Epilepsiediagnostik & Chirurgie

Rund 0,7-1% der Bevölkerung (85.000 Patienten in Baden-Württemberg, ca. 700.000 Patienten in Deutschland) leiden an Epilepsie (Fallsucht). Manche Symptome, die bei epileptischen Anfällen auftreten, können jedoch auch durch andere Krankheiten verursacht werden. Ein Video-EEG-Monitoring (Aufzeichnen der Hirnwellen) kann zur Identifikation und besseren Einordnung der Anfälle Aufschluss bringen. Bei Betroffenen, die mit Medikamenten nicht anfallsfrei werden, lohnt sich eine prächirurgische Abklärung, um herauszufinden, ob ein epilepsiechirurgischer Eingriff sinnvoll ist.

Kontakt

Sie haben eine Frage zum Krankheitsbild oder möchten einen Termin bei uns vereinbaren?

frontend.sr-only_#{element.icon}: Spezialsprechstunde für Epilepsiechirurgie


frontend.sr-only_#{element.icon}: Sektion Pädiatrische Neurochirurgie


frontend.sr-only_#{element.icon}: Bitte nutzen Sie dazu unser Kontaktformular:


Termin anfragen

Patientenbroschüre

Nützliche Informationen zum Krankheitsbild, den Therapiemöglichkeiten sowie zum Ablauf der Behandlung.

Mehr erfahren

Zahlen und Fakten

85.000
Menschen in Baden-Württemberg leiden an Epilepsie.
Bei ca. 30%
der Betroffenen führt die Behandlung der Epilepsie mit Medikamenten nicht zum gewünschten Erfolg
Mit 70–80 %
Anfallsfreiheit können Tumoren, Hippocampussklerose und Fehlbildungen der Hirnrinde epilepsiechirurgisch behandelt werden.

Was ist Epilepsie?

Epilepsien sind neurologische Erkrankungen mit äußerst vielfältigem Erscheinungsbild. Ursache ist eine abnorm gesteigerte Erregbarkeit eines Teils oder unter Umständen auch des ganzen Gehirns. Dabei feuern Nervenzellen (Neuronen) im Gehirn plötzlich für kurze Zeit synchron und unkontrolliert Impulse ab. Man unterscheidet zwischen fokalen Epilepsien, die von einem bestimmten Punkt im Gehirn ausgehen und generalisierten, das ganze Gehirn betreffenden Epilepsien. Diese Unterscheidung ist wichtig für die Einschätzung der Prognose und die Wahl eines geeigneten Medikaments. 

Epileptische Anfälle können auch ohne Vorliegen einer Epilepsie auftreten. Bis zu 5% der Menschen haben einmal in ihrem Leben einen epileptischen Anfall, dem jedoch keine weiteren folgen. Von Epilepsie sprechen Fachleute erst, wenn epileptische Anfälle ohne ersichtlichen Auslöser mehrfach auftreten. Daher ist die Diagnose nicht immer ganz einfach. Wenn auch nach einer sorgfältigen Befragung und Untersuchung der Betroffenen sowie der Befragung der Angehörigen durch einen fachkundigen Arzt oder eine Ärztin nicht klar ist, ob die anfallsartigen Beschwerden epileptischer Natur sind, oder welche Art von Epilepsie vorliegt, ist es sinnvoll, ein Video-EEG-Monitoring zur Aufzeichnung und besseren Einordnung der Anfälle durchzuführen.

Nicht alle Epilepsieformen müssen notwendigerweise operativ behandelt werden. Ein Großteil der Patienten (ca. zwei Drittel) erreicht Anfallsfreiheit unter Zuhilfenahme von Medikamenten.

Epilepsien können in jedem Lebensalter auftreten, unterscheiden sich jedoch erheblich in Bezug auf den Erkrankungsbeginn, ihrer Erscheinungsformen, ihrer Behandelbarkeit und ihrer Auswirkungen auf Alltag und Beruf. Besonders häufig erkranken kleine Kinder und Menschen über 60 Jahre.

