Seltene Erkrankungen
Moyamoya Erkrankung
(Moyamoya Disease - MMD)
Diagnostik und Therapie an der Neurochirurgischen Universitätsklinik

Moyamoya Erkrankung

Der Name „Moyamoya“ stammt aus dem Japanischen und bedeutet übersetzt „Rauchwolke“, was auf das diffuse Erscheinungsbild feiner Kollateralgefäße in der Gefäßdarstellung „Angiographie“ zurückzuführen ist.
Die namentliche Beschreibung hat den Überbergriff der Moyamoya Angiopathie, wobei die Moyamoya Krankheit damit definiert war, dass die Moyamoya Veränderungen beidseits vorliegen. Heutzutage bezieht sich die Definition auch auf einseitige Vorkommen der Erkrankung. Sofern eine andere bekannte Grunderkrankung vorliegt (z.B. Neurofibromatose, Down Syndrom, Multiple Sklerose) spricht man von einem Moyamoya Syndrom.
Die Therapie der Moyamoya Erkrankung ist sehr vielfältig und muss in jedem individuellen Fall mit Hilfe von Spezialdiagnostik festgelegt werden.

Kontakt

Sie möchten einen Termin vereinbaren oder haben eine Frage? Wir stehen Ihnen gerne zur Verfügung.

frontend.sr-only_#{element.icon}: Spezialsprechstunde für Moyamoya und Bypasschirurgie


E-Mail-Adresse: moyamoya@neurochirurgie-tuebingen.de Bei einer Erstanfrage bitten wir um Kontaktaufnahme per E-Mail.


Videoserie

Prof. Dr. Constantin Roder erklärt alles Wichtige zur Krankheit ausführlich in unserer Videoserie.

Alle Videos

Patientenbroschüre

Nützliche Informationen zum Krankheitsbild, den Therapiemöglichkeiten sowie zum Ablauf der Behandlung.

Mehr erfahren

Zahlen und Fakten

Ursache
noch weitestgehend ungeklärt
Frauen
sind fast doppelt so häufig betroffen wie Männer
bei < 10%
der Betroffenen gibt es familiäre Fälle von Moyamoya

Was ist die Moyamoya Erkrankung?

Moyamoya wurde 1957 erstmals von den Japanern Takeuchi und Shimizu beschrieben. Die Erkrankung kommt vor allem im asiatischen Raum (insbesondere Japan und Korea) häufiger vor, wobei man von einem Auftreten (Inzidenz) von ca. 0.35/100.000 Einwohnern/Jahr ausgegangen wird. Für den europäischen Raum gibt es bis heute keine verlässlichen Daten, jedoch schätzt man, dass die Erkrankung hier ca. 10x seltener als oben genannt vorkommt. Der Name „Moyamoya“ stammt aus dem Japanischen und bedeutet übersetzt „Rauchwolke“, was auf das diffuse Erscheinungsbild feiner Kollateralgefäße in der Gefäßdarstellung „Angiographie“ zurückzuführen ist.

Die namentliche Beschreibung für das gesamte Spektrum der Erkrankung lautet Moyamoya Angiopathie (MMA). Sofern eine andere bekannte Grunderkrankung vorliegt (z.B. Neurofibromatose, Down Syndrom, Multiple Sklerose) spricht man von dem Moyamoya Syndrom (MMS). 

Die Krankheit tritt nur im Bereich der basalen Hirnarterien auf und dehnt sich nicht weiter auf die peripheren Hirngefäße aus. Da das Großhirn sechs Hauptversorgungsgebiete hat (jeweils beidseits eine vordere, eine mittlere und eine hintere Hirnarterie), können bei einer betroffenen Person bis zu 6 Gefäßterritorien betroffen sein. Welche Hirnareale definitiv beteiligt sind, kann man erst sicher nach der Durchführung einer Angiographie (Katheterdarstellung der Hirngefäße) sagen.

