Kinder haben einen natürlichen Bewegungsdrang. Daher sind Verletzungen im Kindesalter nicht selten. Betroffen sein können Weichteile, Knochen, Organe des Brustraumes und der Bauchhöhle sowie das Gehirn. Oberstes Ziel bei der Therapie dieser Verletzungen ist die „kindgerechte Behandlung“, die größtenteils andere Strategien und Methoden beinhaltet als in der Erwachsenenmedizin. Das gesamte Personal ist speziell in der Kindermedizin ausgebildet.
Traumatologie - Kinderunfallchirurgie
Leitung
 
    Dr. med. Hans-Joachim Kirschner
Oberarzt
 
    Prof. Dr. med. Justus Lieber
Oberarzt
Behandlungsspektrum
- Verletzungen der Weichteile (Riss-, Schnittwunden, Prellungen, Verstauchungen)
- Verletzungen der Knochen und Gelenke (Frakturen und Luxationen)
- Weichteil- und Knochenentzündungen nach Verletzung
- Wachstumsstörungen oder Fehlstellung nach Knochenbrüchen
- Verletzung der Wirbelsäule und des Beckens
- Verletzungen des Kopfes und des Gehirns
- Verletzungen des Brustkorbs und des Bauches
- Verbrühungen und Verbrennungen
- Schwer- und Mehrfachverletzungen (Polytrauma)
Frakturen und Knochenbrüche
Allgemeine Informationen
Für die Behandlung von Knochenbrüchen im Kindesalter sind genaue Kenntnisse des Wachstums nötig. Knochenbrüche können das Wachstum hemmen, überschießen oder fehlleiten. Andererseits können Fehlstellungen in bestimmten Grenzen alleine durch Wachstum korrigieren werden. Somit sind für eine Therapieentscheidung die Faktoren Patientenalter, Fehlstellungsausmaß und Korrekturpotenz von größter Bedeutung.
Was wir behandeln
Zu unseren Behandlungsspektrum gehören:
- Nicht-operative Therapie mit modernen leichten Kunststoff-Gips-Verbänden
- Minimal-invasive Gelenk- und Knochenrekonstruktion (Osteosynthese)
- Offene Operation bei komplizierten Knochenbrüchen
- Operative und nichtoperative Infektsanierungn
- Haut- und Weichteilrekonstruktion
- Operative Korrekturen von fehlverheilten Knochenbrüchen
Osteosyntheseverfahren
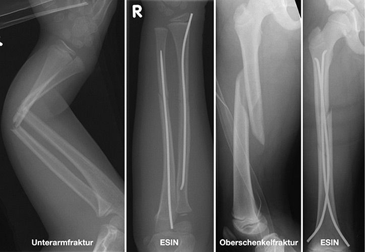
Elastisch stabile intramedulläre Nagelung
Einige Frakturen müssen auf Grund ihrer Achsabweichung operiert werden. In einer Narkose wird die Fraktur eingerichtet und ggf. mit Metall stabilisiert. Dazu stehen eine Reihe von Methoden (Osteosynthesen) zur Verfügung, die speziell für Kinder entwickelt wurden, um Wachstumsfugen zu schonen und nicht zu verletzen: Die ESIN (elastisch stabile intramedulläre Nagelung) hat sich als minimal invasives Standardverfahren zur Stabilisierung von Schaftfrakturen der großen Röhrenknochen (Unterarm, Oberarm, Unterschenkel, Oberschenkel) etabliert. Die Implantate können über winzige Schnitte eingebracht werden, eine gipsfreie Nachbehandlung ist ein weiterer entscheidender Vorteil.
Kirschner-Draht-Osteosynthese
Andere Verfahren der operativen Frakturversorgung im Kindesalter sind die Kirschner-Draht-Osteosynthese, die Verschraubung, der Fixateur und die Plattenosteosynthese. Metallentfernungen werden ambulant durchgeführt, Nachuntersuchungen zum Ausschluss etwaiger Wachstumsstörungen erfolgen in unserer Frakturensprechstunde.
Korrekturoperation
Nur selten treten Wachstumsstörungen oder Verheilungen in Fehlstellung auf. Um dennoch eine volle Belastung und uneingeschränkte Beweglichkeit zu gewährleisten, führen wir entsprechende Korrekturoperationen durch.
Partner von Li-La e.V.
Unsere Abteilung ist Partner von Li-La e.V., einer Gruppe von Kindertraumatologen, Kinderchirurgen und Kinderärzten als Interessenvertretung unserer heranwachsenden Patienten. Als Vereinsmitglieder beteiligen wir uns an der Ausbildung von Ärzten in der Traumatologie mit praktischen Kursen, und nehmen an Studien sowie Nachuntersuchungsprogrammen teil.
Li-La e.V. - Licht und Lachen für Kinder in der Medizin e.V.
Organverletzungen
Verletzungen der Bauchorgane
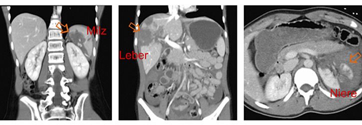
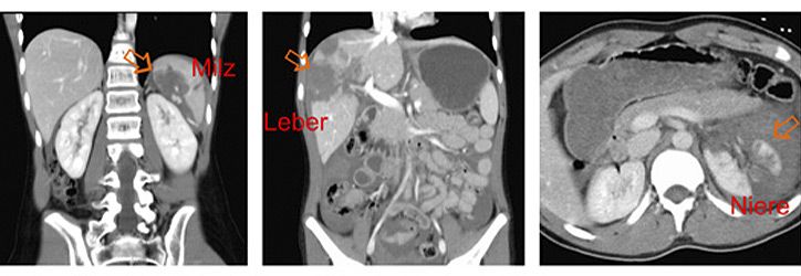
Die Bauchorgane werden in Europa fast ausschließlich durch stumpfe Traumen verletzt. Die Unfallursachen sind altersabhängig und bei Kleinkindern v.a. Stürze, bei Schulkindern zunehmend Sportunfälle und in allen Altersgruppen Verkehrunfälle. Am häufigsten sind Milz, Leber und Nieren (Abbildung) verletzt, seltener die Bauchspeicheldrüse oder der Magen-Darm-Trakt.
