Moyamoya Forschung

Als universitäres Zentrum sehen wir uns nicht nur in der Pflicht Patientinnen und Patienten auf höchstem Niveau zu behandeln, sondern auch das Verständnis, die diagnostischen Möglichkeiten, sowie auch die Therapie der Moyamoya Erkrankung stetig zu verbessern. Das langfristige Wohlergehen unserer Patientinnen und Patienten ist hierbei unsere treibende Kraft.

Über viele Jahre haben wir unsere Forschungsschwerpunkte ausgebaut, worüber wir Sie in den folgenden Abschnitten informieren möchten. Insbesondere ist hierbei die enge Kooperation mit der Neuroradiologie in Tübingen, sowie der Nuklearmedizin an der Universität in Freiburg hervorzuheben.

Eine Auflistung unserer wissenschaftlichen Arbeiten finden Sie unter:

Entwicklung des breathhold fMRTs zur Evaluation der cerebrovaskulären Reaktivität und longitudinalen

Entwicklung des breathhold fMRTs zur Evaluation der cerebrovaskulären Reaktivität und longitudinalen Verlaufsbeobachtung

In der konventionellen Angiographie und im konventionellen MRT können selektiv die Gefäße, der Blutfluss, und Gewebe gut dargestellt werden. Diese Untersuchungen erbringen jedoch keine Aussage über den absoluten Blutfluss im Gehirn. Adaptierte Untersuchungen des MRTs, sowie auch des CTs zur Messung der Hirndurchblutung (Perfusion) haben sich in der Vergangenheit bei Moyamoya Patienten auf Grund der Kollateralen als zu wenig sensitiv gezeigt, um die Durchblutung zuverlässig darzustellen. Durch die eigene Erforschung des funktionellen MRTs haben wir eine Untersuchung etabliert, welche die Reaktivität der Hirngefäße (und somit indirekt die cerebrale Durchblutungsreserve) darstellen kann. Beim sogenannten "breathhold", also Atemanhalte-fMRT müssen die Patienten in mehreren Zyklen für jeweils wenige Sekunden die Luft anhalten. Dadurch erhöht sich die CO2 Konzentration im Blut und die Hirngefäße stellen sich weiter. Diese Veränderung des Blutflusses kann dann indirekt gemessen werden. Da es sich hierbei um eine sehr neue Methode handelt, ist zu erwähnen, dass medizinische Entscheidungen primär ausschließlich in Zusammenschau aller Befunde und bei jeglicher Unschlüssigkeit mit dem ergänzenden PET-CT getroffen werden müssen. Das fMRT hat sich jedoch als exzellentes Screening-Tool für die langfristigen Nachkontrollen erwiesen.

Unsere Forschungsbemühungen beziehen sich hierbei auf den Vergleich und die Weiterentwicklung des fMRTs in Korrelation zum PET/CT, die Reproduzierbarkeit des fMRTs, sowie die Kombination anderer MRT Sequenzen mit dem fMRT.

Grafiken
fMRT basierte Kurven der Signalveränderungen des breathhold fMRTs aufgeschlüsselt für jedes Hirnareal. Auffällig hierbei die Durchblutung im mittlere Hirnareal rechts (hellgrüne Kurve) im Vergleich zu allen anderen Hirnarealen und dem Kleinhirn (Cerebellum – gelbe Kurve), welches als Referenz dient.
Darstellung im breathhold fMRT
Anatomische Darstellung der Hirndurchblutung gemessen im breathhold fMRT. Grüne Farbe zeigt eine regelhafte Durchblutung an, während die rötlicheren Farben eine unzureichende Hirndurchblutung anzeigen. Auffällig hierbei die Durchblutung im mittlere Hirnareal rechts (hellgrüne Kurve) im Vergleich zu allen anderen Hirnarealen und dem Kleinhirn (Cerebellum – gelbe Kurve), welches als Referenz dient.