Welche Symptome verursacht Epilepsie?

Die Symptome eines epileptischen Anfalls können sehr unterschiedlich sein. Der Ausgangsort des epileptischen Anfalls und seine weitere Ausbreitung im Gehirn sind entscheidend für die Symptomatik. Dementsprechend variabel sind auch die Auswirkungen. Manche Betroffenen verspüren nur ein leichtes Zucken oder Kribbeln einzelner Muskeln oder vorübergehende Einschränkungen im Seh- und Sprachvermögen. Möglich sind auch Absencen, die Betroffenen fühlen sich kurzzeitig abwesend, wie weggetreten. Beim sogenannten bilateral tonisch-klonischen Anfall (Grand Mal) kommt es zu einem unkontrollierten Krampfanfall des ganzen Körpers und zu kurzer Bewusstlosigkeit.

Ein typisches Anzeichen eines epileptischen Anfalls sind offene, starre, oder verdrehte Augen und ein leerer Blick. Die Betroffenen sind häufig nicht ansprechbar, obwohl sie die Augen geöffnet haben. Ein epileptischer Anfall kann wenige Sekunden bis zu einigen Minuten andauern. Der Großteil der Anfälle endet innerhalb von zwei Minuten.

 

Warnzeichen und Vorahnungen

Ein epileptischer Anfall kann sich bereits einige Tage im Vorfeld mit Reizbarkeit, Kopfschmerzen oder Schwindel ankündigen. Manchmal verspüren Betroffene im Vorfeld unbestimmte Vorahnungen (Prodomi). Dazu gehören Stimmungsschwankungen, Appetitlosigkeit, Reizbarkeit, Ruhe- und Rastlosigkeit oder Konzentrations- und Schlafstörungen. Bei fokalen Anfällen können auch Auren auftreten, die häufig sehr individuell wahrgenommen werden. Dies können kurzzeitige Empfindungsstörungen, wie Lichtflecken, blinkende Muster oder andere visuelle Wahrnehmnungen sein oder psychische und emotionale Empfindungen wie Déjà-vu-Erlebnisse, verzerrte Raum- oder Zeitwahrnehmungen,  Halluzinationen oder Angst- oder Glücksgefühle. Ebenso können Geruchs- und Geschmackswahrnehmungen auf einen bevorstehenden Anfall hinweisen.

Häufigkeit von Symptomen

5%
der Menschen haben einmal in ihrem Leben einen epileptischen Anfall, dem jedoch keine weiteren folgen.
Bei ca. 1%
treten epileptische Anfälle ohne ersichtlichen Auslöser mehrfach auf.
ca. 7 von 10
Betroffenen haben nach zwei Anfällen innerhalb der nächsten Jahre erneut einen epileptischen Anfall.

Ursachen und Risiken bei Epilepsie

Eine Epilepsie kann sehr verschiedene Ursachen haben. Bei der strukturellen Epilepsie können Verletzungen oder Entzündungen des Gehirns oder der Hirnhaut Anfälle auslösen. Auch Stoffwechselstörungen, Schlaganfälle oder Tumoren kommen als Ursache in Frage. Oft lässt sich jedoch keine eindeutige Ursache feststellen. Ebenso kann eine genetische Veranlagung vorliegen. Verantwortlich sind hier genetische Veränderungen an Rezeptoren für Nervenbotenstoffe, die einen Beitrag zur Entstehung der Epilepsie leisten und zu einer ererbten Anfälligkeit für Krampfanfälle führen können. 

Auslöser für einen epileptischen Anfall können äußere Reize wie Flackerlicht oder auch eine körperliche oder seelische Belastung sein. Außerdem Schlafmangel, Sauerstoffmangel, hohes Fieber (Fieberkrämpfe), Vergiftungen oder bestimmte Medikamente. Auch der Entzug von Alkohol, Drogen oder Schlafmitteln kann einen epileptischen Anfall auslösen.

