Zu unserem Behandlungsspektrum gehören:
- Knochenzysten
- Exostosen
- Knochenfibrome
- Osteoidosteome
- und andere
Hierunter versteht man gutartige Veränderungen des Knochens, die bei entsprechender Größe oder Ausprägung folgende Probleme verursachen können:
 
    Dr. med. Hans-Joachim Kirschner
Oberarzt
 
    Prof. Dr. med. Justus Lieber
Oberarzt
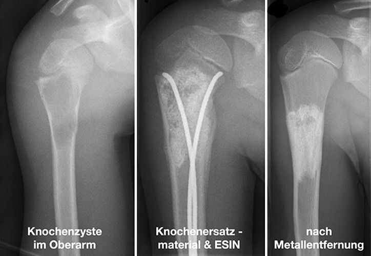
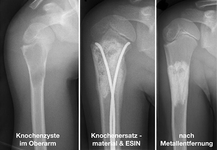
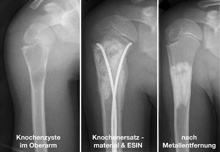
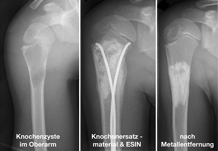
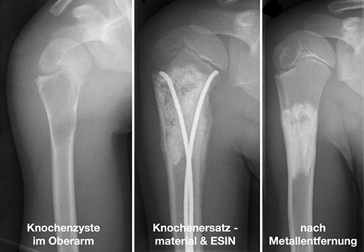
Knochenzysten sind die häufigsten gutartigen tumorähnlichen Knochenläsionen im Kindes- und Jugendalter und machen in großen Sammelstatistiken 13-19% dieser Läsionen aus. Es werden die juvenilen und aneurysmatischen Knochenzysten unterschieden. Der Altersgipfel für die meist zufällige Erstdiagnose liegt zwischen dem 9. und 13. Lebensjahr. Die Lokalisation der Knochenzyste verteilt sich nach Literaturangaben auf den Oberarm (ca 50%), den Oberschenkel (ca 30%), den Unterschenkel (ca 10%), aber sie können an allen Knochen vorkommen. Die genaue Pathogenese ist unklar, es werden jedoch lokale Wachstumsstörungen in der Entstehungsphase des Röhrenknochens diskutiert.
Um pathologische Frakturen zu verhindern, stehen mehrere Möglichkeiten zur Verfügung, z.B.:
Unter Exostose versteht man eine abgegrenzte Zubildung von kompakter Knochensubstanz mit Wachstum nach außen. Sie können an den verschiedensten Knochen auftreten und ein breitbasiges oder spornhaftes Wachstum aufweisen. Bei der sogenannten Exostosenkrankheit treten viele verschiedene Knochentumoren auf, bei denen eine bösartige Entdifferenzierung nicht vollkommen ausgeschlossen ist. In der Regel finden sich jedoch einzelne Exostosen, insbesondere am Knie, die mit der chirurgischen Entfernung bei o.g. Beschwerden therapiert sind.
 
                                        Focus: Top Nationales Krankenhaus 2022
 
                                        Kooperation für Transparenz und Qualität im Gesundheitswesen
 
                                        Qualitätspartnerschaft mit der PKV
 
                                        Erfolgsfaktor Familie
 
                                        Die Altersvorsorge für den Öffentlichen Dienst