Die periphere Nervenchirurgie beschäftigt sich mit der Behandlung von Nerven nach deren Austritt aus dem Gehirn und Rückenmark. Diese Nerven leiten einerseits sensible Informationen (Tastempfinden, Wärme/Temperatur, Schmerz) zum zentralen Nervensystem, andererseits werden Bewegungsimpulse vom Gehirn und Rückenmark an die Muskulatur des Gesichts, Körperstamms und der Extremitäten weitergegeben. Eine Schädigung dieser Nervenbahnen durch Erkrankungen oder Verletzungen führt zu Ausfallserscheinungen wie Lähmungen, Gefühlsstörungen oder Schmerzen.
Periphere Nervenchirurgie
Engpasssyndrome
Die peripheren Nerven verlaufen in der Regel gemeinsam mit größeren Arterien und Venen zu den Armen und Beinen und können hierbei entlang einzelner Knochen, Knochenvorsprünge und Muskeln ziehen, umgelenkt werden, oder sogar durch Muskulatur hindurchtreten. Aufgrund des Nervenverlaufs kann es an typischen Stellen zu Einengungen peripherer Nerven kommen, wodurch charakteristische Symptome entstehen. Dies sind meist Missempfindungen (Taubheit, Kribbeln, Brennen), Schmerzen, im fortschreitenden Krankheitsverlauf auch Muskelschwächen.
Manche Nerven tragen durch ihren anatomischen Verlauf und ihre unmittelbare Nähe zu knöchernen Strukturen ein besonders hohes Risiko für mechanische Verletzungen wie z.B. der N. ulnaris im Bereich des Ellenbogengelenks. Sind Nerven einer chronischen Druckeinwirkung ausgesetzt, spricht man von Engpasssyndromen (Entrapmentsyndromen).
Klassische Engpasssyndrome umfassen:
|
|
Nerven brauchen Freiheit. Werden sie über längere Zeit eingeengt oder eingeklemmt, reagieren sie äußerst empfindlich. Engpass- oder Nervenkompressionssyndrome sind chronische Druckschäden peripherer Nerven, die an typischen Engstellen im Nervenverlauf auftreten und meist durch Bänder, Muskelsehnen oder Knochenvorsprünge verursacht werden. Am häufigsten treten diese am Arm oder der Hand auf, seltener am Bein oder Fuß. Durch die Druckschädigung kommt es zu einem meist langsam fortschreitenden Ausfall der Nervenfunktionen und Auftreten von Gefühlsstörungen, Schmerz und einer Muskelschwäche. Beim Karpaltunnel-Syndrom kommt es zur Einengung des N. medianus am Übergang vom Unterarm durch den Handgelenkstunnel in die Hohlhand. Beim Kubitaltunnelsyndrom liegt eine chronische Druckschädigung des N. ulnaris (Ellennerv) im Bereich des Ellenbogengelenks vor. Beim Thoracic Outlet Syndrom (TOS) handelt es sich um ein Engpasssyndrom des Armnervengeflechts (Plexus brachialis), welcher auf seinem Weg zwischen Halsmuskulatur, 1. Rippe und Schlüsselbein eingeengt ist.
Bei milder Ausprägung kann manchmal durch Verhaltensänderung oder Anpassung bestimmter Lagerungsschienen eine Verbesserung erreicht werden. Bei stärkerer Ausprägung der Symptomatik oder messbaren Nervenschäden, sollte die operative Therapie erfolgen. Ziel der operativen Therapie ist es den Nerv durch Beseitigung der Engstelle (Dekompression) chirurgisch zu entlasten und durch Lösen von Knochen, Band-oder Narbenzügen die Gleitfähigkeit wiederherzustellen (Neurolyse).
