Über uns

Über uns

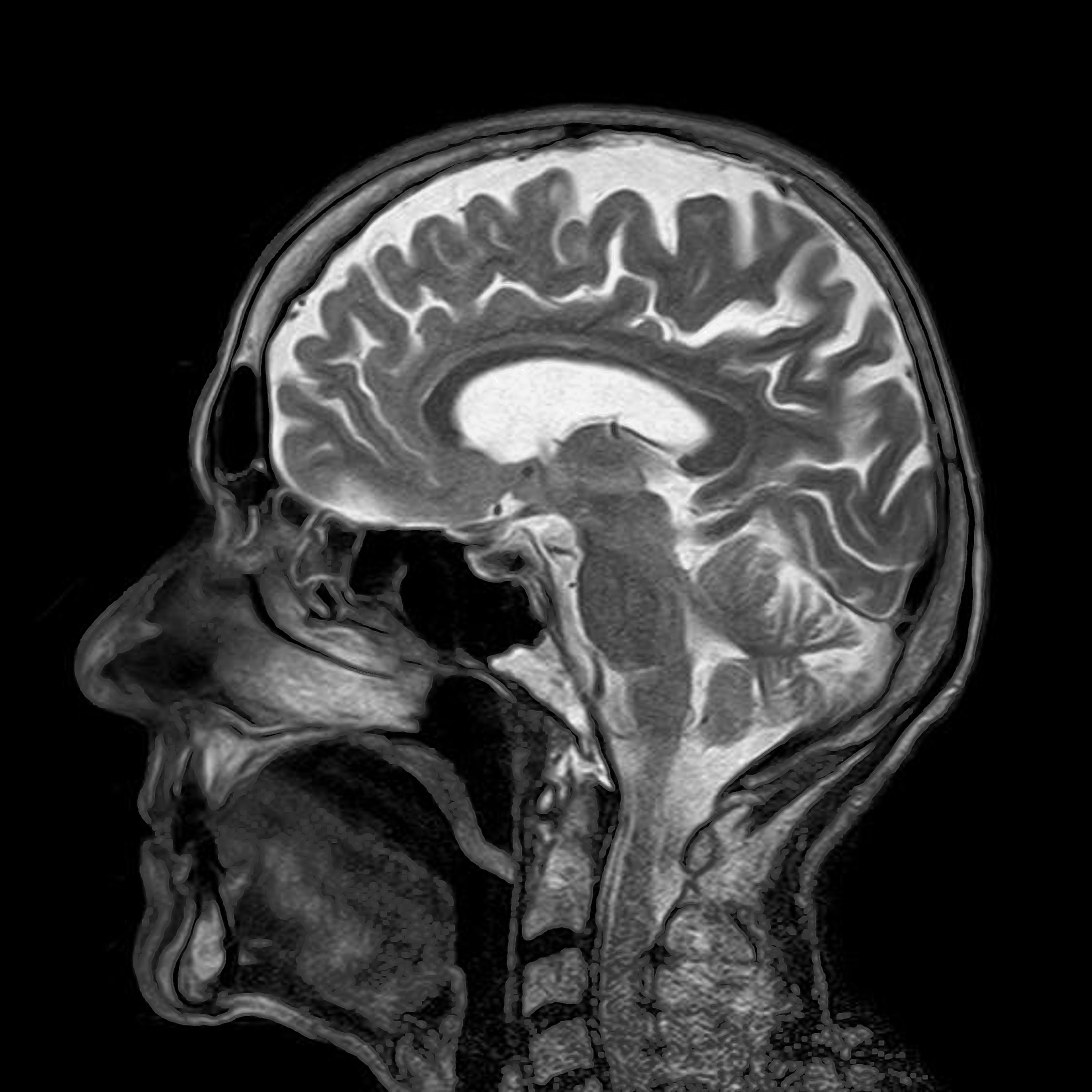
Die Core Facilities der Medizinischen Fakultät bieten mit ihrem großen Spektrum an High-End-Technologien und herausragender Expertise den Forschenden der Fakultät, der Universität sowie externen Nutzerinnen und Nutzern Zugang zu wissenschaftlichen Dienstleistungen auf höchstem Niveau. Unser Ziel ist es, Forschende durch spezialisiertes Fachwissen zu unterstützen, Forschungsprojekte zu fördern und gemeinsam herausragende Forschung voranzutreiben.

