360
361
362
364

Adresse: Osianderstr. 2-8
72076 Tübingen


Telefonnummer: 07071 29-86180 Callcenter


Öffnungszeiten: Öffnungszeiten
Montag bis Freitag
8.00-12.00 Uhr
& 13.00-17.00 Uhr


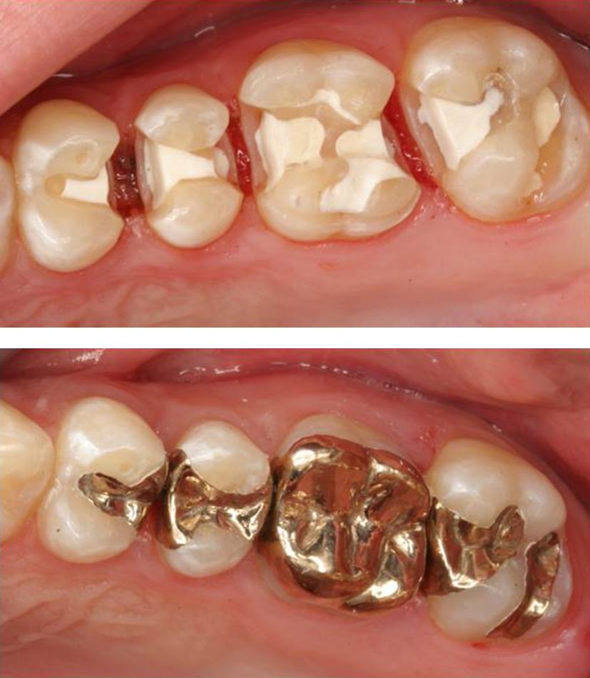
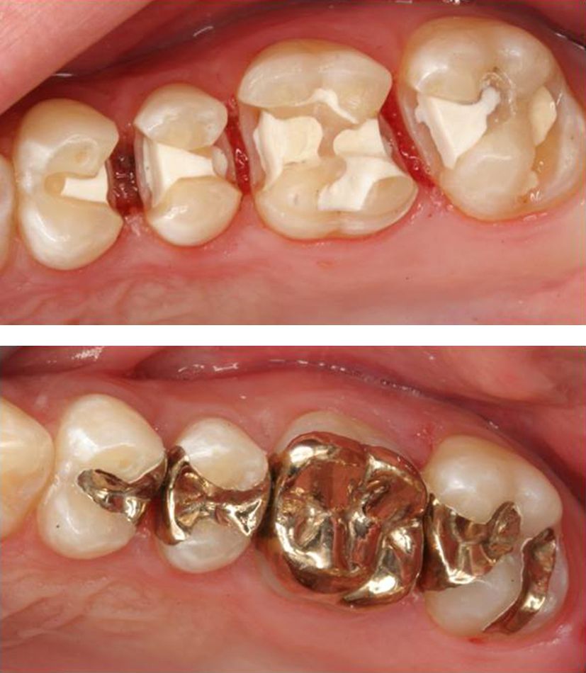
Indirekte Restaurationen