Tumore
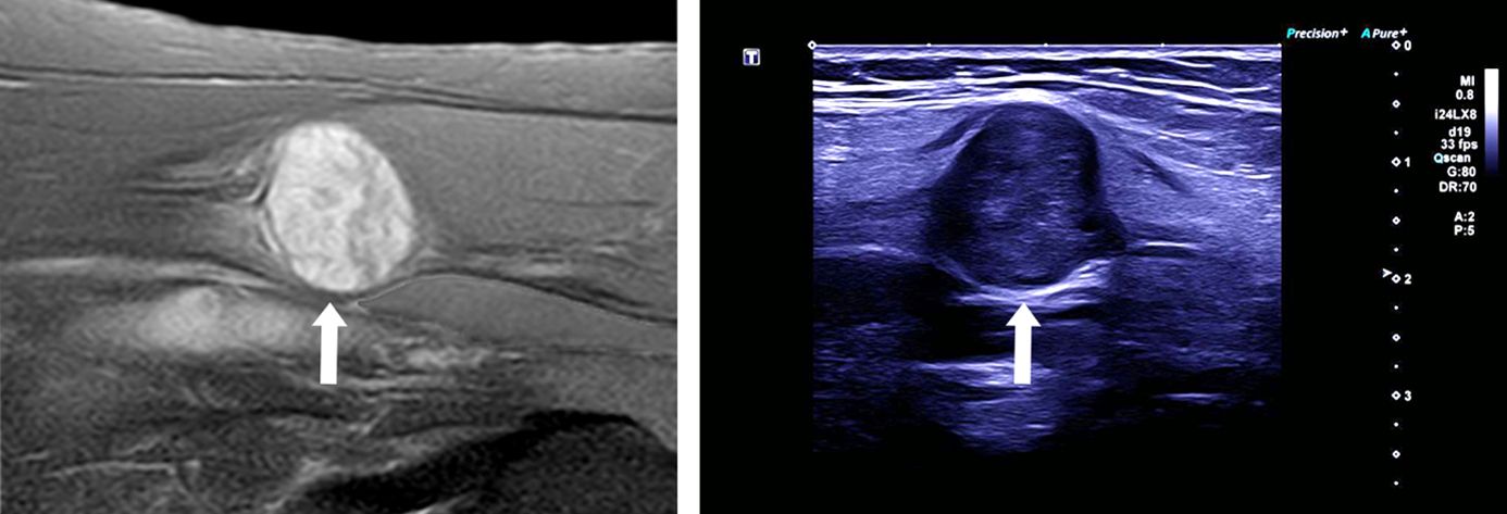
Ein chronisch wachsender Prozess im Bereich der peripheren Nerven kann neben einer tastbaren Schwellung und Schmerzen auch durch ständigen Druck, Zug oder Beeinträchtigung der Blutversorgung Schäden am betroffenen Nerv verursachen. Tumoren der peripheren Nerven sind insgesamt selten und meist gutartig. Diese gehen in der Regel von der Nervenscheide oder dem Bindegewebe der Nerven aus. Periphere Nerventumoren treten normalerweise spontan auf, können bei bestimmten genetischen Erkrankungen (Schwannomatose, Neurofibromatose) jedoch auch gehäuft vorkommen.
Periphere Nerventumoren:
|
Tumoren peripherer Nerven sind seltene Erkrankungen. Typischerweise sind sie sehr langsam wachsend und gehen von den Hüllstrukturen der peripheren Nerven aus. Die beiden häufigsten Tumoren peripherer Nerven werden als Schwannome und Neurofibrome bezeichnet. In der Regel lassen sich derartige Tumoren, falls notwendig, in mikrochirurgischer Technik und unter elektrophysiologischer Kontrolle der betroffenen Nerven ohne dauerhafte Ausfallserscheinungen entfernen.
Entscheidend zur Diagnostik tragen kernspintomographische Aufnahmen (MRT) der betroffenen Körperregion bei. Auch hochauflösende Ultraschalluntersuchungen können hilfreich sein, um eine Beurteilung und Festlegung der Therapiestrategie zu ermöglichen.
