Prophylaxezentrum
der Poliklinik für Zahnerhaltung

Terminvergabe

Telefonnummer: 07071 29-86180

Öffnungszeiten: Montag bis Freitag von
8.00 Uhr - 12.00 Uhr &
13.00 Uhr - 17.00 Uhr

Adresse: Osianderstr. 2-8
72076 Tübingen

Anfahrt

Gesundheit beginnt im Mund

Wir unterstützen Sie, Ihre Zähne ein Leben lang gesund zu erhalten. Wichtig sind hier die Mundhygiene zu Hause und eine professionellen Prophylaxe mit vorbeugenden Maßnahmen, die die Entstehung von Krankheiten der Zähne und des Zahnhalteapparates verhindern sollen. Karies und Zahnbetterkrankungen (Gingivitis und Parodontitis) werden hauptsächlich durch Bakterien im Zahnbelag (Plaque) verursacht, wenn z.B. durch mangelhafte Zahnreinigung die Bakterienmenge auf den Zähnen stark zunimmt oder sich die Zusammensetzung der Bakterienflora verändert. Wenn Zahnbelag durch die im Speichel enthaltenen Mineralien verkalkt, entsteht Zahnstein. Sie selbst können mit gesundem Lebensstil und Ernährung dazu beitragen, diesen Erkrankungen vorzubeugen und viel für ihre Mundgesundheit tun.

Dentalhygienikerinnen-Team des Prophylaxezentrums der Abteilung für Zahnerhaltung
Dentalhygienikerinnen-Team des Prophylaxezentrums der Abteilung für Zahnerhaltung
Prophylaxehelferin erjkärt am Zahnmodell die Entstehung von Zahnstein
Unsere Prophylaxeassistentin zeigt und trainiert mit Ihnen die Anwendung der Mundhygienehilfsmittel für die Anwendung zu Hause.

Unsere Expertise

Individuelle Betreuung in jedem Alter
Zertifizierte Dentalhygienikerinnen
Qualität einer Universitätsklinik
Behandlung nach wissenschaftlichen Kriterien

Unser Angebot an professionellen Prophylaxemaßnahmen

Individuelles Mundhygieneprogramm

Wir bieten für Schwangere, Kinder und Jugendliche sowie Erwachsene bis in das hohe Lebensalter individuelle Prophylaxekonzepte.
Über Mundhygiene-Indizes bestimmen wir Ihr persönliches Risiko für Zahn-, Mund- und Schleimhauterkrankungen. Die Prophylaxeassistentin erarbeitet auf dieser Basis mit Ihnen ein auf Sie zugeschnittenes Mundhygieneprogramm. Sie wählt die für Sie optimalen Hilfsmittel wie Zahnbürste oder Zahnzwischenraumbürsten aus und demonstriert die richtige Anwendung.

