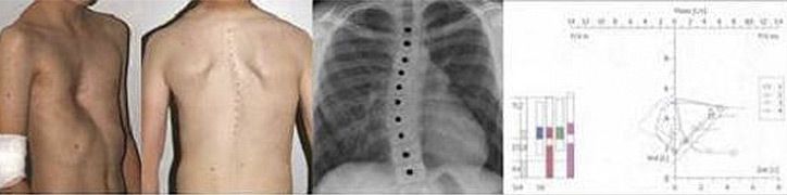
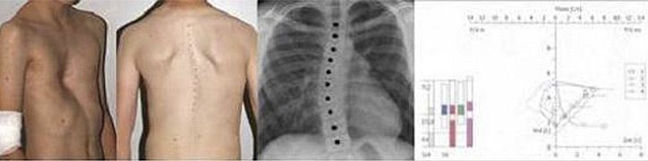
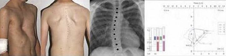
Die Trichterbrust (Pectus excavatum) ist eine Fehlbildung unklarer Ursache im Bereich von Brustbein und Rippen. Die Häufigkeit beträgt ca. 0,3 bis 0,5% aller Neugeborenen. Es wird eine familiäre Vererblichkeit beschrieben sowie das Auftreten zusammen mit anderen Erkrankungen (z.B. Marfan-Syndrom oder Ehlers-Danlos-Syndrom). Darüber hinaus kann sich eine Trichterbrust nach Operationen an Herz-, Zwerchfell- oder Lungen entwickeln. Häufig ist der Trichter nach der Geburt mitunter noch nicht oder nur leicht zu sehen. Er verstärkt sich aber während der Wachstumsphase und der Pubertät und kann dann zu einer Beschwerdesymptomatik führen. Eine Spontankorrektur ist bisher nicht beschrieben.
Auftretenden Beschwerden
- Falsche Körperhaltung, Entwicklung einer Wirbelsäulenverkrümmung (Skoliose)
- Belastungseinschränkung (vermindertes Lungenvolumen)
- Gehäufte Infekte von Lungen und Bronchien
- Auswirkungen auf das Herz (Vermindertes Schlagvolumen, Mitralklappenprolaps)
- seelischer Leidensdruck durch die ästhetische Beeinträchtigung
Folgende Untersuchungen vor einer Operation müssen erfolgen
- Vermessung und Fotodokumentation des Befundes
- Magnetresonanztomographie (MRT)
- Röntgenbild des Brustkorbes in 2 Ebenen
- Lungenfunktionstest unter Belastung (Spiroergometrie)
- Echokardiographie (Ultraschall vom Herz)
- Elektrokardiogramm (EKG)
Therapieindikationen
- Verminderte körperliche Belastbarkeit
- Auswirkungen auf Herz und Lungen
- Ausgeprägte psychisch-ästhetische Problematik
- Haller Index als Hilfestellung zur Befundeinstufung
Konservative Behandlung
Hier steht das Verfahren mit einer Saugglocke zur Verfügung, welches bereits seit Anfang des 20. Jahrhunderts bekannt ist, aber erst in den 90er Jahren durch einen betroffenen Patienten in einer optimierten Form wieder etabliert wurde. Die Glocke wird in anfangs kurzen, später längeren Intervallen direkt auf dem Trichter platziert und über eine Handpumpe angesaugt. Das Verfahren kann ambulant über einen Zeitraum von 2-3 Jahren bei Patienten mit milder Trichterbrust angewandt werden.
Operative Behandlung
Die minimal-invasive Trichterbrustkorrektur mittels Pectus Bar (Stahlbügel) ist eine von Donald Nuss – einem US-amerikanischen Kinderchirurgen – im Jahr 1987 für Kinder entwickelte Operationstechnik, die heute auch bei Jugendlichen und Erwachsenen Anwendung findet. Diese Korrekturmethode basiert auf einem „remodeling“ des Brustkorbs und weist eine Reihe von Vorteilen auf.
Dazu gehört die minimale Invasivität mit weniger Traumatisierung durch die Operation, geringeren Schmerzen nach der Operation, kürzeren Krankenhausaufenthalten sowie einem besseren kosmetischen Ergebnis. Die Technik wurde laufend modifiziert, die Langzeitergebnisse sind exzellent. Wir führen die Operation standardisiert unter Anlage eines Periduralkatheters durch und erreichen damit eine ausreichende Schmerzbehandlung. Nach abgeschlossener Mobilisation wird der Patient mit oralen Schmerzmitteln entlassen und ambulant nachbetreut. Eine begleitende Krankengymnastik für einen Aufbau der Rückenmuskulatur und eine Haltungsschule zum Vorbeugen einer Skoliose sollte bereits vor der Operation begonnen worden sein. Die Entfernung des Bügels erfolgt nach 3 Jahren. Bei den offenen Korrekturverfahren (z.B. Ravitch, Rehbein) werden über einen Hautschnitt im Brustbeinbereich die deformierten, am Brustbein ansetzenden Knorpel der Rippen entfernt. Eine anschließende Stabilisierung erfolgt mit Drähten oder Metallbügeln. Nachteil dieses Vorgehens ist die hohe Invasivität mit länger andauernder Schmerzbehandlung und Krankenhausaufenthalt sowie größeren, prominenteren Narben.
