Prophylaxis Center
of the Polyclinic for Dental Preservation

Scheduling an appointment

Phone number: +49 7071 29-86180

Opening hours: Monday to Friday from
8.00 a.m. - 12.00 p.m. &
13.00 h - 17.00 h

Address: Osianderstr. 2-8
72076 Tübingen

Directions

Health starts in the mouth

We assist you in keeping your teeth healthy for a lifetime. To do so, oral hygiene at home is important and also professional preventive prophylaxis to inhibit the development of diseases affecting teeth and the periodontium. Caries and periodontal diseases (gingivitis and periodontitis) are mainly caused by bacteria in the dental plaque, e.g. when the amount of bacteria on the teeth increases significantly due to inadequate tooth cleaning or when the composition of the bacterial flora changes. When plaque calcifies due to the minerals contained in saliva, tartar develops. By adopting a healthy lifestyle and diet, you can help to prevent these diseases yourself, and to maintain good oral health.

Our prophylaxis assistant will show and train you how to use oral hygiene products at home.
Our prophylaxis assistant will show and train you in the use of oral hygiene aids for use at home.

Our expertise

Individual care at any age
Certified dental hygienists
Quality of a university hospital
Treatment according to scientific criteria

Our services in the field of professional prophylactic measures

Individual oral hygiene program

We offer individual prophylaxis concepts for pregnant women, children and adolescents as well as adults, including the very elderly.
We use oral hygiene indices to determine the personal risk of dental, oral and mucosal diseases. On this basis, the prophylaxis assistant develops an oral hygiene strategy specially adapted to the individual need of the patient. She selects the optimal hygiene products, such as toothbrushes or interdental brushes, and demonstrates how to use them correctly.

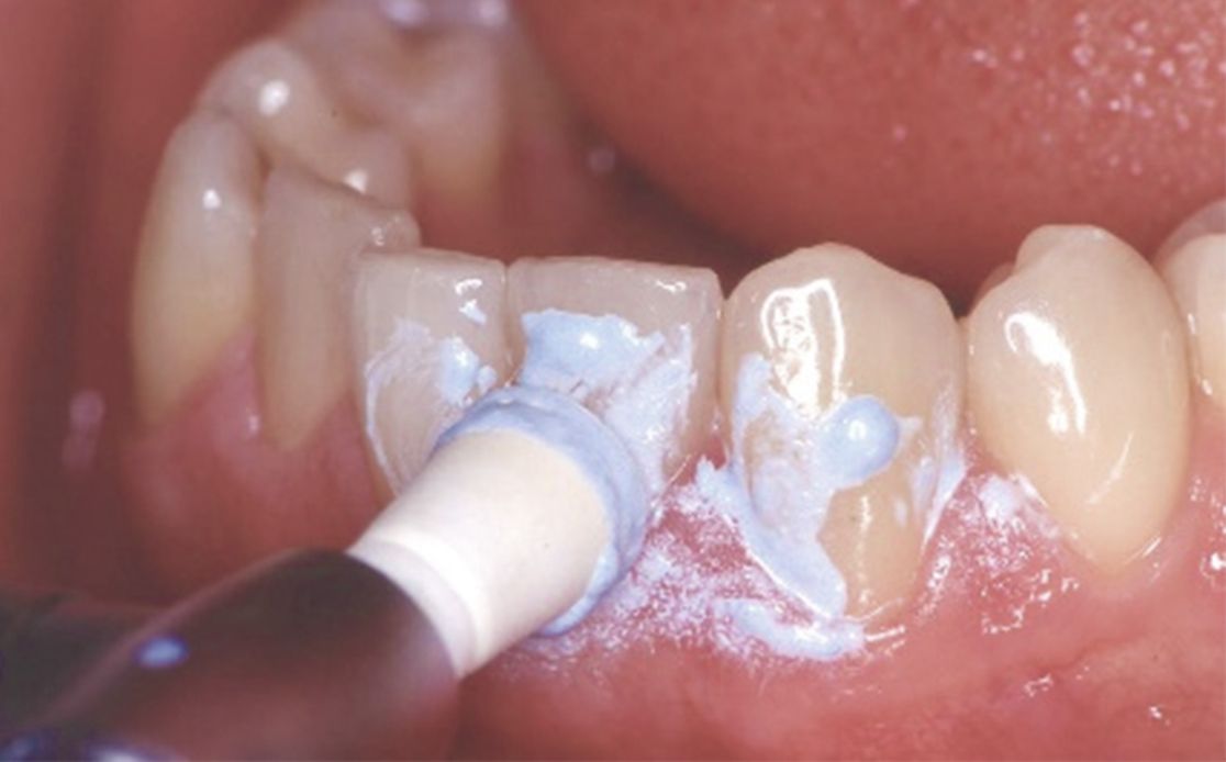
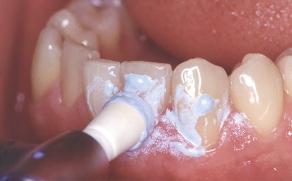
Professional dental cleaning (PZR)

