Neurochirurgische Schmerztherapie

Bereich Neurochirurgische Schmerztherapie

Chronische Schmerzen sind weit verbreitet und können die Lebensqualität erheblich beeinträchtigen. Eine multimodale Schmerztherapie, die verschiedene Behandlungsansätze kombiniert, kann helfen, Beschwerden wirksam zu lindern. Verfahren der neurochirurgischen, neuromodulativen Schmerztherapie – beispielsweise bei chronischen Rückenschmerzen – können dabei eine wichtige Rolle spielen.

Wir sind eines der größten Zentren der neuromodulativen Schmerztherapie in Süddeutschland. Bei uns werden modernste neuromodulative Verfahren zur Behandlung chronischer Schmerzen angewendet. Darüber hinaus entwickeln wir die Methoden ständig weiter und garantieren so eine bestmögliche und auch langfristig erfolgreiche Therapie.

Neurochirurgische Schmerzambulanz

Gerne können wir Sie in unserer neurochirurgischen Schmerzambulanz über Ihr Krankheitsbild und die möglichen Therapieoptionen beraten. Um eine neurochirurgische, neuromodulative Behandlung anbieten zu können, müssen jedoch einige Voraussetzungen erfüllt werden.

  • es liegt keine kausale Behandlungsmöglichkeit vor (z.B. ist nicht zu erwarten, dass durch die Entfernung eines Bandscheibenvorfalls eine Besserung der Rückenschmerzen zu erwarten ist)
  • der Patient/die Patientin ist bei einem Schmerztherapeuten angebunden und die medikamentöse Schmerztherapie hat zu keiner ausreichenden Besserung geführt
  • es wurde eine sog. multimodale Schmerztherapie durchgeführt
  • es liegen keine schwereren psychiatrischen/psychosomatischen Erkrankungen vor


Bei der ambulanten Vorstellung bitten wir Sie, sämtliche Unterlagen (Behandlungsberichte, Medikamentenplan, aktuelle Röntgenbilder, MRT, CT, evtl. Berichte über Schmerztherapien) mitzubringen.

Sprechzeiten

Schmerz-Sprechstunde

Mittwoch: 08.30 - 15.30 Uhr
und nach Vereinbarung


Übersicht der Sprechstunden

Termine

vereinbaren Sie über die Allgemeinambulanz. Bitte nutzen Sie dazu unser Kontaktformular.


Zum Kontaktformular

Therapieoptionen

Chronische Schmerzen können in verschiedenen Körperbereichen auftreten. Bei folgenden Krankheitsbildern können wir neurochirurgische Behandlungsstrategien zur Schmerzlinderung anbieten.

Anhaltende Schmerzen im Bereich des Rückens sind ein weit verbreitetes Problem, das die Lebensqualität erheblich einschränken kann. Oft entstehen sie durch degenerative Veränderungen der Wirbelsäule, Bandscheibenschäden oder entzündliche Prozesse in den Wirbelgelenken. Betroffene leiden unter anhaltenden, belastenden Schmerzen, die mit Bewegungseinschränkungen, Muskelverspannungen und einer zunehmenden Beeinträchtigung im Alltag einhergehen können.
Eine Sonderform der chronischen Rückenschmerzen ist das Persistent Spinal Pain Syndrome Typ 2 (PSPS, früher Failed back surgery Syndrom genannt). Es tritt nach Wirbelsäulenoperationen auf, wenn trotz eines chirurgischen Eingriffs weiterhin starke Schmerzen bestehen oder sich sogar neue Beschwerden entwickeln. Die Ursachen sind nicht immer eindeutig, können aber Narbenbildungen, Nervenreizungen oder eine unzureichende Stabilisierung der Wirbelsäule sein.
Zur Linderung von chronischen Rückenschmerzen gehört ein umfassendes Behandlungskonzept, welches neben einer medikamentösen Schmerztherapie auch Physiotherapie und Patienteninformationen zur Krankheitsbewältigung beinhaltet. In unserer neurochirurgischen Klinik bieten wir zudem gezielte Infiltrationen von schmerz- und entzündungshemmenden Medikamenten in die betroffenen Bereiche sowie minimalinvasive Verfahren zur Nervenblockade an. Bei therapieresistenten Schmerzen kann die Rückenmarksstimulation (Spinal Cord Stimulation, SCS) eine wirksame Option sein. Unser spezialisiertes Team entwickelt für jeden Patienten eine individuell abgestimmte Therapie, um die Beschwerden bestmöglich zu lindern und die Lebensqualität zu verbessern. 

