Über uns
Die Abteilung Neuroradiologie ist für die bildgebende Diagnostik und minimal-invasive Therapie bei Erkrankungen des Schädels und des Gehirns, der Wirbelsäule und des Rückenmarks zuständig. Die Ausstattung umfasst die modernsten Geräte der Computertomographie (CT), Magnetresonanztomographie (MRT) und Angiographie. Zudem verfügen wir über eine besondere Expertise in der onkologischen Diagnostik mittels MRT- und PET/MRT-Hybridbildgebung.
In der neuroradiologischen Therapie sind wir auf die interventionelle Behandlung von Patienten mit Aneurysmen und Gefäßmissbildungen, die Therapie von Verschlüssen und Verengungen der hirnversorgenden Arterien sowie die Betreuung von Patienten mit vaskulären Anomalien im Kopf-Hals-Bereich spezialisiert. In all diesen Bereichen erfolgt die Betreuung unserer Patienten in enger Zusammenarbeit mit den bettenführenden Abteilungen des Universitätsklinikums Tübingen.
Kontakt
Sekretariat
Petra Braun
Chef-Sekretärin
Telefonnummer: 07071 29-86024
Faxnummer: 07071 29-5638
E-Mail-Adresse: petra.braun@med.uni-tuebingen.de
Carmen Sánchez Aue
Oberarzt-Sekretärin
Telefonnummer: 07071 29-80538
Faxnummer: 07071-29-5638
E-Mail-Adresse: carmen.sanchez-aue@med.uni-tuebingen.de
Petra Assogba
Telefonnummer: 07071 29-80538
Faxnummer: 07071-29-5638
Anmeldung und Terminvergabe
| Chefsekretariat |
Bild-/Befundanforderung
Wir bitten darum CDs/DVDs, Bilder oder Befunde ausschließlich per Fax-Formular anzufordern:
07071 29-4548
Alles beginnt im Kopf
Spezialisten für Köpfe gesucht
Jede Idee, jede Bewegung, jeder Schmerz beginnt im Kopf. – Auch Ihre neue Stelle bei uns? Wir sind auf der Suche nach Verstärkung. Kommen Sie jetzt ins Team der Neuroradiologie und bewerben Sie sich als Medizinisch Technische Assistentin oder Medizinisch Technischer Assistent.
Zu den offenen StellenVersorgungsschwerpunkte
In unserer Abteilung kommen modernste Verfahren zur Diagnostik und Steuerung minimal-invasiver Therapieverfahren zum Einsatz.
Computertomographie (CT)
Die Computertomographie (CT) ist ein schnelles Untersuchungsverfahren, bei dem Röntgenstrahlung angewendet wird. Sie eignet sich u.a. zur Darstellung des Gehirns, der Wirbelsäule und – bei Einsatz von Kontrastmitteln – zur Abbildung der Halsgefäße. Daneben ist die CT auch zur Planung und Steuerung moderner Schmerztherapieverfahren im Bereich der Wirbelsäule und der Nervenwurzeln geeignet. Auch diese werden in unserer Abteilung angeboten und regelmäßig durchgeführt.
Terminanfrage CT:
Ansprechpartner CT:
Dr. med. Till-Karsten Hauser
Magnetresonanztomographie (MRT)
Die Magnetresonanztomographie (MRT) ist ein bildgebendes Verfahren, das ohne Röntgenstrahlung auskommt und die hochaufgelöste Darstellung des Gehirns, der Wirbelsäule und von Weichteilstrukturen ermöglicht. Zusätzlich können hiermit bestimmte Hirnfunktionen mittels der so genannten funktionellen MRT (fMRT) sichtbar gemacht werden. Zudem verfügt das Universitätsklinikum Tübingen über Europas ersten, beweglichen, im OP-Saal installierten Magnetresonanztomographen, der in enger Kooperation mit der Klinik für Neurochirurgie betrieben wird. Durch diese Technik können unmittelbar während einer Hirnoperation MRT-Bilder erstellt werden.
Besondere Schwerpunkte stellen die onkologische und Hybrid-Bildgebung, die funktionelle MRT und die quantitative Bildgebung dar.