Restaurationen aus Keramik und Gussmetall

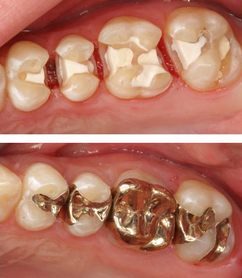
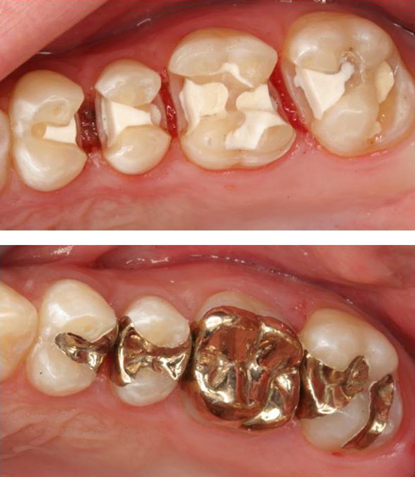
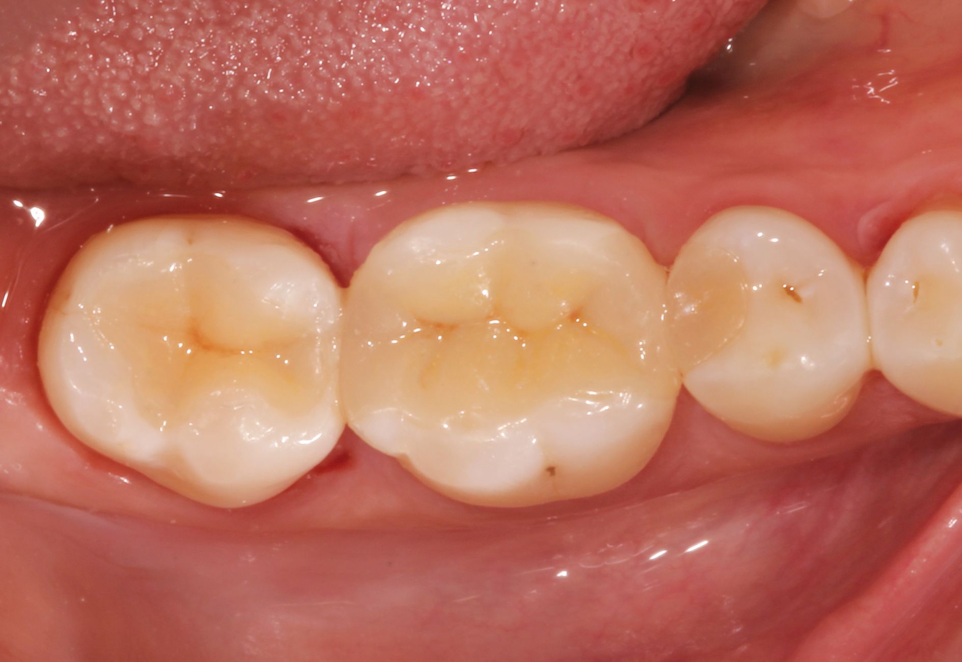
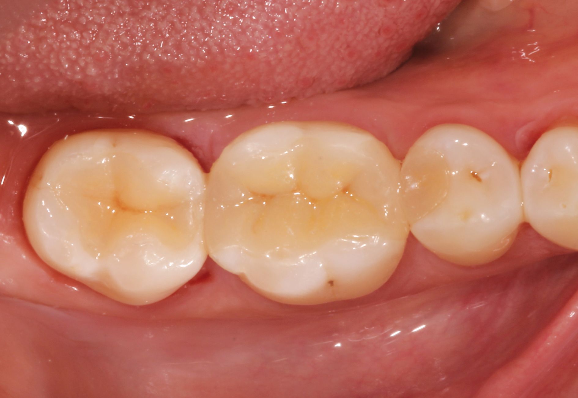
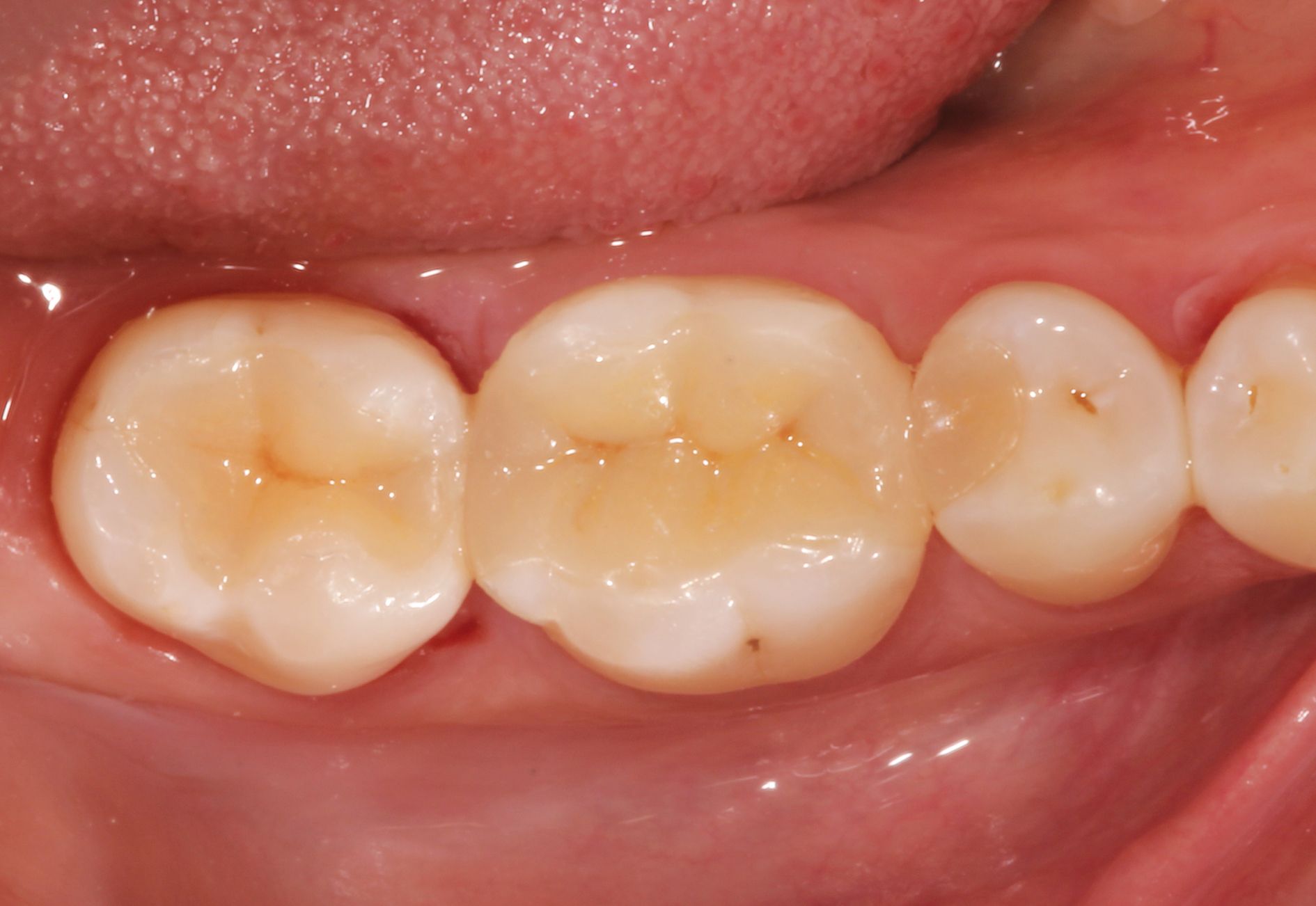
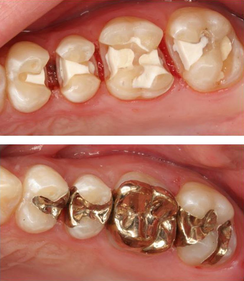
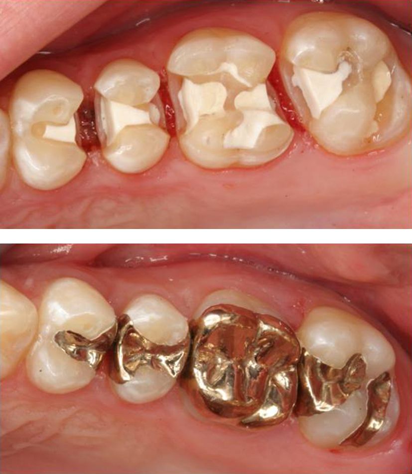
Unter indirekten Restaurationen versteht man in der Regel so genannte Inlays, Teilkronen, Kronen oder Brücken aus unterschiedlichen Materialien.