Neuropathische Schmerzen entstehen durch Schädigungen der Nerven und äußern sich oft als brennende, kribbelnde und dauerhafte Schmerzen sowie einer Überempfindlichkeit des schmerzhaften Areals. Sie können nach Verletzungen, Operationen oder bei Erkrankungen wie einer Polyneuropathie auftreten und sind häufig schwer behandelbar. Eine besondere Form stellt das Komplexe Regionale Schmerzsyndrom (CRPS) dar, das nach Traumen oder Operationen an Armen oder Beinen auftreten kann. Betroffene leiden unter starken Schmerzen, Schwellungen, Hautveränderungen und Bewegungseinschränkungen. Verfahren, wie die Rückenmarksstimulation (SCS) oder Dorsalganglienstimulation können dazu beitragen, die Beschwerden der Betroffenen zu lindern.

Phantomschmerzen sind unangenehme Empfindungen und Schmerzen in einem amputierten Körperteil, die Betroffene stark belasten können. Sie werden ebenfalls zu den neuropathischen Schmerzen gezählt. Wenn herkömmliche Schmerztherapien nicht ausreichen, kann die Rückenmarkstimulation hierbei die Möglichkeit einer Schmerzlinderung bieten.

Ischämieschmerzen treten auf, wenn eine unzureichende Durchblutung zu einer Minderversorgung des Gewebes mit Sauerstoff führt. Betroffene leiden oft unter starken Schmerzen, z.B. Schmerzen in den Beinen bei einer peripheren arteriellen Verschlusskrankheit (pAVK). Wenn konventionelle Methoden zur Förderung der Durchblutung nicht ausreichend helfen, können neuromodulative, neurochirurgische Maßnahmen zu einer Verbesserung der Schmerzen und Durchblutung beitragen.

Eine Tetra- oder Paraspastik kann zu schmerzhaften Muskelverkrampfungen und Bewegungseinschränkungen führen, die den Alltag erheblich beeinträchtigen können. Diese Spastiken treten häufig nach schweren neurologischen Erkrankungen oder Verletzungen (z.B. Multiple Sklerose oder Querschnittslähmung) auf und sind teilweise schwer mit Medikamenten zu kontrollieren. Durch moderne neurochirurgische Verfahren, wie die Implantation einer Baclofenpumpe, kann die Muskelspannung reguliert und die Schmerzen deutlich reduziert werden. Ziel solcher Therapien ist es, die Mobilität der Patienten zu verbessern und Ihre Lebensqualität nachhaltig zu steigern.

Bei der Trigeminusneuralgie handelt es sich um meist kurze, stromstoßartig einschießende Schmerzen auf einer Gesichtshälfte, welche durch Zähneputzen, Rasieren, Essen oder Wind verstärkt werden können. Ursachen für Trigeminusneuralgien können beispielsweise ein Nerven-Gefäß-Kontakt am Trigeminusnerv oder aber Erkrankungen wie die Multiple Sklerose sein. Die Erkrankung wird hierbei zunächst medikamentös behandelt. Bei unzureichender Besserung hierdurch können neurochirurgische Verfahren wie die mikrovaskuläre Dekompression nach Jannetta, bei der beim Vorliegen eines Nerven-Gefäß-Kontakts der Trigeminusnerv vom Gefäß gelöst wird, oder eine Thermokoagulation des Ganglion gasseri erfolgen.

Kopfschmerzen sind ein häufiges Symptom und haben fast jeden schon einmal betroffen. Bei manchen Patienten entwickeln sich jedoch dauerhafte Kopfschmerzen, welche das tägliche Leben stark beeinträchtigen. Der Cluster-Kopfschmerz tritt hierbei in heftigen, einseitigen Schmerzattacken auf, oft begleitet von Symptomen wie Tränenfluss oder Nasenlaufen. Die chronische Migräne ist gekennzeichnet durch Kopfschmerzen an mehr als 15 Tagen pro Monat, oft begleitet von Übelkeit, Licht- und Geräuschempfindlichkeit.

