410
400
330

Adresse: Hoppe-Seyler-Str. 1
72076 Tübingen


Personenprofil: 07071 29-83781


Kardiale Magnetresonanztomographie

Im Gegensatz zur Echokardiographie ist die Bildgebung bei der Kernspintomografie nicht durch Schallfenster eingeschränkt. Sie ist weitgehend unabhängig von den anatomischen Voraussetzungen und dem manuellen Geschick des Untersuchers. Eine Strahlenbelastung wie bei einer Herzkatheteruntersuchung entfällt und auch eine Punktion der Leistengefäße zum Einführen von Herzkathetern ist nicht notwendig. Während der Untersuchung ist allerdings ruhiges Liegen des Patienten erforderlich.

Die Untersuchungen erfolgen in enger Kooperation mit der Radiologischen Klinik des Universitätsklinikums. Die Klinik für Radiologische Diagnostik verfügt über MR-Tomographen neuester Bauart, die den verschiedenen Untersuchungsanforderungen bei der Diagnostik angeborener und erworbener Herzfehler vom Neugeborenenalter bis zum Erwachsenenalter gerecht werden.

Terminvergabe

Persönlich

Crona Kliniken, Ebene B03


Telefonisch

07071 29-84712


Portraitfoto

Dr. med. Anja Hanser

Fachärztin

Untersuchung

Untersuchung und Forschung

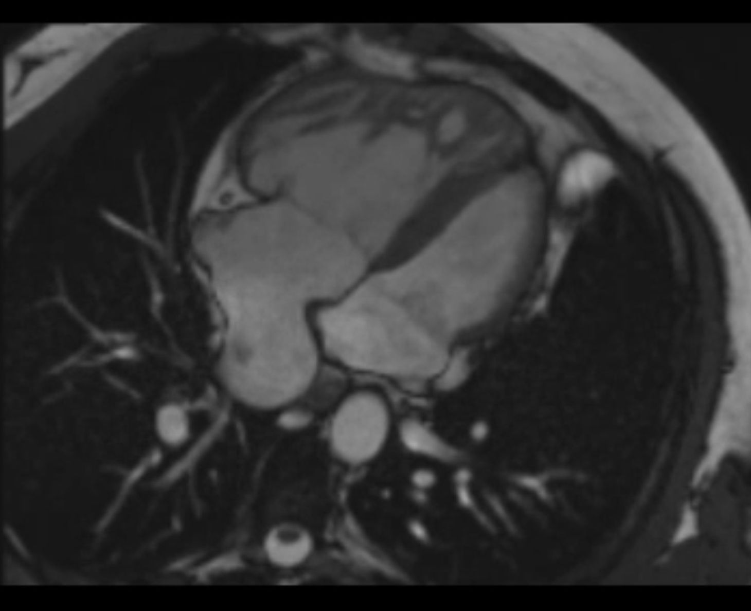
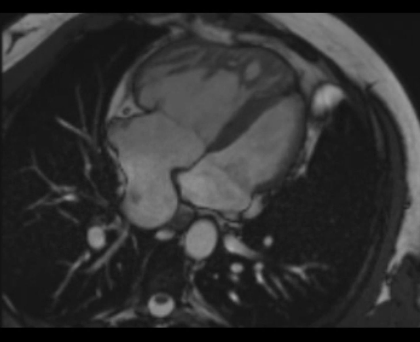
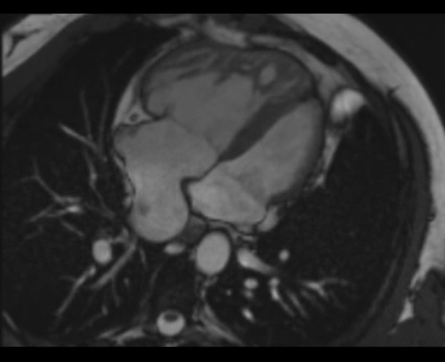
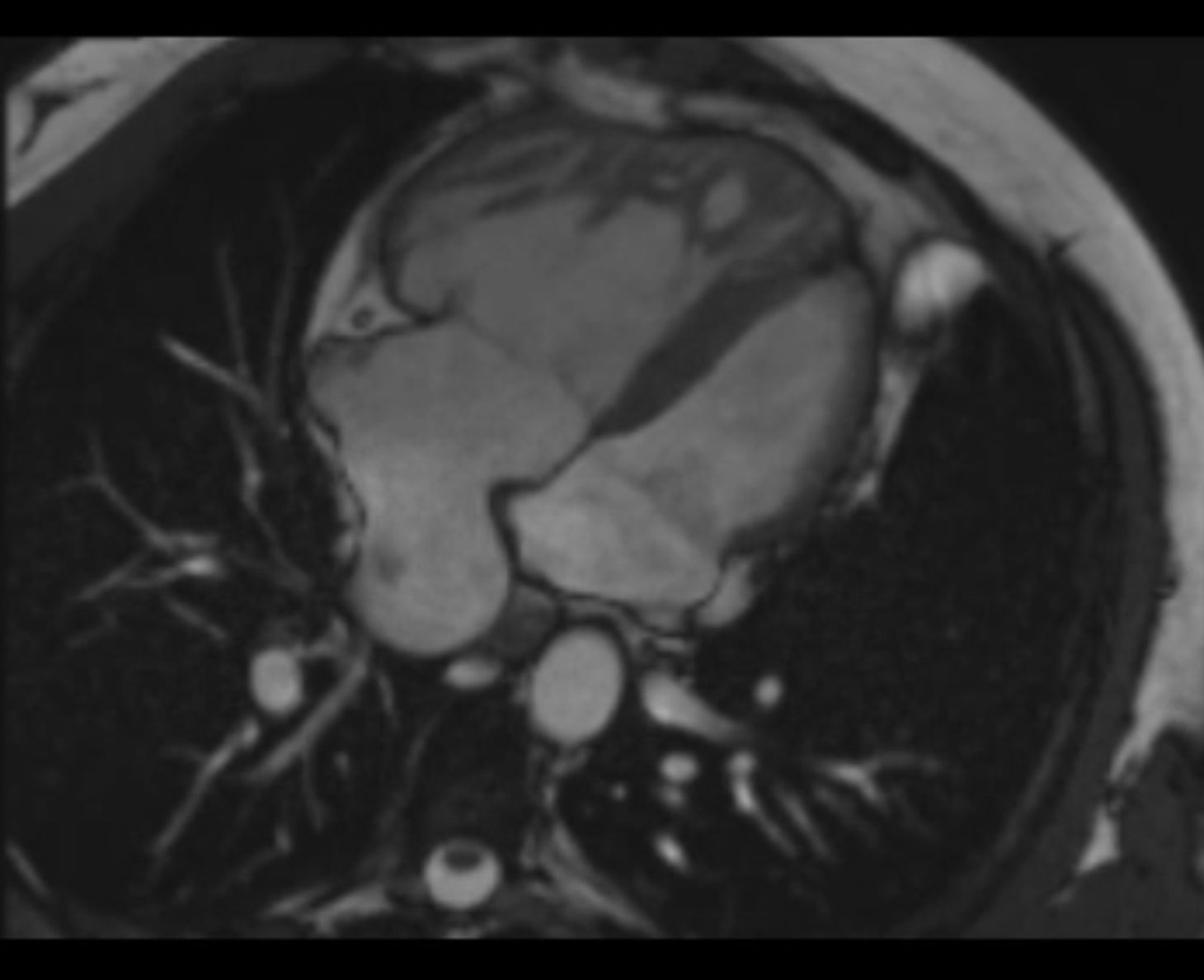
