Forschung
Neben der Weiterentwicklung der methodischen Grundlagen der neuroradiologischen und insbesondere der funktionellen MRT-Diagnostik beziehen sich unsere Forschungsschwerpunkte auf die Anwendung moderner radiologischer Verfahren in den Bereichen der Neuroonkologie, neurovaskulärer, inflammatorischer und neurodegenerativer Erkrankungen und der Epilepsiediagnostik. Darüber hinaus sind wir als Zentrum für vaskuläre Anomalien ausgewiesen.
Forschungsschwerpunkte
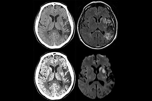
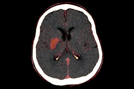
Computertomographie
- Dosis- und Artefaktreduktion
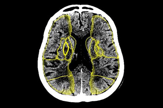
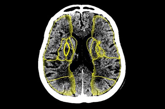
- CT-Bildnachverarbeitung
- Quantitative und automatisierte CT-Bildanalyse
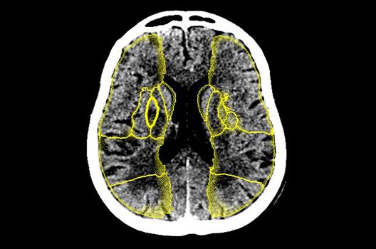
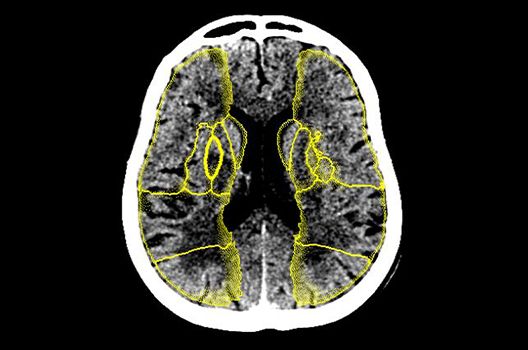
Die Schwerpunkte in der CT-Forschung liegen in der Bildnachverarbeitung, der Dosis- und Artefaktreduktion sowie der quantitativen und automatisierten CT-Bildanalyse.
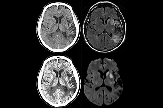
Die Computertomographie (CT) ist ein Verfahren, bei der mit Hilfe von Röntgenstrahlung Schnittbilder des Körperinneren angefertigt werden. Unser Bestreben ist es hierbei, bei möglichst niedriger Strahlendosis eine bestmögliche Bildqualität zu erzielen. Eine zunehmend große Rolle in der radiologischen Forschung spielen zudem