Fazialisparese
Behandlungsmöglichkeiten bei Lähmungen des Gesichtsnervs an der Neurochirurgischen Universitätsklinik

Fazialissparese

Die Mimik des Gesichtes stellt einen wesentlichen Bestandteil der Kommunikation mit unseren Mitmenschen dar. Für die Steuerung der mimischen Muskeln ist hierbei der Fazialisnerv zuständig. Über ihn laufen die Impulse aus dem Gehirn hin zu den Muskeln von Stirn, Auge, Wange, Mund und Hals. Ist die Funktion des Gesichtsnervs gestört, kann es zu einer Lähmung oder Schwächung (Parese) der Gesichtsmuskulatur kommen. Die Ursachen und Behandlungsansätze von Fazialisparesen sind vielfältig und überschreiten die Grenzen verschiedener klinischer Fachbereiche. Aufgrund dessen behandeln wir Patientinnen und Patienten mit Lähmungen des Fazialisnerven an der Neurochirurgischen Universitätsklinik in unserem interdisziplinären Schwerpunktteam unter Berücksichtigung neuro- und plastisch-chirurgischer Aspekte sowie spezieller neurologischer Diagnostik.

Kontakt

Sie möchten einen Termin vereinbaren oder haben eine Frage? Wir stehen Ihnen gerne zur Verfügung.

frontend.sr-only_#{element.icon}: Spezialsprechstunde Fazialisparese


07071 29-80325

facialis@neurochirurgie-tuebingen.de


Patientenbroschüre

Nützliche Informationen zum Krankheitsbild, den Therapiemöglichkeiten sowie zum Ablauf der Behandlung.

Mehr erfahren

Zahlen und Fakten

Fazialisparesen
gehören zu den häufigsten Hirnnervenerkrankungen
50-60%
der Fälle verlaufen idiopathisch, mit unklarer Ursache.
Bei >70%
der idiopathischen Fälle kann eine vollständige Rückbildung erreicht werden.

Was sind Fazialisparesen?

Der Nervus facialis versorgt als siebter der 12 Hirnnerven die mimische Muskulatur des Gesichts. Er ist beidseitig angelegt und tritt seitlich aus dem Hirnstamm aus. Über den inneren Gehörgang und den Fazialis-Kanal im Felsenbein erreicht er die Ohrspeicheldrüse, wo er sich fächerförmig in die Gesichtsmuskulatur verästelt. Neben der motorischen Funktion ist er auch an der Geschmacksempfindung und auch an der Tränen- und Speichelsekretion beteiligt. Außerdem versorgt er den Stapediusmuskel im Mittelohr, mit dessen Hilfe laute Töne zum Innenohr hin gefiltert werden können.
 
 Sind der Fazialisnerv oder die ihn steuernden Gehirnbereiche geschädigt, kann es durch die Schwächung oder Lähmung der Gesichtsmuskulatur zu einer verminderten Ausdrucksmöglichkeit und zu anderen funktionellen Problemen kommen. Oft ist eine Gesichtshälfte, in seltenen Fällen auch beide Gesichtshälften von der Einschränkung betroffen. Welchen Teil der Gesichtsmuskulatur die Fazialisparese erfasst, hängt von der Ursache und dem Bereich ab, in dem der Nerv geschädigt ist.
 
 Ist der Nerv selbst auf seinem Weg vom Hirnstamm zur Muskulatur beeinträchtigt, spricht man von einer peripheren Fazialisparese. Dabei ist in der Regel die gesamte Gesichtshälfte betroffen, auch die Stirn. Lässt sich keine direkte Ursache nachweisen, wird die Schädigung als Idiopathische Fazialisparese oder auch als Bell-Lähmung oder Bell-Parese bezeichnet. Mit ca. 50-60% der Fälle ist sie die häufigste Form der Hirnnervenläsion. Sie bildet sich meist wieder vollständig zurück. Weitere Ursachen können z.B. Traumata, Tumoren des Nerven oder Operationen im Bereich des Nervenverlaufs sein.
 
 Bei der zentralen Fazialisparese hingegen ist nicht der Nerv selbst, sondern die ihn steuernden Bereiche im Gehirn betroffen. Bei dieser Form der Fazialisparese, die z.B. durch einen Schlaganfall ausgelöst werden kann, bleibt die Stirn beweglich.

Welche Symptome verursachen Fazialisparesen

Das typische Anzeichen für eine Fazialisparese ist die Lähmung der Gesichtsmuskulatur mit einer daraus resultierenden charakteristischen Gesichtsasymmetrie. Bei einer peripheren Gesichtsnervenlähmung tritt sie auf der Seite auf, auf der auch der Nerv geschädigt ist. Die Symptome hängen vom Schweregrad der Schädigung ab und können von einer leichten Empfindungsstörung hinter dem Ohr bis zu einer vollständigen Lähmung führen.

