Thorax- und Lungenchirurgie

Die operative Behandlung im Bereich des Brustkorbs umfasst das gesamte Spektrum der Lungen-, Thorax- Speiseröhren und Trachealchirurgie, vom Frühgeboren bis zum Jugendlichen Patienten. Bei allen Fehlbildungen oder erworbenen Erkrankungen arbeiten wir sehr eng mit den Spezialisten aus der Kinderklinik zusammen. Dies beginnt auch schon vor der Geburt, wenn eine Fehlbildung im Rahmen der Schwangerenvorsoge festgestellt wird. Bei allen unseren Patienten vom Neugeboren bis  später im Kindes-/Jugendlichenalter ist  die umfassende Betreuung  vor und während der Operation, auf Station, sowie in der Nachsorge gewährleistet. Dafür sorgen zusammen mit den kinderchirurgischen Experten unsere Spezialisten für Kindernarkose, Kinderintensivmedizin, Kinderradiologen, sowie auf Lungen- und Luftröhrenerkrankungen spezialisierte Kinderärzte.

Wo immer möglich führen wir die Operationen minimalinvasiv durch, um unnötige Belastungen für das Kind und mögliche Spätschäden durch offenes Operieren zu vermeiden. Diese modernen Operationsmethoden werden bei uns immer weiter entwickelt und mit innovativen Therapiekonzepten, wie z.B. 3D-Verfahren zur Diagnostik und OP-Vorbereitung kombiniert. Damit bieten wir größtmögliche Sicherheit in Diagnostik und Therapie dieser teilweise komplexen Erkrankungen.

Leitung

Prof. Dr. med. Jörg Fuchs

Chefarzt

Dr. med. Hans-Joachim Kirschner

Oberarzt

Behandlungsspektrum

Lungenfehlbildungen sind mit einer Häufigkeit der verschiedenen Formen zwischen 1:1.000 bis 1:35.000 zwar selten, bergen aber ein erhebliches Risiko für Probleme mit der Atmung beim Neugeborenen, sowie Infektionen und sogar teilweise bösartige Umwandlung im Verlauf. Zunehmend häufiger werden Fehlbildungen der Lunge in der Sonographie bereits vor Geburt festgestellt. Die Wahl der geeigneten Diagnostik, der chirurgischen Therapie und des optimalen Zeitpunkts der Operation sind Schlüssel für die beste Behandlung der Patienten.

Die wichtigsten dieser Fehlbildungen sind:

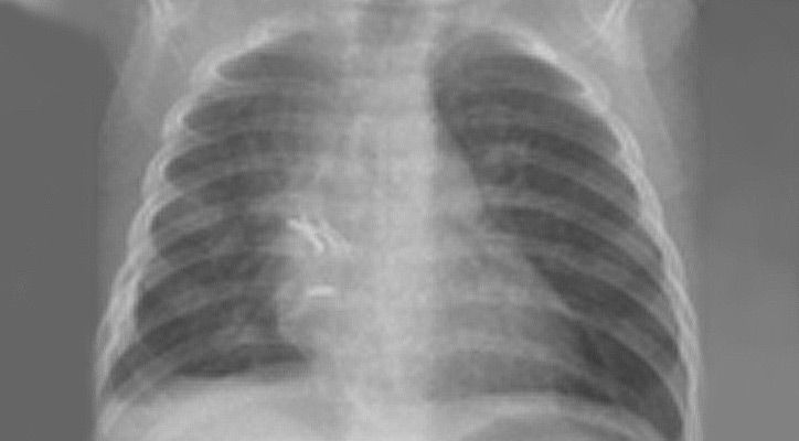
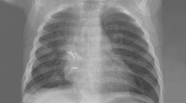
  • CPAM (Congential Pulmonary Airway Malformation) früher als Zystische Malformation der Lunge (CPAM) bezeichnet: Hier handelt es sich um eine zunächst gutartige Veränderung eines Teils der Lunge, durch fehlerhafte Entwicklung in der Embryonalzeit. Der betroffene Lungenabschnitt weist teilweise solide und vor allem zystische Veränderungen des Lungengewebes auf (Abbildung).
  • Die Lungensequestration ist definiert als ein vom Rest der Lunge abgrenzbarer Lungenabschnitt mit eigenständiger Blutversorgung aus dem Systemkreislauf. Unterschieden wird die sehr viel häufigere extralobäre Sequestration mit einem vom normalen Lungengewebe separierten kleiner Lungenabschnitt von der innerhalb des Lungenlappens gelegenen intralobären Sequestration.
  • Das kongenitale lobäre Emphysem mit Überblähung eines Teils der Lunge, die raumfordernd wirkt und die übrige Lunge verdrängt.
  • Bronchogene Zysten entstehen durch Fehlentwicklung der Luftröhre sehr früh in der Embryonalzeit.