Bei den meisten Tumoren handelt es sich um gutartige Tumoren, so dass bei fehlender klinischer Symptomatik und geringer Größe des Befundes auch ein abwartendes Beobachten mit regemäßigen klinischen Verlaufskontrollen und MRT-Bildgebungen als therapeutische Option erfolgen kann. Bei Beschwerden, größeren Tumoren oder bei unklaren Konstellationen kann die neurochirurgische Therapie aber notwendig werden. Die Betreuung sollte in einem spezialisierten Zentrum erfolgen.
Zum Festlegen der Behandlungsstrategie ist eine Vorstellung mit allen vorhandenen Unterlagen (Bildgebung, Vorbriefe, elektrophysiologische Messungen, usw.) in der spezialisierten peripheren Nervensprechstunde sinnvoll.
Insbesondere bei genetischen Erkrankungen können spezielle Nerventumoren gehäuft vorkommen und manchmal auch bösartige Eigenschaften aufweisen oder entwickeln (maligne Nervenscheidentumoren, MPNST). Sowohl zum Nachweis der genetischen Erkrankungen als auch zur feingeweblichen Eingruppierung der Tumoren kann die bioptische Sicherung durch Probeentnahme und pathologische Untersuchung sinnvoll sein. Das entsprechende Ergebnis kann dann zum Festlegen der weiteren neurochirurgischen oder interdisziplinären Behandlungsplanung herangezogen werden.
Zusätzlich zu den eigentlichen Nerventumoren gibt es noch weitere Tumoren (Sarkome, Myome, Metastasen) oder Raumforderungen (Zysten, Ganglien), die enge Lagebeziehung zu peripheren Nerven haben können. Auch hier ist in der Regel eine interdisziplinäre Behandlungsplanung in spezialisierten Zentren mit unterschiedlichen chirurgischen Abteilungen sinnvoll, um die individuelle Therapiestrategie festlegen zu können.

Traumatische Nervenverletzungen
Nerven können einerseits durch direktes spitzes oder stumpfes Trauma oder indirekt durch Zugwirkung geschädigt werden. Die Dehnbarkeit der Nerven hängt dabei einerseits vom zeitlichen Ablauf sowie von möglichen Vorschäden des Nervs ab. Langsame Dehnungen werden besser toleriert als akute. Die häufigsten Verletzungen durch Dehnung werden durch schnelle Zugkräfte an den Armen, z.B. bei Motorradunfällen oder Geburtstrauma verursacht. Dabei können Schäden am Arm- oder Beinnervengeflecht (traumatische Plexusläsionen) oder Nervenwurzelausrisse auftreten.
Des Weiteren können traumatische Verletzungen des Bewegungsapparats (Knochenbrüche, Gelenksluxationen, Muskelrisse, Scherverletzungen, Einblutungen) zu Verletzungen peripherer Nerven führen, welche dann einen akuten Ausfall der Nervenfunktion verursachen. Gelegentlich kann diese Art der Verletzung auch im Rahmen einer (notfallmäßigen) Operation entstehen (Versorgung von Knochenbrüchen, Gelenksersatz, Lymphknotenbiopsie, Tumorentfernung).
Traumatische Nervenläsionen können prinzipiell überall im Körper durch verschiedenste Unfallmechanismen, beispielsweise bei Sport, Arbeits- oder Verkehrsunfällen durch eine entsprechende Gewalteinwirkung entstehen. Häufig sind diese Nervenverletzungen mit schweren Begleitverletzungen vergesellschaftet. Aber auch durch medizinische Maßnahmen (z.B. Lymphknotenbiopsie, Frakturversorgung) kommt es immer wieder zu solchen Nervenverletzungen. Charakteristisch ist ein akut eintretender Funktionsverlust des betroffenen Nervs.