Epilepsietypen

  • Strukturelle Epilepsie: Bei einer strukturellen oder symptomatischen Epilepsie können die Anfälle ursächlich auf eine Hirnveränderung oder Schädigung oder eine Krankheit zurückgeführt werden. Häufig kommt es hier zu fokalen Anfällen in einem begrenzten Hirnbereich.
  • Genetische Epilepsie (auch idiopathische Epilepsie): Ursache für die genetische oder auch idiopathische Epilepsie ist eine genetische Veranlagung. In manchen Fällen tritt Epilepsie über mehrere Generationen hinweg auf. Oft sind beide Gehirnhälften gleichzeitig betroffen und es kommt zu generalisierten Anfällen.
  • Epilepsie mit unbekannter Ursache: Im Fall einer kryptogenen Epilepsie kann keine Ursache gefunden werden.

Wie wird Epilepsie diagnostiziert?

Ein einzelner epileptischer Anfall bedeutet noch nicht, dass die betroffene Person auch tatsächlich Epilepsie hat. Nach der Internationalen Liga gegen Epilepsie (International League Against Epilepsy, ILAE) sind folgende Voraussetzungen für die Diagnose erforderlich:

  • mindestens zwei epileptische Anfälle im Abstand von mehr als 24 Stunden.
  • die Wahrscheinlichkeit für einen zweiten oder weitere Anfälle ist ebenso hoch wie bei zwei nicht-provozierten Anfällen (mindestens 60 Prozent in den nächsten zehn Jahren). 
  • es liegt ein Epilepsie-Syndrom vor.
Anamnese und Video-EEG-Monitoring

Besteht ein Verdacht, wird zunächst in einem Anamnesegespräch geklärt, ob es sich tatsächlich um einen epileptischen Anfall gehandelt hat. Da sich die Betroffenen häufig nicht oder kaum an ihren Anfall erinnern können, sind hier Angaben von Außenstehenden oder Angehörigen, die den Anfall beobachtet haben hilfreich. Wenn nach dem Erstgespräch nicht klar ist, ob die anfallsartigen Beschwerden epileptischer Natur sind, oder welche Art von Epilepsie vorliegt, ist es sinnvoll, ein Video-EEG-Monitoring zur Aufzeichnung und besseren Einordnung der Anfälle durchzuführen.


Multidisziplinäre Untersuchungen und Prächirurgische Diagnostik

Bei etwa einem Drittel der betroffenen Patienten führt die Behandlung der Epilepsie mit Medikamenten nicht zum gewünschten Erfolg, besonders wenn eine Läsion im Gehirn vorliegt (z.B. ein Hirntumor, eine Fehlbildung, auch eine Vernarbung nach Schlaganfall oder Gehirnblutung), die als Anfallsursache in Frage kommt. Dazu ist es wichtig, genau zu wissen, von welcher Gehirnregion die Anfälle ausgehen und wie diese insgesamt ablaufen. Ebenso ist es notwendig, Gehirnregionen, in denen wichtige Funktionen lokalisiert sind, genau zu identifizieren. Je mehr Informationen dem Neurochirurgen dazu zur Verfügung stehen, desto genauer und schonender lässt sich der Eingriff planen. Dazu wird eine Vielzahl von multidisziplinären Untersuchungen durchgeführt, aufgrund der eine  individuelle Behandlungsstrategie festgelegt werden kann.

Eine kurze allgemeine internistische Untersuchung, zusätzlich Untersuchung der Hirnnerven, Prüfung der Reflexe, Testung der Muskelkraft und der Bewegungsabläufe, Sensibilitätsprüfung und Untersuchung der vegetativen Funktionen.

