Centre of Dentistry, Oral Medicine, and Maxillofacial Surgery
Department of Conservative Dentistry

360
361
362
364

Address: Osianderstr. 2-8
72076 Tübingen


Phone number: +49 7071 29-86180 Callcenter


Opening hours: Opening hours
Monday to Friday
8.00 - 12.00 hrs and
13.00 - 17.00 hrs


Treatment under intubation anaesthesia (ITN)

In case dental treatments cannot be performed under normal conditions due to the age of the patients or due to extensive destruction of the teeth, providing intubation anaesthesia (ITN) for the restoration of teeth is often the last option to help the affected patients. In many cases, children and patients with serious pre-existing conditions are primary recipients of this treatment option.

The Department of Conservative Dentistry offers dental treatment under intubation anaesthesia in specially equipped rooms. The dental treatments are carried out by assistant professors and dentists from the Department of Conservative Dentistry. An experienced team from the Department of Anaesthesiology and the Medical ICU at the University Hospital Tübingen looks after the patients during and after the treatment.

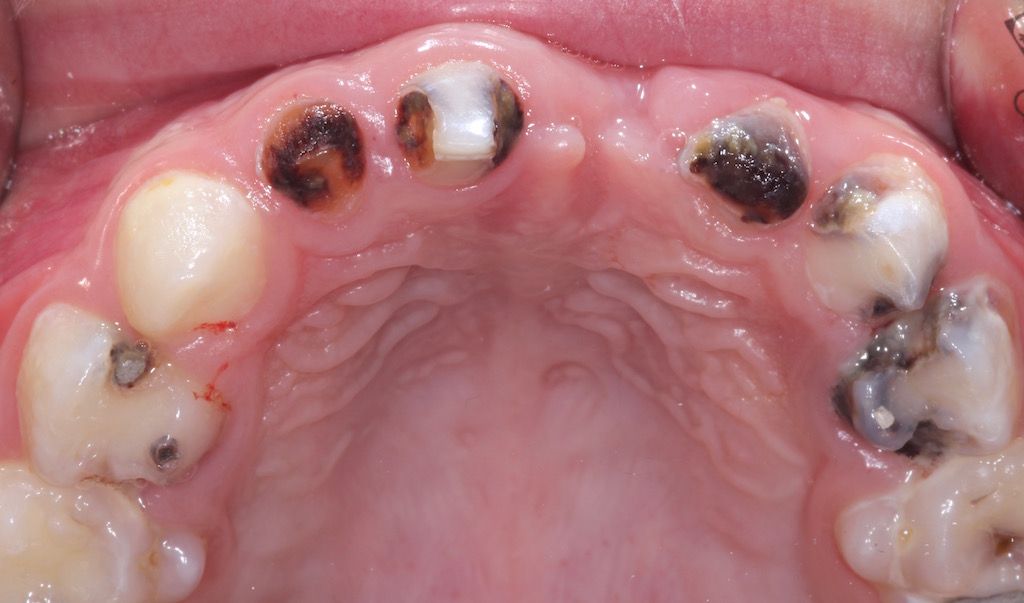
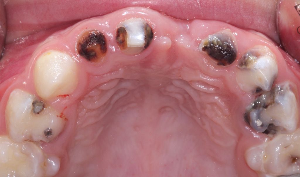
Example: The picture shows a so-called "early childhood caries" (ECC) with numerous carious lesions in the deciduous teeth. Due to the urgent treatment need, the high degree of tooth destruction and the patient's age, treatment under intubation anaesthesia is indicated.

We ask for your understanding that due to the very high demand, waiting times of several months may occur. Thank you!

Certificates and Associations

Go to the main content