die Automatisierung in der Bildanalyse und die computergestützte Auswertung großer Datenmengen, wie sie bei einer CT-Untersuchung anfallen. Wir arbeiten in enger Kooperation mit den Geräteherstellern zusammen und sind daher maßgeblich an der Entwicklung und Erprobung neuer Techniken beteiligt.
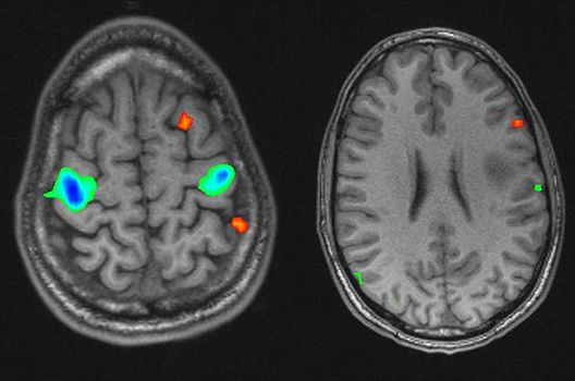
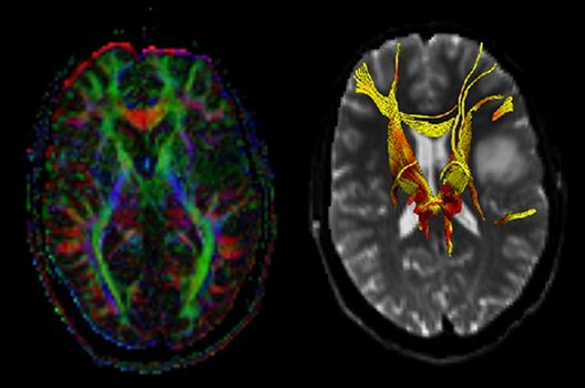
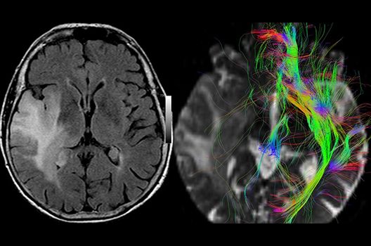
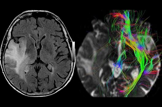
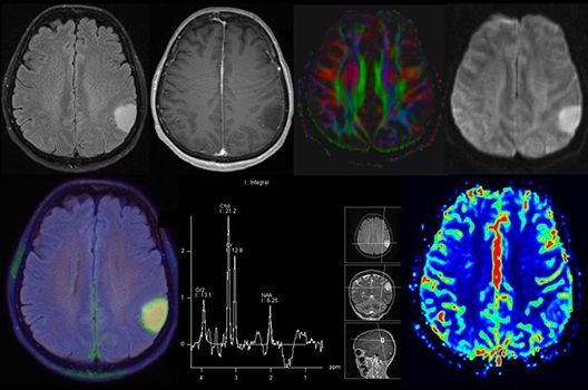
Magnetresonanztomographie
- Hochaufgelöste MR-Bildgebung (HR-MRT)
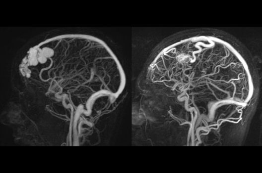
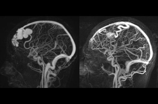
- Arterielle und venöse Angio-MRT
- MR-Protonenspektroskopie
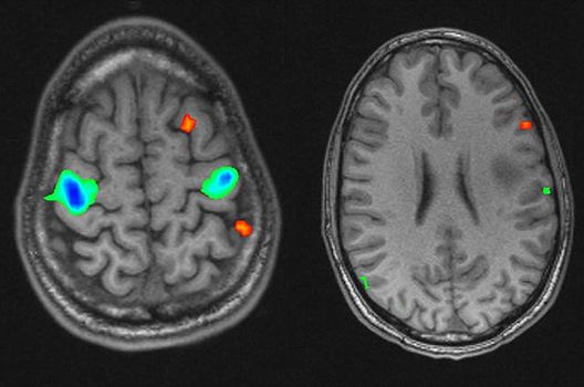
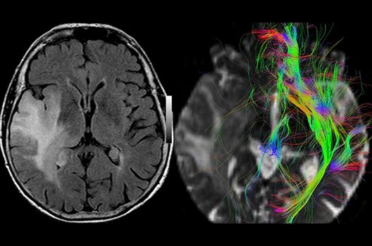
- Funktionelle Bildgebung des Gehirns (fMRT)
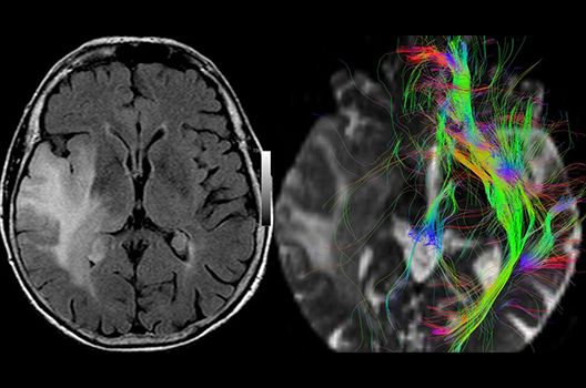
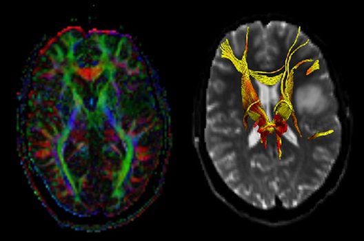
- MR-Diffusionstensorbildgebung (Faserbahndarstellung/fiber tracking)
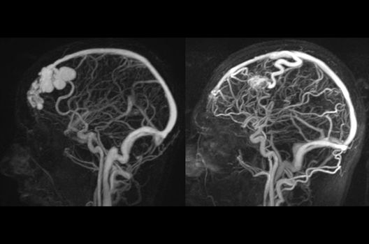
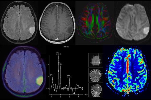
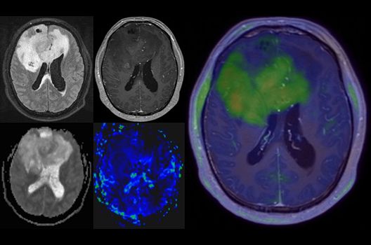
Die Schwerpunkte in der MR-Forschung liegen in der multiparametrischen und funktionellen Bildgebung bei onkologischen und anderen, neuroradiologischen Fragestellungen und umfassen die Anwendung modernster MR-Verfahren sowie die Untersuchung an Hochfeld-Geräten.
