Address: Hoppe-Seyler-Straße 1
72076 Tübingen


Interventionen und Fallbeispiele

Interventionen und Fallbeispiele

Mit modernen Interventionen greifen wir aktiv in ein akutes Fortschreiten einer Erkrankung ein. Hier stellen wir drei typische Eingriffe vor, die ergänzend zu den traditionellen chirurgischen Maßnahmen maßgeblich zum Erfolg unseres Leberzentrums beitragen

Transjugulärer intrahepatischer portosystemischer Shunt (TIPS)

Im Rahmen einer transjugulären intrahepatischen portosystemischen Stent Shunt (TIPS)-Anlage wird eine intrahepatische Kurzschlussverbindung zwischen einer Lebervene und einem Ast der Pfortader erstellt. Der TIPS ist die erfolgreichste Methode, um einen erhöhten Pfortaderdruck zu reduzieren und so die Symptome einer Leberzirrhose wie Aszites (Bauchwasser) oder Varizen (Umgehungskreisläufe) zu behandeln. Ein TIPS hat sich auch bei der Therapie seltener Erkrankungen wie einer Pfortader-Thrombose oder einem Budd-Chiari-Syndrom bewährt.


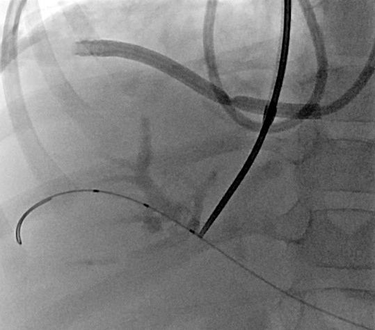
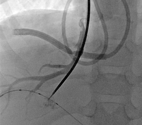
7 jähriger Junge mit Kurzdarmsyndrom und Leberzirrhose

Als Folgen des Pfortaderhochdrucks war die Milz vergrößert (Splenomegalie) und es traten Krampfadern der Speiseröhre (Ösophagusvarizen) auf. Um den Hochdruck zu entlasten wurde ein TIPS angelegt. Dazu wird aus der rechten Lebervene (A) mit einer speziellen Nadel ein Pfortaderast punktiert (B). Anschließend wird die Pfortader mit einem Draht sondiert (C) und die geschaffene Verbindung mit einem Ballon aufgedehnt und anschließend mittels Gefäßstütze (Stent) geschient (D). Durch diese künstliche Verbindung kann das Pfortadersytem deutlich druckentlastet werden.

Wissenschaftliche Abbildung TIPS
Wissenschaftliche Abbildung TIPS
Wissenschaftliche Abbildung TIPS
Wissenschaftliche Abbildung TIPS


Perkutane transhepatische Cholangiographie – Drainage (PTCD)

Bei der PTCD wird mit Hilfe von Röntgenstrahlen und Ultraschall von außen durch die Haut (perkutan), durch die Leber (transhepatisch), das Gallenwegs-System mit Kontrastmittel dargestellt (Cholangiographie). Anschließend ist es möglich, einen Katheter als Drainage einzubringen, um so einen Abfluss gestauter Gallenwege zu gewährleisten. Ursächlich für einen gestörten Abfluss der Gallenwege können verschiedene gutartige oder bösartige Prozesse sein. Primäres Ziel der Therapie ist eine Entstauung der Gallenwege und idealerweise das Etablieren eines dauerhaften Abflusses in den Darm (nach enteral). Die Möglichkeit, die PTCD im weiteren Verlauf wieder entfernen zu können, bleibt bestehen.

