Gutartige Knochenläsionen

Hierunter versteht man gutartige Veränderungen des Knochens, die bei entsprechender Größe oder Ausprägung folgende Probleme verursachen können:

  • Pathologische Frakturen (Knochenbruch bei veränderter Knochensubstanz)
  • Schmerzen und Gangauffälligkeiten
  • Überbeanspruchung oder Reiz eines Sehnenansatzes
  • Behinderung oder Hinweggleiten von Muskelanteilen bei Bewegung
  • Sichtbare Verdickungen
  • Wachstumsstörungen

Leitung

Leitung

Dr. med. Hans-Joachim Kirschner

Oberarzt

Prof. Dr. med. Justus Lieber

Oberarzt

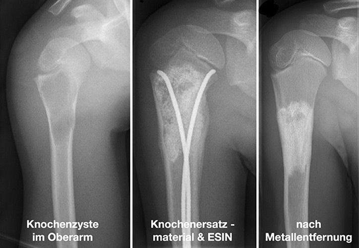
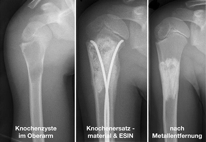
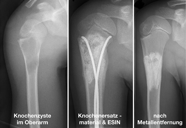
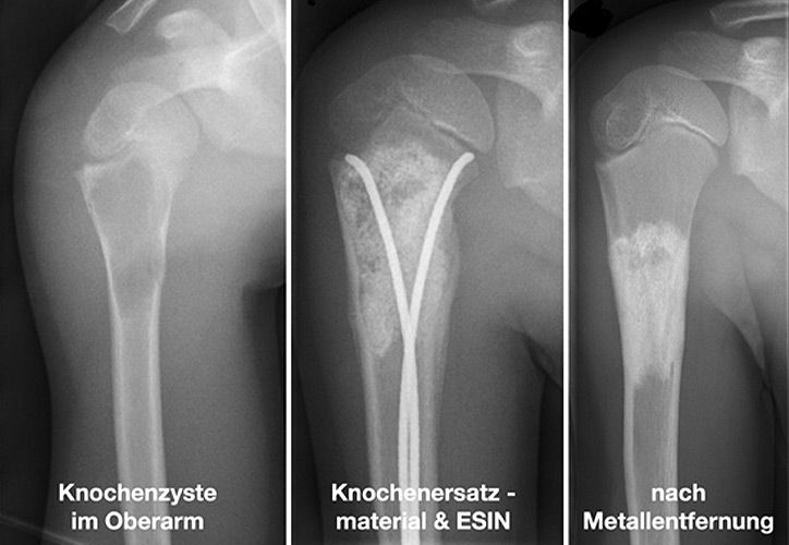
Knochenzysten

Knochenzysten sind die häufigsten gutartigen tumorähnlichen Knochenläsionen im Kindes- und Jugendalter und machen in großen Sammelstatistiken 13-19% dieser Läsionen aus. Es werden die juvenilen und aneurysmatischen Knochenzysten unterschieden. Der Altersgipfel für die meist zufällige Erstdiagnose liegt zwischen dem 9. und 13. Lebensjahr. Die Lokalisation der Knochenzyste verteilt sich nach Literaturangaben auf den Oberarm (ca 50%), den Oberschenkel (ca 30%), den Unterschenkel (ca 10%), aber sie können an allen Knochen vorkommen. Die genaue Pathogenese ist unklar, es werden jedoch lokale Wachstumsstörungen in der Entstehungsphase des Röhrenknochens diskutiert.

Um pathologische Frakturen zu verhindern, stehen mehrere Möglichkeiten zur Verfügung, z.B.:

  • chirurgische Entfernung (a.G. der Größe meist nicht möglich)
  • Stabilisierung und gleichzeitige Therapie durch ESIN (Nagelung)
  • Auffüllung mit Knochenersatzmaterial oder körpereigenem Knochen
  • Kombinationstherapie mit Knochenersatzmaterial und ESIN (Abbildung)

Exostosen

Unter Exostose versteht man eine abgegrenzte Zubildung von kompakter Knochensubstanz mit Wachstum nach außen. Sie können an den verschiedensten Knochen auftreten und ein breitbasiges oder spornhaftes Wachstum aufweisen. Bei der sogenannten Exostosenkrankheit treten viele verschiedene Knochentumoren auf, bei denen eine bösartige Entdifferenzierung nicht vollkommen ausgeschlossen ist. In der Regel finden sich jedoch einzelne Exostosen, insbesondere am Knie, die mit der chirurgischen Entfernung bei o.g. Beschwerden therapiert sind.

Certificates and Associations