Traumatische Nervenläsionen erfordern eine möglichst frühzeitige und spezialisierte Diagnostik, sowie ggf. neurochirurgische Therapie, um ein gutes funktionelles Ergebnis zu ermöglichen. Die Behandlung dieser komplexen Nervenverletzungen sollte in spezialisierten Zentren erfolgen, die über ein interdisziplinäres Netzwerk zur Diagnostik und Therapie derartiger Verletzungen verfügen. Auch die Zusammenarbeit mit anderen chirurgischen Abteilungen kann von großer Bedeutung sein.
Zum Festlegen der Behandlungsstrategie ist eine Vorstellung mit allen vorhandenen Unterlagen (Bildgebung, Vorbriefe, elektrophysiologische Messungen, usw.) in der spezialisierten peripheren Nervensprechstunde sinnvoll.
Akute Nervenverletzungen mit scharfer Durchtrennung des Nervs sollten sofort neurochirurgisch versorgt werden, wenn die Begleitverletzungen dies zulassen. Hierbei wird in der Regel in Vollnarkose unter mikrochirurgischer Technik mit Hilfe eines Mikroskops eine End- zu End-Naht der Nervenstümpfe durchgeführt. Diese wird durch feinste Nähte und eine Art Bioklebstoff (Fibrinkleber) gesichert. Eine Spannung auf die Nervennaht sollte in jedem Fall vermieden werde. Ist eine spannungsfreie Annäherung der Nervenenden nicht möglich, muss in manchen Fällen ein Spendernerv zwischen die Nervenenden eingenäht werden (Nerventransplantation/Nerveninterposition). Hierfür wird in der Regel ein körpereigener sensibler Nerv am Bein entnommen, der das Gefühl an der Fußaußenkante vermittelt und als N. suralis bezeichnet wird. Nach derartigen Nervenrekonstruktionen durch direkte Naht oder Nerveninterponat muss für ca. 14 Tage jeglicher Zug auf die Nervenenden vermieden werden. Hierzu werden nach Rekonstruktionen über Gelenke hinweg orthopädietechnische Hilfsmittel, wie z.B. Bandagen, in seltenen Fällen auch Gipsschienen zur Ruhigstellung genutzt. Danach kann das frühfunktionelle Training mit intensiver Physiotherapie begonnen werden.
Bei traumatischer Schädigung mehrerer Nerven, wie z.B. dem Armnervengeflecht oder Nervenwurzelausrissen aus dem Rückenmark kann eine direkte Rekonstruktion einzelner Nerven nicht immer durchgeführt werden. Aufgrund der starken Funktionseinschränkung kann dann in ausgewählten Fällen aber versucht werden durch Umlenken anderer Nerven verschiedene Hauptfunktionen wieder herzustellen. Hierzu werden diese Spendernerven durchtrennt und dann entweder End-zu-End, oder End-zu-Seit an den Empfängernerv angeschlossen. Die operative Technik entspricht hierbei der Nervenrekonstruktion unter dem Mikroskop mit Sicherung über feine Nähte und Fibrinkleber.
Entzündliche Nervenkonstriktionen
Die neuralgische Amyotrophie ist eine entzündliche Erkrankung, welche sich typischerweise durch plötzlich auftretende Schmerzen (häufig im Bereich der Schulter oder des Arms), gefolgt von einer Lähmung der Muskulatur, äußert. Eine Ursache ist nicht immer sofort erkennbar. Während die Schmerzen mit der Zeit abklingen, können die Lähmungen anhalten und infolge der Entzündungsreaktion narbige Einschnürungen an den betroffenen Nerven entstehen. Die Erkennung dieser Einschnürungen („Konstriktionen“) kann zunächst schwierig sein und erfordert spezielle Untersuchungsmethoden im Sinne einer hochauflösenden Neurosonographie durch erfahrene Neurolog*innen oder einer MR-Neurographie. Sollten sich solche Nervenkonstriktionen bestätigen kann eine operative Therapie gute Ergebnisse erzielen.