Moyamoya kann einen chronischen Verlauf zeigen, bei dem die Patientinnen und Patienten schon seit vielen Jahren an der Krankheit leiden und der Körper die Durchblutung durch viele Kollateralen selbst sichergestellt hat, ohne dass die Betroffenen etwas davon gemerkt haben. Bei einem eher akuten Verlauf zeigt sich ein relativ rasches Voranschreiten einer neu aufgetretenen Engstelle des zuführenden Blutgefäßes. Dies führt dazu, dass die Betroffenen nicht ausreichend rasch Kollateralen bilden können und dann einen ersten Schlaganfall erleben. Ob bei einem Patienten eine chronische oder eine rasch voranschreitende Form der Erkrankung vorliegt, können wir mit Hilfe der Spezialdiagnostik feststellen.
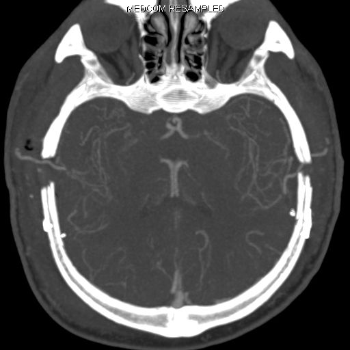
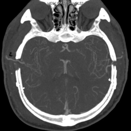
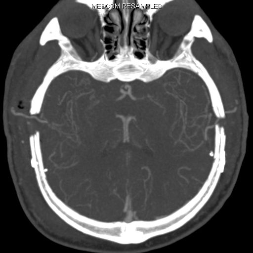
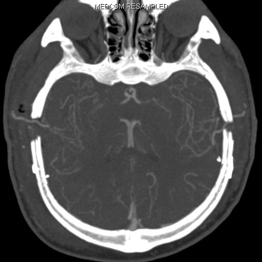
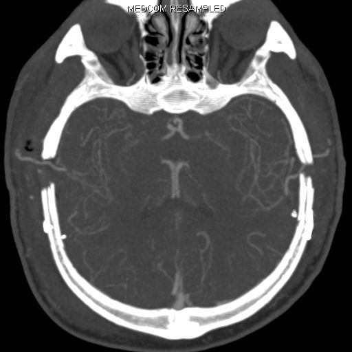
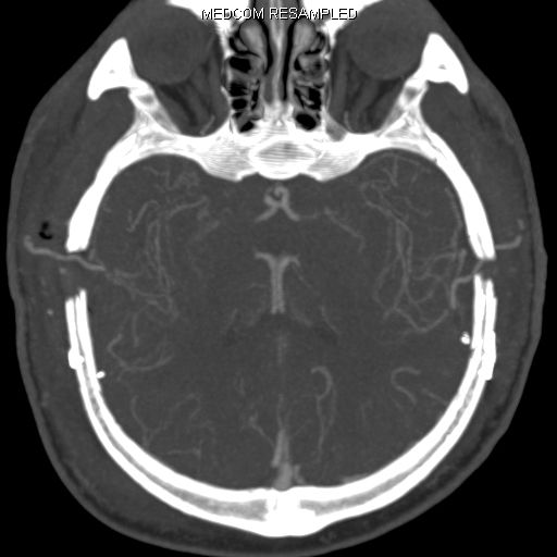
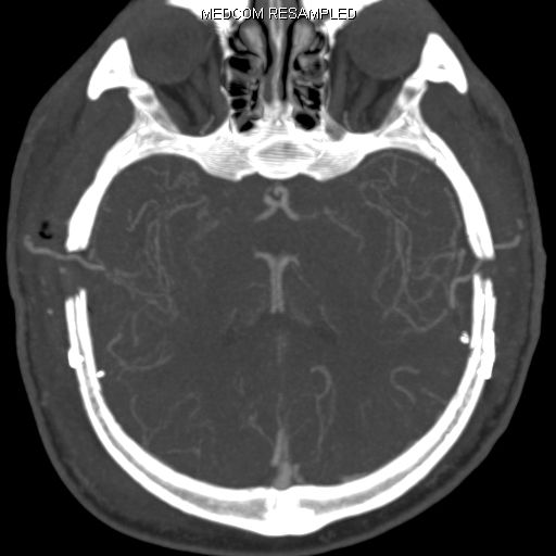
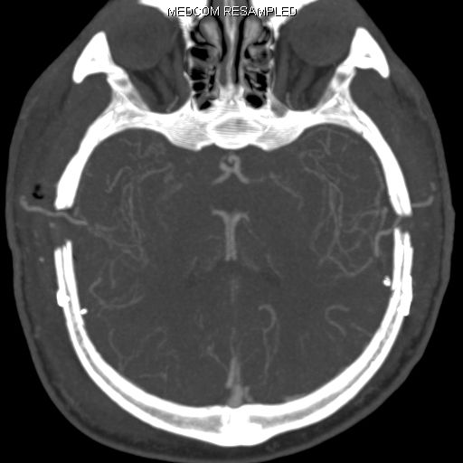
Angiografie einer Moymoya
Auf dem Bild mit einer Gefäßdarstellung “Angiographie” kann man die dünnen Kollateralen (Wolken-ähnliches Bild) um die Gefäßengstelle am Ende der inneren Halsschlagader erkennen.
Was ist Moyamoya?
Entwicklung und Voranschreiten der Krankheit

Welche Symptome verursacht die Moyamoya Erkrankung?

