsetzung, die Studienaktivitäten zu fördern und den Patienten die Möglichkeit zu geben, in einem forschenden Umfeld versorgt zu werden.

Tübinger Studie zur Hyperthermie beim Rektumkarzinom in Berlin vorgestellt

Auf dem diesjährigen Kongress der Europäischen Gesellschaft für Hyperthermie in der Onkologie (ESHO) in Berlin wurden die Ergebnisse der Tübinger HT01 Studie vorgestellt. In dieser Studie zum lokal fortgeschrittenen Rektumkarzinom wurde die leitliniengerechte Radiochemotherapie durch eine begleitende Tiefenhyperthermie intensiviert. Obwohl bei ca. 60 % der Patienten ein Tumor mit ungünstiger Risikokonstellation vorlag, konnte in dem Operationspräparat bei der Hälfte der Patienten entweder kein Tumor mehr nachgewiesen werden oder nur noch vereinzelte Tumorzellen. Die von Herrn Dr. Gani präsentierten Ergebnisse sind äußerst vielversprechend und könnten in Zukunft zwei Patientengruppen besonders zu Gute kommen: Zum einen bei Tumoren mit einer hohen Rückfallwahrscheinlichkeit oder wenn bei tiefsitzenden Tumoren ein Schließmuskelerhalt erreicht werden soll.

IMRT des Prostatakarzinoms: Ergebnisse der Tübinger Strahlentherapie auf DKK 2018

Auf dem diesjährigen Deutschen Krebskongress in Berlin wurden durch Dr. D. Wegener und PD Dr. A.C. Müller die Behandlungsergebnisse einer speziellen in Tübingen entwickelten Strahlentherapietechnik vorgestellt. Bei dieser Technik wird die Lagevariabilität der Harnblase, des Enddarms und der Prostata für jeden Patienten individuell in der Strahlentherapieplanung berücksichtigt (sog. Coverage-Probability Konzept). Die Ergebnisse zeigen eine hohe Tumorheilungsrate bei gleichzeitig sehr geringen Nebenwirkungen.

Neue Methode zur Strahlentherapie des Prostatakarzinoms in Tübingen ausgezeichnet

Oberarzt PD Dr. Arndt-Christian Müller aus der Universitätsklinik für Radioonkologie und sein Team haben für die ersten Ergebnisse zur MR-basierten bildgestützten Strahlentherapie des Prostatakarzinoms den Posterpreis auf dem Forschungskolloquium der Medizinischen Fakultät 2018 erhalten. In dieser Studie werden im Verlauf der Hormon- und Strahlentherapie wiederholt MRT-Untersuchungen durchgeführt. Diese Untersuchungen erlauben es, die Strahlentherapie auf Veränderungen der Prostata während der Therapie anzupassen und somit eine optimale Schonung der Harnröhre und es Enddarms sowie der Harnblase zu ermöglichen. Die Studie wird durch die Medizinische Fakultät Tübingen unterstützt. Die MRT-Untersuchungen erfolgen in Kooperation mit der Abteilung für Diagnostische Radiologie.

Informationen über Strahlentherapie (Deutsche Gesellschaft für Radioonkologie e. V.)

Die meisten Menschen verknüpfen mit Strahlen etwas Unheimliches oder Bedrohliches. So kommen viele Patienten mit falschen Vorstellungen und oft auch Vorurteilen in die Strahlentherapie. Der Öffentlichkeit ist viel zu wenig bewusst, dass zahllose Menschen nach Überstehen der Krebserkrankung ihr Leben auch der Strahlentherapie zu verdanken haben.

Versorgungsforschung verbessert radioonkologische Behandlung

Die körperstereotaktische Bestrahlung (SBRT) setzen Radioonkologen unter anderem zur Therapie des nichtkleinzelligen Lungenkarzinoms und zur Bestrahlung von Lungenmetastasen ein. Seit 2011 analysiert und bewertet die Arbeitsgruppe Stereotaxie der Deutschen Gesellschaft für Radioonkologie (DEGRO) die Methode und baute weltweit einzigartige Registerstudien auf. Die Ergebnisse der AG zeigen, dass mit der stereotaktischen Bestrahlung nach zwei Jahren die Kontrolle von Lungentumoren sehr gut ist und zudem das Gesamtüberleben der Patienten steigt. Auch konnten zahlreiche Ergebnisse abgeleitet werden, welche die SBRT in der Praxis weiter verbessern.

Prostatakrebs: Bestrahlung ebenso effektiv wie Operation, aber schonender

Männer mit Prostatakrebs leiden später und seltener unter Inkontinenz oder Potenzstörungen, wenn sie sich für eine Bestrahlung des Tumors statt für eine Operation entscheiden. Dies kam in der ersten großen Vergleichsstudie heraus, deren Ergebnisse im New England Journal of Medicine veröffentlicht wurden. Sie zeigt nach Einschätzung der Deutschen Gesellschaft für Radioonkologie (DEGRO), dass die Strahlentherapie für viele Männer eine vergleichbar effektive, aber schonendere Alternative zur Operation ist. 

Certificates and Associations