In aller Regel erfolgt bei diesen Patienten – betreut durch Neurologen oder Schmerztherapeuten - zunächst eine spezielle medikamentöse und konservative Therapie. Wenn diese keine ausreichende Linderung bietet, können jedoch auch eine neuromodulative Verfahren wie die occipitale Nervenstimulation (ONS) eingesetzt werden, um die Schmerzintensität zu reduzieren und die Lebensqualität zu verbessern.

Etwa 20-24 % der Patienten mit Tumoren leiden unter chronischen Schmerzen und/oder anderen Beschwerden. Neben der Behandlung des Tumors selbst, müssen auch diese Schmerzen bestmöglich behandelt werden um eine Verbesserung der Lebensqualität zu ermöglichen. Hierbei kommt in der Regel ein multimodaler Behandlungsansatz zum Einsatz. In ausgewählten Fällen kann hier auch ein neuromodulatives Verfahren oder eine intrathekale Schmerztherapie über eine Medikamentenpumpe eine geeignete Therapiemöglichkeit sein.

Methoden

Methoden

Die neurochirurgische Schmerztherapie bietet zahlreiche Methoden zur neuromodulativen, interventionellen und operativen Schmerzbehandlung.

Bei der Rückenmarkstimulation wird in der Wirbelsäule eine Elektrode platziert. Über diese werden elektrische Impulse an das Rückenmark abgegeben. Die Elektrode ist mit einem Impulsgeber (vergleichbar mit einem Herzschrittmacher) verbunden. Das operative Verfahren gliedert sich in zwei Abschnitte: Im ersten Eingriff erfolgt, unter örtlicher Betäubung und Röntgenkontrolle, die Platzierung der Elektrode im Rückenmarkskanal. Im Anschluss erfolgt eine Testphase. Ziel ist es, die Abdeckung des Schmerzareals durch die Stimulation und die daraus resultierende Schmerzreduktion zu testen. Bei zufriedenstellendem Ergebnis wird in einem zweiten Eingriff der Impulsgeber unter die Haut implantiert.

Die über die Elektrode abgegebenen Impulse bewirken im Bereich des Rückenmarks eine Unterbrechung/Verminderung der Schmerzleitung der Nerven. Hierbei ist es notwendig, bei jedem Patienten individuell die notwendigen Stimulationsparameter festzulegen. Die schmerzreduzierende Wirkung der Neurostimulation kann in einem zweiten Schritt die Verringerung der Schmerzmedikation nach sich ziehen.

Menschlicherkörper mit Nervenbahnen
Röntgenbild zur Rückenmarkstimulation

Chronische Rückenschmerzen:

Neue Therapieansätze machen Hoffnung
Ein Beitrag im SWR-Marktcheck

Zum Beitrag

Wie bei der Rückenmarksstimulation erfolgt die Implantation eines Systems zur Dorsalganglienstimulation in zwei Schritten. Zuerst wird eine Elektrode gezielt im Bereich der Hinterwurzelganglien (Dorsalganglien) am Rücken platziert. Der Unterschied zur Rückenmarksstimulation ist hierbei die Lage der Elektrode. Im Anschluss an die Elektrodenplatzierung erfolgt eine Testphase. Bei zufriedenstellendem Ergebnis wird in einem zweiten Eingriff der Impulsgeber unter die Haut implantiert.

Durch feine elektrische Impulse wird die Weiterleitung von Schmerzsignalen zum Gehirn moduliert. Dies kann insbesondere bei Nervenschmerzen, wie dem komplexen regionalen Schmerzsyndromen (CRPS), zu einer Beschwerdelinderung führen.