8 jähriger Junge nach Transplantation der linksseitigen Lebersegmente

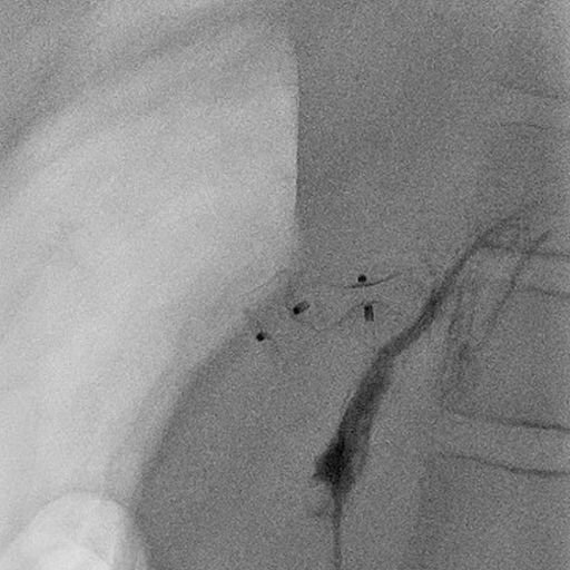
In der Bildgebung (MRCP-Bild, A) zeigt sich eine Erweiterung der Gallenwege in der Leber, bedingt durch eine Engstelle an der Verbindung der Gallenwege (Gallenwegsanastomose). Entlastung der gestauten Gallenwege mittels PTCD. Punktion eines in der Leber gelegenen Gallenweges mit Hilfe von Ultraschall. Gabe von Kontrastmittel über die Punktionsnadel (B). Darstellung des gestauten Gangsystems und der Engstelle (Pfeil). Anschließende Anlage einer Ableitung (Drainage) zur Entlastung des Gallenwegssystems (C).

Abb 1
A

Angioplastie bei Pfortader-, Lebervenen- oder Rex-Shunt Stenose

Bei verschiedenen Erkrankungen der Leber oder nach Transplantation der Leber kann es zu Engstellen der Pfortader, der Lebervenen oder auch von künstlichen Verbindungen wie dem Meso-Rex-Shunt kommen. In diesen Fällen kann eine Aufdehnung des Gefäßes mit Ballon-Angioplastie oder Stentangioplastie notwendig werden.

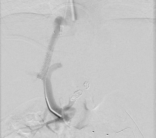
3- jähriger Junge mit stattgehabter Pfortaderthrombose (Verschluss der Pfortader). 

Zustand nach Anlage eines Meso-Rex Shunts. Aktuell Größenzunahme der Milz und zunehmende Zeichen des Pfortaderhochdrucks. Sonographisch wurde dann der Verdacht auf eine Stenose (Verengung) der Shunts gestellt. In der Angiographie mit einem Zugang über Milz zeigte sich die vermutete Stenose (Pfeil in Bild A). Es wurde dann ein Stent eingebracht und mittels Ballon dilatiert (B). In der Kontrolle zeigte sich ein gutes Ergebnis mit Beseitigung der Engstelle. Dem Patienten ging es rasch besser.

Abbildungen


Interventionelle Behandlung kongenitaler portosystemischer Shunts (CPSS)

Kongenitale portosystemische Shunts sind intrahepatische (innerhalb der Leber) oder extrahepatische (außerhalb der Leber) Kurzschlussverbindungen zwischen dem Pfortadersystem und dem venösen System. Kurz nach der Geburt kann ein Gallensäurenstau oder eine erhöhte Konzentration von Galaktose im Blut hinweisend sein. Erhöhte Ammoniakwerte führen zu einer Störung der Gehirnfunktion, in schweren Fällen zu einem Leberkoma. Daneben können sowohl gutartige Geschwulste als auch Leberkarzinome
entstehen. Diese Veränderungen sind nachdem der Blutfluss in der Pfortader wiederhergestellt werden konnte, weitgehend reversibel.
Prognostisch sehr ungünstig ist dagegen die Entwicklung eines Hochdrucks in dem Lungenkreislauf. Während intrahepatische Shuntverbindungen eine hohe Spontanverschlussrate im ersten Lebensjahr aufweisen, erfordern die extrahepatischen Formen immer eine möglichst frühzeitige Diagnostik, um mögliche verbliebende Verbindungen zur Pfortader noch nutzen zu können. Daraus leiten sich dann die Möglichkeiten einer interventionellen Therapie mit Verschluss oder Verkleinerung der portosystemischen Shuntvene ab.