Kielbrust (Pectus carinatum)
Die Kielbrust entsteht – ebenso wie die Trichterbrust – durch ein überschießendes Wachstum der Knorpelverbindungen zwischen Rippen und Brustbein. Die Folge ist ein Vorspringen von Brustbein und/oder benachbarter Rippenansätze gegenüber dem normalen Niveau der Brustwand, wobei symmetrische und asymmetrische Verformungen unterschieden werden. Die Funktion von Herz und Lungen ist meistens nicht beeinträchtigt, allerdings können ausgeprägt Deformitäten die Atemmechanik stören. Im Vordergrund steht häufig die Fehlbelastung der Wirbelsäule (Skoliose und Rückenschmerzsyndrome). Als Behandlungsmöglichkeiten stehen konservative und operative Verfahren zur Verfügung. Ist das Brustbein mit der Hand durch Druck noch in eine Normalposition zu bewegen, so bietet sich eine Orthesen-Behandlung (maßangefertigte Druckspange) an. Operativ kann eine minimal-invasive Korrektur ähnlich der Trichterbrustkorrektur (sog. Reversed Nuss Operation) oder eine herkömmliche offen chirurgische Operation durchgeführt werden. Bei letzterer werden die Rippenknorpel auf beiden Seiten des Brustbeines durchgetrennt und nach Entfernung der vorspringenden Rippenanteile erneut an das abgesenkte Brustbein refixiert.
Poland Syndrom
Das Poland Syndrom ist eine ätiologisch unklare 1841 erstmal durch Alfred Poland beschriebene seltene Konstellation verschiedener Anomalien. Dazu gehört ein Defekt der Thoraxwand mit Fehlen, Verschmelzen oder Verkürzen von Rippen- und Brustbeinanteilen, eine Hypo- oder Aplasie (Fehlen) von Brustmuskulatur, Brustdrüse und/oder Brustwarze, sowie das Fehlen oder eine Unterentwicklung von der Hand und den Fingern. Die rechte Körperhälfte sowie Jungen sind deutlich häufiger betroffen. Die Diagnostik erfolgt radiologisch (Sono, Röntgen, evtl MRT/CT) und klinisch durch eine Untersuchung. Eine Indikation zur konservativen Therapie mit Physiotherapie besteht zur Vermeidung einer Skoliose. Eine operative Therapie muss bei paradoxer Atmung/Brustwandbeweglichkeit oder bei unzureichendem Schutz der Brustorgane durch die fehlende knöcherne und weichteilige Brustwand erfolgen. Dazu sind zahlreiche Verfahren (Rippentransfer, Implantation von Kunstrippen und Netzen sowie modifizierte Ravitch-Verfahren) beschrieben. Wir sehen stets eine individuelle Beratung und individuelle Behandlung für indiziert:
- Chest wall repair in Poland syndrome: complex single-stage surgery including Vertical Expandable Prosthetic Titanium Rib stabilization - a case report.
Lieber J, Kirschner HJ, Fuchs J., J Pediatr Surg. 2012 Mar;47(3):e1-5
Andere Thoraxwandfehlbildungen
Weitere Thoraxwanddeformitäten, wie z.B. das Currarino-Silverman-Syndrom, bedürfen ebenso einer individuellen Beratung, Diagnostik und Therapie.
Certificates and Associations

Focus: Top Nationales Krankenhaus 2020

Kooperation für Transparenz und Qualität im Gesundheitswesen

Qualitätspartnerschaft mit der PKV

Erfolgsfaktor Familie

Die Altersvorsorge für den Öffentlichen Dienst