Neben einer verminderten Ausdrucksmöglichkeit kann es auch zu verschiedenen funktionellen Problemen kommen, wie z.B.

  • Unvollständiger Lidschluss mit verminderter Tränensekretion und dem Risiko einer Hornhautschädigung
  • Verminderte Muskelkraft im Mundbereich mit ggf. Flüssigkeitsverlust über die Unterlippe und erschwerter Artikulation
  • Verminderte Speichelsekretion
  • Geschmacksstörungen

Die Auswirkungen einer Fazialisparese können innerhalb von wenigen Stunden auftreten und im Verlauf mehrerer Tage einen Höhepunkt erreichen. Dabei kann die Fazialisparese folgende Stadien durchlaufen

  • Schlaffe Parese (sog. floppy face): es zeigt sich keine Bewegung der betroffenen Gesichtshälfte und der Augenschluss ist unvollständig
  • Partielle Parese: es zeigt sich eine eingeschränkte Bewegung der Gesichtsmuskulatur, aber es ist Bewegung vorhanden
  • Postparalytische Synkinesien (sog. Facial aberrant reinnervation syndrom): Es kommt zu unwillkürlichen Mitbewegungen nicht an der beabsichtigten Bewegung beteiligter Muskeln bzw. um gestörte Bewegungsabläufe. Die Patienten merken diese durch Zuckungen oder Verkrampfungen im Gesicht.

Schweregrad der Fazialisparese gemäss House-Brackmann-Skala

I
Die Funktion des Gesichtsnervs ist normal.
II+III
Der Fascialisnerv weist eine leichte Schädigung auf, die Auswirkungen im Gesicht sind jedoch kaum erkennbar.
IV
Das Augenlid kann nicht mehr vollständig geschlossen werden
V
Schwere Beeinträchtigung der Stirn-, Augen- und Mundmuskulatur.
VI
Vollständige Lähmung.

Ursachen und Risiken von Facialisparesen

Zentrale Fazialisparese

Bei einer zentralen Fazialisparese ist häufig ein Schlaganfall die Ursache. Seltener kommen andere entzündliche und neurologische Erkrankungen wie eine Enzephalitis (Gehirnentzündung), Multiple Sklerose, Möbius-Syndrom oder Kinderlähmung als Auslöser in Frage. Auch ein Hirntumor kann ursächlich sein. Da bei der zentralen Fazialislähmung das Gehirn betroffen ist, können sich Lähmungserscheinungen auch in weiteren Körperteilen oder der kompletten Körperhälfte zeigen.

Das können Indizien für einen Schlaganfall sein:

  • Schwäche oder Lähmung der Körperhälfte (Gesicht, Arme und Beine)
  • Doppelbilder, Sehschwäche, eingeschränktes Sehfeld
  • Verwaschene, schwer verständliche Sprache, Wortfindungsstörung, sinnloser Wortsalat
  • Benommenheit, Schwindel, Kopfschmerzen
  • Plötzliche Bewusstseinsveränderung: z.B. Aggression oder Orientierungslosigkeit

Periphere Fazialisparese

Bei den meisten der peripheren Fazialisparesen ist keine direkte Ursache zu erkennen (Idiopathische Fazialisparese). Vermutlich ist bei der idiopathischen Facials- oder Bell-Parese eine autoimmune Entzündung des Fazialisnervs oder des umliegenden Gewebes für die Störung verantwortlich. Sie kann durch äußere Faktoren wie Zugluft oder Stress begünstigt werden.


In anderen Fällen lässt sich die periphere Fazialisparese jedoch auf ein bestimmtes Krankheitsbild oder eine Verletzung zurückführen:

  • Virale Infektionen etwa durch Herpesviren, aber auch Masern, Mumps, Röteln oder HIV können den Fazialisnerven schädigen, ebenso bakterielle Infektionskrankheiten wie Borreliose, Diphtherie oder Syphilis. 
  • Tumore oder Metastasen im Bereich des Hirnstamms, des Mittelohrs oder der Ohrspeicheldrüse können auf den Nerv drücken (z. B. Meningeome oder Parotistumore) oder den Fazialisnerv selbst betreffen (Fazialisneurinome). 
  • Schädigungen während einer Operation zur Entfernung solcher Tumoren (z. B. Vastibularisschwannom-Resektion) können eine Gesichtslähmung auslösen
  • Traumatische Fazialisparesen können bedingt durch Brüche der Schädelbasis (Felsenbeinfraktur) oder Quetschungen (z.B. bei Neugeborenen) entstehen
  • Seltene Ursachen sind Vergiftungen sowie Ohrfehlbildungen.  
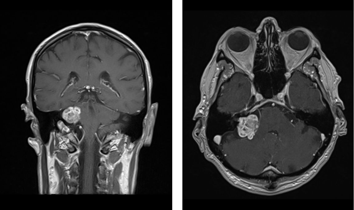
MRT des Gehirns
Operationen an Vestibularisschwannomen können zu Fazialisparesen führen.

