Im Bereich MR-Forschung der Abteilung für Diagnostische und Interventionelle Neuroradiologie werden Forschungsprojekte mit den Methoden der Magnetresonanzbildgebung (Magnetresonanztomographie, MRT) und Magnetresonanzspektroskopie (MRS) bearbeitet.
Bereich MR-Forschung
Leitung und Kontakt

Forschungsprojekte und Themengebiet
MR-Angiographie
Der ständige Einstrom des Blutes in ein ausgewähltes Volumen oder die zeitweise Beschränkung der Ausbreitung von intravenös gegebenen Kontrastmittel auf die Gefäße kann bei einer geeigneten Wahl der Messsequenzen dazu benutzt werden, Darstellungen von Gefäßen in dem Volumen zu erzeugen. Dabei macht es die Fülle von arteriellen und venösen Gefäßen häufig erforderlich, eine Auswahl bei dieser Darstellung zu treffen, weil sich sonst einzelne kleine Gefäße häufig nicht mehr identifizieren lassen. Die Realisierung einer solchen Auswahl ist abhängig von der Wahl der verwendeten Messtechnik. Bei der Time-of-Flight-Angiographie. die auf dem Einstrom von ungesättigtem Blut in die angeregte Schicht beruht, kann die unterschiedliche Richtung der Flussgeschwindigkeit für eine selektive Sättigung benutzt werden. Wenn der Kontrast in den Gefäßen durch die Gabe von Kontrastmitel produziert wird, kann der zeitliche Verlauf der Kontrastmittelverteilung in den Gefäßen für eine Separierung herangezogen werden.

In einem aktuellen Forschungprojekt soll die Qualität von MR-Angiographien in spezifischen klinischen Fragestellungen durch eine Optimierung von Messparametern und Auswerteverfahren verbessert werden.
Funktionelle Bildgebung des auditorischen Systems
Als funktionelle Bildgebung können in der MR-Tomographie grundsätzlich alle Verfahren bezeichnet werden, die es erlauben, einzelne Funktionen des menschlichen Körpers in besonderen Parameterbildern darzustellen. Im engeren Sinne werden unter funktioneller Bildgebung ( engl functional magnetic resonance imaging, fMRI) aber meistens Verfahren zur Visualisierung von Gehirnfunktionen verstanden. Bei dieser Methode werden Echo-Planar-Bildgebungs-Sequenzen eingesetzt, um geringe Signaländerungen im Hirngewebe infolge von Durchblutungsänderungen nachzuweisen. Durch die geeignete Wahl von Stimulationen während der Messung der Versuchspersonen oder der Patienten können durch dieses Verfahren die Aktivierungszentren unterschiedlicher Hirnfunktionen untersucht werden.
Bei der Stimulation mit akustischen Reizen während der Messung kann durch die funktionelle Bildgebung die Lage des akustischen Kortex dargestellt werden. Dabei kann gezeigt werden, dass die Lage der Aktivierungszentren von der Art des Stimulus (Frequenz, Lautstärke usw.) abhängt. Weitere Einflussgrößen können durch geeignete Wahl der Experimente untersucht werden. Zusätzlich zum auditorischen Kortex können auch weitere Aktivierungszentren des auditorischen Systems z.B. im Hirnstamm durch fMRI-Messungen nachgewiesen werden. Dabei ist sowohl die räumliche Verteilung der Aktivierungszentren als auch der zeitliche Verlauf des Signals in den Aktivierungszentren von Interesse.
In den aktuellen Forschungsprojekten werden die Detektion der Aktivierungszentren im auditorischen Kortex und im Hirnstamm optimiert.
Diffusion
Durch die Verwendung von zusätzlichen Feldgradienten, die zu einer Signalabschwächung führen, wenn eine Beweglichkeit der beobachteten Wasserstoffkernen in der Raumrichting dieser Gradienten vorhanden ist, konnte ein ganz neues Anwendungsgebiet in der MR.-Bildgebung erschlossen werden. Neben dem frühen Nachweis von Zellschwellungen nach einem Infarkt, der dadurch möglich wurde, wurde es möglich, den Verlauf von Faserbahnen im Gehirn zu rekonstruieren und die Unterschiede in der Hauptfaserrichtung für eine Differenzierung von Geweben in Parameterbildern zu verwenden, die in anderen MR-Bildern homogen erscheinen.
In aktuellen Forschungsprojekten werden die Möglichkeiten zur Berücksichtigung von unterschiedlichen Faserrichtungen in einzelnen Bildpunkten bei der Rekonstruktion von Faserbahnen im Gehirn untersucht und ein Segmentierungsverfahren auf der Grundlage von Diffusionsrichtungen optimiert.
Quantitative MR-Bildgebung
Die Beurteilung von MR-Bildern erfolgt in den meisten Fällen auf einzelnen MR-Daten, die als zweidimensionale Schichtbilder oder als dreidimensionale Volumendatensätze vorliegen. Zusätzliche verwertbare Informationen lassen sich erhalten, wenn der gleiche Volumenbereich mehrfach mit veränderten Messparametern oder wenn eine Zeitserie von Bildern bei einer veränderten Messbedingung aufgenommen wird. In diesen Fällen können zusätzliche Parameterbilder berechnet werden, deren Helligkeitswerten quantitative Werte eines bestimmten physikalischen Parameters zugeordnet werden kann.
Wenn für eine solche Zeitserie von MR-Daten Echoplanar-Bildgebungssequenzen verwendet werden und sich in dieser Zeit ein äußerer Stimulus (z. B. durch einen akustischen Reiz) ändert, kann man Aktivierungszentren des Gehirns darstellen (funktionelle Bildgebung). Wenn während eine Folge von den gleichen Echoplanar-Bildgebungssequenzen ein paramagnetisches Kontrastmittel gegeben wird, kann man den Zeitverlauf der Kontrastmittelwirkung im Gehirn verfolgen. Solche Daten erlauben es, die Durchblutung (Perfusion) des Gehirns zu beurteilen.