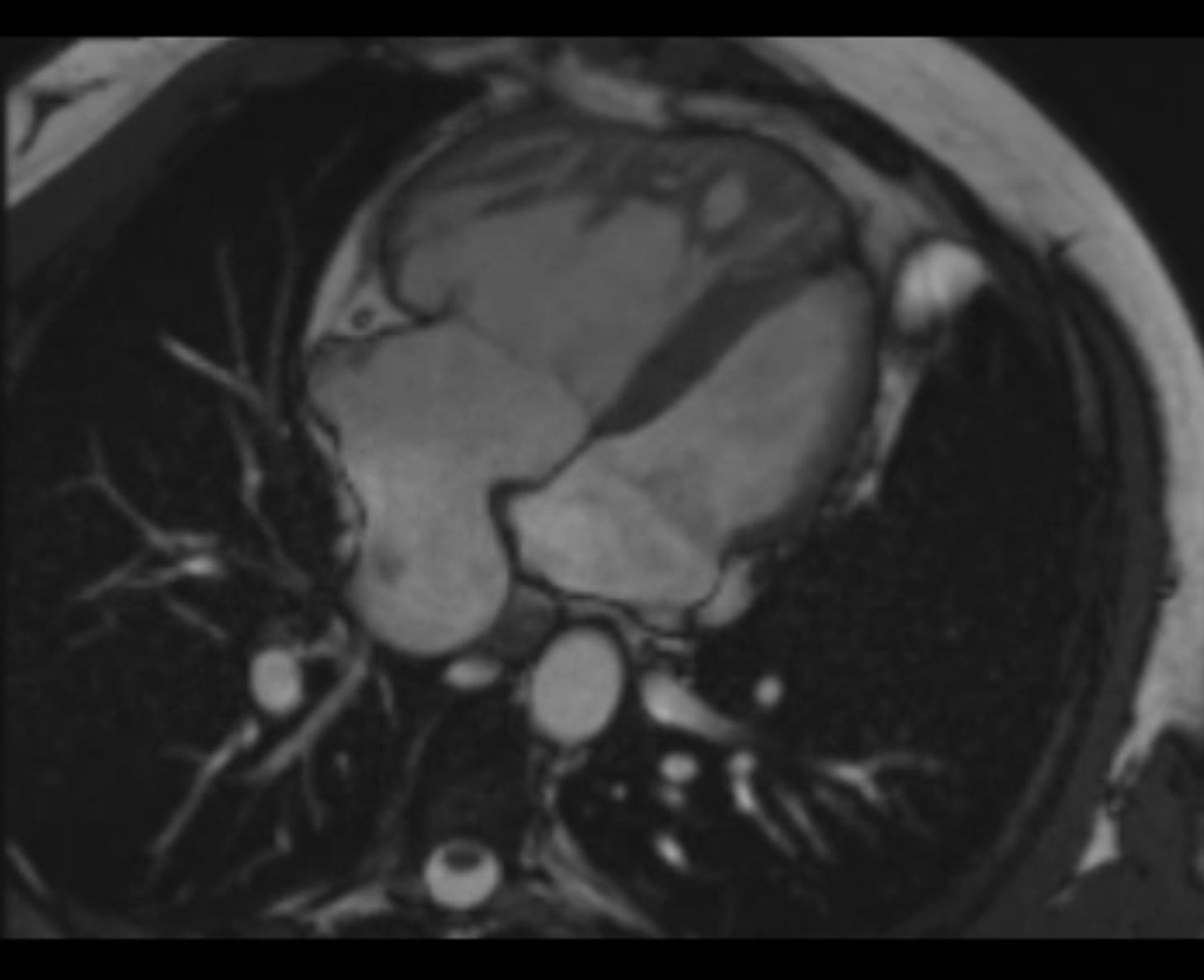
Die kardiale MRT ermöglicht in allen Altersstufen eine hervorragende Darstellung des Herzens und der Gefäße. Sowohl Struktur als auch Funktion lassen sich mithilfe dieser Untersuchungsmethode umfassend beurteilen. So können Fehlbildungen des Herzens und der Gefäße auch bei Säuglingen und Kleinkindern (in Narkose) sehr genau dargestellt werden. Komplexe Herzfehler können den Chirurgen mittels moderner Rekonstruktionstechniken als virtuelles oder reales 3D-Modell zur Verfügung gestellt werden. Zur Anwendung kommen modernste MRT-Scanner (1,5T u. 3T) der Fa. Siemens Healthineers.