Das Auftreten erster Symptome der Erkrankung zeigt zwei Häufungen, zum einen im kindlichen Alter vor dem 10. Lebensjahr, sowie bei Erwachsenen zwischen 35-40 Jahren. Insgesamt sind Frauen fast doppelt so häufig betroffen wie Männer. Es gibt familiäre Fälle der Moyamoya Krankheit, jedoch sind diese im Europäischen Raum äußerst selten und kommen nur bei deutlich unter 10% der Betroffenen vor.

Symptome entstehen durch eine voranschreitende Verengung der hirnversorgenden Blutgefäße, wobei vor allem die Hauptstämme der großen Hirnarterien betroffen sind. Diese Engstellen versucht der Körper über feine Umgehungskreisläufe (Kollateralen) zu umgehen, was jedoch häufig nicht ausreicht. In der Folge kommt es zu neurologischen Auffälligkeiten (Kopfschmerzen, Halbseitenlähmung, Epileptischer Anfall) auf Grund einer Minderversorgung des jeweiligen Gehirnbereichs. Häufig bilden sich die Symptome bei einem Erstauftreten im Verlauf vollständig zurück, jedoch sollte hier dann eine ggf. notwendige Diagnostik und Therapie rasch eingeleitet werden, um in der Folge bleibende Schäden zu verhindern. Die pathophysiologischen Ursachen der Symptome sind häufig sogenannte TIAs (transient ischemic attacks – transiente ischämische Attacken), bei denen eine vorübergehende Minderversorgung des Gehirns zu reversiblen neurologischen Ausfällen führt. Sofern ein manifester Schlaganfall eingetreten ist, bestimmt die Größe und die Lage des Schlaganfalls ob die Symptome nur vorübergehend, oder dauerhaft sind. Häufig berichten die Patientinnen und Patienten auch über eine allgemeine Abgeschlagenheit und verminderte Belastbarkeit, so dass sich der Kopf "wie unter einer Glocke" anfühlt, gelegentlich auch begleitet von Schwindel. Diese allgemeineren Symptome können sich nach einer Bypassoperation bessern. Um dies besser greifen zu können testen wir unsere Patienten vor und nach einer möglichen Behandlung neuropsychologisch und erforschen auch die jeweiligen Auswirkungen und Veränderungen.

Seltener treten Hirnblutungen auf Grund der Ruptur der fragilen feinen Gefäße (Kollateralen) als Erstsymptom auf. Hier kann es ebenfalls zu plötzlichen neurologischen Ausfällen und stärksten Kopfschmerzen, hin bis zu einer lebensbedrohlichen Bewusstlosigkeit kommen.

Wichtig ist, dass nach der Erstmanifestation der Symptome eine ausführliche Diagnostik und Überweisung an ein Spezialzentrum erfolgt, damit die Schwere der Erkrankung richtig eingestuft und mögliche therapeutische Schritte eingeleitet werden können.

Wissenschaftliche Abbildung
PET/CT mit Darstellung der einseitig reduzierten Reservekapazität/Durchblutung (kalte Farben) im Vergleich zum physiologischen Anstieg der Perfusion auf der Gegenseite (warme Farben).

Schlaganfälle ohne Erklärung

Schlaganfälle ohne Erklärung

Ganz plötzlich reißen zwei Schlaganfälle Edyta Fischer aus dem Leben. Doch warum? Erst nach zahlreichen Klinikaufenthalten und Monaten voller Unsicherheit erhält sie endlich Gewissheit: Sie hat Moyamoya. „Ich hätte immer wieder neue Schlaganfälle bekommen können. Durch die Diagnose und die Therapie kann ich endlich wieder nach vorne blicken", sagt Fischer, die in Tübingen zwei Bypass-Operationen erhalten hat – und eine gute Prognose. Sehen Sie Ihre Geschichte im Video.