Grafische Darstellung einer Dorsalganglienstimulation
Röntgenbild zur Dorsalganglienstimulation

Die Periphere Nervenstimulation und die Periphere Nervenfeldstimulation sind Verfahren, welche gezielte elektrische Impulse nutzen, um Schmerzsignale abzuschwächen und Nervenschmerzen positiv zu beeinflussen. Hierfür werden – wie bei anderen neuromodulativen Verfahren - feine Elektrode direkt an einem betroffenen Nerv oder oberhalb dessen im subkutanen Fettgewebe platziert. Die im Folgenden separat dargestellte Occipitalnerv-Stimulation stellt eine spezielle Form der PNFS dar.

Die Occipitalnerv-Stimulation (ONS) ist eine Behandlungsmethode für therapieresistente Kopfschmerzsyndrome wie chronische Migräne und Cluster-Kopfschmerz. Dabei werden feine Elektroden in der Nähe der Occipitalnerven am Hinterkopf platziert, die durch elektrische Impulse die Schmerzsignale beeinflussen und so die Beschwerden lindern können. Das ONS-Verfahren eignet sich besonders für Patienten, bei denen medikamentöse Therapien nicht ausreichend wirken oder starke Nebenwirkungen verursachen. Die Stimulation kann individuell angepasst werden und ermöglicht vielen Betroffenen eine Verbesserung ihrer Lebensqualität.

Bei schweren, therapieresistenten Schmerzen, insbesondere nach Plexusverletzungen und -ausrissen, kann ein Eingriff an der Hinterwurzeleintrittszone (DREZ – Dorsal Root Entry Zone) eine wirksame Behandlungsoption sein. Durch gezielte radiofrequenzbasierte Koagulation werden überaktive Schmerzsignale unterbrochen, um die Beschwerden zu lindern.

