In der Neurochirurgie wird das Operationsteam regelmäßig durch hochmoderne technologische Geräte unterstützt. Daher ist eine kontinuierlich aktualisierte und auf dem neuesten Stand befindliche Ausstattung der Operationssäle entscheidend, um eine optimale Patientenversorgung gemäß den aktuellsten medizinischen Standards zu gewährleisten. Nachfolgend erhalten Sie einen Überblick über die wesentlichen Ausstattungsmerkmale der unterstützenden Technologien in unseren Operationssälen.
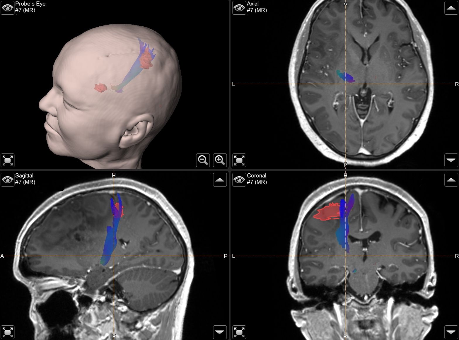
Intraoperatives MRT (iMRT)
Intraoperatives MRT (iMRT)
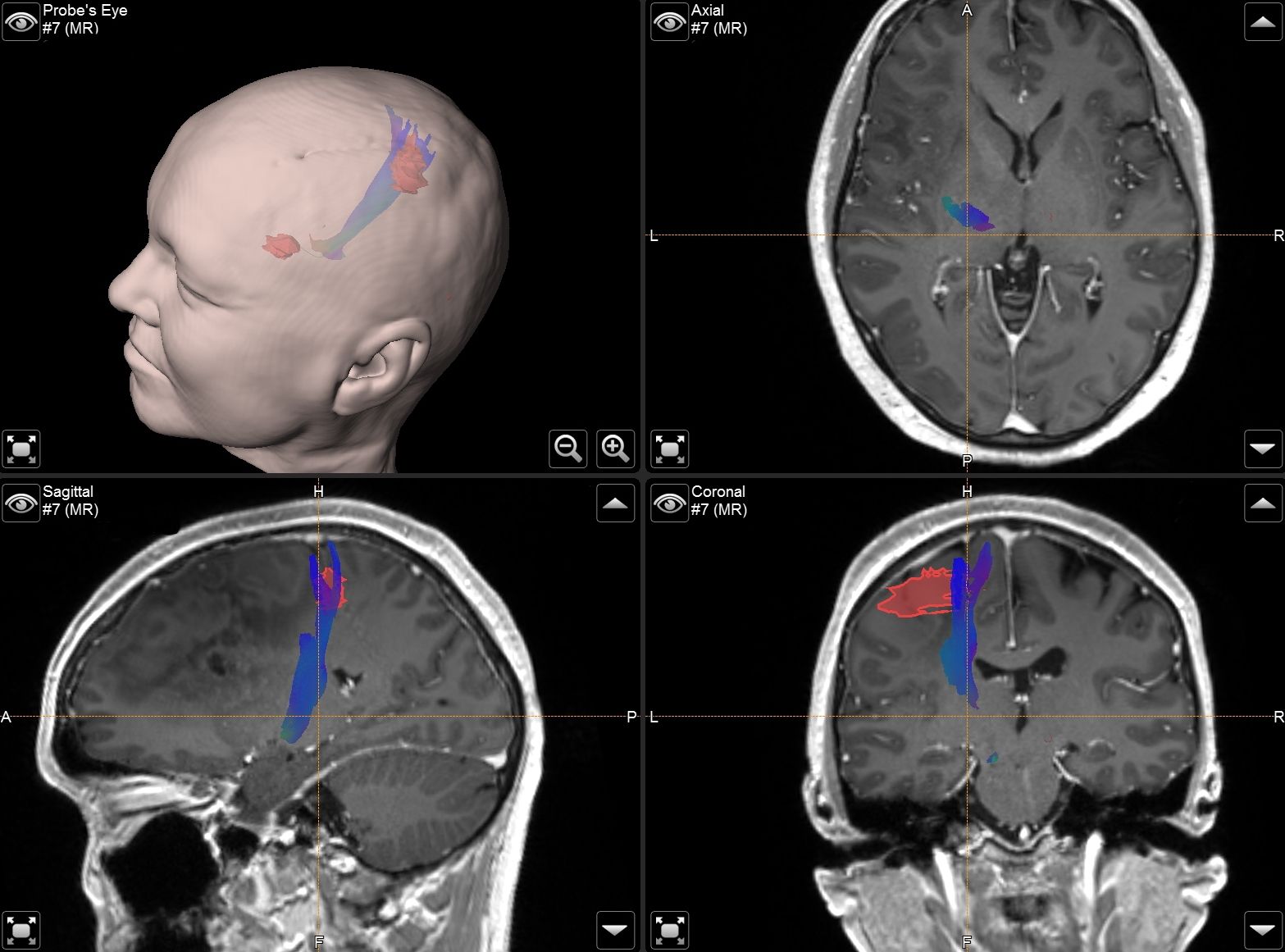
Seit 2011 setzt die Neurochirurgie Tübingen in enger Zusammenarbeit mit der Neuroradiologie Europas erstes deckenmontiertes, bewegliches 1,5-Tesla-iMRT-System ein. Dieses hochmoderne System ermöglicht es, das an der Decke montierte 1,5-T-Hochfeld-MRT bei Bedarf direkt in den Operationssaal zu verfahren, um intraoperative Kernspinaufnahmen zu erstellen. Das intraoperative MRT kommt insbesondere bei Operationen von hirneigenen Tumoren, Epilepsieeingriffen, Eingriffen an der Hirnanhangsdrüse sowie bei Tumoroperationen im Kindesalter zum Einsatz.
Dank des intraoperativen MRTs kann das Ausmaß der Tumorresektion während der Operation überprüft und, falls erforderlich, verbleibendes Tumorgewebe sofort entfernt werden. Dies führt in vielen Fällen zu deutlich verbesserten chirurgischen Ergebnissen für die Patientinnen und Patienten.
Durch die Verwendung der Hochfeld-Technologie können zudem komplexe MRT-Sequenzen wie MR-Perfusion, Diffusions-Tensor-Bildgebung (DTI), Spektroskopie und sogar funktionelle Analysen durchgeführt werden. Auf diese Weise ermöglicht das intraoperative MRT eine optimale neurochirurgische Tumorresektion bei gleichzeitiger Minimierung des Risikos für neurologische Ausfälle