Für laborgefertigte Restaurationen, z. B. aus hochgoldhaltigen Metalllegierungen oder Keramiken, wird nach der Präparation eine Abformung vorgenommen und ein Gipsmodell angefertigt. Auf diesem Modell wird durch einen Zahntechniker die entsprechende Restauration indirekt (extraoral) im zahntechnischen Labor hergestellt. 

In einer weiteren Sitzung werden die fertigen Restaurationen eingesetzt. Im Falle von Gussmetall werden die Restaurationen i.d.R. mit einem Zement befestigt. Im Gegensatz dazu, werden Keramikrestaurationen adhäsiv befestigt eingeklebt.

Welches Material für Sie das Richtige ist, werden wir gemeinsam ausführlich mit Ihnen besprechen.

Für Keramikrestaurationen und vor allem für Gussmetallrestaurationen liegen gute, langjährige klinische Erfahrung vor.
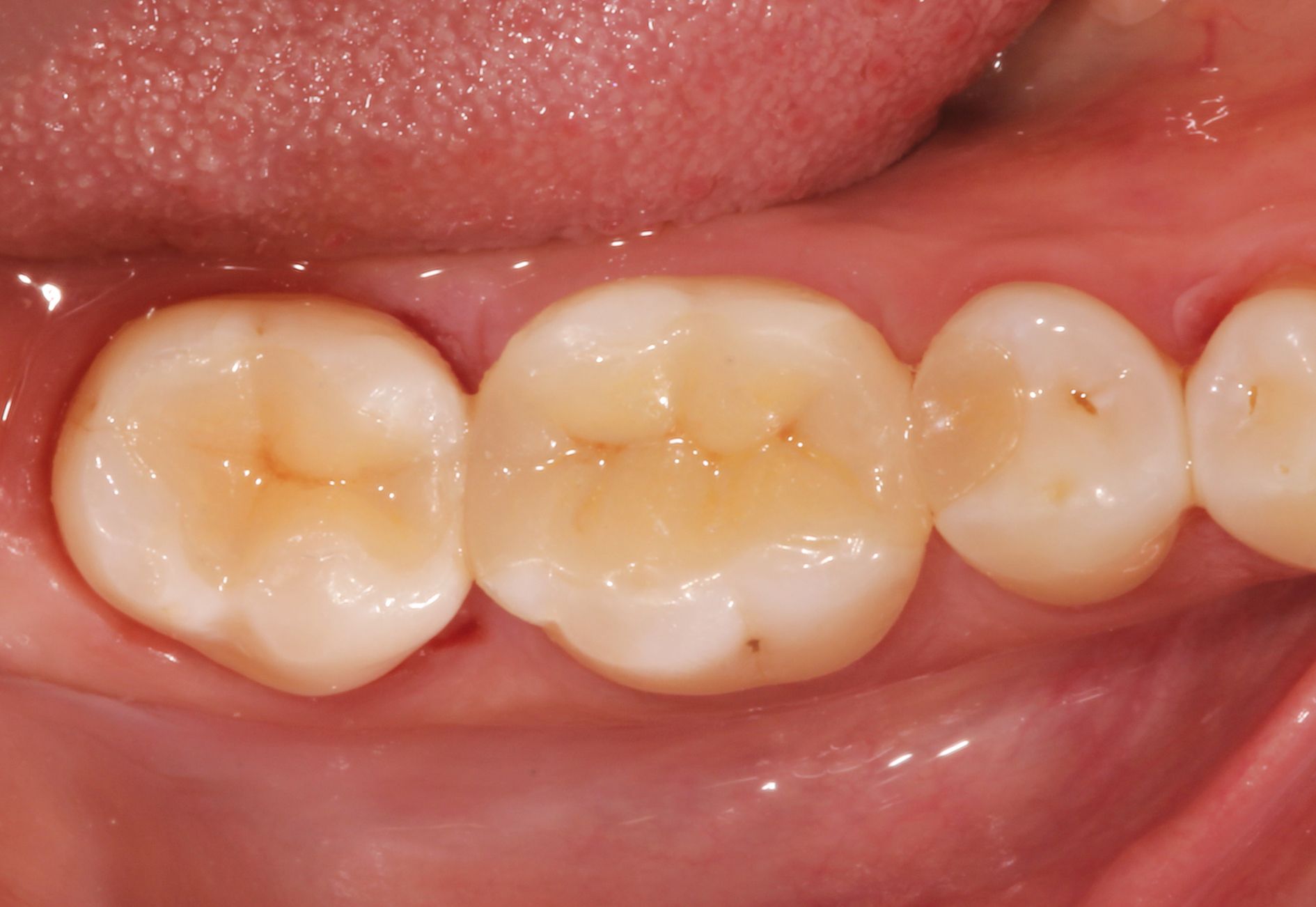
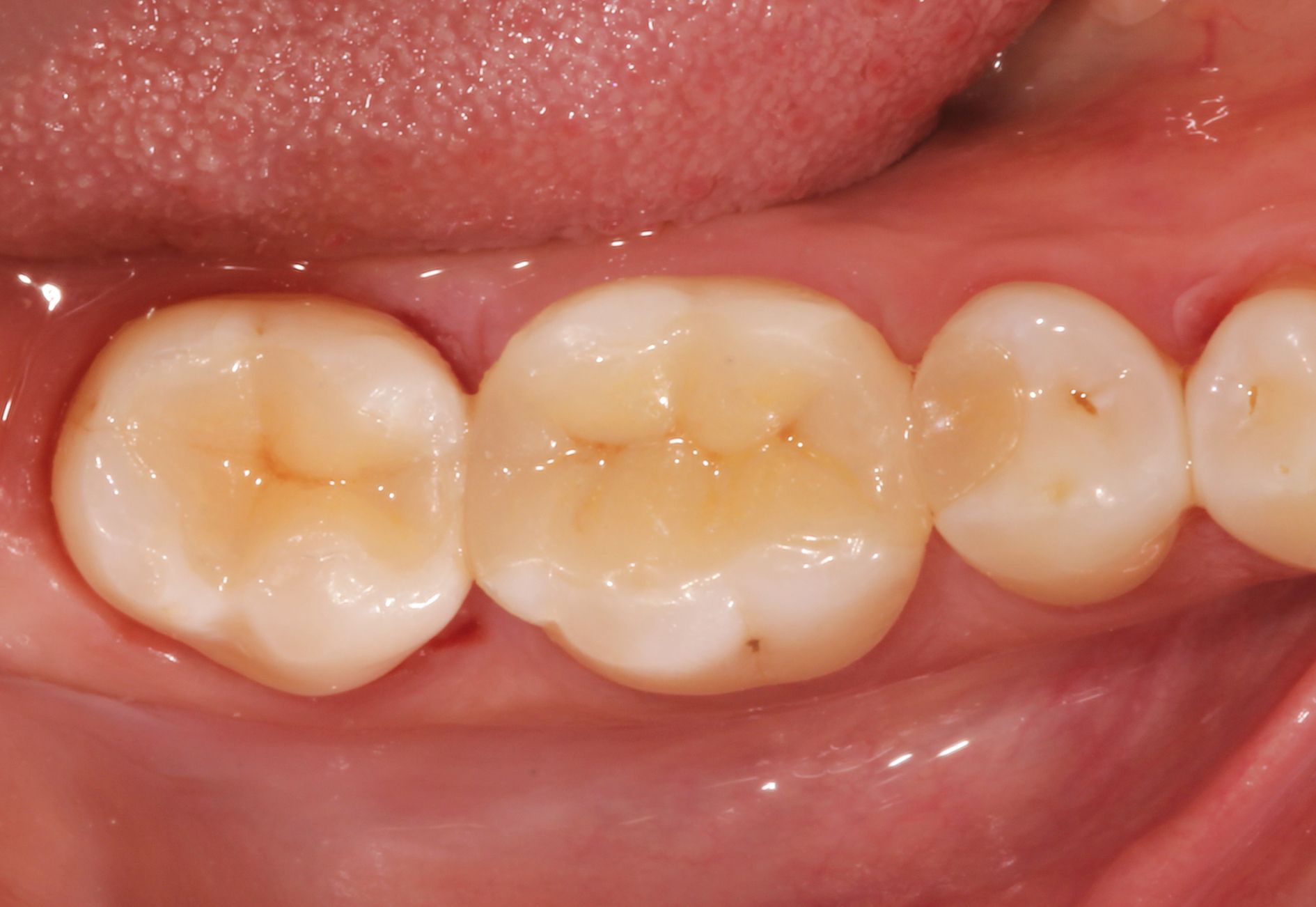
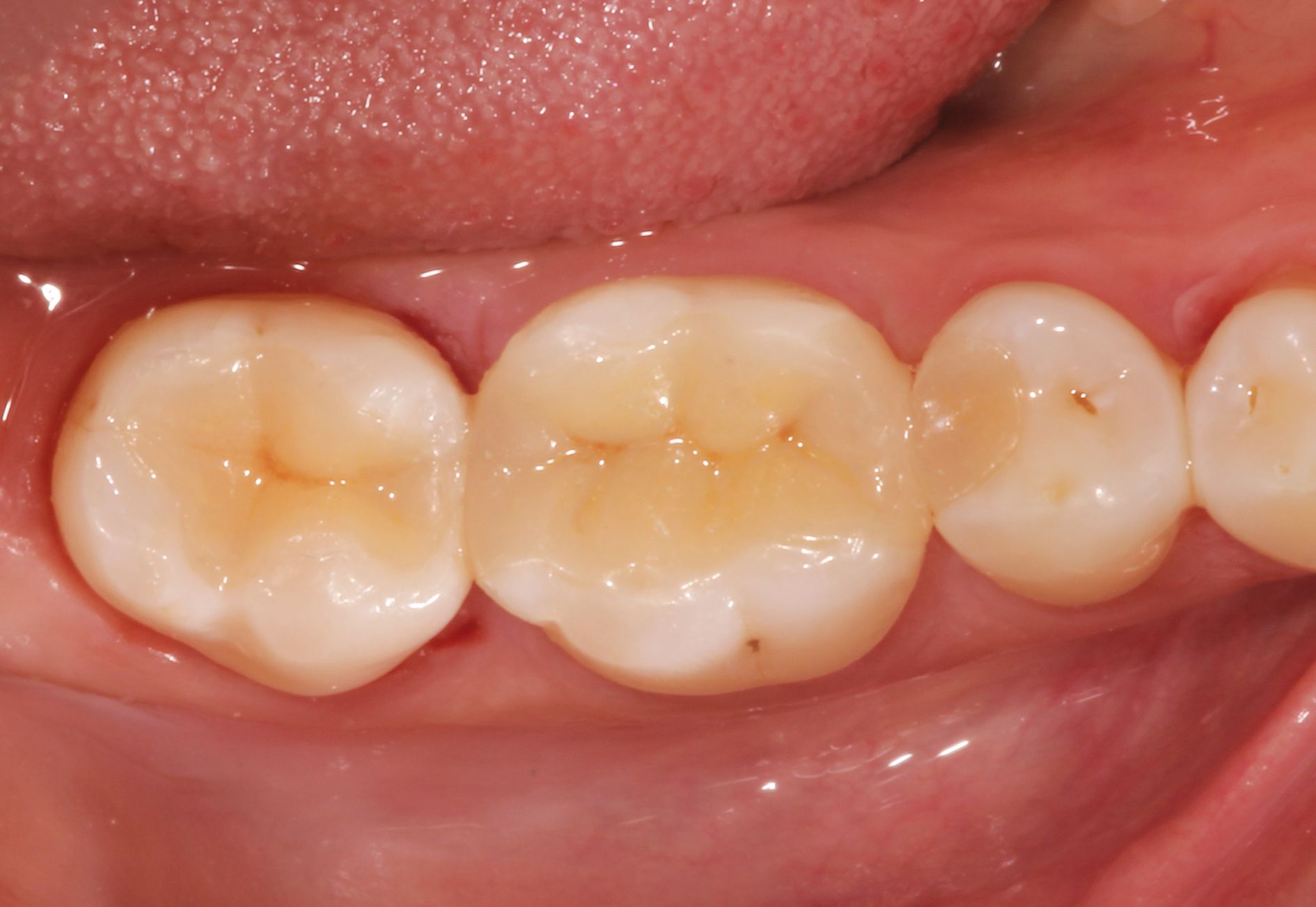
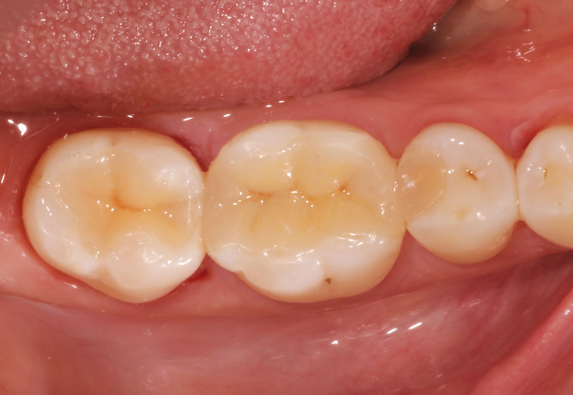
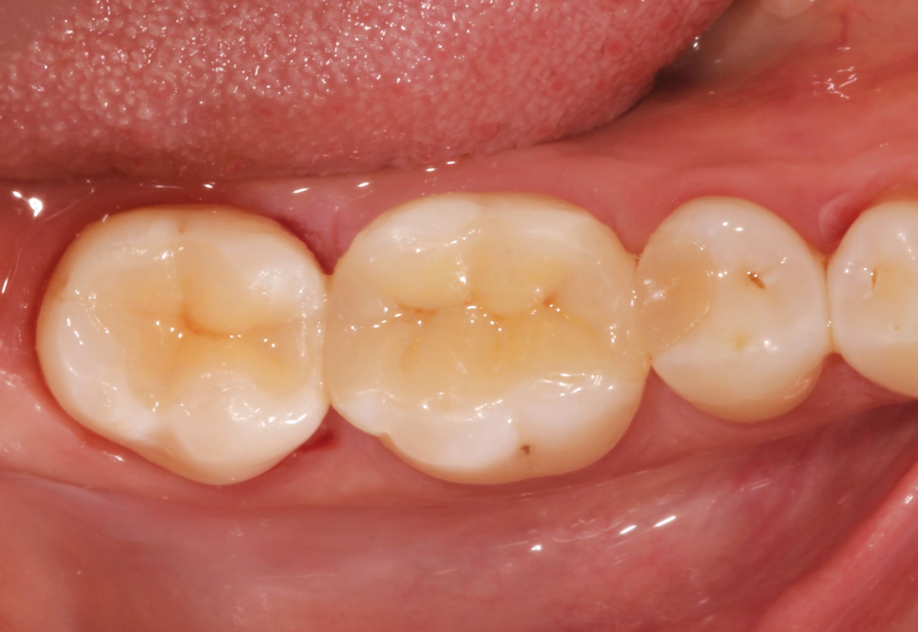
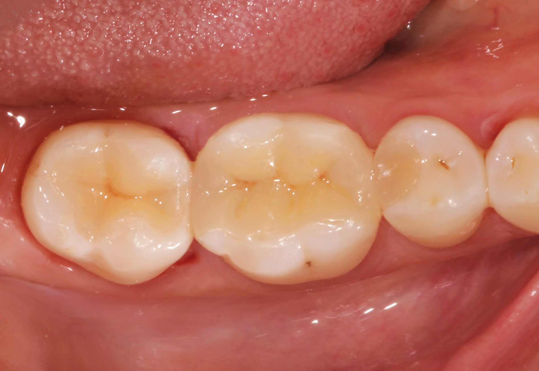
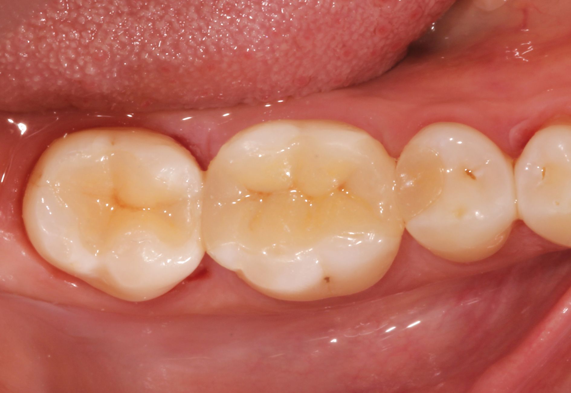
Keramikrestauration
Einsetzen einer Kermikrestauration
Eingesetzte Keramikrestauration

Aufklärungsbogen

Bei Interesse können Sie hier unseren Aufklärungsbogen für indirekte Restaurationen herunterladen und vorab ausfüllen. Dieser wird vor Ihrer Behandlung mit Ihnen besprochen. 

Aufklärungsbogen Indirektes Verfahren

Zertifikate und Verbände