Centre of Dentistry, Oral Medicine, and Maxillofacial Surgery
Department of Conservative Dentistry

360
361
362
364

Address: Osianderstr. 2-8
72076 Tübingen


Phone number: +49 7071 29-86180 Callcenter


Opening hours: Opening hours
Monday to Friday
8.00 - 12.00 hrs and
13.00 - 17.00 hrs


Indirect restorations

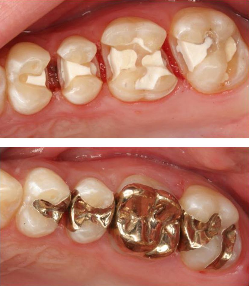
Restorations made of ceramic and cast metal

Indirect restorations are usually so-called inlays, partial crowns, crowns, and bridges made of different materials.

For laboratory-fabricated restorations, e.g. made of precious metal alloys or ceramics, an impression is taken after preparation from which a plaster model is made. On this model, a dental technician fabricates the corresponding restorations indirectly (extraorally) in the dental laboratory.

The finished restorations will be inserted at the following appointment. In case of cast metal, the restorations are usually fixed with cement. In contrast, ceramic restorations are bonded adhesively.

We will discuss with you in detail which material is the right one for you. 

For ceramic restorations and especially for cast metal restorations, good clinical experience of many years is available.
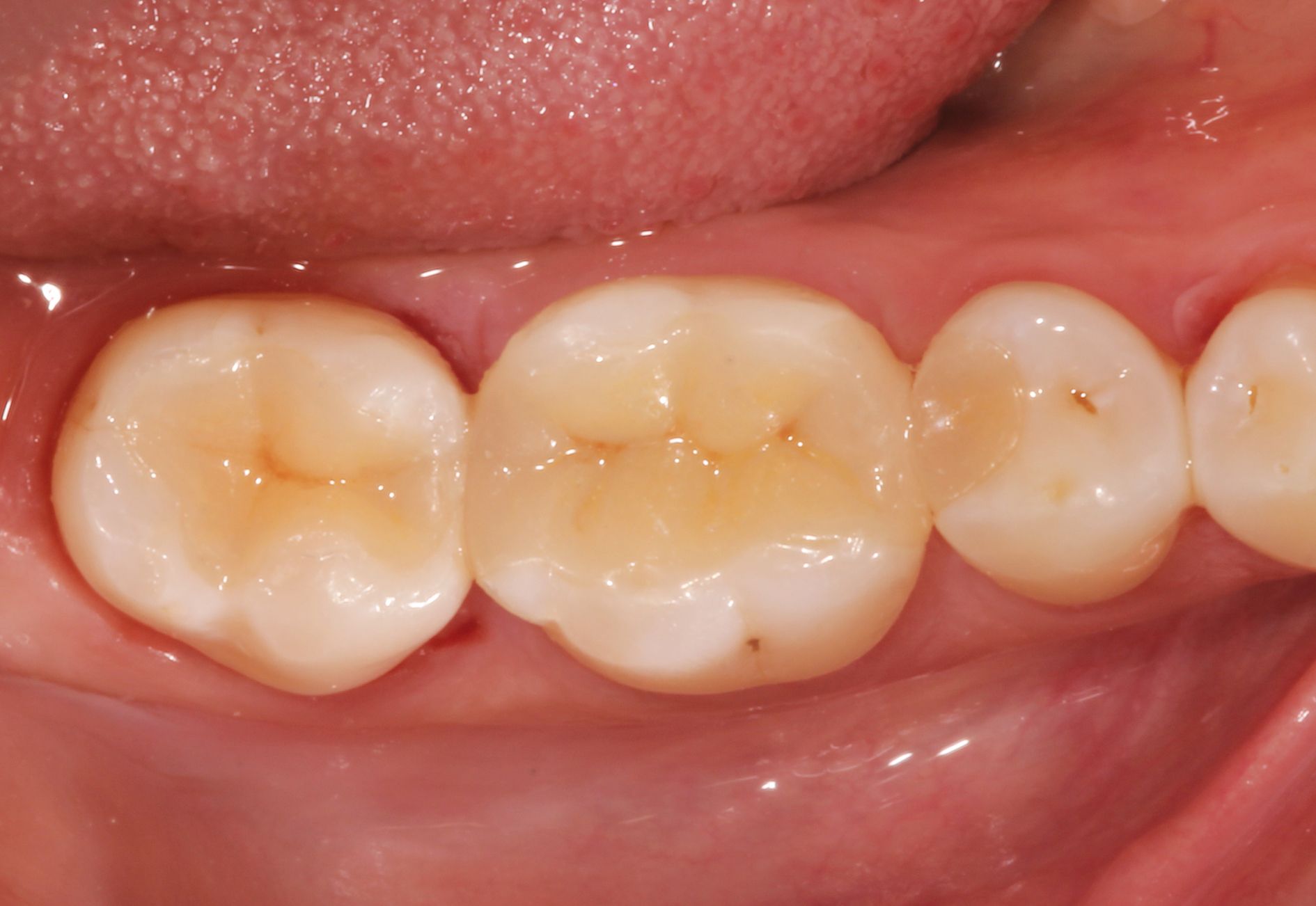
Ceramic restorations
Inserting a ceramic restoration
Inserted ceramic restorations

Information sheet

In case you are interested, you can download and fill out the information sheet on indirect restorations in advance. It will be discussed with you before starting your treatment.

Indirect procedure information sheet

Certificates and Associations

Go to the main content