360
361
362
364

Adresse: Osianderstr. 2-8
72076 Tübingen


Telefonnummer: 07071 29-86180 Callcenter


Öffnungszeiten: Öffnungszeiten
Montag bis Freitag
8.00-12.00 Uhr
& 13.00-17.00 Uhr


Kariesinfiltration

Früher handeln. Länger erhalten.

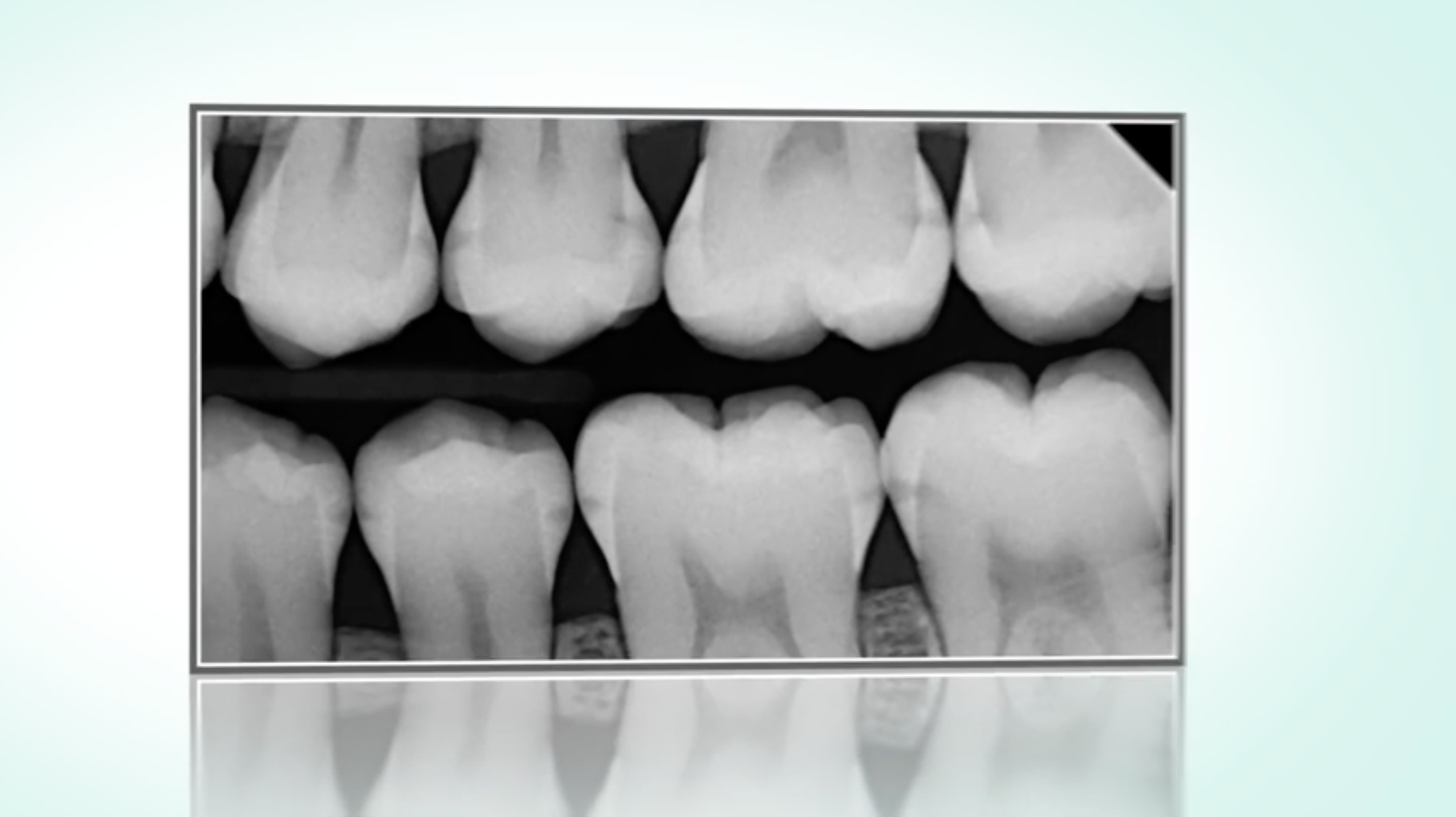