12 jähriger Junge mit Hyperplasie der der Leber

12 jähriger Junge bei dem im Rahmen der Traumadiagnostik nach einem Fahrradunfall eine fokale noduläre Hyperplasie der der Leber auffiel (A). Die weitere Diagnostik ergab den Befund einer Abernethy-Malformation Typ II mit Einmündung der Shuntvene in die linke Nierenvene (B) 3D-Rekonstruktion aus dem CT-Datensatz (PSS-portosystemscher Shunt, VCI-Vena cava inferior, VMS-Vena mesenterica superior, VRS-Vena renalis sinistra). Bei der Katheteruntersuchung (C) mit Ballonblockade der Shuntvenene (Pfeil) zeigt sich ein schmächtiges intrahepatisches Pfortadersystem. Die Druckmessung (E) unter Ballonblockade zeigte keinen signifikanten Druckanstieg. Daher konnte der interventionelle Verschluss der Shuntvene mit 2 Vascular Plugs (D) problemlos durchgeführt werden. Die Herzkatheteruntersuchung (E) zeigte allerdings bereits eine manifeste pulmonale Hypertonie mit einem pulmonalen Mitteldruck von 43 mmHg und einem Widerstands-index von 10 WE x m².

Wissenschaftliche Abbildung CPSS
Wissenschaftliche Abbildung CPSS
Wissenschaftliche Abbildung CPSS
Wissenschaftliche Abbildung CPSS
Wissenschaftliche Abbildung CPSS

Interventioneller Verschluss von Leberhämangiomen

Leberhämangiome können auf ihren Entstehungsort begrenzt (fokal) oder verstreut (diffus) auftreten. Fokale Hämangiome sind bei Geburt vorhanden und können bereits vor der Geburt diagnostiziert werden. Multifokale Leberhämangiome sind häufig mit multiplen Hautläsionen vergesellschaftet. Beide Formen können auf Grund der Volumenbelastung  zu einer ausgeprägten Herzschwäche führen. Diffuse Leberhämangiome werden eher durch eine massive Vergrößerung der Leber und ein Kompartment-Syndrom (Schwellung der Weichteile, Schmerzen und neurologische Störungen) erkannt und gehen häufig mit einer ausgeprägten Schilddrüsenunterfunktion einher. Bei allen 3 Formen kann auf Grund der schweren Symptomatik oft der Effekt einer medikamentösen Therapie  mit Beta-Blockern und Cortison nicht abgewartet werden. In diesen Fällen wird gewebeschonend ein Verschluss der zuführenden, arteriellen Gefäße durchgeführt.

Ausgedehntes fokales Leberhämangiom eines Neugeborenen

Reifes Neugeborenes mit Hepatomegalie und Herzinsuffizienz. Das MRT der Leber (A) zeigte ein ausgedehntes kongenitales Hämangiom mit normalem Lebergewebe in den Randbereichen vor allem links. Deutlich gestaute Lebervenen (B) infolge der Rechtsherzbelastung. Die Kontrastmittelinjektion die Arteria hepatica dextra (C) zeigt mehrere arterielle Feeder mit rascher Parenchympassage. Nach interventionellem Verschluss mittels 3 Vascular Plugs und insgesamt 28 Volumen-Coils deutliche Reduktion des Shunt-Flusses im rechten Leberlappen mit noch verbleibenden Hämangiomanteilen links (D).

Wissenschaftliche Abbildung Leberhämangiom
Wissenschaftliche Abbildung Leberhämangiom
Wissenschaftliche Abbildung Leberhämangiom
Wissenschaftliche Abbildung Leberhämangiom

Certificates and Associations