Ursachen und Risiken einer Moyamoya Erkrankung

Die Ursache der Moyamoya Krankheit ist bis heute trotz intensiver Forschungsbemühungen noch weitestgehend ungeklärt. Vermutet werden unter anderem genetische Faktoren, Umweltfaktoren (z.B.: Bestrahlung oder Hirnhautentzündung) oder auch eine lokale Entzündung im Bereich der Gefäßwand. Besonders wichtig ist es Moyamoya von einer klassischen Gefäßentzündung "Vaskulitis" zu unterscheiden. Eine Vaskulitis kann durch eine Lumbalpunktion gesichert oder ausgeschlossen werden und sieht in der Angiographie  anders aus, als Moyamoya. Sollten die Befunde jedoch nicht schlüssig sein und Veränderungen vor allem die basalen Hirnarterien betreffen, muss auch an die Moyamoya Krankheit gedacht werden. 

Um die Entstehungsmechanismen der Moyamoya Krankheit besser verstehen zu können, erforschen wir mit Hilfe von Bildgebung und Biomarkern mögliche Zusammenhänge. 

Wie wird eine Moyamoya Erkrankung diagnostiziert?

Wie wird eine Moyamoya Erkrankung diagnostiziert?

Um die richtigen Therapieentscheidungen treffen zu können, bedarf es einer ausführlichen diagnostischen Abklärung. Diese geht weit über die routinemäßig durchgeführten Untersuchungen hinaus und ist nur an einem Spezialzentrum mit ausreichend Expertise verfügbar. Durch unsere jahrelange klinische Erfahrung und Forschungsaktivitäten haben wir standardisierte diagnostische Abläufe für alle Patientinnen und Patienten definiert, um dann die therapeutische Strategie festzulegen.

So stellen wir sicher, dass nur die Patienten / Gefäßterritorien revaskularisiert werden (einen Bypass bekommen), die dies auch wirklich benötigen. Gleiches gilt auch für die Nachsorge nach operativer Bypassanlage, sowie alle Verlaufskontrollen bei konservativem Vorgehen ohne Bypassoperation.

In der MRT Bildgebung fertigen wir neben den Routine-Sequenzen der Schlaganfalldiagnostik spezielle hochauflösende Sequenzen auf einem modernen 3 Tesla Gerät an, die mit einer Auflösung von unter einem Millimeter die betroffenen Gefäßwände darstellen können. So kann eine mögliche Aktivität und ein Voranschreiten der Erkrankung erkannt und dementsprechend die weitere Behandlungs- und Kontrollstrategie angepasst werden. Im Rahmen unseres Forschungsschwerpunktes erforschen wir genau diese Veränderungen der Gefäßwände intensiv, um so das Voranschreiten der Erkrankung, sowie auch die Entstehung besser verstehen zu können.

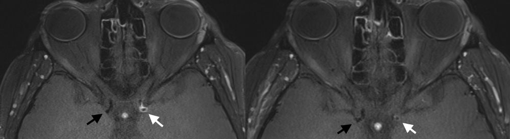
MRT Aufnahme Gefäßwand der Halsschlagader
Hochauflösende MRT Aufnahme mit kräftiger Kontrastmittelaufnahme der Gefäßwand der Halsschlagader (weißer Pfeil), welche im Verlauf von wenigen Monaten deutlich abnimmt (Bild rechts ). Die Halsschlagader der Gegenseite (schwarzer Pfeil) zeigt jeweils keine Aktivität der Erkrankung.

Die konventionelle cerebrale Angiographie ist die wichtigste Untersuchung zur Diagnosestellung der Moyamoya Krankheit. Diese Untersuchung ist zu vergleichen mit einer Herzkatheteruntersuchung, eben nur mit Darstellung der Hirnarterien. Bei Moyamoya-Patientinnen und Patienten werden, im Gegensatz zu Routineuntersuchungen bei anderen cerebralen Erkrankungen, selektiv die vordere und hintere Zirkulation des Gehirns dargestellt, sowie auch die Versorgung der extrakranialen Gefäße. Diese umfassende Darstellung ist besonders wichtig, um die vollständige Ausdehnung der Erkrankung zu erfassen und alle möglicherweise veränderten Blutflüsse im Gehirn zu verstehen. Je nach Befund werden die Engstellen der Hirnarterien, sowie auch mögliche begleitende Veränderungen selektiv hochauflösend dreidimensional dargestellt. Es ist wichtig zu erwähnen, dass die Moyamoya Krankheit nicht über eine Katheterintervention (Ballonaufweitung der Engstelle) behandelt werden kann und darf. Dies haben mehrere Studien gezeigt.