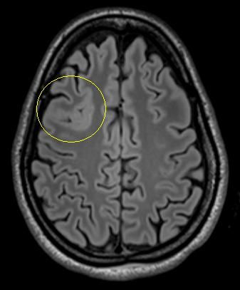
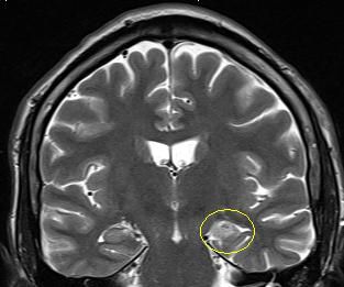
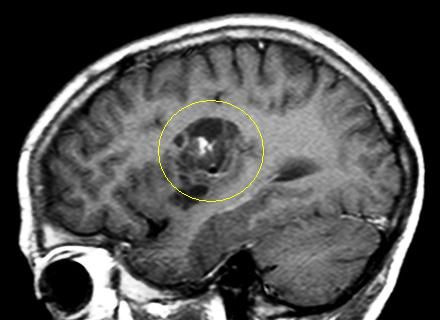
Es handelt sich um ein bildgebendes Verfahren, bei dem die Patienten in einer Röhre liegen und währenddessen mit Hilfe von wechselnden Magnetfeldern nach einem speziellen Epilepsie-Protokoll Bilder des Gehirns gemacht werden. So können Tumoren, Fehlbildungen oder andere Veränderungen des Gehirns, die Anfälle verursachen können, sichtbar gemacht werden. Durch moderne computergesteuerte Nachbearbeitungsmethoden oder Überlagerung mit anderen Bildmodalitäten können Läsionen dann noch besser dargestellt werden.

Die elektrische Hirnaktivität wird mithilfe von Elektroden auf der Kopfhaut erfasst. Die Art der Wellenmuster kann dabei helfen, die Art der Epilepsie zu bestimmen und die Gehirnregion einzugrenzen, aus der die Anfälle kommen. Durch bestimmte Provokationsverfahren, wie Photostimulation (Lichtblitze) und Hyperventilation (tief ein- und ausatmen), können bei manchen Patienten Anfälle ausgelöst werden. In einem ersten Schritt wird eine ca. 20-minütige Routine-EEG-Ableitung durchgeführt, zur erweiterten Diagnostik erfolgt ein Video-EEG-Monitoring[.

Untersuchen wichtige geistige Funktionen, wie das Gedächtnis, die Sprache, die zeichnerischen Fähigkeiten, das planerisch-problemlösende Denkvermögen usw. Die Leistungen in den einzelnen Tests können Hinweise auf den Ursprungsort der Epilepsie geben und bei der Einschätzung der zu erwartenden Verbesserung oder des Risikos einer Verschlechterung der Gehirnfunktionen nach einer Operation helfen.

Die folgenden ergänzenden Untersuchungen können zusätzlich bei bestimmten Fragestellungen eingesetzt werden:

Dem Patienten wird eine mit einer radioaktiven Substanz markierte Zuckerlösung in eine Vene gespritzt, die es ermöglicht, den Gehirnstoffwechsel bildlich darzustellen. In Regionen, von denen Anfälle ausgehen, zeigt sich zwischen den Anfällen oft ein verminderter Stoffwechsel. Wenn man in der Kernspintomographie keine eindeutige Läsion sieht, kann diese Untersuchung zusätzliche Informationen geben.

Dies ist ebenfalls eine funktionelle Untersuchung, ähnlich einer Szintigrafie, bei der eine schwach radioaktiv markierte Substanz in eine Vene gespritzt wird. Abgebildet wird hier aber die Durchblutung der verschiedenen Hirnregionen. Wenn die Injektion während eines Anfalls erfolgt ("iktale SPECT"), ist die Region, wo der Anfall stattfindet, stärker durchblutet; zwischen den Anfällen ("interiktale SPECT") dagegen weniger stark. Wenn man beide Untersuchungen am Computer übereinanderlegt und voneinander abzieht (subtrahiert), erhält man ein Differenzbild, das den Bereich des Gehirns abbildet, in dem der Anfall sich abspielt.

Bei dieser Untersuchung liegt der Patient in einer Röhre wie bei der "normalen" Kernspintomographie, muss dabei aber Sprach- oder Gedächtnisaufgaben bewältigen oder einzelne Gliedmaßen sanft bewegen. Die während der Durchführung der Aufgaben stärker durchbluteten Hirnregionen können so bildlich dargestellt werden. 