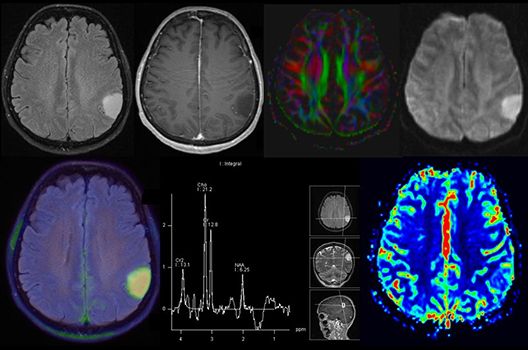
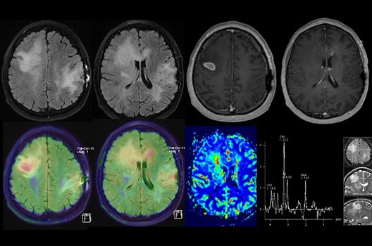
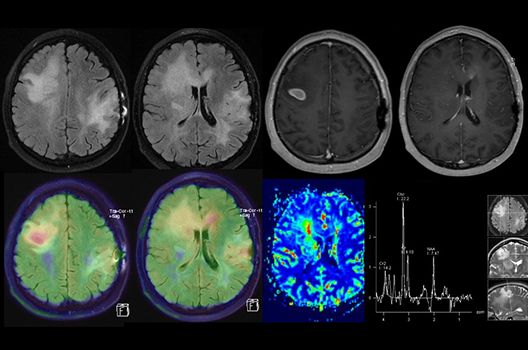
Die Magnetresonanztomographie (MRT) ist ein Verfahren, bei dem durch magnetische Kräfte Bilder des Körperinneren angefertigt werden. In der Neuroradiologie können manchmal kleinste Veränderungen schwere Folgen haben; daher forschen wir an der Entwicklung hochauflösender MRT-Sequenzen, mit denen diese Prozesse und auch einzelne Nervenfaserbahnen sichtbar gemacht werden können. Darüber hinaus sind bei vielen Erkrankungen des Gehirns die Blutgefäße betroffen. Daher arbeiten wir an der Neu- und Weiterentwicklung von MRT-Sequenzen zur Darstellung der Blutgefäße und zur Blutflussanalyse (sog. „Angio-MRT“). Einen besonderen Forschungsschwerpunkt unserer Klinik stellen die MR-Protonenspektroskopie und die funktionelle MRT dar, mit denen die Analyse einzelner chemischer Substanzen im Hirngewebe oder die Darstellung ausgewählter Hirnfunktionen möglich ist.
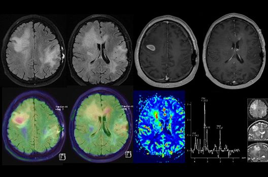
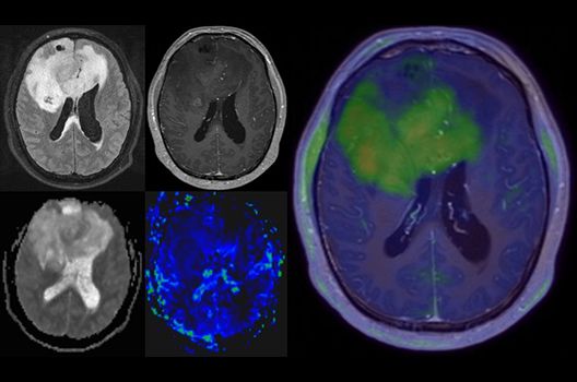
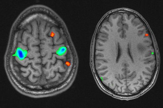
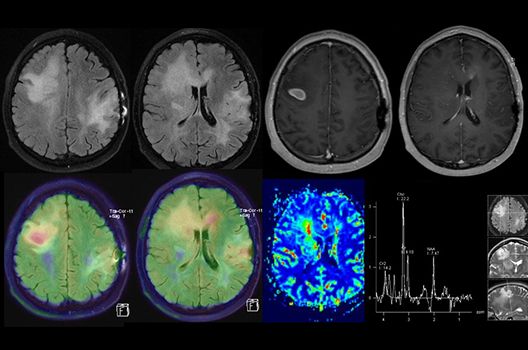
Onkologische und Hybridbildgebung
- PET/MRT in der Neuroonkologie
- Diffusion Kurtosis Imaging
- Molekulare Bildgebung mit innovativen Tracern in Kooperation mit der Nuklearmedizin und Radiopharmazie
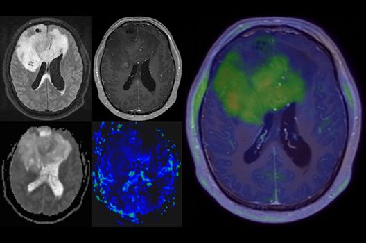
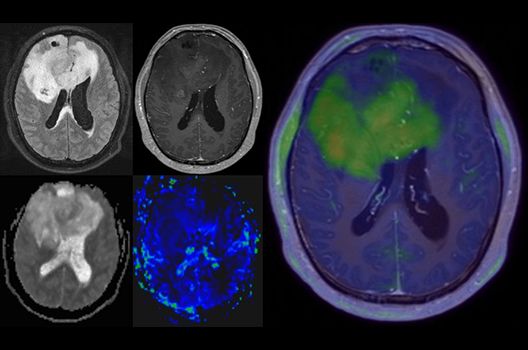
Die Hybridbildgebung mittels PET/MRT spielt insbesondere in der onkologischen Bildgebung eine wichtige Rolle. Eine mögliche Fragestellung ist die Unterscheidung zwischen einem Tumorrezidiv oder therapeutisch assoziierten Veränderungen insbesondere dann, wenn diese Frage mittels MRT alleine nicht beantwortet werden kann.