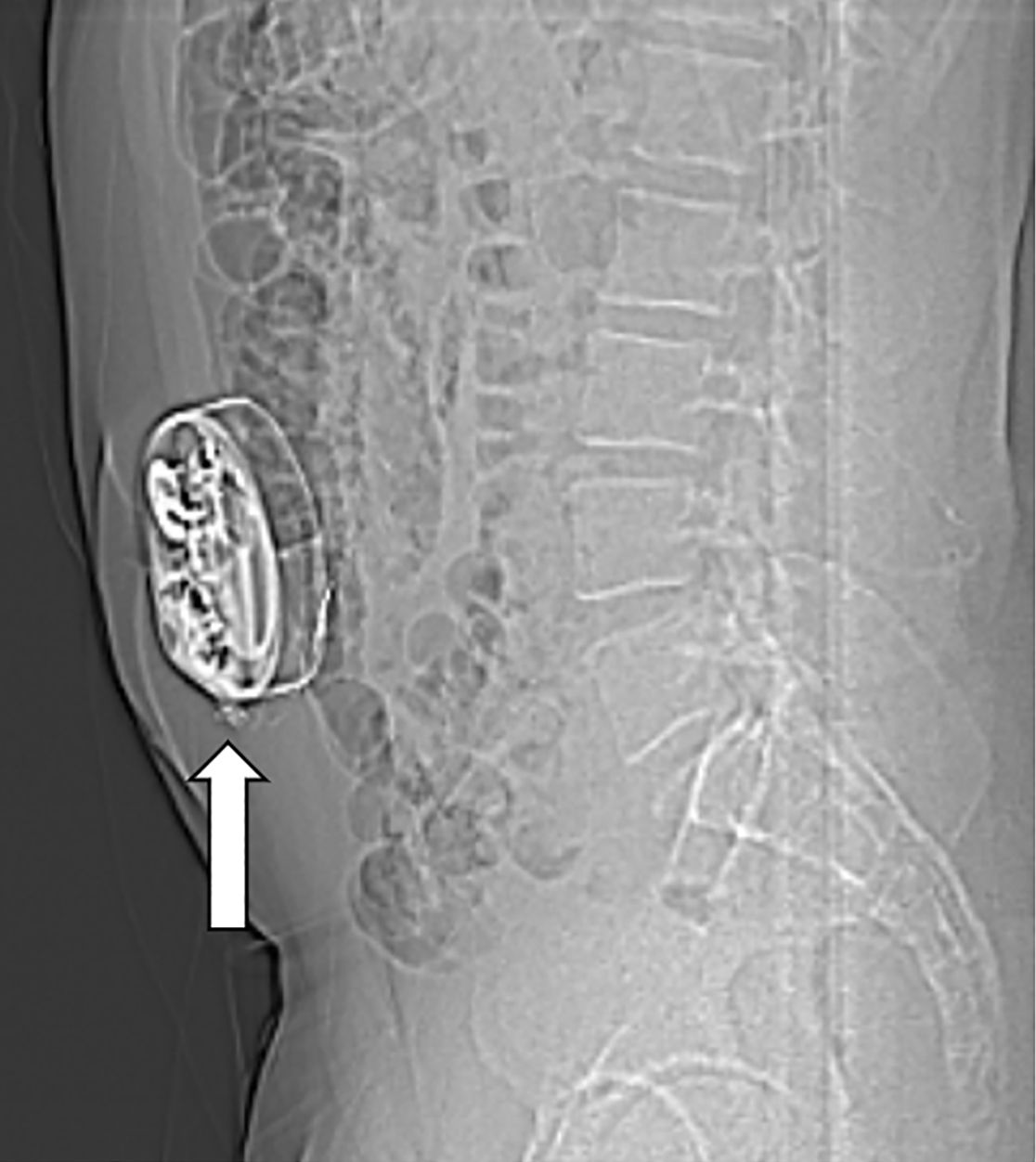
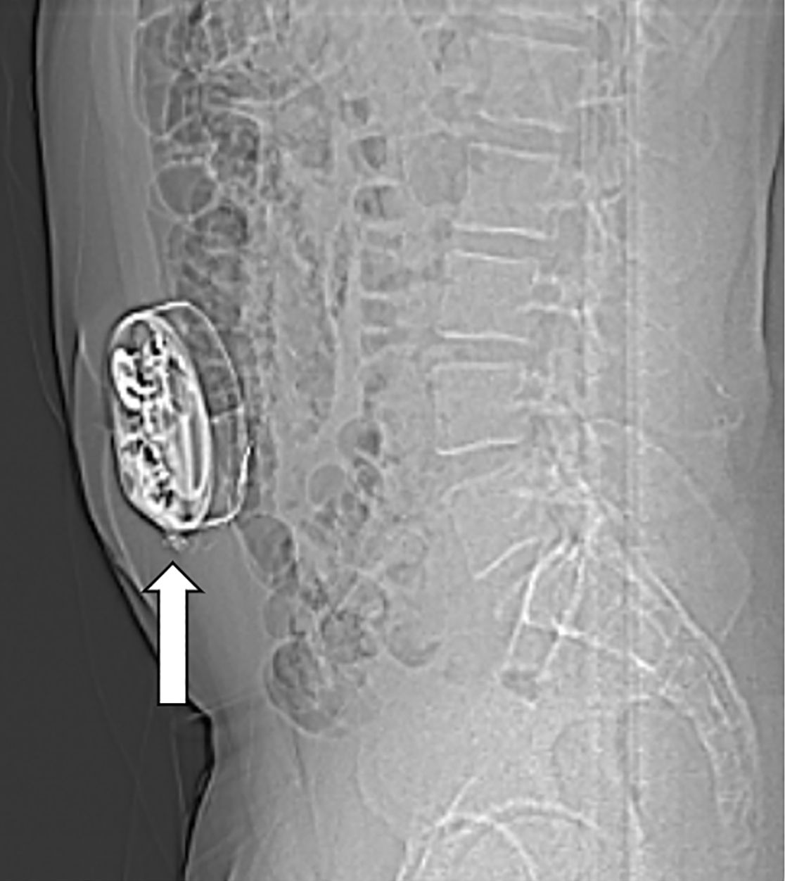
Bei Patienten mit schwerer Spastik oder chronischen Schmerzen, die nicht ausreichend auf herkömmliche medikamentöse Therapien ansprechen, kann die Implantation einer Schmerzpumpe eine effektive Lösung darstellen. Diese Pumpe ermöglicht die direkte Abgabe von Schmerzmitteln oder muskelentspannenden Medikamenten in den Nervenwasserraum (intrathekal), was eine deutlich gezieltere Wirkung mit geringeren Nebenwirkungen ermöglicht als bei in Tablettenform eingenommenen Medikamenten.