Benannt nach Juhn Wada, der diesen Test im Jahr 1949 erstmals beschrieben hat. Im Rahmen einer Angiographie der Hirngefäße wird eine Gehirnhälfte für eine kurze Zeit (3-6 Minuten) durch das Einspritzen eines kurz wirkenden Narkosemittels betäubt, während dessen wird die andere Gehirnhälfte hinsichtlich ihrer geistigen Funktionen überprüft. Es soll herausgefunden werden, welche der beiden Gehirnhälften für die Sprache, die Bewegung oder für spezielle Gedächtnisfunktionen zuständig ist. Dieser Test wird eingesetzt, wenn diese Fragen durch die funktionelle Kernspintomographie nicht eindeutig geklärt werden können.

Wenn eine Oberflächen-EEG-Ableitung keine eindeutigen Hinweise auf den Anfallsursprung geben kann, z.B. weil der Epilepsieherd tiefer im Gehirn sitzt, können vorübergehend eingepflanzte Elektroden hilfreich sein. Hierbei werden im Rahmen einer Operation entweder Elektroden nach Planung am Computer durch kleine Bohrlöcher in die Gehirnlappen hineingeschoben (Tiefenelektroden) oder aber in seltenen Fällen direkt auf die Gehirnoberfläche aufgelegt (Subduralelektroden) , um die elektrische Hirnaktivität während der anschließenden Video-EEG-Ableitung in der Epilepsie-Monitoringeinheit direkt messbar zu machen. Zusätzlich kann man durch elektrische Stimulation einzelner Elektrodenkontakte genau lokalisieren, wo wichtige Funktionen (z.B. Sprache, Motorik) im Gehirn lokalisiert sind, die bei einer Operation geschont werden müssen. Wenn alle erforderlichen Informationen vorliegen, können die Elektroden wieder entfernt werden.

Wie wird Epilepsie behandelt?

Nicht alle Epilepsieformen müssen notwendigerweise operativ behandelt werden. Beim ersten epileptischen Anfall genügt es zuweilen, bekannte Auslöser (wie laute Musik, Flackerlicht, Computerspiele) zu meiden und sich einen gesunden Lebensstil anzueignen. Bei einer strukturellen oder metabolischen Epilepsie wird zunächst die Grunderkrankung behandelt. Auch hier empfiehlt es sich, alle Faktoren zu meiden, die einen epileptischen Anfall begünstigen. Ein Großteil der Patienten (ca. zwei Drittel) erreicht Anfallsfreiheit unter Zuhilfenahme von Medikamenten. Dabei werden sogenannte Antiepileptika oder Anfallssuppressiva eingesetzt, die eine übermäßige Aktivität von Nervenzellen im Gehirn hemmen. Sie senken das Risiko für einen erneuten epileptischen Anfall und wirken daher nur symptomatisch, ohne die Ursache der Epilepsie zu heilen. Daher müssen sie oft über lange Zeiträume oder lebenslang eingenommen werden.

Bei Patienten, die mit Medikamenten nicht anfallsfrei werden, lohnt sich eine prächirurgische Abklärung, um herauszufinden, ob sie Kandidaten für einen epilepsiechirurgischen Eingriff sind. Abhängig von den Ergebnissen der prächirurgischen Epilepsiediagnostik kann eine speziell auf den betroffenen Patienten ausgerichtete Behandlungsstrategie festgelegt werden. Dazu gehören neben verschiedenen epilepsiechirurgien Eingriffsmethoden oder Kombinationen auch Stimulationsverfahren, bei denen bestimmte Strukturen im Gehirn oder solche, die dorthin führen (Vagusnerv), mit niedriger Stromstärke stimuliert werden. 