Die Analyse von schnell aufeinanderfolgenden Bildserien ermöglicht es auch, zeitliche Vorgänge im Gehirn wie die Pulsation der Hirnflüssigkeit in den Ventrikeln in Abhängigkeit vom Pulsschlag und der Atmung zu untersuchen.
Wenn die äußeren Bedingungen sich nicht ändern, aber in Gradientenechosequenzen bei wiederholten Messungen die Echozeit geändert wird, kann der Abfall des Signals mit der Echozeit genauer untersucht werden. Dabei können Signalbeiträge unterschiedlicher Bestandteile des Gehirns wie z.B. des Hirngewebes und der umgebenden Flüssigkeit differenziert werden. Diese Information kann z.B. bei Patienten mit Hydrozephalus oder nach einem Schlaganfall diagnostische Bedeutung bekommen. Alle diese genannten Verfahren erfordern für jede Anwendung die Entwicklung spezieller Programme für die automatische Auswertung von großen Datenmengen.
In einem aktuellen Forschungsprojekt werden unterschiedliche Kompartimente in der grauen und der weißen Hirnsubstanz durch die Analyse des Signalabfalls in Gradientenecho-EPI-Sequenzen quantifiziert. Dabei muss beachtetet werden, dass der Signalabfall in der weißen Substanz auch von der Richtung der Faserbahnen in bezug auf die Richtung des statischen Magnetfeld abhängt. Dieser Effekt wurde in einer eigenen Arbeit untersucht. Eine Verbesserung bei der Segmentierung des MR-Signals in unterschiedliche Bestandteile kann durch die Verwendung von zwei Inversionspulsen erreicht werden.
Protonenspektroskopie des Gehirns
Die meisten Bildgebungstechniken in der Magnetresonanztomographie beruhen auf den Signalen, die von den Wasserstoffkernen des Wassers innerhalb des menschlichen Körpers ausgehen. Daneben lassen sich in der MR-Protonenspektroskopie aber auch Signale von Wasserstoffkernen untersuchen, die in anderen Molekülen gebunden sind. Diese Signale sind viel kleiner, und deshalb ist die Detektion und Auswertung dieser Signale mit größeren Schwierigkeiten verbunden. Die Darstellung der Ergebnisse erfolgt in Form von Spektren mit Signalen unterschiedlicher Metaboliten an einem ausgewählten Ort oder in Form von Parameterbildern, die die Signalbeiträge einzelner Metaboliten in ausgewählten Schichten zeigen.