Healthy gums are very important for oral health. To prevent gingivitis, teeth are cleaned of biofilm (bacterial plaque) , tartar and of course discolouration, and polished. Finally, teeth receive long-term protection in the form of fluoride-containing varnishes or gels.

Dental hygiene

Inflammation of the periodontium (periodontitis) is one of the most common diseases of the oral cavity. As a reaction to the inflammation, gum recession and even tooth loss can occur. Today we know that this can also have an impact on general health.
Specially trained dental hygienists, in consultation with the dentist, perform periodontal treatment, check for inflammation, and provide follow-up care (supportive periodontal therapy). Their goal is to communicate the importance of good collaboration, which is crucial to the long-term success of treatment.

Prophylaxis & oral hygiene training

Mrs. Kramarczyck and Mr. Schiemann smile into the camera

An interview

between Ms Kramarczyck (dental hygienist) and Mr Schiemann

What do you appreciate most about us?

Mr. Schiemann: The good tips I get (e.g. correct use of the electric toothbrush, which I bought at the store on the way home, right  after my last appointment). I always think about the new things I am learning here; I would love to come every month (he grins).


How did you hear about us?

Mr. Schiemann: I was already a patient of Prof. Riethe and accompanied Prof. Löst throughout his career - I'm part of the inventory, so to speak (he laughs).

Why did you stay with us?

Mr Schiemann: I was in good hands, never felt any fear in the care of either Ms Kramarczyck or Dr. Tobiska (see Dental Trauma Centre)! Actually, it was like coming home (he pauses and adds: sounds weird, but it is true). I find the cooperation between Assistant Professor Dr. Tobiska and Ms Kramarczyk (actually the cooperation throughout the entire house) a reassuring thing.

Ms Kramarczyck and Mr Schiemann in conversation
Mrs. Kramarczyck explains prophylaxis to Mr. Schiemann on the tooth model

Frequently asked questions about tooth cleaning and oral hygiene

Frequently asked
questions

answered by dental hygienist Isabella Hampel

What is included in a professional tooth cleaning? 

The first step is to take a detailed medical history. Many diseases and medications have a direct effect on the mouth and must be taken into account. The collection of various oral hygiene indices helps us to determine the individual risk of dental, oral and mucosal diseases. Next to the professional tooth cleaning, an individual oral hygiene program will be established (see above).  

Absolutely! The primary purpose of professional tooth cleaning is to preserve teeth and prevent dental, oral and mucosal diseases. It has also been proven that poor oral hygiene, inflamed gums and unbalanced oral flora increase the risk of general diseases. Professional tooth cleaning also makes sense from an aesthetic point of view.

Depending on the individual risk, it makes sense to have a professional tooth cleaning once or several times a year.