Zahnimplantate mit gezieltem Knochenaufbau
Computergestützte Verfahren zur Positionierung von Zahnimplantaten
Für viele unserer Patienten und Patientinnen ist die Gesundheit Ihrer Zähne und Ihr Lächeln von größter Bedeutung. In unserer Ambulanz betreuen und beraten wir sie gerne für eine implantologische Wiederherstellung Ihrer vollständigen Kaufunktion. Mittels modernste Bildgebung und Computerunterstützung erstellen wir eine virtuelle Karte Ihres Mundes , um die genaue Position, den Winkel und die Tiefe der Implantate im Voraus zu bestimmen. Falls ein Knochenaufbau notwendig ist, stehen uns als Kieferchirurgen die komplette Vielfalt einer Vielzahl an Möglichkeiten zur Verfügung. Die Versorgung der Implantate kann dann in enger Absprache mit Ihrem behandelnden Zahnarzt und Zahnärztin erfolgen oder im Rahmen einer interdisziplinären Behandlung in unserer Zahnklinik erfolgen.
Spezialsprechstunde
Implantat-Sprechstunde |
+49 7071 29-86174 |
Ihre ärztlichern Ansprechpartner |
Prof. Dr.Dr. B. Lethaus |
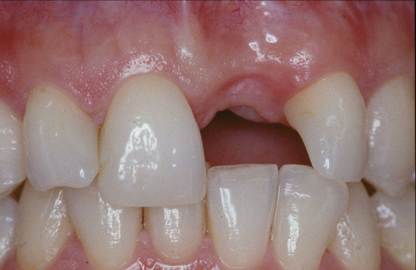
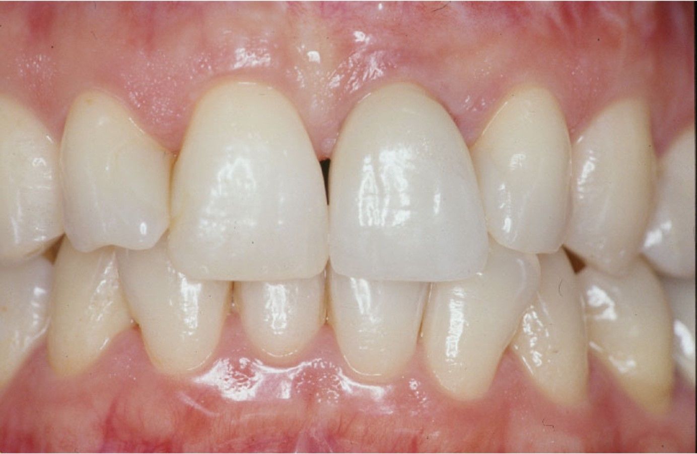
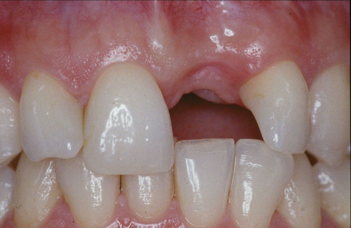
Mehr Stabilität bei Zahnimplantaten durch gezielten Einsatz von Knochenersatzmaterial
Der Knochenaufbau des Kiefers ist ein wichtiger Schritt, um eine erfolgreiche Implantatbehandlung zu ermöglichen und das ästhetische Erscheinungsbild des Gesichts zu verbessern.
Der Kieferknochen spielt eine entscheidende Rolle für die Gesundheit und Funktionalität Ihres Gebisses. In einigen Fällen kann es jedoch vorkommen, dass der Kieferknochen aufgrund von Zahnverlust, Kieferverletzungen oder anderen Faktoren an Volumen verliert. Ein unzureichendes Knochenangebot kann die Stabilität von Zahnimplantaten beeinträchtigen und die Ästhetik des Gesichts verändern. Der Knochenaufbau des Kiefers, auch bekannt als Kieferkammaugmentation, ist ein Verfahren, das darauf abzielt, das Knochenangebot im Kiefer zu verbessern.
Durch welche Methoden kann ein Knochenaufbau erreicht werden?
Knochenblocktransplantation:
Bei dieser Technik wird Knochenmaterial aus einem anderen Teil des Körpers entnommen, zum Beispiel aus dem Kinn oder dem Beckenkamm, und in den Kiefer transplantiert.