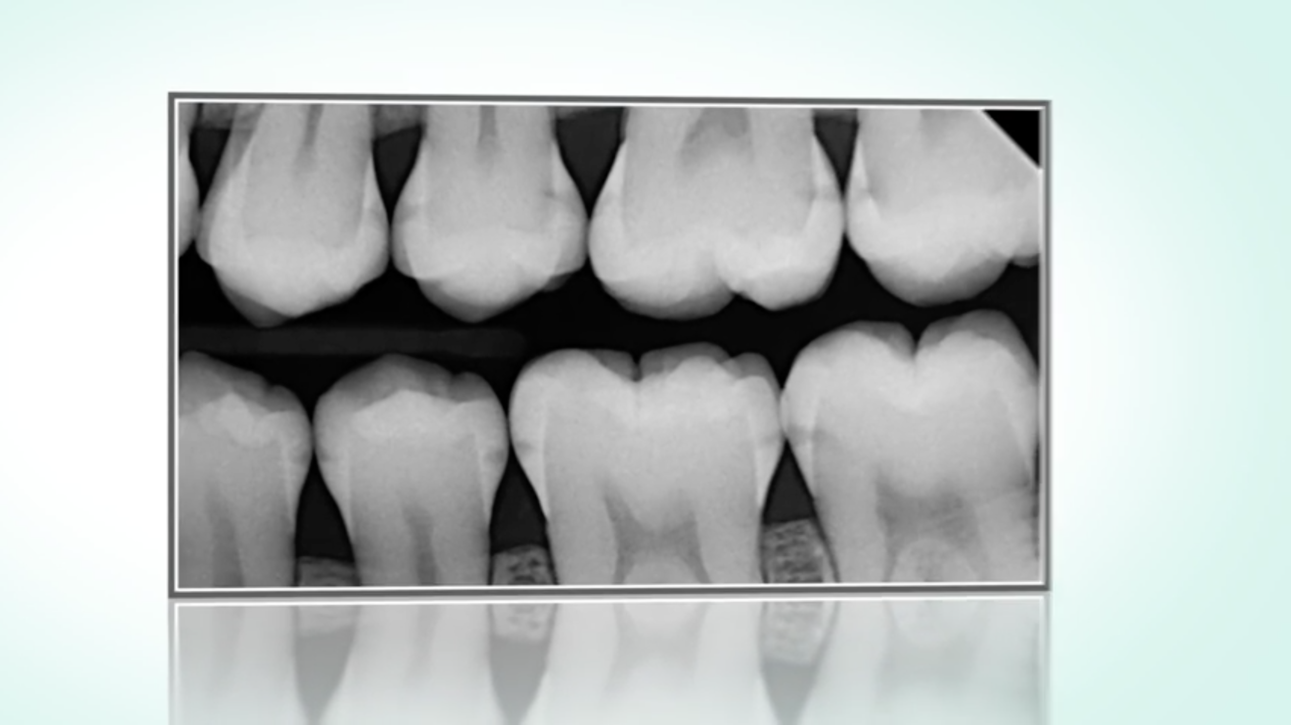
Die sogenannte Kariesinfiltration bietet eine ganz neue Möglichkeit, beginnende Karies in nur einer Sitzung frühzeitig zu stoppen - ohne Bohren und ohne gesunde Zahnsubstanz zu opfern.
Dies ist allerdings nur bei sehr kleinen, beginnenden Läsionen möglich.