In den meisten Fällen kommt es bei einer peripheren Fazialisparese innerhalb weniger Wochen zu einer Rückbildung, vor allem bei leichten Schweregraden. Die Erholung des Gesichtsnerven ist bei einer peripheren Schädigung ca. nach 1-1,5 Jahr abgeschlossen und es sind dann allenfalls noch geringe Verbesserungen zu erwarten.

Wie werden Fazialisparesen diagnostiziert?

Da die Ursachen und Behandlungsansätze von Fazialisparesen vielfältig sind und die Grenzen verschiedener klinischer Fachbereiche überschreiten, erfolgt die Behandlung an der Neurochirurgischen Universitätsklinik Tübingen in einem interdisziplinären Schwerpunktteam unter Berücksichtigung neuro- und plastisch-chirurgischer Aspekte sowie spezieller neurologischer Diagnostik. Die Untersuchungen ermöglichen eine bessere Beurteilung des Ausmaßes der Schädigung und des aktuellen Erholungszustands. Zudem können die Erfolgschancen einer Nerventransplantation besser abgeschätzt werden.

Messung der elektrischen Muskelaktivität im ruhenden oder willkürlich angespannten Muskel. Im Rahmen der Diagnostik werden hierzu meist Nadelelektroden eingesetzt. Das Verfahren kann aber auch zum sog. Biofeedback als therapeutisches Mittel unter Verwendung von Oberflächenelektroden eingesetzt werden.

Forschung zu Fazialisparese

Untersuchung der Nervenfunktion durch elektrische Reizung des Nerven zur Bestimmung von u.a. Nervenleitgeschwindigkeit, Amplitude und Refraktärzeit.

Wie werden Fazialisparesen behandelt?

Die Therapie der Fazialisparese ist abhängig von u.a. Ausmaß und Ursache der Lähmung sehr vielfältig und muss in jedem individuellen Fall mit Hilfe von Spezialdiagnostik festgelegt und mit den Patientinnen und Patienten besprochen werden.

Konservative Therapie

Beim Auftreten der Gesichtslähmung können bei einem strukturell erhaltenen Nerven logopädische und physiotherapeutische Übungen zu einer verbesserten Erholung beitragen. Des Weiteren können diese auch beim Auftreten von postparalytischen Synkinesien eingesetzt werden bzw. diese vorbeugen.

Es gibt viele verschiedene physiotherapeutische Therapieansätze, aber das Ziel sollte hierbei generell nicht sein, einfach nur möglichst viel Kraft aufzubauen. Viel wichtiger ist es, die Zusammenarbeit verschiedener Muskelgruppen zu verbessern und die Kraft flexibel an unterschiedliche Bewegungen anzupassen. Auch muss bei unwillkürlichen Fehlbewegungen ggf. wieder erlernt werden, wie die Muskulatur entspannt werden kann:

  • Neuromuskuläres Training (sog. neuromuscular retraining, NMR)
  • Spiegeltherapie
  • Propriomuskuläre Fazilitation (PNF)
  • Bobath-Konzept
  • Perfetti-Konzept

Die logopädischen und physiotherapeutischen Übungen können durch die folgenden weiteren Maßnahmen ergänzt werden. Hierbei sollte immer eine individuelle Rücksprache mit den behandelnden Ärzten erfolgen, ob die Behandlung im individuellen Patientenfall sinnvoll ist:

Beim EMG-Biofeedback  erhält der Patient oder die Patientin anhand von Elektroden, die auf das Gesicht geklebt werden, eine Rückmeldung über die Muskelfunktion. Hierdurch können sehr kleine Bewegungen überwacht sowie die Koordination bestimmter Muskelgruppen und deren Entspannung trainiert werden.

Forschung zu Fazialisparese

Eine Stimulation von außen kann zusätzlich zur Physiotherapie eigesetzt werden, um zu verhindern, dass sich die Gesichtsmuskulatur abbaut, während der Nerv noch in der Erholungsphase ist.

Hierbei handelt es sich um eine Kombination von EMG-Biofeedback und Stimulation.