Angiographie beidseitige Moyamoya Krankheit
Konventionelle Angiographie eines Patienten mit beidseitiger Moyamoya Krankheit (links). 3-dimensionale Darstellung eines Aneurysmas einer jahrelang stark beanspruchten Spontan-Kollaterale (rechts).

In der konventionellen Angiographie und im konventionellen MRT können selektiv die Gefäße, der Blutfluss, und das Gewebe gut dargestellt werden. Diese Untersuchungen erbringen jedoch keine Aussage über den absoluten Blutfluss im Gehirn. Adaptierte Untersuchungen des MRTs, sowie auch des CTs zur Messung der Hirndurchblutung (Perfusion) haben sich in der Vergangenheit bei Moyamoya Betroffenen auf Grund der Kollateralen als zu wenig sensitiv gezeigt, um die Durchblutung zuverlässig darzustellen. 

Durch die Erforschung und Weiterentwicklung des funktionellen MRTs haben wir eine Untersuchung etabliert, welche die Reaktivität der Hirngefäße (und somit indirekt die cerebrale Durchblutungsreserve) darstellen kann. Beim sogenannten "breathhold", also Atemanhalte-fMRT müssen die Patientinnen und Patienten in mehreren Zyklen für jeweils wenige Sekunden die Luft anhalten. Dadurch erhöht sich die CO2-Konzentration im Blut und die Hirngefäße stellen sich weiter. Diese Veränderung des Blutflusses kann dann indirekt gemessen werden. Da es sich hierbei um eine sehr neue Methode handelt, ist zu erwähnen, dass medizinische Entscheidungen primär ausschließlich in Zusammenschau aller Befunde und bei jeglicher Unschlüssigkeit mit dem ergänzenden PET/CT getroffen werden. Das fMRT hat sich jedoch als exzellentes Screening-Tool und für die langfristigen Nachkontrollen erwiesen.

Wissenschaftliches Diagramm
Die Kurven zeigen die Veränderung der Vasoreaktivität bei einem Moyamoya-Patienten mit betroffener rechter Seite (hellgrüne Linie). Die linke Seite (dunkelgrüne Linie) und die Referenz (Kleinhirn-Cerebellum) zeigen einen adäquaten Anstieg der Kurven.

Die wichtigste Untersuchung zur absoluten Darstellung des Blutflusses im Gehirn im Ruhezustand (baseline) und nach medikamentös stimulierter Gefäßweitstellung ("Diamox/Acetazolamid-Challenge") ist das sogenannte Wasser (H2 15O) PET/CT. Bei dieser Untersuchung wird eine definierte Menge kurzzeitig radioaktives Wasser in das Blutsystem appliziert und somit kann die absolute Blutmenge im Gehirn für jedes Gefäßterritorium bestimmt werden. Dies erfolgt dann sowohl im Ruhezustand und nach Medikamentengabe. Somit kann man die cerebrale Perfusionsreserve absolut darstellen und an Hand dessen Gefäßterritorien mit benötigter Revaskularisation (Anlage eines Bypasses) identifizieren. Auf Grund des benötigten speziellen Nuklearmedizinischen Setups kann diese Untersuchung nur an wenigen Orten in Deutschland durchgeführt werden. Hierfür kooperieren wir mit der Nuklearmedizin der Universität in Freiburg.  

PET-CT nach Diamox Gabe
PET-CT nach Diamox Gabe zeigt eine einseitig deutlich reduzierte Perfusionsreserve (grüne Farben) im Vergleich zur Gegenseite mit ausreichendem Anstieg der Durchblutung (warme Farben).
Diagnostik bei Moyamoya

Wie wird eine Moyamoya Erkrankung behandelt?