Die Kombination der unterschiedlichen MR-Verfahren ermöglicht eine umfassende anatomische Darstellung der Struktur des Herzens und der großen Gefäße:

  • Darstellung der Herz- und Klappenfunktion
  • Bestimmung von Kammergröße und – volumina
  • Darstellung der Herzkranzgefäße
  • Messung der Blutversorgung des Herzens
  • Stoffwechseluntersuchungen des Herzmuskels

Die MRT wird in einem sehr starken Magnetfeld durchgeführt, das mehr als 30.000 mal stärker als das Magnetfeld der Erde ist. Wichtig ist die Beachtung von Ausschlusskriterien, bei denen die Durchführung der Kernspintomographie nicht möglich ist. Vor jeder Untersuchung wird Sie Ihr betreuender Arzt ausführlich darüber informieren.

Bevor der MRT-Raum betreten werden kann, müssen alle metallischen Gegenstände wie Uhren, Brillen, Ohrringe und anderer Schmuck (inkl. Piercing-Schmuck) sowie Haarnadeln oder Haarspangen entfernt werden. Auch Brieftasche bzw. Portemonnaie inklusive Kreditkarten (die Magnetstreifen werden durch das Magnetfeld gelöscht) müssen abgelegt werden. Metallteile an der Kleidung, Kleidungsstücke mit einem Reißverschluss, Metallknöpfe oder ähnliches sollten nicht getragen werden. Bitte informieren Sie Ihren Arzt vor der Untersuchung, falls Ihr Kind eine fest fixierte Zahnspange trägt. Bei Herzschrittmacher-/ICD-Trägern ist eine MRT-Untersuchung nur unter ganz bestimmten Voraussetzungen möglich. Zur Gabe von Kontrastmittel während der Untersuchung wird vorher zumeist noch ein intravenöser Zugang gelegt.

Während der Untersuchung ist ruhiges Liegen des Patienten erforderlich. Jugendliche und erwachsene Patienten sind über einen Kopfhörer und eine Gegensprechanlage mit dem Untersucher verbunden und können während der Untersuchung Musik hören. Bei Säuglingen und Kleinkindern wird die MRT in der Regel in Zusammenarbeit mit den Kollegen der Anästhesiologie durchgeführt. In Ausnahmefällen kann bei Kindern ab ca. 6 Jahren mithilfe moderner Sequenzen und sehr kurzer Messzeiten bereits eine kardiale MRT-Untersuchung ohne Narkose erfolgen.

Die Untersuchungszeit beträgt je nach Fragestellung und Umfang zwischen 30 und 90 Minuten. Im Anschluss an eine evtl. notwendige Narkose werden die Kinder für ca. 2-3 Stunden stationär nachbeobachtet. Das vorläufige Ergebnis der Untersuchung wird Ihnen im Anschluss an die Untersuchung bekannt gegeben. Ein endgültiger Befundbericht folgt schriftlich.

Die interdisziplinäre Arbeitsgruppe unseres Klinikums gewährleistet den optimalen Einsatz der Technik und eine hochqualifizierte Befundung sowie eine ständige Weiterentwicklung der Aufnahme- und Auswertetechniken. Zur Auswertung der Untersuchungen steht eine umfangreiche Software mit speziellen, den kinderkardiologischen Belangen angepasste Auswertemodalitäten zur Verfügung.