Gefäßwanddarstellung („Vessel-Wall Imaging“) zur Identifikation der Krankheitsaktivität

Gefäßwanddarstellung
(„Vessel-Wall Imaging“)
zur Identifikation der Krankheitsaktivität

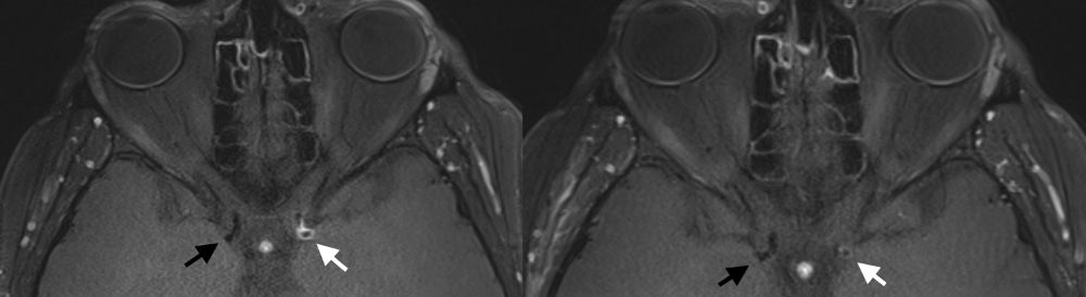
In der MRT Bildgebung fertigen wir neben den Routine-Sequenzen der Schlaganfalldiagnostik spezielle hochauflösende Sequenzen auf einem modernen 3 Tesla Gerät an, die mit einer Auflösung von unter einem Millimeter die betroffenen Gefäßwände darstellen können. So kann eine mögliche Aktivität und ein Voranschreiten der Erkrankung erkannt und dementsprechend die weitere Behandlungs- und Kontrollstrategie angepasst werden. Wir konnten als erste Gruppe weltweit beschreiben, dass sich die Kontrastmittelaufnahme der Gefäßwand mit einem zunächst an- und dann auch wieder absteigenden Prozess über rund 12-24 Monate verändert. In genau dieser Zeit verschließt sich das betroffene Gefäßsegment dann langsam. Diese Entdeckung ist von hoher Bedeutung für die Abschätzung des aktuellen Schlaganfallrisikos der Patientinnen und Patienten, zur Einordnung chronischer und akut voranschreitender Erkrankungen, sowie auch zum möglichen besseren Verständnis der Entstehung der Erkrankung. Denn hiermit hat man nun erstmals die Chance den aktiven Krankheitsprozess zu visualisieren und entsprechend der Aktivität in der Gefäßwand Biomarker zu untersuchen, die einen Rückschluss auf die Entstehung der Erkrankung zulassen.

MRT Aufnahme Gefäßwand der Halsschlagader
Hochauflösende MRT Aufnahme mit kräftiger Kontrastmittelaufnahme der Gefäßwand der Halsschlagader (weißer Pfeil), welche im Verlauf von wenigen Monaten deutlich abnimmt (Bild rechts ). Die Halsschlagader der Gegenseite (schwarzer Pfeil) zeigt jeweils keine Aktivität der Erkrankung.
Diagnostik bei Moyamoya

Automatisierte Ganzhirnvolumetrie zur Detektion von langfristigen Veränderungen des Gehirns von Moya

Automatisierte Ganzhirnvolumetrie zur Detektion von langfristigen Veränderungen des Gehirns von Moyamoya Patienten

Die anhaltende Minderdurchblutung des Gehirns bei Moyamoya Patientinnen und Patienten kann das Gehirn nicht nur durch manifeste Schlaganfälle schädigen, sondern auch durch die chronische Unterversorgung. Dies kann über die Jahre zu einem Verlust von Hirnvolumen (Hirnatrophie) führen. In einer großen Studie haben wir die Hirnvolumina von Moyamoya Patientinnen und Patienten mit denen von gesunden Probanden verglichen. Hierbei konnten wir zeigen, dass Patienten dieser Studie ohne im MRT sichtbare Schlaganfälle eine Altersverschiebung der Hirnatrophie von rund 45 hin zu 58 Jahren hatten. Das heißt in anderen Worten, dass die chronische Minderversorgung des Gehirns dieser Patientinnen und Patienten diese um 13 Jahre über den Altersdurchschnitt hat altern lassen.    