Da Fehlbildungen der Lunge vor allem zur Beeinträchtigung der umgebenden gesunden Lunge führen können, muss häufig eine Entfernung erfolgen. Damit wird erreicht, dass die gesunde Lunge sich normal weiter entwickeln kann. Unsere jahrzehntelange Erfahrung auf diesem Gebiet gewährleistet, dass sowohl offen chirurgische als auch minimalinvasive Resektionen schon beim Neugeborenen nach entsprechender Patientenselektion und Indikationsstellung sicher durchgeführt werden.

Lungenchirurgie: Abb. links: CPAM im Unterlappen rechts. Abb. rechts: nach Entfernung
Lungenchirurgie: Linke Seite der Abbildung: CPAM im Unterlappen rechts. Rechte Seite der Abbildung: nach Entfernung.
Literatur

Die Ösophagusatresie ist eine angeborene Fehlbildung der Speiseröhre (Ösophagus) mit einer Kontinuitätsunterbrechung (Atresie = Verschluss) variabler Länge, meist begleitet von einer Fistelbildung zur Luftröhre. Der Verdacht auf Vorliegen dieser Fehlbildung wird bei einem Teil der Patienten bereits vor Geburt im Ultraschall erhoben. Nach Geburt fallen die Neugeborenen durch Husten, Speicheln oder Atemnot auf. Ist die Diagnose durch ein Röntgenbild bestätigt, erfolgt bei der weitaus häufigsten Form mit kurzem Abstand der beiden Speiseröhrenenden eine primäre Korrekturoperation in den ersten Lebenstagen. Liegt keine Frühgeburtlichkeit und kein schwerer Herzfehler vor wird die Operation bei uns minimalinvasiv durchgeführt.

Ösophagusatresie: Abb. links Typ IIIb, Abb. rechts daneben Typ IIIb oderer Blindsack. Abb. ganz rechts nach der Ananstomose.
Ösophagusatresie: Abb. links Typ IIIb, Abb. rechts daneben Typ IIIb oderer Blindsack. Abb. ganz rechts nach der Ananstomose.

Ist der Abstand der beiden Speisröhrenanteile  langstreckig muss häufig im Verlauf der fehlende Speisenanteil ersetzt werden. Bei den meisten dieser Patienten führen wir den Speiseröhrenersatz minimalinvasiv als Magenhochzug durch.

Literatur:

Zwerchfellhernien sind angeborene Defekte des Zwerchfells. Diese werden bei den meisten Kindern vor Geburt im Ultraschall erkannt. Je nach Lokalisation und Ausprägung verursachen sie teilweise erhebliche Probleme mit der Atmung für das Neugeborene. Deshalb sollten alle Schwangeren bei deren Kindern diese Fehlbildung festgestellt wird eng an ein Zentrum wie Tübingen angebunden werden und das Kind dort zur Welt bringen. bereits vor Geburt  Bereits in der Diagnostik vor Geburt mit Ultraschall und Kernspintomographie lässt sich das Risiko für die Beeinträchtigung der Atmung anhand der Lungengröße abschätzen. Damit ist gewährleistet, dass die Geburtshelfer, die Neonatologen und Kinderintensivmediziner darauf vorbereitet sind und alle Therapiemöglichkeiten direkt zur Verfügung stehen. Dies umfasst am Universitätsklinikum Tübingen alle modernen Therapieoptionen beginnend von Eingriffen im Mutterleib, über eine direkte Versorgung des Neugeborenen solange es noch durch die Nabelschnur versorgt wird bis hin zu speziellen Beatmungsformen nach Geburt und der Sauerstoffzufuhr über das Blut (ECMO). Als überregionales Zentrum für Fehlbildungen beim Neugeborenen sind alle diese Therapieformen bei uns mit jahrelanger Erfahrung etabliert.

Nach Geburt wird das Kind zunächst über mehrere Tage hinweg intensivmedizinisch stabilisiert, bis eine Operation möglich ist. Nach entsprechender Patientenselektion wird die Korrektur minimalinvasiv oder offen chirurgisch durchgeführt.

In jeder Phase der Behandlung ist gewährleistet, dass optimale Therapie interdisziplinär hochkompetent von Spezialisten durchgeführt wird.

Zwerchfellhernie: Abb. links nach Korrektur.
Zwerchfellhernie: Abb. rechts nach Korrektur.

Certificates and Associations