Das Pumpensystem besteht aus einem kleinen Schlauch, welcher in den Nervenwasserraum eingebracht wird und mit der Pumpe verbunden ist. Die Pumpe wird meist am Bauch unter der Haut implantiert und ermöglicht, dass die Dosierung der Medikamente exakt an die Bedürfnisse angepasst werden kann. Es ist eine regelmäßige Wiederbefüllung der Pumpe mit den Medikamenten notwendig, was ähnlich wie bei einer Blutabnahme von außen erfolgt.

In unserer Klinik bieten wir Ihnen eine ausführliche Beratung, die Implantation sowie die kontinuierliche Nachsorge dieser Therapie, um Ihre Beschwerden bestmöglich zu lindern und Ihre Lebensqualität zu steigern.

Im Nervenwasserraum (Liquor) einliegender Schlauch zur intrathekalen Therapie (Pfeil)
Im Nervenwasserraum (Liquor) einliegender Schlauch zur intrathekalen Therapie (Pfeil)
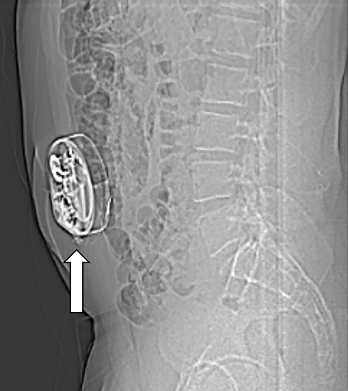
Am Bauch implantierte Medikamentenpumpe (Pfeil)
Am Bauch implantierte Medikamentenpumpe (Pfeil)