Zudem ist bei stärker ausgeprägten Fazialisparesen mit einem inkompletten Lidschluss auf eine intensive Pflege des Auges zu achten, damit es nicht zu einer Trockenheit desselben und Verletzungen der Hornhaut kommt. Zum Einsatz kommen hierbei u.a. Uhrglasverbände, Augentropfen und -salben. Eine engmaschige Anbindung an einen Augenarzt ist in dieser Phase zu empfehlen.


Injektion von Botulinumtoxin

Im Rahmen der zunehmenden Erholung einer Fazialisparese kann es zu sog. Dys- und/oder Synkinesien kommen. Hierbei handelt es sich um die unwillkürliche Mitbewegung nicht an der beabsichtigten Bewegung beteiligter Muskeln bzw. um gestörte Bewegungsabläufe. Diese „Fehlbewegungen“ können durch die Injektion von Botulinumtoxin verbessert werden. Hierbei handelt es sich um ein „Nervengift“, welches vielfach auch in der Schönheitschirurgie, aber auch verschiedenen neurologischen Erkrankungen eingesetzt wird. Durch die Verwendung des Botulinumtoxins in niedriger Dosis kann bei Patienten mit Fazialisparesen die Gesichtssymmetrie verbessert und gleichzeitig die Restfunktion aufrechterhalten werden.

Chirurgische Therapieansätze

Sollte sich nach einer Lähmung des Gesichtsnerven keine ausreichende Besserung der Symptomatik zeigen, können operative Maßnahmen die Gesichtssymmetrie und motorische Funktion verbessern. Durch unser interdisziplinäres Schwerpunktteam werden hierbei sowohl sekundär/statische Verfahren, periokuläre Eingriffe als auch Methoden der Nervenrekonstruktion angeboten.

Häufig werden verschiedene der Techniken miteinander kombiniert:

Implantation eines kleinen Gewichts ins Augenoberlid bei unvollständigem Augenschluss. Hierfür wird vor der Operation ein passendes Gewicht ausgewählt.

Abbildung Lidoperation

Straffung des Augenunterlids bei unvollständigem Augenschluss.

z.B. zur Hebung des Mundwinkels mit dem Ziel einer Wiederherstellung der Symmetrie des Gesichtes.

Durch die fehlende Funktion der Stirnmuskulatur kann es bei einer Fazialisparese zu einer Asymmetrie der Augenbrauen kommen. Durch die Anhebung der Augenbraue kann in diesen Fällen die Symmetrie und ggf. auch ein eingeschränktes Gesichtsfeld verbessert werden.

Bei einer bereits seit langem bestehenden Fazialisparese ist eine alleinige Nervenrekonstruktion womöglich nicht ausreichend, da die Muskulatur im Gesicht schon sehr dünn geworden ist und sich in fettiges Gewebe umgewandelt hat. In diesen Fällen können Muskeln von anderen Körpergebieten ins Gesicht verpflanzt werden. Ein häufig hierfür verwendeter Muskel ist der Musculus gracilis aus dem Oberschenkel.

Die Innervation der gelähmten Gesichtshälfte wird unter Verwendung eines Nerventransplantats ausgehend vom Gesichtsnerven der gesunden Seite wiederhergestellt

Teile des Hypoglossus-Nervs (üblicherweise für Beweglichkeit der Zunge zuständig) werden verwendet um die gelähmte Gesichtshälfte wieder zu innervieren.

Teile des Massetericus-Nervs (üblicherweise für Kaumuskulatur zuständig) werden verwendet um die gelähmte Gesichtshälfte wieder zu innervieren.

Ihre Behandlung an der Universitätsklinik für Neurochirurgie Tübingen

Portraitfoto

Wir begleiten Sie mit unserer Expertise

Unter ständiger Expansion gehören wir mit weit über 3000 operativen Eingriffen pro Jahr zu den größten Kliniken Deutschlands. In fünf Operationssälen mit modernster technologischer Ausstattung, werden alle Eingriffe von einem erfahrenen Team durchgeführt. In unseren Spezialsprechstunden finden Sie kompetente Ansprechpersonen für Therapie und Nachsorge.

Univ. Prof. Dr. Marcos Tatagiba,
Ärztlicher Direktor der Klinik für Neurochirurgie

Schwerpunkt Facialisparese mit Spezialsprechstunde

Sofern bei Ihnen eine Facialisparese vorliegt und Sie die weitere Beratung und Betreuung in unserem Zentrum wünschen, stehen wir Ihnen im Rahmen unserer Spezialsprechstunde gerne zur Verfügung.

Mehr zum Schwerpunkt Facialisparese

Weitere Angebote und Informationen