Die Therapie der Moyamoya Erkrankung ist sehr vielfältig und muss in jedem individuellen Fall mit Hilfe von Spezialdiagnostik festgelegt und mit den Patienten besprochen werden. Generell muss zwischen einem konservativen und einem operativen Vorgehen unterschieden werden:

Eine rein konservative Therapie kann dann verfolgt werden, wenn zwar die Moyamoya Krankheit vorliegt und diagnostiziert ist, jedoch die cerebrale Durchblutungsreserve in der Bildgebung noch ausreichend ist. In diesem Fall empfehlen wir in der Regel die dauerhafte Einnahme blutverdünnender Medikamente (Aspirin - ASS), eine ausreichende tägliche Flüssigkeitszufuhr (2-3l/d) und eine gute Einstellung des Blutdrucks im oberen Normbereich. Je nach klinischem und bildgebendem Befund terminieren wir dann für jeden Patienten individuell die nächsten Kontrolltermine.

Ist eine operative Behandlung notwendig, wird zumeist ein direkter extrakranieller-intrakranieller Bypass (Verbindung eines außerhalb des Schädels liegenden oberflächlichen Gefäßes, mit einem oberflächlichen Hirngefäß; sogenannter EC-IC Bypass) angelegt. Da der Durchmesser des Spendergefäßes und auch des Gefäßes an der Hirnoberfläche meist ca. 1mm beträgt, bedarf es hier viel Erfahrung um die hauchdünne Gefäßwand nicht zu beschädigen. Mit hierfür speziell angefertigten äußerst feinen Instrumenten werden die beiden Gefäße unter dem hochauflösenden Operationsmikroskop mit mehreren 0.02mm dünnen Fäden End-zu-Seit verbunden. Zum Vergleich: Ein menschliches Haar hat einen Durchmesser von 0.06-0.1 mm. Sobald die Verbindung hergestellt ist, wird das Gehirn mit zusätzlichem Blut versorgt und somit weiteren Schlaganfällen vorgebeugt.

3D MRT Darstellung
1 Jahr postoperativ: 3D MRT Darstellung der extrakraniellen-intrakraniellen Bypässe (Pfeile)
CT Schnittbildgebung
Postoperative CT Schnittbildgebung von beidseitig neu gelegten extrakraniellen-intrakraniellen Bypässen (Gefäße die durch die kleine Öffnung im Schädel hindurchziehen)
Angiographie zur Darstellung der zusätzlichen Blutversorgung des Gehirns
1 Jahr postoperativ: Angiographie zur Darstellung der zusätzlichen Blutversorgung des Gehirns über den Bypass (linke Seite) in Ergänzung zu der unzureichenden Versorgung über die innere Halsschlagader (rechte Seite).

Je nach Bedarf wächst das Spendergefäß dann im Verlauf deutlich und kann so große Teile des Gehirns mitversorgen. Generell ist eine solche direkte Verbindung stets die Therapie der Wahl, da so direkt mehr Blut ins Gehirn kommt. Im seltenen Fall, dass eine direkte Verbindung auf Grund ungeeigneter Empfänger- oder Spendergefäße nicht möglich ist, kann auch ein indirekter Bypass gelegt werden. Hierbei legt man gut durchblutete Gewebeschichten des Kopfes auf die Hirnoberfläche und wartet auf das Einsprießen von Gefäßen, die dann dem Hirn mittelfristig mehr Blut zur Verfügung stellen sollten.

Insgesamt verfügt jeder Mensch über sechs cerebrale Gefäßterritorien (jeweils 2x vorderes, mittleres und hinteres Versorgungsgebiet). Je nach Befund der Diagnostik müssen somit bis zu sechs Territorien versorgt werden, was jedoch äußerst selten der Fall ist. Um die Belastung für die Patienten zu reduzieren, legen wir in einer OP bis zu zwei Bypässe. 

Auf Grund der langjährigen Erfahrung und etablierten Abläufe in der Bypasschirurgie dauert die Operation bei Anlage eines direkten Bypasses in der Regel ca. 90 bis 120 Minuten. Die Operationen finden ausschließlich in Vollnarkose durch unsere speziell ausgebildeten Narkoseärzte statt. Hierbei ist es besonders wichtig während der gesamten Operation auf einen guten Blutdruck zu achten. Nach der Operation verbringen unsere Pateinten in der Regel eine Nacht auf der Überwachungsstation. Der Gesamte Aufenthalt im Krankenhaus ist mit knapp unter 1 Woche zu planen.

Moyamoya: Wie läuft die Operation ab?
FAQ über Moyamoya: Häufig gestellte Fragen

Wie wird die Erkrankung behandelt?