Intraoperative Fluoreszenz
Intraoperative Fluoreszenz
Durch die Einführung der fluoreszenzgestützten Resektion wurden bedeutende Fortschritte in der operativen Therapie bösartiger Hirntumoren erzielt. Vor dem Eingriff erhält die Patientin oder der Patient etwa vier Stunden vor der Operation eine Trinklösung (Gliolan®). Das enthaltene Medikament wird in den bösartigen Tumorzellen in einen Fluoreszenzfarbstoff umgewandelt. Während der Operation kann der Operateur durch spezielle Beleuchtung (Blaulicht) den Fluoreszenzfarbstoff anregen und den Tumor sichtbar machen. Diese Technik ermöglicht eine präzisere Tumorresektion und trägt somit maßgeblich zu einer verbesserten Prognose der betroffenen Patientinnen und Patienten bei.

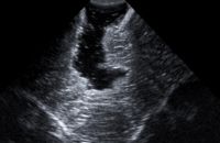
Hochauflösender Intraoperativer Ultraschall
Hochauflösender Intraoperativer Ultraschall
Der intraoperative Ultraschall ermöglicht es, anatomische und pathologische Strukturen während der Operation mittels Schallwellen bildlich darzustellen. Ein entscheidender Vorteil dieser Methode ist die hohe Mobilität des Ultraschallgeräts, das aufgrund seiner kompakten Größe jederzeit ohne umfangreiche Vorbereitung und ohne zusätzliche Kosten eingesetzt werden kann. Allerdings gibt es auch einige Einschränkungen, wie die begrenzte räumliche Darstellung, die Herausforderung bei der Handhabung bei sehr kleinen Zugangswegen sowie die Variabilität der Untersuchergebnisse je nach Erfahrung des Bedienpersonals. Der Ultraschall stellt eine äußerst wertvolle komplementäre Methode zur intraoperativen Visualisierung dar und wird in der Praxis regelmäßig genutzt. Die Neurochirurgie Tübingen verfügt über drei hochauflösende Ultraschallgeräte, darunter das moderne BK 5000 der Firma BK Medical. Die Geräte sind in die Navigationsinfrastruktur der digitalen Operationssäle integriert.



Intraoperativer Röntgen C-Bogen mit 3D Rekonstruktion
Intraoperativer Röntgen
C-Bogen mit
3D Rekonstruktion
Die Universitätsklinik Tübingen verfügt über hochmoderne mobile Bildgebungssysteme, darunter der robotisch geführte digitale Volumentomograph Loop-X der Firma Brainlab sowie ein mobiler 3D-C-Bogen der Firma Ziehm. Diese fortschrittlichen Systeme ermöglichen intraoperativ eine präzise 3D-Rekonstruktion des Kopfes oder der Wirbelsäule. Für die Kopf- und Wirbelsäulenchirurgie kann mithilfe dieser Technologien ein Navigationsdatensatz erstellt werden, der eine hochpräzise Navigation gewährleistet. So können beispielsweise Schrauben in der Wirbelsäule exakt platziert und kontrolliert oder Trajektorien für Zugangswege und Probenentnahmen im Kopf definiert werden.


Operationsmikroskope
Operationsmikroskope
Das Operationsmikroskop gehört zu den zentralen Instrumenten der Mikrochirurgie und ermöglicht es, während der gesamten Operation feinste anatomische Strukturen in dreidimensionaler Sicht durch die binokulare Optik klar zu erkennen. Die Neurochirurgie Tübingen verfügt über drei moderne Kinevo- sowie drei Pentero-Mikroskope der Firma Zeiss und ein Mikroskop der Firma Leica. Die Kinevo-Mikroskope bieten zusätzliche Unterstützung durch Robotikfunktionen, ein integriertes Endoskop und eine hochauflösende Übertragung auf externe 4K-3D-Monitore. Darüber hinaus ermöglichen diese Mikroskope die Visualisierung von 5-ALA-Fluoreszenz bei Tumoroperationen sowie die Gefäßdarstellung mittels „ICG-Angiographie“. Alle Mikroskope sind in den digitalen Operationssaal integriert, kommunizieren mit der Navigationssystem und ermöglichen die Anzeige und Überblendung nützlicher Zusatzinformationen durch den Einsatz von Augmented Reality.

Endoskope
Endoskope
Die Schlüssellochchirurgie findet auch in der Neurochirurgie zunehmend Anwendung. Obwohl der Einsatz des Endoskops aufgrund anatomischer Gegebenheiten nicht für alle Erkrankungen geeignet ist, gibt es zahlreiche Indikationen, bei denen diese Technologie von großer Bedeutung ist. Besonders hervorzuheben sind intraventrikuläre Pathologien, wie etwa Erkrankungen des Hirnkammersystems (z.B. Hydrocephalus), die Chirurgie an peripheren Nerven, transsphenoidale Operationen sowie die unterstützende Visualisierung in der Schädelbasischirurgie. Je nach Indikation kommen moderne Neuroendoskopiegeräte der Firmen Braun und Storz mit ergänzender HD-Technologie zum Einsatz. Sowohl pädiatrische als auch erwachsene Patienten profitieren von den minimal-invasiven Eingriffen, die mit kleinen Hautschnitten und einer schnelleren Genesung verbunden sind.

Certificates and Associations

Focus: Top National Hospital 2025

Stern: Germany's Outstanding Employers in Nursing 24/25

Quality partnership with the PKV

Family as a success factor

Pension provision for the public sector