Indikationen für eine chirurgische Therapie


  • Therapie mit Medikamenten erfolglos. Die Epilepsiechirurgie wird vor allem angewendet, wenn eine medikamentöse antiepileptische Behandlung mit mindestens zwei Medikamenten ohne Erfolg durchgeführt wurde oder die aufgetretenen Nebenwirkungen nicht tolerierbar sind. In diesem Fall spricht man von einer Pharmakoresistenz.
  • Eindeutig abgrenzbarer Anfallsursprung. Bedingung für einen erfolgversprechenden resektiven Eingriff ist die genaue Eingrenzung der Gehirnregion, in der die Anfälle entstehen.
  • Eine Gehirnläsion, die chirurgisch entfernt werden kann. Besonders wenn die Anfälle von einer umschriebenen Läsion (z.B. Tumor, Vernarbung, Fehlbildung) ausgehen, die chirurgisch gut entfernt werden kann, besteht eine hohe Chance auf Anfallsfreiheit.
  • Früh eingreifen. Auch bei Kindern können epilepsiechirurgische Eingriffe erfolgreich vorgenommen werden. Frühzeitige Behandlung kann sowohl die geistige als auch die psychosoziale Entwicklung entscheidend begünstigen.
Folgende Veränderungen oder Erkrankungen des Gehirns werden häufig und mit gutem Erfolg (70-80% Anfallsfreiheit) epilepsiechirurgisch behandelt:

Tumoren

Hippocampussklerose

Fokale
cortikale Dysplasie

Umschriebene Fehlbildungen der Hirnrinde


Operative Behandlung der Epilepsie

Vor der Operation findet eine Aufklärung der Patienten über die Erfolgschancen, möglichen Risiken und Komplikationen des chirurgischen Eingriffs statt. Meist erfolgt die Operation in Vollnarkose und kann bis zu einigen Stunden dauern. Wenn es erforderlich ist, den Erhalt wichtiger geistiger Funktionen während der Operation zu überprüfen, kann die Operation auch im Wachzustand durchgeführt werden. Solch eine Wach-Operation ist für den Patienten zwar anstrengend, aber nicht schmerzhaft, weil das Gehirn nicht schmerzempfindlich ist.

Folgende Eingriffsmethoden oder Kombinationen mehrerer Verfahren kommen je nach Einzelfall in Betracht:

Bedingung für solche Eingriffe ist die möglichst genaue Eingrenzung des epileptischen Herdes, die dann über die folgenden Eingriffsmöglichkeiten entscheidet. Ziel des Eingriffs ist Anfallsfreiheit, d.h. die Heilung der Epilepsie. 

  • Entfernung einer Läsion (z.B. eines Tumors) einschließlich des direkt benachbarten Hirngewebes, aus dem Anfälle entspringen können ("erweiterte Läsionektomie")
  • Entfernung des vorderen Teils eines Schläfenlappens ("2/3-Temporallappenresektion")
  • Gezielte Entfernung tiefer liegender Gehirnstrukturen ("Seepferdchen" und "Mandelkern") im Schläfenlappen ("selektive Amygdalo–Hippokampektomie“)
  • Maßgeschneiderte Entfernung einer bestimmten erkrankten Hirnregion, in der durch die EEG-Ableitung der Anfallsursprung nachgewiesen wurde ("Topektomie“)
  • Entfernung eines Gehirnlappens bzw. eines Teils davon ("Lobektomie“)
  • Abtrennung der anfallserzeugenden Hirnhälfte ("funktionelle Hemisphärektomie“ oder "Hemisphärotomie")

In Fällen, bei denen die anfallserzeugenden Gehirnregionen wichtige Funktionen (Sprache, Bewegung) erfüllen müssen und nicht entfernt werden können, kommen auch folgende Eingriffsmöglichkeiten in Betracht. Hierdurch wird nur selten Anfallsfreiheit erzielt, es kann aber eine Besserung der Anfallssituation bewirkt werden.