Wann ist eine konservative Behandlung ausreichend und wann wird eine Operation notwendig? Wie ist das Vorgehen und wie lange dauert der stationäre Aufenthalt im Falle einer operativen Therapie. Alle Antworten finden Sie im Video.

Zum Video

Auswirkungen auf Leistungsfähigkeit und Psyche

Die Erkrankung kanndie psychische Gesundheit beeinträchtigen. Durch die eingeschränkte Blutzufuhr zum Gehirn können Schwierigkeiten bei der Konzentration, Gedächtnisprobleme und motorische Beeinträchtigungen auftreten.

Zum Video

Auswirkungen auf das Gehirn

Der durch die Moyamoya-Erkrankung ausgelöste Sauerstoffmangel im Gehirn kann dazu führen, dass Nervenzellen geschädigt werden. Welche kognitiven Beeinträchtigungen das für die Betroffenen mit sich bringen kann, erklärt Dr. Patrick Haas im Video.

Zum Video

Bypasschirurgie bei anderweitigem/atherosklerotischem Hirnarterienverschluss

Bypasschirurgie bei anderweitigem /
atherosklerotischem Hirnarterienverschluss

Hirnarterienverschlüsse der großen zuführenden Gefäße können verschiedene Ursachen haben. Sofern nicht die Moyamoya Krankheit ursächlich ist, sondern beispielsweise Atherosklerose (Carotisstenose, Carotisverschluss, Mediastenose, Mediaverschluss), muss ebenfalls sorgfältig überprüft werden, ob ein extrakranieller-intrakranieller Bypass (EC-IC Bypass) indiziert ist, oder nicht. Bei stattgehabten schweren Infarkten (maligner Mediainfarkt) kann nicht revaskularisiert werden, da das Hirngewebe großflächig infarziert ist. Sofern jedoch nur kleine Infarkte oder gar nur TIAs (transiente ischämische Attacken) aufgetreten sind, muss die Option eines Bypasses ebenfalls kritisch geprüft werden. Dies gilt insbesondere für Patienten, die trotz konservativer Therapie (Minimierung der Risikofaktoren, Einnahme von Blutverdünnern) weiterhin wiederholt Symptome verspüren.

Eine operative Therapie ist dann nach vergleichbaren Maßstäben zu indizieren, wie bei der Moyamoya Krankheit, der operative Ablauf vergleichbar. Auf Grund unserer großen Expertise im Bereich der Bypasschirurgie kann eine operative Therapie, sofern notwendig, mit großer Sicherheit angeboten werden.

Häufig gestellte Fragen

Wird die Moyamoya-Diagnose gestellt, haben die Patientinnen und Patienten viele Fragen: Wie lange dauert die OP? Müssen mir dafür die Haare abrasiert werden? Kann ich anschließend wieder Auto fahren? Ist Moyamoya vererbbar? Diese und weitere Punkte erläutert unser Experte, Dr. Constantin Roder, im Video.

Ihre Behandlung an der Universitätsklinik für Neurochirurgie Tübingen

Portraitfoto

Wir begleiten Sie mit unserer Expertise

Unter ständiger Expansion gehören wir mit weit über 3000 operativen Eingriffen pro Jahr zu den größten Kliniken Deutschlands. In fünf Operationssälen mit modernster technologischer Ausstattung, werden alle Eingriffe von einem erfahrenen Team durchgeführt. In unseren Spezialsprechstunden finden Sie kompetente Ansprechpersonen für Therapie und Nachsorge.

Univ. Prof. Dr. Marcos Tatagiba,
Ärztlicher Direktor der Klinik für Neurochirurgie

Schwerpunkt Moyamoya und Bypasschirurgie

Wir sind als Zentrum für Moyamoya und assoziierte Angiopathien (ZMoya) Bestandteil des Zentrums für Seltene Erkrankungen Tübingen – ZSE, um klinische und wissenschaftliche Leistungen auf höchstem Niveau anzubieten. In unserer Spezialsprechstunde für Moyamoya und Bypasschirurgie haben Sie im Rahmen der Erstvorstellung, wie auch im Rahmen der weiteren Diagnostik, Therapie und Nachsorge eine feste Ansprechperson unseres Teams, die Sie langfristig betreut.

Mehr zur Spezialsprechstunde für Moyamoya

ZMoya: Zentrum für Moyamoya und Bypasschirurgie