Arbeitsgruppenleiter: Prof. Dr. med. Ludger Sieverding

Forschungsschwerpunkte:

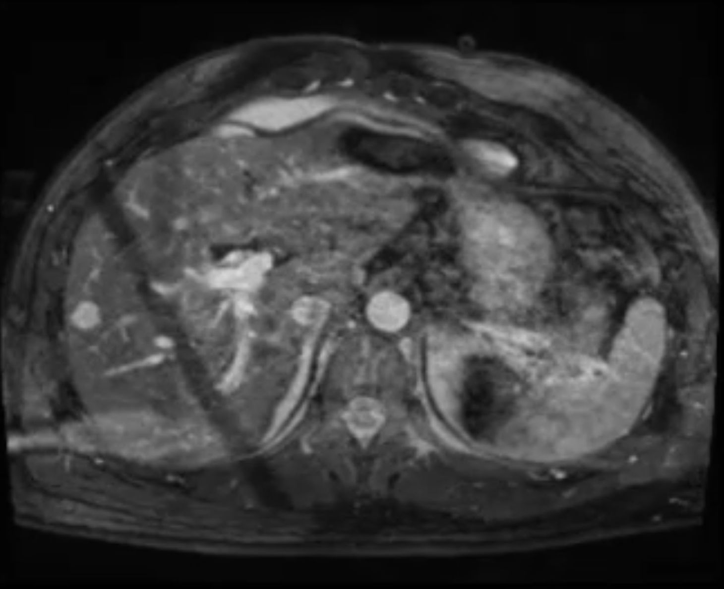
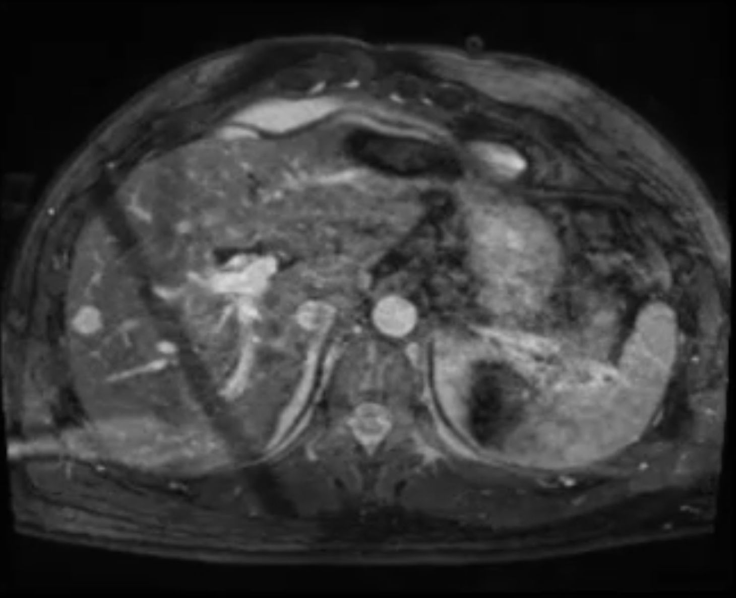
Schonende nicht-invasive kontrastmittelfreie Darstellung der thorakalen und abdominellen Lymphgefäße, insbesondere bei Patienten mit Fontanzirkulation.

Ansprechpartner: Dr. med. Anja Hanser

4-dimensionale Flussmessungen, die den Blutfluss neben einer 3-dimensional-räumlichen Aufnahme zusätzlich über die Zeit (4. Dimension) darstellen. Turbulente Strömungen und weitere physikalische Berechnungen können mit dieser modernen Forschungssequenz erfolgen.

Ansprechpartner: Dr. med. Anja Hanser

Moderner 3D-Druck zur Planung von Interventionen und Operationen.

Im Rahmen der Forschungsaktivitäten erfolgt in Zusammenarbeit mit der Sektion Experimentelle Radiologie kontinuierlich eine für kinderkardiologische Fragestellungen notwendige Sequenzoptimierung und –weiterentwicklung. Es kommen moderne Beschleunigungsverfahren zur Messzeitverkürzung in enger Kooperation mit der Firma Siemens Healthineers (Erlangen, Germany) zum Einsatz.

Es besteht eine Kooperation mit Prof. Dr. F. Gerald Greil, MD, PhD, Children´s Medical Center, Dallas, Texas, USA


Zertifikate und Verbände