Spektroskopische Untersuchungen des Gehirns können zusätzliche diagnostische Informationen für die Beurteilung von pathologischen Veränderungen des Gehirns liefern, so z.B. zur Charakterisierung von Hirntumoren oder von Läsionen bei Patienten mit multipler Sklerose (Abb. 1).
In einem aktuellen Forschungsprojekt wird untersucht, ob Spektren mit hoher Qualität sich auch beim Verzicht auf die bisher übliche Sättigung des Wassersignals erreichen lassen. Ein solches Vorgehen, eröffnet die Möglichkeit, das Wassersignal zur Quantifizierung heranzuziehen oder strukturspezifische Änderungen in der chemischen Verschiebung der Metaboliten in Bezug auf die Resonanzfrequenz des Wassersignals zu untersuchen.
Optimierung des Gewebekontrasts in der MR-Bildgebung
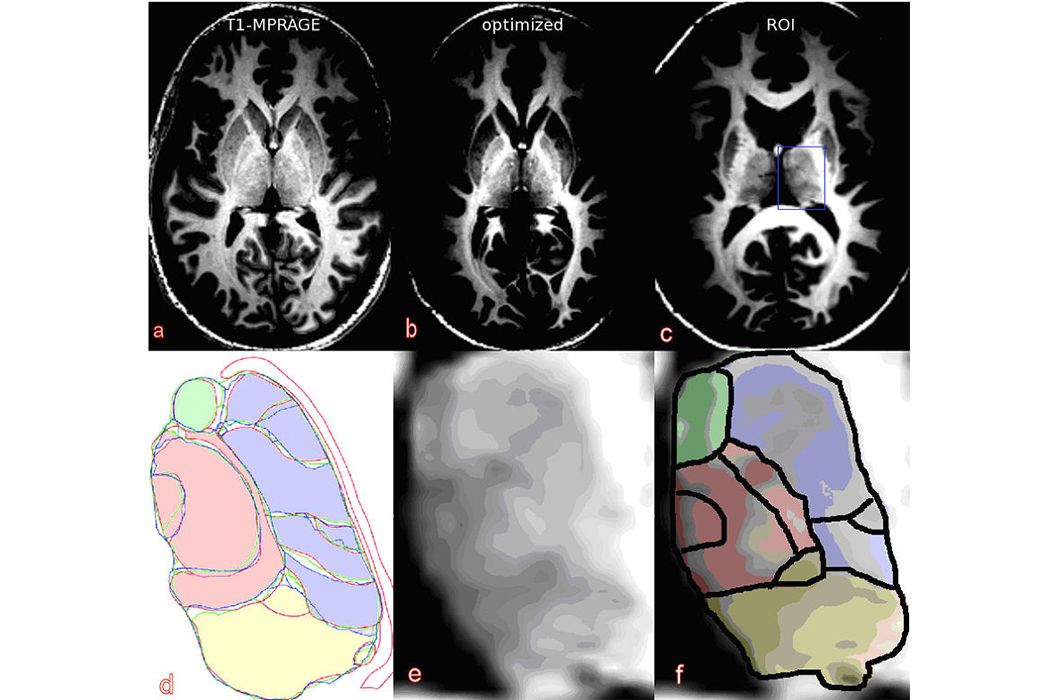
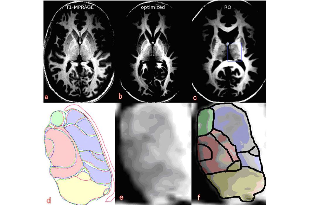
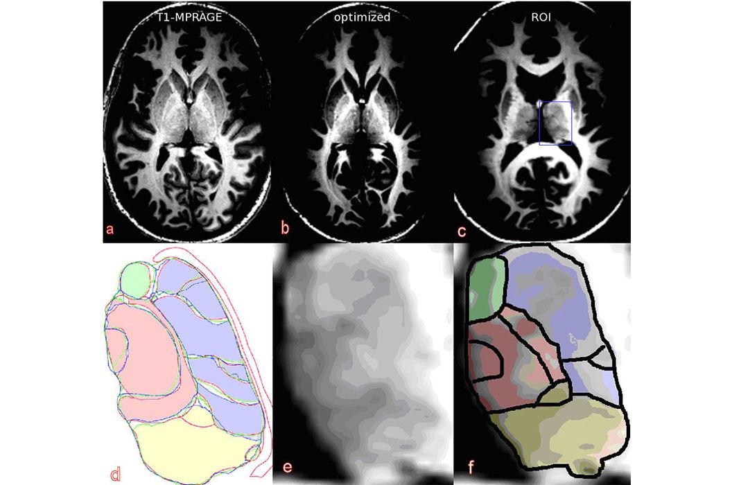
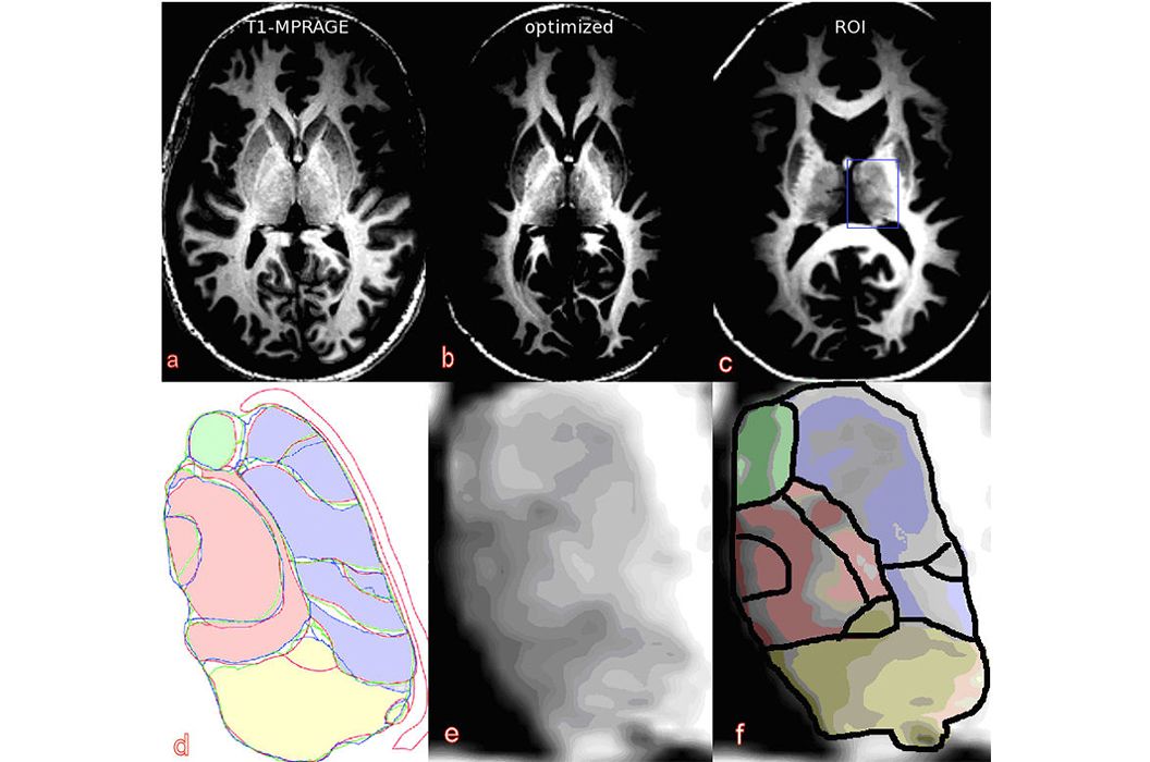
Die große Bedeutung der MR-Bildgebung für die radiologische Diagnostik beruht auf der sehr großen Variabilität des Kontrasts zwischen unterschiedlichen Geweben, der durch die Wahl der verwendeten Messsequenz bestimmt wird. Eine diagnostische Routineuntersuchung mit einem MR-Tomographen wird deshalb in den meisten Fällen mehrere Messsequenzen mit unterschiedlichen Signaleigenschaften enthalten. Dennoch können manche Strukturen im Körper nicht so differenziert abgebildet werden, wie es wünschenswert wäre. Eine dieser Strukturen ist der Thalamus.