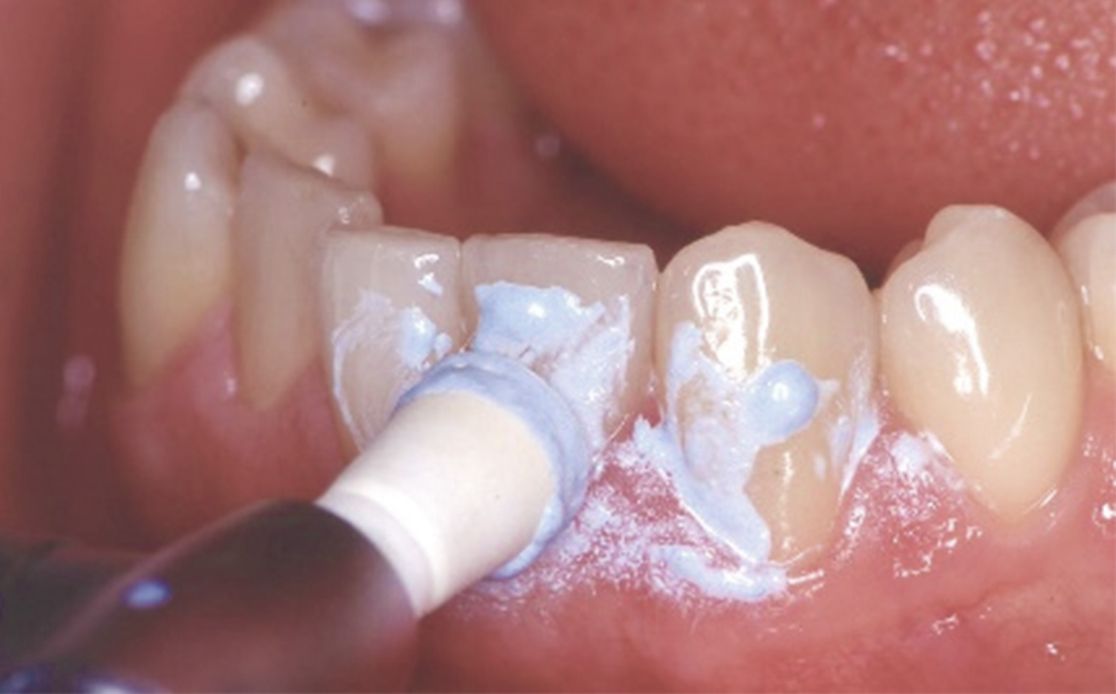
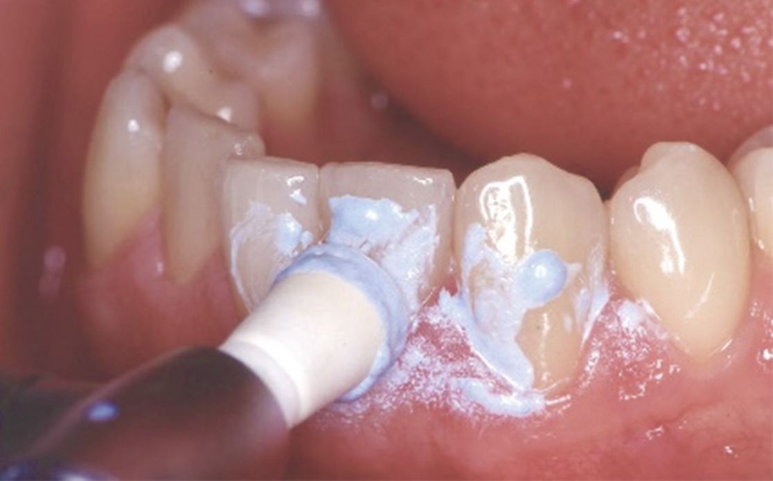
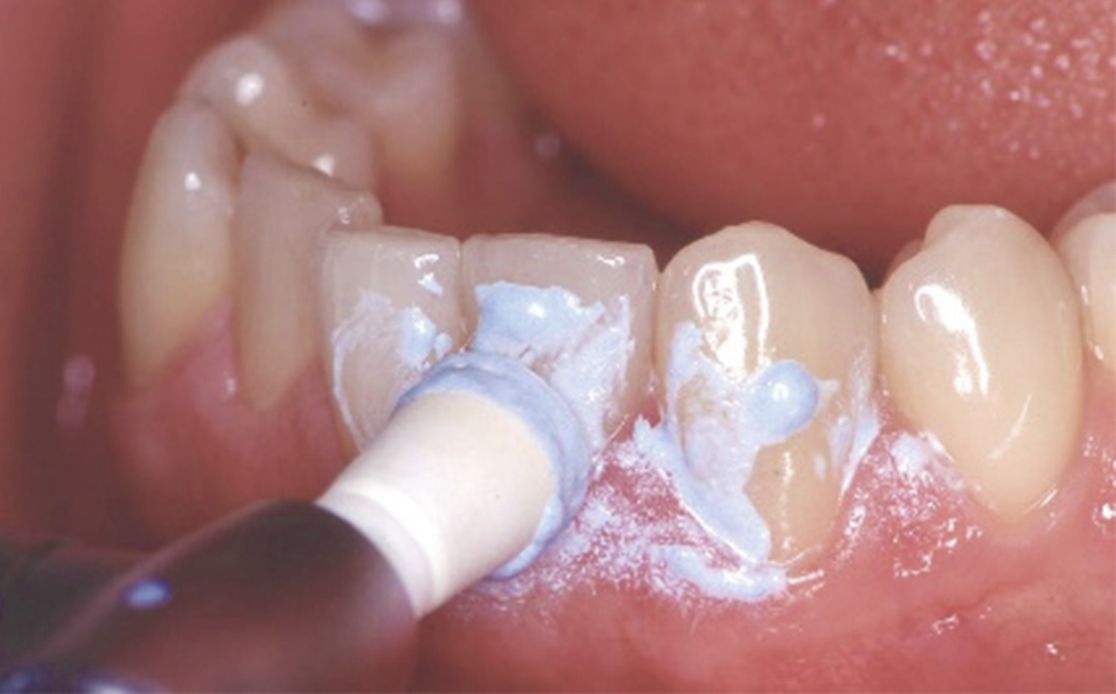
Professionelle Zahnreinigung (PZR)

Für Ihre Mundgesundheit ist ein gesundes Zahnfleisch sehr wichtig. Um Zahnfleischentzündungen (Gingivitis) zu verhindern, werden ihre Zähne von Biofilm (bakterieller Zahnbelag), Zahnstein und natürlich auch von Verfärbungen gereinigt und poliert. Abschließend erhalten Ihre Zähne einen Langzeitschutz in Form von fluoridhaltigen Lacken oder Gelen.