Events

Derzeit keine Veranstaltung

8
Core Facilities

Team

Dr. Sarah Bertels

Koordination Core Facilties

Telefonnummer: 07071 29-77980

E-Mail-Adresse: Sarah.Bertels@med.uni-tuebingen.de

Dr. Otto Müller

Beratung Core Facilities

Telefonnummer: 07071 29-73681

E-Mail-Adresse: Otto.Müller@med.uni-tuebingen.de

Simon Riel

Koordination Software

Telefonnummer: 07071 29-77645

E-Mail-Adresse: Simon.Riel@med.uni-tuebingen.de

Unsere Core Facilities

Wie nutze ich die Core Facilities?

Wie nutze ich das Buchungssytem PPMS?

Die meisten unserer Core Facilities nutzen PPMS (Pasteur Platform Management System) - eine webbasierte Software von Stratocore, die die Dokumentation, Organisation, Buchung und Abrechnung ermöglicht. Um Geräte, Infrastruktur oder Dienstleistungen dieser Core Facilities zu nutzen, ist es notwendig einen individuellen Account in unserem Buchungssystem anzulegen.

Nutzende erhalten auf ihrem individuellen Dashboard einen Überblick über alle gebuchten Leistungen und Termine in den jeweiligen Core Facilities. Die Abrechnung für die gebuchten Leistungen erfolgt i.d.R. quartalsweise.

Weitere Informationen zu spezifischen Buchungsabläufen, für Core Facilities die PPMS noch nicht nutzen, können über die jeweilige Core Facility oder deren Website abgerufen werden.

Buchung

Jetzt Account erstellen.

PPMS

Wir schätzen Ihr Feedback!

Vielen Dank, für die Nutzung unserer Core Facilities! Wir würden uns freuen, wenn Sie sich einen Moment Zeit nehmen würden, um uns Ihre Erfahrungen in unserer Umfrage mitzuteilen.

zur Umfrage


Acknowledgment

Bitte denken Sie daran, die von Ihnen genutzte Core Facility in den Acknowledgments Ihrer Publikationen, Berichte oder Präsentationen zu erwähnen. Die korrekte Erwähnung unserer Einrichtungen trägt dazu bei, die langfristige Finanzierung und den Betrieb der Core Facilities sicherzustellen.

Sollte die Core Facility einen bedeutenden wissenschaftlichen Beitrag zu Ihrem Forschungsprojekt geleistet haben, ist eine Koautorenschaft trotz Abrechnung gerechtfertigt (siehe Leitlinien zur guten wissenschaftlichen Praxis).

Nutzen Sie gerne den folgenden Satz als Vorlage und passen Sie ihn nach Bedarf an:

„We thank the Core Facility [Name] of the Faculty of Medicine Tübingen for providing excellent support. The following equipment, funded by the Deutsche Forschungsgemeinschaft (DFG) - [Projektnummer] was used “

Die Projektnummern unserer DFG-geförderten Geräte finden Sie bei den gerätespezifischen Informationen der jeweiligen Core Facilities.

Bitte informieren Sie die Core Facility nach erfolgreicher Einreichung Ihrer Publikation, entweder mittels E-mail oder über PPMS.




Sonderlinie Hochschuldmedizin

Im Rahmen der Sonderlinie Hochschulmedizin streben wir eine enge Zusammenarbeit und kontinuierliche Vernetzung mit den Core Facility Plattformen der Medizinischen Fakultäten unserer Baden-Württembergischen Partnerstandorte an. Die verfügbaren Forschungsinfrastrukturen sowie die jeweiligen Serviceangebote sind auf den folgenden Seiten dargestellt und stehen allen Forschenden offen.


Beschlossen im Zuge der Hochschulfinanzierungsvereinbarung II, verfolgt die Sonderlinie das Ziel, die Kooperation der Medizinischen Fakultäten des Landes Baden-Württemberg insbesondere in den Bereichen Nachwuchsförderung und Forschungsinfrastruktur gezielt zu stärken.