Ein lange Zeit weitgehend unbekanntes und weiterhin unterdiagnostiziertes Krankheitsbild stellt die neuralgische Amyotrophie, früher auch Plexusneuritis oder Schulteramyotrophie, dar. Hierbei handelt es sich um eine entzündliche Nervenerkrankung, deren Ursache nicht immer geklärt werden kann. Risikofaktoren stellen eine übermäßige mechanische Beanspruchung (z.B. durch ungewohnte starke körperliche Aktivität), immunologische Auslöser (z.B. Infektionen) oder eine genetische Veranlagung dar. Durch Verbesserungen in der Diagnostik, insbesondere dem hochauflösenden Nervenultraschall sowie der Magnetresonanzneurographie gelingt eine zunehmend bessere bildgebende Darstellung des gesamten Verlaufs peripherer Nerven. Dabei können einerseits entzündlich bedingte Schwellungen der Nerven festgestellt und die Diagnose bestätigt werden.
Die Erkrankung beginnt in der Regel akut mit relativ plötzlich eintretenden stärksten Schmerzen im betroffenen Körperteil. Am häufigsten betrifft dies den Schulter-/Armbereich, selten die Beine. Die Schmerzen treten dabei häufig ohne unmittelbar erkennbare Ursache auf. In den folgenden Stunden bis Tagen kommt es zu einer Lähmung der vom betroffenen Nerv versorgten Muskelgruppe, manchmal begleitet von Gefühlsstörungen.
Die neurologische Akutbehandlung besteht aus schmerzstillenden Mitteln sowie hochdosierten entzündungshemmenden Cortison-Infusionen mit. Häufig bilden sich die Beschwerden darunter nach einigen Wochen wieder zurück. Immer wieder kommt es jedoch zu einem Fortbestehen der Lähmungen. Mithilfe der oben genannten Fortschritte bei bildgebenden Untersuchungen zeigte sich in den letzten Jahren, dass bei diesen Patientinnen und Patienten häufig narbige Einschnürungen der betroffenen Nerven bestehen, (sogenannte uhrglasförmige Nervenkonstriktionen), die den Nerv sogar verdreht erscheinen lassen können („Torsionen“). Bei Vorhandensein solcher Konstriktionen ist in der Regel eine medikamentöse Behandlung nicht weiter erfolgversprechend. Durch eine operative Narbenlösung kann dann in der Regel eine gute Erholung der Nervenfunktionen erreicht werden.
Nach Bestätigung des Vorliegens einer solchen Nervenkonstriktion sollte eine zeitnahe Operation erfolgen. Diese kann je nach betroffenem Nerv ambulant oder stationär erfolgen. In der Regel ist eine Freilegung des Nervs und Narbenlösung (Neurolyse) ausreichend. Eine Erholung ist innerhalb der folgenden Wochen bis Monate zu erwarten.

Spezialsprechstunde Periphere Nervenchirurgie
Auch wenn die Erkrankungen der peripheren Nerven in aller Regel keine unmittelbar lebensbedrohlichen Erkrankungen darstellen, können sie ausgeprägte Funktionseinschränkungen, Gefühlsstörungen und Schmerzsyndrome verursachen. Hier versucht die Neurochirurgie durch die entsprechenden anatomisch-physiologischen Kenntnisse, Diagnostik und ggf. operative Therapie eine effektive Behandlung zu ermöglichen.
In unserer Spezialsprechstunde für Patienten mit Erkrankungen der peripheren Nerven betreut Sie ein eigens darauf spezialisiertes Team.
Kontakt
Sprechstunde |
Montag: |
Übersicht der Sprechstunden
Termine |
vereinbaren Sie über die Allgemeinambulanz. Bitte nutzen Sie dazu unser Kontaktformular |
Zum Kontaktformular
Therapieangebot
Welche Therapieoptionen
bieten wir Ihnen an?