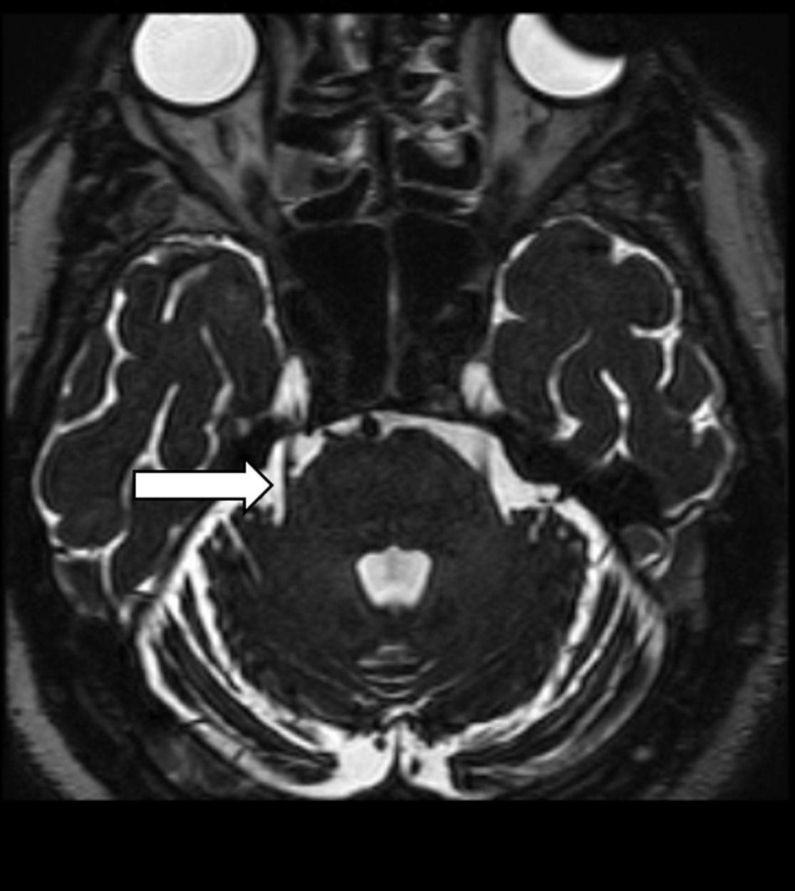
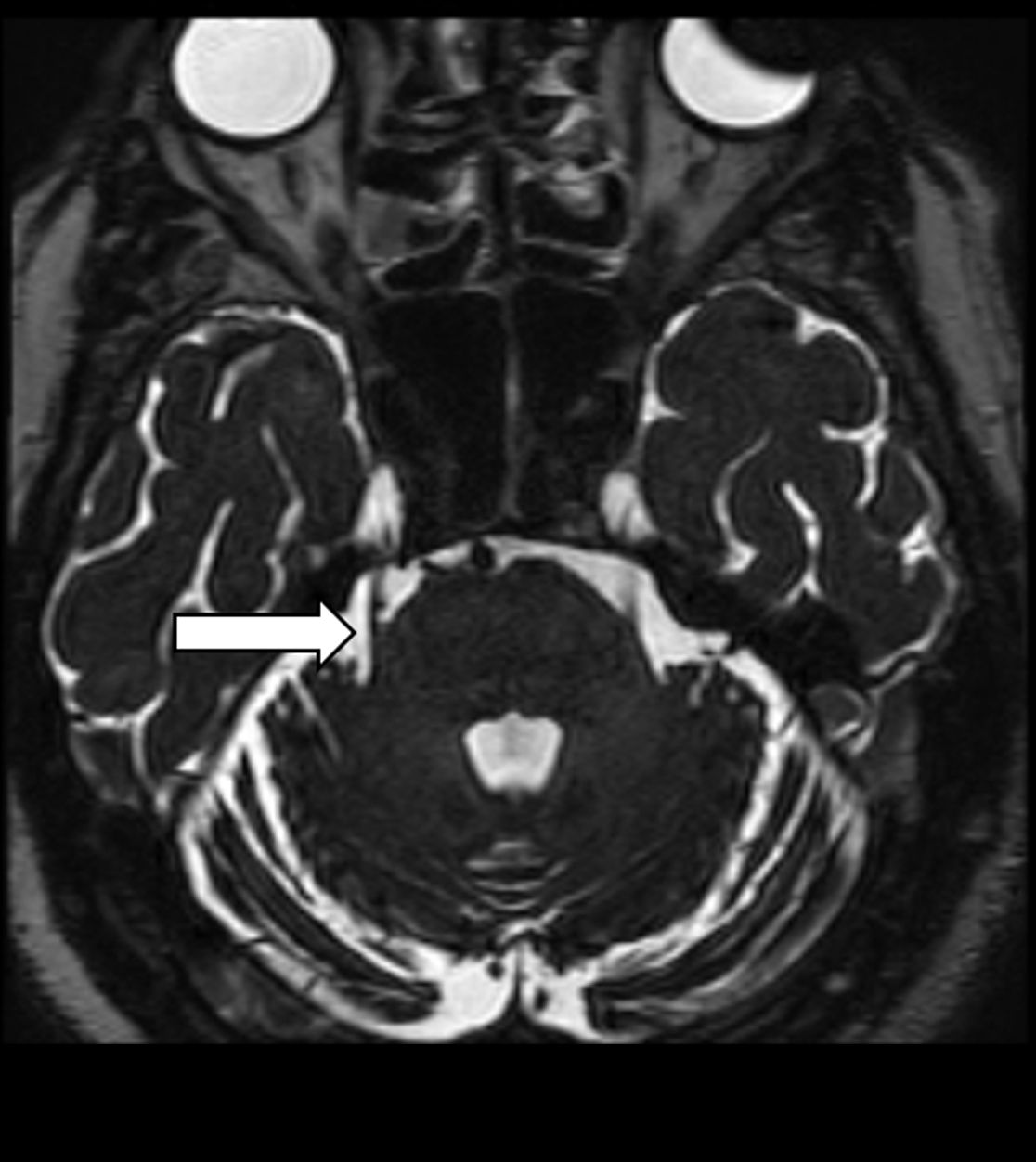
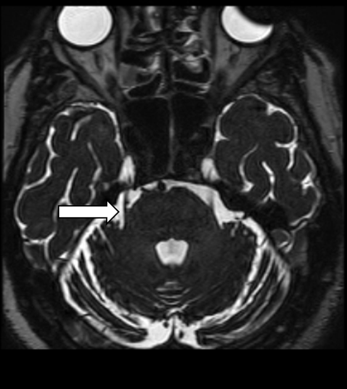
Liegt bei einer Trigeminusneuralgie eine Gefäßschlinge vor, welche den Trigeminusnerv berührt, kann bei unzureichender Linderung durch eine medikamentöse Therapie ggf. durch eine operative Lösung von Nerv und Gefäß eine Schmerzreduktion erreicht werden. Hierfür wird der Trigeminusnerv an seiner Eintrittsstelle zum Hirnstamm aufgesucht und durch z.B. ein Teflon-Stück vom Gefäß getrennt.