Terminanfrage MRT:
Terminanfrage Privatpatienten:
Onkologische Bildgebung & Hybridbildgebung
Die neuroradiologische, onkologische Bildgebung umfasst die Darstellung und Verlaufsbeurteilung bei Tumorerkrankungen des Gehirns, des Nervensystems und der Wirbelsäule. Hierfür kommen, je nach Tumorart, verschiedene Bildgebungstechniken in Kombination zum Einsatz. Einen besonderen Schwerpunkt stellt die PET/MRT-Bildgebung dar. Dabei handelt es sich um eine Kombination aus Magnetresonanztomographie (MRT) und Positronen-Emissions-Tomographie (PET), mit der Tumorerkrankungen umfassend diagnostiziert und hinsichtlich des Ansprechens auf eine Therapie bewertet werden können. Das Universitätsklinikum Tübingen verfügt über ein integriertes Ganzkörper-PET/MRT-System, das von den klinischen Abteilungen der Radiologischen Klinik gemeinsam betreut wird.
Terminanfrage PET/MRT:
Ansprechpartner PET/MRT:
Dr. med. Benjamin Bender
Funktionelle MRT-Bildgebung (fMRT)
Die funktionelle Magnetresonanztomographie (fMRT) ist ein modernes Verfahren, bei dem die Gehirnaktivität und bestimmte Funktionen des Gehirns, zum Beispiel Sprache oder Bewegungssteuerung, dargestellt und räumlich zugeordnet werden können. Dies spielt eine besonders wichtige Rolle bei der Versorgung von Patienten/innen mit Epilepsie oder zur OP-Planung bei Tumorerkrankungen des Gehirns.
Terminanfrage fMRT:
Ansprechpartnerin fMRT:
Dr. med. Marion Batra
Quantitative Bildgebung
Zunehmend spielen quantitative Verfahren eine wichtige Rolle in der Diagnose von neurologischen Krankheitsbildern. Hierzu gehören unter anderem die Bestimmung von regionalen Perfusionsmustern mittels MRT oder CT, die quantitative Beurteilung von Faserbahnen und volumetrische Verfahren im MRT.
Ansprechpartner :
Dr. med. Tobias Lindig
Angiographie
In der neuroradiologischen, interventionellen Therapie sind wir besonders auf die Behandlung von Patienten mit Aneurysmen und anderen Gefäßfehlbildungen durch verschiedene Embolisations-Techniken und durch Einsatz von Stents und Flow-diverter-Stents spezialisiert. Darüber hinaus behandeln wir Patienten mit Einengungen oder Verschlüssen hirnversorgender Arterien in Zusammenarbeit mit den klinischen Partnern im Zentrum für Neurovaskuläre Erkrankungen (ZNET) sowie im Gefäßzentrum. Patienten mit vaskulären Anomalien werden interdisziplinär in unserem Zentrum für Vaskuläre Anomalien beraten und betreut.
Terminanfrage Angiographie:
Ansprechpartner Angiographie:
Dr. med. Florian Hennersdorf
Angiographie: Rekanalisierende Verfahren
Rekanalisierende Verfahren (Wiedereröffnung von Blutgefäßen)
Mit den modernen Verfahren zur Wiedereröffnung von verschlossenen Blutgefäßen können wir Patienten mit Schlaganfall in vielen Fällen helfen. Das folgende Beispiel zeigt die angiographischen Bilder eines Patienten, der mit vollständiger Lähmung der rechten Körperhälfte und einer schweren Sprachstörung eingeliefert wurde. Ursächlich zeigte sich ein Verschluss der linken Halsschlagader, vermutlich auf dem Boden einer arteriosklerotischen Einengung (Bild 1). Das Gefäß wurde daraufhin mit einem Stent wiedereröffnet (Bild 2). Zusätzlich zeigte sich ein Verschluss der Endstrecke des Gefäßes durch Blutgerinnsel (Bild 3). Diese konnten vollständig entfernt werden (Bild 4). Der Patient erholte sich nach der Behandlung innerhalb weniger Tage vollständig.
Angiographie: Behandlung von Aneurysmen
Behandlung von Aneurysmen
Aneurysmen an der Gefäßen des Gehirns können in vielen Fällen minimalinvasiv durch einen Zugang durch das Gefäßsystem, zumeist von der Leiste aus behandelt werden (sog. Endovaskuläre Therapie). Dabei gibt es z.B. die Möglichkeit ein Aneurysma durch Einbringung von Platinspiralen zu verschließen (sog. Coiling). Auch für komplexe Aneurysmen stehen inzwischen verschiedene endovaskuläre Methoden zur Verfügung.