  • Durchtrennung der Faserbahnen, entlang derer sich die Anfälle an der Oberfläche des Gehirns ausbreiten, durch mehrere parallele Einschnitte in die Hirnrinde („Multiple Subpiale Transsektionen“)
  • Durchtrennung des „Balkens“, der beide Gehirnhälften verbindet („Callosotomie“)


Stimulationsverfahren

Darüber hinaus gibt es für Patienten, denen sonst kein Operationsverfahren zur Verfügung steht, noch die Möglichkeit der Hirnstimulation. Auch hierdurch wird nur selten Anfallsfreiheit erzielt, es kann aber eine Besserung der Anfallssituation bewirkt werden.

Bei allen Stimulationsverfahren soll durch die elektrische Reizung spezieller Hirnstrukturen die Erregbarkeit des Gehirns reduziert oder die Ausbreitung von Anfällen verhindert werden. Hierzu werden Elektroden im Rahmen einer Operation im Zielgebiet platziert und über ein unter der Haut verlegtes Verlängerungskabel mit einem batteriebetriebenen Stimulator verbunden, der zumeist unterhalb des Schlüsselbeins unter dem Brustmuskel eingepflanzt wird und in festgelegten Abständen elektrische Impulse abgibt. Die Einstellung der Stimulationsparameter (Stärke, Häufigkeit und Dauer der Impulse) erfolgt drahtlos von außen über ein externes Programmiergerät.

Aktuell sind in Deutschland zwei Stimulationsverfahren zur Epilepsiebehandlung zugelassen:

Bei der VNS wird eine spiralförmige Stimulationselektrode im Halsbereich am linksseitigen 10. Hirnnerven (N. vagus) angebracht. Die VNS ist in Deutschland seit 1995 als Zusatztherapie zur Behandlung von Kindern und Erwachsenen mit fokalen und generalisierten medikamentenresistenten Epilepsien zugelassen.

Bei der THS werden in der Regel zwei (beidseitige Stimulation) Elektroden symmetrisch stereotaktisch in tiefe Hirnkerne platziert. Die beidseitige Stimulation der Nuclei anteriores des Thalamus (ANT) ist in Deutschland seit August 2010 als Zusatztherapie zur Behandlung von Erwachsenen mit fokalen, medikamentenresistenten Epilepsien mit oder ohne sekundäre Generalisierung zugelassen. Andere Zielgebiete können im Rahmen einer Studie oder eines individuellen Heilversuchs implantiert werden.

Ihre Behandlung an der Universitätsklinik für Neurochirurgie Tübingen

Portraitfoto

Wir begleiten Sie mit unserer Expertise

Unter ständiger Expansion gehören wir mit weit über 3000 operativen Eingriffen pro Jahr zu den größten Kliniken Deutschlands. In fünf Operationssälen mit modernster technologischer Ausstattung, werden alle Eingriffe von einem erfahrenen Team durchgeführt. In unseren Spezialsprechstunden finden Sie kompetente Ansprechpersonen für Therapie und Nachsorge.

Univ. Prof. Dr. Marcos Tatagiba,
Ärztlicher Direktor der Klinik für Neurochirurgie

Schwerpunkt Epilepsiechirurgie mit Spezialsprechstunde

Bei Patienten, die mit Medikamenten nicht anfallsfrei werden, lohnt sich eine prächirurgische Abklärung, um herauszufinden, ob sie Kandidaten für einen epilepsie-chirurgischen Eingriff sind. Auch bei Kindern können epilepsiechirurgische Eingriffe
erfolgreich vorgenommen werden.

Mehr zum Schwerpunkt Epilepsiechirurgie

Spezielle Therapieoptionen für Kinder

Da Kinder in ihren Erkrankungen besonders sind, bedürfen sie einer sehr spezifischen Therapie. Deshalb wird heutzutage die neurochirurgische Behandlung von auf Kindern spezialisierten Neurochirurgen vorgenommen. Unsere Sektion Pädiatrische Neurochirurgie bietet in enger Kooperation mit der Universitätsklinik für Kinder- und Jugendmedizin speziell auf Kinder zugeschnittene Therapieoptionen. 

Mehr zur Pädiatrischen Neurochirurgie