Bei Kindern gibt es die Besonderheiten einer noch schwach ausgebildeden Muskulatur des Bauches und flüssigkeitsreichere Organe, die relativ gesehen größer sind als bei Erwachsenen. Führendes Leitsymptom beim Bauchtrauma ist der Bauchschmerz, es können aber auch Übelkeit und Erbechen vorliegen. Wichtig ist zu unterscheiden zwischen isoliertem Bauchtrauma und Patienten mit Mehrfachverletzungen/Polytrauma.
Unsere Kinderklinik hält einen Schockraum vor, in dem verletzte Kinder versorgt werden können und alle diagnostischen Methoden (Röntgen, Sonographie, Computertomographie, Blut- und Urinanalysen) zur Verfügung stehen.
Die meisten Bauchverletzungen im Kindesalter können einer konservativen Therapie auf unserer Kinderintensiv- oder Normalstation zugeführt werden. Sollte eine Operation notwendig sein, so steht rund um die Uhr ein erfahrenes Team aus Kinderchirurgen, Kinderanästhesisten und pädiatrischen Intensivmedizinern bereit.
Verletzungen im Brustkorb
Thoraxtraumen betreffen sowohl den Weichteilmantel, das knöcherne Skelett (Rippen, Wirbelsäule) als auch die intrathorakalen Organe (V.a. Lunge, aber auch Speiseröhre, das Zwerchfell, die großen Gefäße und das Herz). Die Verletzungen können durch Verbrennungen entstehen, durch Verschlucken von Fremdkörpern oder giftiger Flüssigkeiten sowie durch stumpfe oder seltener spitze Gewalt. Beim eigentlichen Thoraxtrauma sind die inneren Organe betroffen, wobei es sich um ein schweres Krankheitsbild handelt, welches im Kindesalter dennoch in der Regel konservativ zu therapieren ist.
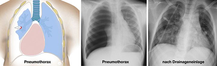
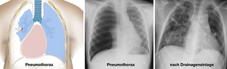
Grundlegender Unterschied beim Kind verglichen mit dem Erwachsenen, ist die geringere Körpergröße und Masse sowie die hohe Plastizität der knorpeligen Rippen. Diese frakturieren (brechen) beim stumpfen Thoraxtrauma in der Regel nicht, leiten aber die Kraft der Gewalteinwirkung vielmehr auf die darunter liegenden Strukturen fort. Folge können Gewebezerreissungen der Lungenstrukturen sein mit der Folge von Blutungen, Ödembildung, Pneumo- oder Hämatothorax (Abbildung)
Von der Geburt bis zur Pubertät vollzieht sich allerdings ein kontinuierlicher Reifungsprozess in den Lungen, so dass eine Organschädigung während dieses Zeitraums durch kompensatorisches Wachstum ausgeglichen werden kann.
Zum Zeitpunkt des Unfalls ist zu bedenken, dass der kindliche Organismus gegenüber einer Hypoxie (Sauerstoffunterversorgung) gefährdeter ist. Die Kompensationsfähigkeit der Lunge im Wachstumsalter ist vermindert, da bei geringerer funktioneller Residualkapazität ein höherer Sauerstoffverbrauch besteht. Die Überwachung von Kinder mit schweren Thoraxverletzungen muss deshalb auf einer spezialisierten kindertraumatologischen Intensivstation erfolgen und alle Therapiemöglichkeiten vorhalten.
Literatur
Traumatologie - Kinderunfallchirurgie
- The treatment of elbow dislocations in children and adolescents: Consensus report of the pediatric trauma section of the German Trauma Society (DGU). Bergmann F, Großer K, Lieber J. Unfallchirurg. 2019 May;122(5):369-375.
- Treatment principles and outcome after fractures of the lateral humeral condyle in children. Lieber J, Dietzel M, Tsiflikas I, Schäfer J, Kirschner HJ, Fuchs J. Unfallchirurg. 2019 May;122(5):345-352.
- Strategies for paediatric spleen and liver injuries. Zundel S, Lieber J, Tsiflikas I, Henk AK, Schmittenbecher P. Zentralbl Chir. 2014 Dec;139(6):592-9.
- Growth behavior after fractures of the distal forearm: reasons for the high rate of overtreatment. Lieber J. Unfallchirurg. 2014 Dec;117(12):1092-8.
- Developments in the treatment of pediatric long bone shaft fractures. Lieber J, Schmittenbecher P. Eur J Pediatr Surg. 2013 Dec;23(6):427-33.
Certificates and Associations
 
                                        Focus: Top Nationales Krankenhaus 2020
 
                                        Kooperation für Transparenz und Qualität im Gesundheitswesen
 
                                        Qualitätspartnerschaft mit der PKV
 
                                        Erfolgsfaktor Familie
 
                                        Die Altersvorsorge für den Öffentlichen Dienst
 
             
             
             
             
             
            