360
361
362
364

Adresse: Osianderstr. 2-8
72076 Tübingen


Telefonnummer: 07071 29-86180 Callcenter


Öffnungszeiten: Öffnungszeiten
Montag bis Freitag
8.00-12.00 Uhr
& 13.00-17.00 Uhr


Behandlung in Intubationsnarkose (ITN)

Kann eine zahnärztliche Behandlung aufgrund des Alters der Patienten oder aufgrund von umfangreichen Zerstörungen der Zähne nicht unter normalen Umständen durchgeführt werden, so ist die zahnärztliche Sanierung in Intubationsnarkose (ITN) häufig die letzte Möglichkeit den betroffenen Patienten zu helfen. Vielfach stehen Kinder und Patienten mit schwerwiegenden Vorerkrankungen im Fokus dieser Behandlungen. 

Die Poliklinik für Zahnerhaltung bietet Sanierungen in Intubationsnarkose in speziell ausgestatteten Räumlichkeiten an. Die zahnärztlichen Maßnahmen werden von Oberärzten und Zahnärzten*innen der Poliklinik für Zahnerhaltung durchgeführt. Ein erfahrenes Team der Universitätsklinik für Anästhesiologie und Intensivmedizin betreut die Patienten während und nach der Behandlung.

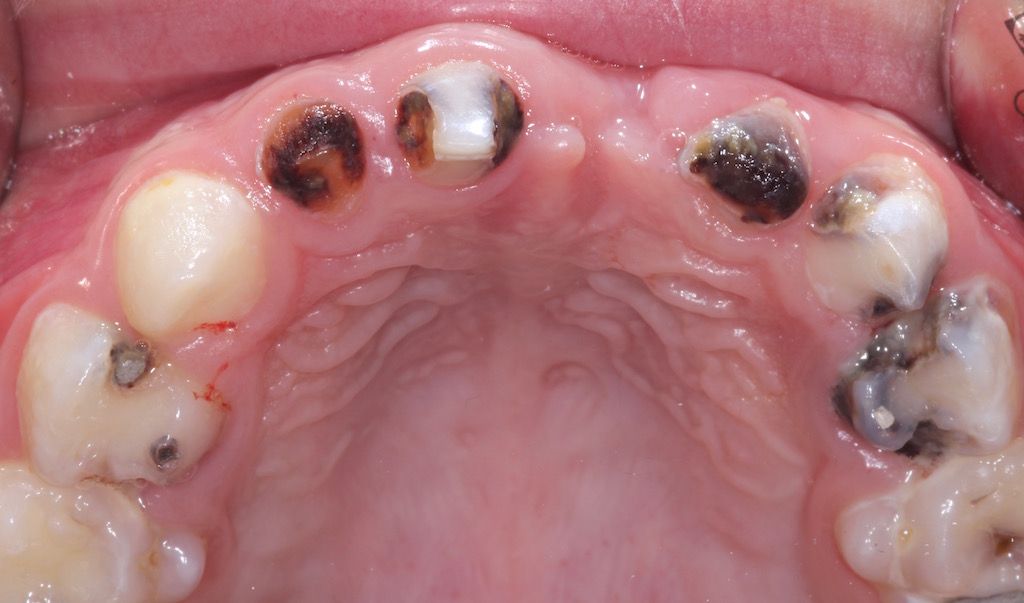
Beispielbefund: Das Bild zeight eine sogenanntes "Frühkindlichen Karies" (ECC) mit zahlreichen kariös befallenen Zähnen im Milchgebiss. Aufgrund der Dringlichkeit, des fortgeschrittenen Zerstörungsgrades der Zähne sowie des Patientenalters ist eine Behandlung in Intubationsnarkose indiziert.

Wir bitten um Ihr Verständnis, dass aufgrund der sehr hohen Nachfrage zum Teil Wartezeiten von mehreren Monaten entstehen können. Danke!

Zertifikate und Verbände