Der Thalamus spielt eine wichtige Rolle als Zwischenstation von Afferenzen und Efferenzen der Großhirnrinde. Insbesondere bei Dystonien (Bewegungsstörungen) und dem Morbus Parkinson besteht die Möglichkeit, mittels Tiefenhirnstimulation in spezifischen Thalamuskernen eine Symptomverbesserung zu erreichen. Dabei werden auf diese Kerne elektrische Impulse über eine implantierte Elektrode übertragen. Um eine solche Elektrode richtig positionieren zu können, wird eine Bildgebungstechnik benötigt, die die Lage der Thalamuskerne zeigen kann.
Auf normalen anatomischen MR-Aufnahmen unterscheiden sich die Thalamuskerngebiete in ihrer Signalintensität jedoch zu gering, um sie identifizieren zu können. Das Ziel aktueller Forschungsarbeiten ist die Entwicklung von Messtechniken, die die Subeinheiten des Thalamus erkennbar werden lassen. Dabei werden besonders diffusionsgewichtete Sequenzen oder kontrastoptimierte 3D-Sequenzen untersucht.
Mögliches Promotionsthema: Markierung von Thalamussubgebieten in dreidimensionalen Datensätzen von gesunden Probanden und von Patienten und der Vergleich der Ergebnisse mit digital verfügbaren Informationen aus Anatomie-Atlanten.
Events
Workshop on the impact of proton spectroscopy in neuroradiological MR examinations Tübingen
February 15 – 16th, 2020
In this workshop, several specialists of spectroscopic measurements in neuroradiological applications will share their experiences and approaches to this technique. The workshop focuses on the most common applications. In addition, there will be several reports on current research projects using proton spectroscopy in neuroradiological topics. Researcher with own results in the field of proton spectroscopy in neuroradiological applications are invited to participate with an own contribution.
Please contact:
Prof. Dr. Uwe Klose
Zertifikate und Verbände

Focus: Top Nationales Krankenhaus 2025

Stern: Deutschlands Ausgezeichnete Arbeitgeber Pflege 24/25

Qualitätspartnerschaft mit der PKV

Erfolgsfaktor Familie

Die Altersvorsorge für den Öffentlichen Dienst