Generell werden konservative von operativen Therapieformen unterschieden. Bei Verletzungen, bei denen der Spontanverlauf abgewartet werden kann, wird der Heilungsverlauf durch intensive therapeutische Maßnahmen ergänzt. Hierzu zählen intensivierte Physiotherapie auch auf neurophysiologischer Grundlage, physikalische Maßnahmen, Elektrostimulation und Ergotherapie. Ggf. kann die vorübergehende Anpassung orthopädietechnischer Hilfsmittel wie Schienen erforderlich sein. Die Dauer und Intensität dieser Maßnahmen richtet sich nach der Regeneration und dem Heilungsverlauf des Nervenschadens.
In Fällen, in denen eine operative Therapie notwendig wird, lassen sich folgende unterschiedliche Arten der Operation unterscheiden:
Dekompression / Neurolyse
Um die Druckentlastung eines Nervs zu ermöglichen wird dieser freigelegt und mikrochirurgisch oder endoskopisch die einengenden Bandstrukturen, Knochenvorsprünge oder Narbenzüge entfernt. Gelegentlich ist auch eine Verlagerung des Nervs erforderlich um eine dauerhafte Entlastung zu ermöglichen.
Tumorentfernung
Periphere Nerventumoren werden mithilfe eines Operationsmikroskopes freigelegt und entfernt. Zudem werden weitere Hilfsmittel wie die intraoperative Sonographie und elektrophysiologische Messungen eingesetzt, um eine möglichst vollständige Tumorentfernung zu ermöglichen, ohne eine Schädigung des betroffenen Nervens zu riskieren. Abhängig von Art und Größe des Tumors kann auch eine Teilentfernung des Nervs und ggf. anschließende Rekonstruktion erforderlich werden.
Nervenrekonstruktion
In Fällen einer Nervenunterbrechung erfolgt die direkte Naht zwischen den betroffenen Nervenenden falls dies möglich ist. Lassen sich die Enden nicht adaptieren, wird in der Regel ein körpereigener sensibler Nerv (N. suralis) am Bein entnommen und zwischen die Enden eingenäht (Nerventransplantation). Dies wird z.B. auch dann nötig, wenn sich ein Neurom gebildet hat und dieses zur Nervenrekonstruktion chirurgisch entfernt werden muss.
Lassen sich Nerven nicht direkt rekonstruieren, können gesunde funktionelle Nerven auf den erkrankten Nerv umgelenkt werden, um so die Chance einer Regeneration der ursprünglichen Funktion wiederherzustellen. Diese Nervenumlenkungen sind in der Regel nur bei schweren Verletzungen oder fehlender Erholung notwendig.
Alle Eingriffe werden in unserer Klinik unter Verwendung modernster Techniken wie intraoperativer Elektrophysiologie, direkter Nervenstimulation, intraoperativem hochauflösenden Ultraschall und mithilfe von Lupenbrillen, Operationsmikroskopen oder Endoskopen durchgeführt.
Diagnostik
Zunächst wird im persönlichen Gespräch der Krankheitsverlauf erhoben und eine klinische Untersuchung der vom betroffenen Nerv versorgten Hautareale und Muskeln vorgenommen. Daraus ist häufig bereits ein Rückschluss auf die Art und Schwere der Verletzung möglich.
In der Regel sind weitergehende Untersuchungen in Form von elektrophysiologischen Messungen (Neurographie, Elektromyographie) und bildgebenden Darstellungen des betroffenen Nervs mittels hochauflösenden Ultraschalls (Sonographie) oder Kernspintomographie (MRT) notwendig.
Interdisziplinäre Fallbesprechungen
Unsere Klinik bietet durch die enge interdisziplinäre Zusammenarbeit verschiedener Fachabteilungen eine ausgewiesene Expertise im gesamten Spektrum peripherer Nervenerkrankungen. Um diese Zusammenarbeit zu optimieren wurde das „Tübinger Nerve Team“ gegründet, bestehend aus Experten der Abteilungen Neurochirurgie, Neurologie, Neuroradiologie und Hand-, plastischer, rekonstruktiver und Verbrennungschirurgie. Wir führen regelmäßige interdisziplinäre Fallbesprechungen durch, sodass eine optimale Diagnostik und Behandlung unserer Patienten und Patientinnen möglich wird.
