Centre of Dentistry, Oral Medicine, and Maxillofacial Surgery
Department of Conservative Dentistry

360
361
362
364

Address: Osianderstr. 2-8
72076 Tübingen


Phone number: +49 7071 29-86180 Callcenter


Opening hours: Opening hours
Monday to Friday
8.00 - 12.00 hrs and
13.00 - 17.00 hrs


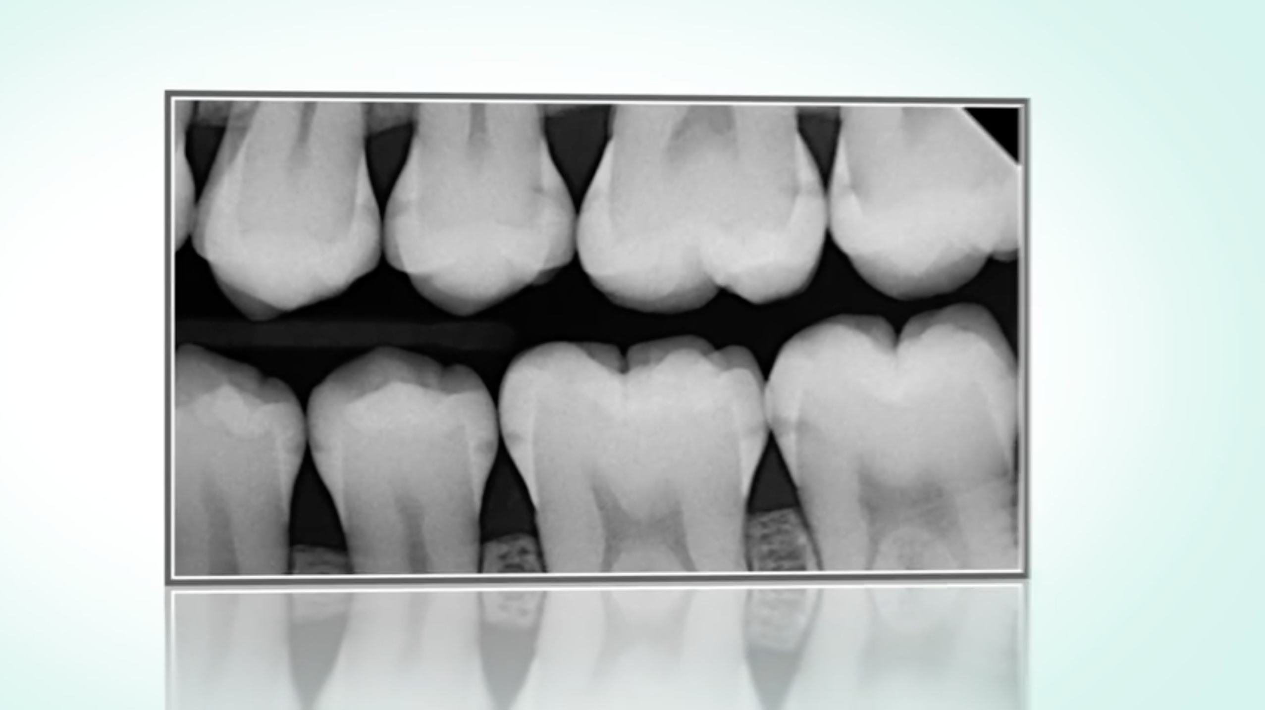
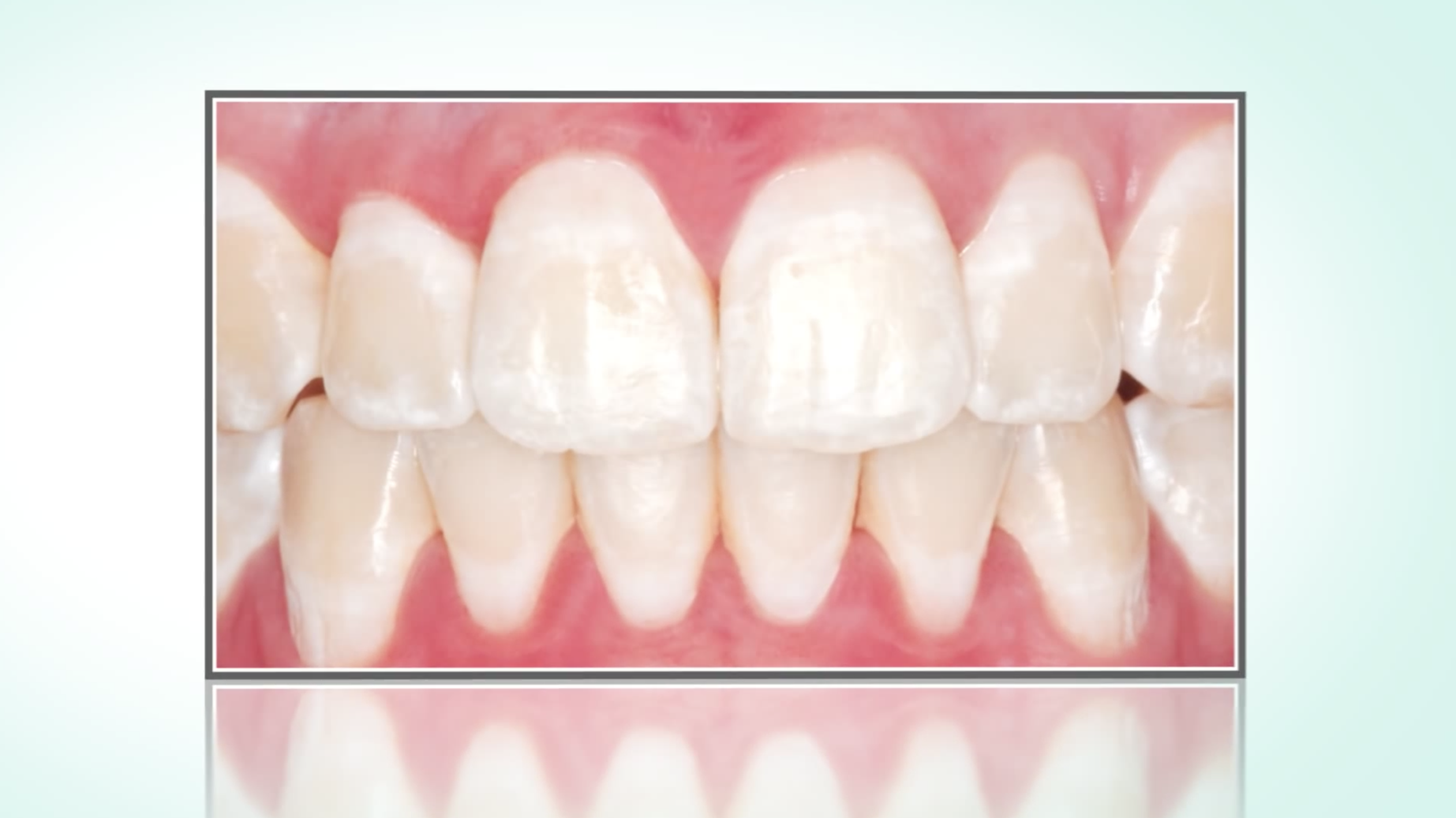
Caries infiltration

Act earlier. Longer preserved.

The so-called caries infiltration offers a completely new possibility to stop incipient caries early in just one session - without drilling and without sacrificing healthy tooth substance.
However, this is only possible for very small, incipient lesions.

The "infiltrant", a highly fluid plastic, penetrates into the porous enamel caries and seals the diffusion paths for cariogenic acids. Thus, the caries can be stopped early, in the interdental space as well as on smooth surfaces.

Caries infiltration closes the treatment gap between prevention (fluoridation and waiting) and invasive restorative therapy.

Information flyer on caries infiltration

Indication, treatment steps and advantages

In these two videos you will be shown briefly and clearly how the treatment works. For both areas of application - interdental spaces and smooth surfaces - the most important steps and decisive aspects are presented.

What to do when caries starts in the interdental space?
What to do in case of white stains on the teeth (fluorosis, after brackett removal, initial caries)

Costs

The procedure has not yet been included in the catalogue of services provided by the statutory health insurance scheme or in the German scale of fees for dentists (GOZ) and must therefore be invoiced privately.

Certificates and Associations

Go to the main content