Dentalhygiene

Entzündungen des Zahnhalteapparates (Parodontitis) sind eine der häufigsten Erkrankungen in der Mundhöhle. Dabei kann es, als Reaktion auf die Entzündung, zu Zahnfleischrückgang bis hin zum Zahnverlust kommen. Wir wissen heute, dass dies auch Einfluss auf die Allgemeingesundheit haben kann.
Speziell fortgebildete Dentalhygienikerinnen führen in zahnärztlicher Abstimmung eine Parodontalbehandlung durch, sie kontrollieren ob Entzündungen vorliegen und betreuen Sie in der Nachsorge (Unterstützende Parodontitistherapie). Sie unterstützen Sie in Ihrer Mitarbeit, die für den langfristigen Erfolg der Behandlung ganz entscheidend ist.

Prophylaxe & Mundhygienetraining

Frau Kramarczyck und Herr Schiemann lächeln in die Kamera

Im Interview

Dentalhygienikerin Frau Kramarczyck im Gespräch mit Herrn Schiemann

Was schätzen Sie bei uns am meisten?

Herr Schiemann: die guten Tipps, die ich bekomme (z.B. richtige Anwendung der elektrischen Zahnbürste, die ich mir gleich auf dem Weg ins Geschäft nach meinem letzten Termin gekauft habe). Ich denke immer an die neuen Sachen, die ich hier lerne; am liebsten würde ich jeden Monat kommen (schmunzelt). 


Wie sind Sie auf uns gekommen?

Herr Schiemann: Ich war schon unter Herrn Prof. Riethe Patient und habe Herrn Prof. Löst während seiner gesamten Laufbahn begleitet - gehöre sozusagen zum Inventar (lacht). 

Warum sind Sie bei uns geblieben?

Herr Schiemann: Ich war in guten Händen, hatte nie Angst - weder bei Frau Kramarczyck noch bei Frau OÄ Dr. Tobiska (Zahnunfallzentrum)! Eigentlich war es wie nach Hause zu kommen (stutzt und fügt hinzu: klingt jetzt komisch, ist aber so). Die Zusammenarbeit zwischen Frau OÄ Dr. Tobiska und Frau Kramarczyk (eigentlich die Zusammenarbeit im gesamten Haus) finde ich eine beruhigende Sache.

Frau Kramarczyck  und Herr Schiemann im Gespräch
Frau Kramarczyck erklärt Herrn Schiemann die Prophylaxe am Zahnmodell

Häufig gestellte Fragen zu Zahnreinigung und Mundhygiene

Häufig gestellte Fragen

beantwortet von Dentalhygienikerin Isabella Hampel

Wie läuft eine professionelle Zahnreinigung (PZR) ab?

Der erste Schritt besteht in der Aufnahme einer ausführlichen Anamnese. Viele Erkrankungen und Medikamente haben eine direkte Auswirkung auf den Mund und müssen berücksichtigt werden. Die Erhebung diverser Mundhygiene-Indizes hilft uns dabei, Ihr individuelles Risiko für Zahn-, Mund- und Schleimhauterkrankungen zu bestimmen. Auf dieser Basis erarbeitet die Prophylaxeassistentin mit Ihnen ein auf Sie zugeschnittenes Mundhygieneprogramm. Sie zeigt und trainiert mit Ihnen die Anwendung der Mundhygienehilfsmittel für die Anwendung zu Hause. Im weiteren Verlauf werden Ihre Zähne von Biofilm (bakterieller Zahnbelag), Zahnstein und natürlich  auch von Verfärbungen gereinigt und anschließend poliert. Abschließend erhalten Ihre Zähne einen Langzeitschutz in Form von fluoridhaltigen Lacken oder Gelen.

Absolut! Die PZR dient in erster Linie dem Erhalt der Zähne und der Prävention von Zahn-, Mund- und Schleimhauterkrankungen. Ebenso ist nachgewiesen, dass eine schlechte Mundhygiene, entzündetes Zahnfleisch und eine aus dem Gleichgewicht geratene Mundflora das Risiko für Allgemeinerkrankungen erhöht. Auch aus ästhetischer Sicht ist eine PZR sinnvoll.

Je nach individuellem Risiko macht es Sinn, eine PZR ein- bis mehrmals pro Jahr durchzuführen.