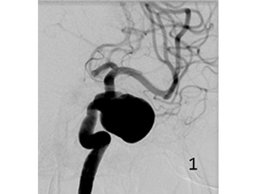
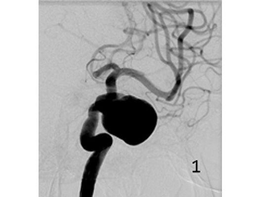
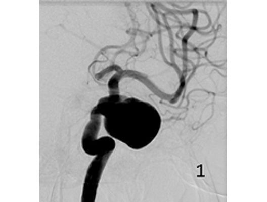
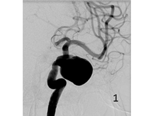
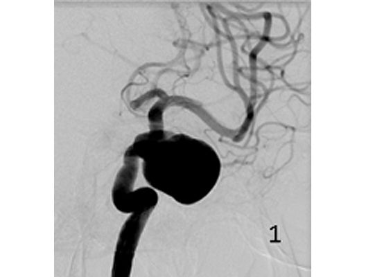
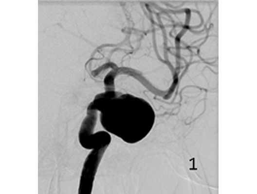
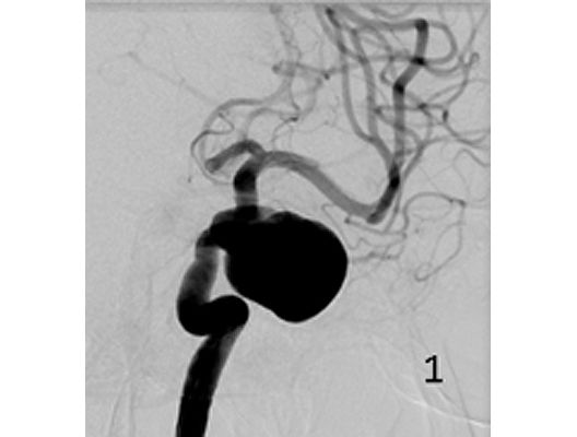
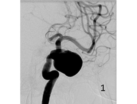
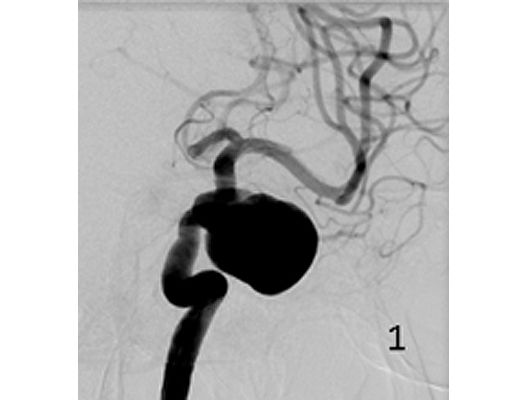
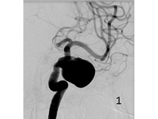
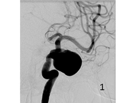
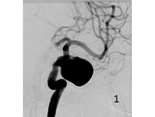
Das Beispiel zeigt die angiographischen Bilder einer Patientin, bei der es zu einer Sehstörung gekommen war. Die Ursache war ein großes Aneurysma der Halsschlagader an der Schädelbasis (Bild 1). Bild 2 zeigt die Lage des Aneurysmas hinter dem Auge. Durch den Druck des Aneurysmas auf den Sehnerv war es zu der Sehstörung gekommen. Die Patientin wurde mit einer speziellen Gefäßprothese versorgt, welche über eine Punktion der Leistenarterie in die Halsschlagader eingesetzt wurde (Bild 3). Bei der Kontrolle nach 6 Monaten zeigte sich ein vollständiger Verschluss des Aneurysmas (Bild 4). Die Sehstörung hatte sich vollständig zurückgebildet.
Kooperationspartner / Zentren
Selbsthilfegruppen
Sollten Sie oder ein/e Verwandte/r bzw. Bekannte/r von einer neurologischen Erkrankung betroffen sein, finden Sie hier die Kontaktdaten von entsprechenden Selbsthilfegruppen und Vereine, die Ihnen gegebenenfalls weiterhelfen können.
Zertifikate
DeGIR / DGNR-Zentrum
für neurovaskuläre Therapie
Zertifikat der Teilnahme am DEGIR-Qualitätssicherungsprogramm
Mehr erfahren
Zertifikat der Qualifizierung zum Ausbildungszentrum
Mehr erfahren
Zertifikat der Qualifizierung zur Ausbildungsstätte
Mehr erfahren
Zertifikate und Verbände
Focus: Top Nationales Krankenhaus 2025
Stern: Deutschlands Ausgezeichnete Arbeitgeber Pflege 24/25
Qualitätspartnerschaft mit der PKV
Erfolgsfaktor Familie
Die Altersvorsorge für den Öffentlichen Dienst