Knochenersatzmaterialien:
Es gibt verschiedene synthetische Materialien, die verwendet werden können, um fehlenden Knochen im Kiefer zu ersetzen. Alternativ dazu können auch Materialien tierischen Ursprungs oder Spenderknochen verwendet werden. Gemeinsam ist allen Materialien, dass sie das Wachstum von neuem Knochen stimulieren und nach einiger Zeit vom Körper resorbiert werden.
Alle diese Stoffe unterliegen im Rahmen des Medizinproduktegesetztes einer strengen Kontrolle, die diese Verfahren sicher macht.
Sinuslift:
Diese Technik wird angewendet, wenn der Kieferknochen im Oberkiefer unzureichend ist. Dabei wird der Boden der Kieferhöhle angehoben und mit Knochenersatzmaterial oder eigenem Knochen aufgefüllt, um ausreichend Platz für Implantate zu schaffen.
Wachstumsfaktoren:
Durch technische Verfahren können die körpereigenen Wachstumsfaktoren unserer Patienten gefiltert und konzentriert werden. Hierzu reicht die einmalige Abnahme eines Blutröhrchens direkt am Tag des Eingriffs aus. Diese Faktoren werden anschließend dem eigenen Knochen oder anderen Ersatzmaterialen zugefügt, um eine schnellere und bessere Einheilung zu fördern.


FAQ zu Zahnimplantaten und Knochenaufbau
Welche Optionen des Knochenaufbaus eignen sich für mich?
Die für Sie beste Methode lässt sich erst wir einer gründlichen Evaluation aller maßgeblichen Faktoren festlegen. Grundsätzlich können bieten Ihnen sämtliche Methoden anbieten, die dem aktuellen medizinischen Standard entsprechen. Dies reicht von der Anwendung einfacher Kunstknochenmaterialien bis hin zu komplexen mikroskopischen Transplantationstechniken. Es sollte stets die Methode gewählt werden, die bei möglichst geringer Belastung die höchsten Erfolgsaussichten bietet.
Kann man Implantate und Knochenaufbau gleichzeitig machen?
Ja, es ist möglich, Implantate und Knochenaufbau gleichzeitig durchzuführen. Diese Technik wird oft angewendet, wenn nur ein geringfügiger Knochenaufbau erforderlich ist. Bei umfangreicherem Knochenaufbau wird der Eingriff häufig in zwei Phasen durchgeführt, um sicherzustellen, dass der Knochen genügend Zeit hat, sich zu regenerieren und zu stabilisieren, bevor das Implantat eingesetzt wird.
Wird ein Knochenaufbau von der Krankenkasse bezahlt?
Ob ein Knochenaufbau von der Krankenkasse übernommen wird, hängt von der jeweiligen Krankenversicherung und den individuellen Umständen ab. In der Regel übernehmen gesetzliche Krankenkassen die Kosten für einen Knochenaufbau nur dann, wenn dieser medizinisch notwendig ist und andere Behandlungsalternativen ausgeschlossen sind. Bei privaten Krankenversicherungen kann der Leistungsumfang variieren. Es ist ratsam, dies im Vorfeld mit der eigenen Krankenkasse zu klären.
Wie lange halten Zahnimplantate?
Zahnimplantate können bei guter Pflege und regelmäßigen Kontrollen viele Jahre, oft sogar lebenslang, halten. Die medizinische Literatur zeigt, dass 90-95% der Implantate nach zehn Jahren noch funktionsfähig sind. Faktoren wie die Mundhygiene des Patienten, die Qualität des Knochens, in den das Implantat eingesetzt wird, und das Verhalten des Patienten (z.B. Rauchen) können die Lebensdauer eines Implantats beeinflussen.
Wann ist ein Knochenaufbau nicht mehr möglich?
Ein Knochenaufbau kann möglicherweise nicht durchgeführt werden, wenn der allgemeine Gesundheitszustand des Patienten es nicht zulässt. Kontraindikationen können schwere systemische Erkrankungen, unkontrollierter Diabetes, starke Rauchergewohnheiten oder andere medizinische Zustände sein, die die Heilungsfähigkeit beeinträchtigen. In solchen Fällen müssen alternative Lösungen in Betracht gezogen werden.