Die bildgebende Diagnostik und Verlaufsbeurteilung von Tumoren des Nervensystems ist einer der klinischen und Forschungsschwerpunkte unserer Abteilung. Eine besondere Bedeutung kommt der Hybrid-Bildgebung zu. Das Universitätsklinikum verfügt über einen integrierten Ganzkörper-PET/MRT-Scanner, der die Vorteile der MRT-Bildgebung und der Positronenemissionstherapie (PET) vereinigt. Aufgrund der langjährigen klinischen Arbeit und Forschungstätigkeit mit diesem Gerät hat die Neuroradiologie Tübingen maßgeblich zur Etablierung dieses Verfahrens beigetragen. Auch weiterhin forschen wir intensiv an neuen Methoden zur frühen Einordnung von Tumoren und insbesondere Tumorrezidiven, die mit anderen Methoden häufig nicht erfasst werden können.
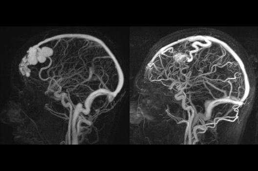
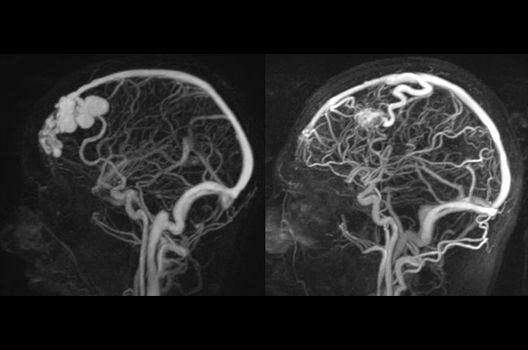
Interventionelle Neuroradiologie
- Stent-Behandlung hirnversorgender Arterien
- Behandlung intrakranieller Gefäßmissbildungen
- Stent-Behandlung der intrakraniellen venösen Blutleiter
- Diagnostik und Therapie vaskulärer Anomalien (ZVA)
Querschnittsbereiche
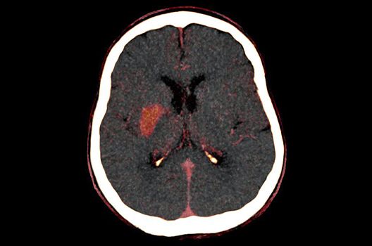
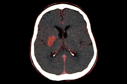
- Moderne Methoden der Schlaganfalldiagnostik und -therapie
- Intraoperative Magnetresonanztomographie
- Zentrum für neurovaskuläre Erkrankungen (ZNET)
- Zentrum für Vaskuläre Anomalien (ZVA)
In der Neuroradiologie sind wir häufig mit Fragestellungen konfrontiert, die mehrere Fachgebiete oder auch Methoden betreffen. So arbeiten wir auch in der Forschung intensiv mit anderen Abteilungen des Universitätsklinikums zusammen, um Prozesse und Techniken bei der Diagnostik und Therapie neurovaskulärer Erkrankungen und vaskulärer Anomalien zu optimieren.
Zudem ist das Universitätsklinikum Tübingen das erste Zentrum Europas mit einem deckenmontierten intraoperativen Hochfeld-Magnetresonanztomographen, mit dem bereits während einer Hirnoperation MRT-Bilder angefertigt und ausgewertet werden können. In enger Kooperation mit der hiesigen Neurochirurgie können wir somit zu nahezu jedem Zeitpunkt der OP die genaue Lagebeziehung zu wichtigen anatomischen Strukturen darstellen und das Resektionsausmaß überprüfen.
Zertifikate und Verbände

Focus: Top Nationales Krankenhaus 2025

Stern: Deutschlands Ausgezeichnete Arbeitgeber Pflege 24/25

Qualitätspartnerschaft mit der PKV

Erfolgsfaktor Familie

Die Altersvorsorge für den Öffentlichen Dienst