Der »Infiltrant«, ein hochflüssiger Kunststoff, dringt in die poröse Schmelzkaries ein und versiegelt die Diffusionswege für kariogene Säuren. Somit kann die Karies frühzeitig gestoppt werden, im Zahnzwischenraum ebenso wie auf Glattflächen.

Die Kariesinfiltration schließt die Behandlungslücke zwischen Prävention (Fluoridierung und Abwarten) und invasiver restaurativer Therapie.

Informationsflyer zur Kariesinfiltration

Indikation, Behandlungsschritte und Vorteile

In diesen zwei Videos wird kurz und anschaulich gezeigt, wie die Behandlung funktioniert. Für beide Anwendungsbereiche - Zahnzwischenräume und Glattflächen - werden die wichtigsten Schritte und entscheidenden Aspekte dargestellt.

Was tun bei beginnender Karies im Zahnzwischenraum?
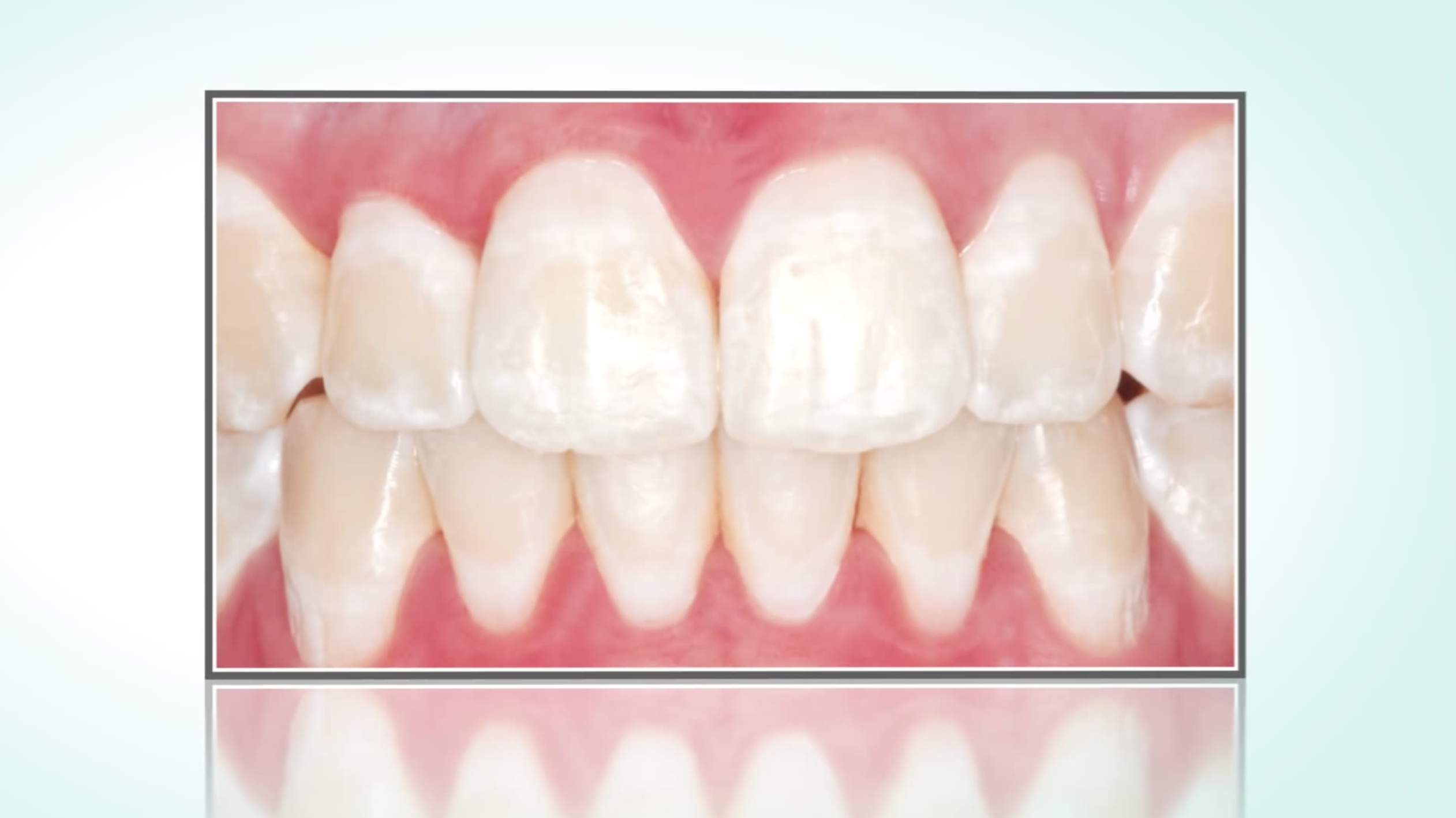
Was tun bei weißen Flecken auf den Zähnen (Fluorosen, nach Bracketentfernung, Initialkaries)?

Kosten

Das Verfahren ist bisher weder im Leistungskatalog der gesetzlichen Krankenkasse noch in der Gebührenordnung für Zahnärzte (GOZ) berücksichtigt und muss daher privat in Rechnung gestellt werden.

Zertifikate und Verbände