Nerve Team

Stellv. ärztlicher Direktor
E-mail address: alexander.grimm@med.uni-tuebingen.de
Publications: Publications
Klinik für Neurologie mit Schwerpunkt Epileptologie
Prof. Dr. med. Adrien Daigeler
Ärztlicher Direktor
Institution: Klinik für Hand-, Plastische, Rekonstruktive und Verbrennungschirurgie, BG Klinik Tübingen
Behandlung
So läuft Ihre Behandlung bei uns ab
Aufnahme
Im Rahmen des Erstgesprächs in unserer Ambulanz erfolgt die klinische Untersuchung und Festlegung des weiteren Vorgehens. Sollte eine operative Therapie bei Ihnen notwendig sein, wird das individuelle Vorgehen mit Ihnen in der Ambulanz besprochen.
Einige Eingriffe an peripheren Nerven können ambulant erfolgen. Ist hierfür lediglich eine lokale Betäubung erforderlich (zB bei Karpaltunnelsyndromen), dann erfolgen die Vorbereitung zum Eingriff und das Aufklärungsgespräch bereits in der Ambulanz. Einen Operationstermin sowie alle organisatorischen Details erhalten Sie anschließend durch unsere Ambulanzmitarbeiter*innen.
Bei Eingriffen in Vollnarkose oder Regionalanästhesie erfolgt die Vorbereitung (Aufklärungsgespräche, Blutabnahme, ggf. erneute Sonographie) in der Regel ebenfalls ambulant mindestens einen Tag vor dem geplanten Eingriff.
Aufenthalt
Ambulante Eingriffe in Lokalanästhesie erfolgen in unserem ambulanten OP-Zentrum. Am Operationstag kommen Sie direkt zum Eingriff und dürfen anschließend nach kurzer Überwachung nachhause entlassen werden.
Zu Eingriffen in Vollnarkose oder Regionalanästhesie werden Sie am Morgen des Operationstags auf einer unserer Stationen aufgenommen. Auch diese Eingriffe können häufig ambulant erfolgen. Dies wird mit Ihnen im Vorfeld festgelegt. Nach mehrstündiger Überwachungszeit erfolgt eine Entlassung in der Regel am späten Nachmittag/Abend.
Nach ambulanten Eingriffen wird eine Begleitperson benötigt. Das selbstständige Lenken eines Kraftfahrzeugs ist nicht möglich.
Bei größeren Eingriffen (zB Nerventransplantationen) ist ein stationärer Aufenthalt von wenigen Tagen erforderlich. Häufig muss dann auch eine Ruhigstellung des operierten Areals (zB mittels Schiene) für einige Tage erfolgen. Die Mobilisation ist jedoch in der Regel einen Tag nach der Operation wieder möglich.
Nachsorge
Die Wundkontrolle nach OP erfolgt über Ihre/n Hausarzt/-ärztin. Eine Verlaufskontrolle erfolgt in der Regel 3 Monate nach dem Eingriff in unserer Spezialsprechstunde. Sollten hierzu weitere Untersuchungen erforderlich sein, wir Ihnen dies bei Entlassung sowie im Arztbrief mitgeteilt.
Arztbrief
Bei Entlassung bekommen Sie für sich und Ihren Hausarzt/-ärztin einen vorläufigen Arztbrief mit, die endgültige Form wird Ihnen einige Tage später postalisch zugesandt.
Certificates and Associations

Focus: Top National Hospital 2025

Stern: Germany's Outstanding Employers in Nursing 24/25

Quality partnership with the PKV

Family as a success factor

Pension provision for the public sector