Grafik Gehirn mit Arealen in Farben
Exemplarische Darstellung eines komplett segmentierten Gehirns zur Berechnung der jeweiligen Hirnvolumina.

Neuropsychologische Überwachung der kognitiven Leistungsfähigkeit und Lebensqualität

Neuropsychologische Überwachung der kognitiven Leistungsfähigkeit und Lebensqualität von Moyamoya Patienten

Viele Patientinnen und Patienten berichten neben allgemein bekannten Schlaganfallsymptomen auch über schwierig greifbare Defizite. Beispielsweise wird häufig von einer Leistungsminderung und Abgeschlagenheit, depressiver Verstimmung und auch eingeschränkter Lebensqualität berichtet. Auf der anderen Seite berichten Patientinnen und Patienten einige Monate nach einer Bypassoperation häufig von einer deutlichen Besserung dieser Auffälligkeiten. Um diese neuropsychologischen Veränderungen genau greifen und beobachten zu können, erheben wir routinemäßig bei allen Patientinnen und Patienten vor und nach der Operation den aktuellen Status mit einer speziell angepassten Kombination verschiedener Tests und Fragebögen. Hierdurch konnten wir unter anderem herausfinden, dass Patientinnen und Patienten, die vor einer Operation keine kognitiven Defizite oder Einschränkungen der Lebensqualität hatten, dies auch postoperativ nicht entwickelten. Patientinnen und Patienten mit präoperativen Einschränkungen, zeigten innerhalb eines Jahres häufig eine signifikante Verbesserung der Lebensqualität, beispielsweise mit gesteigerter Leistungsfähigkeit und der Reduktion depressiver Verstimmung.

Auswirkungen auf Leistungsfähigkeit und Psyche

IMAGINE Moyamoya DFG-geförderte prospektive Studie

IMAGINE Moyamoya

DFG-geförderte prospektive Studie zur Evaluation von Bildgebung und Biomarkern bei Moyamoya Patienten

Die zuvor erwähnten unterschiedlichen Forschungsschwerpunkte haben wir in einen umfassenden Drittmittelantrag zusammengefasst. Hieraus ist das Projekt IMAGINE Moyamoya entstanden und wir haben eine Drittmittelförderung von rund €500.000.- von der Deutschen Forschungsgemeinschaft bekommen. Das Projekt erforscht 4 Säulen der Moyamoya Erkrankung: 1) Die Hämodynamik (= der Blutfluss) soll besser verstanden werden durch die vergleichende Analyse von  PET/CT und breathhold fMRI. 2) Die Krankheitsaktivität und Progression soll mittels hochauflösendem Vessel-Wall Imaging detektiert und longitudinal beobachtet werden. 3) Die Ätiologie (=Entstehung) der Moyamoya Krankheit soll verstanden werden, dies mit einer Kombination von Bildgebung (Krankheitsaktivität im MRT) und Untersuchung verschiedener Biomarker im Blut (Liquid-Biopsies). Zur genauen Bestimmung der jeweiligen zellulären Aktivität konnten wir eine ergänzende Forschungsförderung des Zentrums für Seltene Erkrankungen Tübingen einwerben. 4) Die neuropsychologischen Veränderungen der Patientinnen und Patienten werden longitudinal erfasst und mit den anderen Parametern korreliert.

Falls Sie an der Studie teilnehmen möchten, sprechen Sie uns gerne an! Teilnahmen kann jeder Patient über 18 mit einer neu diagnostizierten und noch nicht behandelten Moyamoya Erkrankung. Durch die Studie wird Ihre Therapie nicht beeinflusst, Sie bekommen jedoch die bestmögliche bildgebende Diagnostik und Überwachung aller aktuell verfügbaren Modalitäten.

Studie: IMAGINE Moyamoya
DFG Logo

Certificates and Associations