Gefäß-Nerven-Kontakt im Bereich des Nervus trigeminus (Pfeil)
Gefäß-Nerven-Kontakt im Bereich des Nervus trigeminus (Pfeil)
Status nach mikrovaskulärer Dekompression über einen Zugang hinter dem Ohr (Pfeil)
Status nach mikrovaskulärer Dekompression über einen Zugang hinter dem Ohr (Pfeil)

Sollte bei einer Trigeminusneuralgie eine mikrovaskuläre Dekompression nicht infrage kommen, so kann als minimalinvasives Verfahren eine „Verödung“ des Ganglion Gasseri zu einer Schmerzlinderung führen. Hierbei wird unter Röntgenkontrolle eine dünne Nadelelektrode in das Ganglion Gasseri geschoben und mit gezielten Wärmestrahlen eine selektive Vernarbung der Nervenfasern vorgenommen, die für die Schmerzübertragung verantwortlich sind. In einigen Fällen ist im Verlauf bei einer erneuten Zunahme der Beschwerden eine Wiederholung der Prozedur notwendig.

Bei der Motorcortexstimulation wird eine Elektrode auf den sog. motorischen Cortex des Gehirns aufgelegt und elektrische Impulse an den motorischen Kortex des Gehirns abgegeben, um die Schmerzwahrnehmung zu beeinflussen und das Schmerzempfinden zu reduzieren. Diese Therapie kann beispielsweise bei Gesichtsschmerzen oder Phantomschmerzen eingesetzt werden, bei welchen andere Behandlungen nicht angesprochen haben. Die Möglichkeit einer Motorcortexstimulation muss jedoch stets individuell evaluiert werden.

Die Tiefe Hirnstimulation, welche meist für Patienten mit Bewegungsstörungen wie Parkinson oder einer Dystonie eingesetzt wird, kann auch bei Patienten mit chronischen Gesichtsschmerzen oder einem sog. zentralen Schmerz zur Anwendung kommen. Es werden Elektroden gezielt mittels sog. stereotaktischer und robotischer Verfahren in kleine Kerngebiete des Gehirns implantiert und – wie bei anderen neuromodulativen Verfahren – an einen Impulsgeber (vergleichbar mit einem Herzschrittmacher) angeschlossen. Durch die Abgabe angepasster elektrischer Impulse sollen dann die Schmerzen gelindert und somit die Lebensqualität der Patienten verbessert werden. Wie bei der Motorcortexstimulation muss die Möglichkeit einer Tiefenhirnstimulation zur Schmerztherapie stets individuell evaluiert werden.

In das Gehirn implantierte Elektroden zur Tiefen Hirnstimulation (Pfeile)
In das Gehirn implantierte Elektroden zur Tiefen Hirnstimulation (Pfeile)
Impulsgeber im Bereich des Brustkorbs
Impulsgeber im Bereich des Brustkorbs

Die repetitive transkranielle Magnetstimulation (rTMS) ist ein nicht-invasives Verfahren zur Behandlung von chronischen Schmerzen, die auf herkömmliche Therapien nicht ausreichend ansprechen. Hierbei werden magnetische Impulse auf bestimmte Areale des Gehirns abgegeben, um die Schmerzverarbeitung zu modulieren und die Schmerzwahrnehmung zu verringern. Die Therapie ist schmerzfrei und wird in mehreren Sitzungen (z. B. täglich 30 Minuten über 2 Wochen) durchgeführt. Dabei wird je nach Krankheitsbild das Stimulationsziel (z.B. der Motorcortex) individuell ausgewählt.

Röntgen-gestützte Infiltrationen stellen eine präzise und schonende Methode zur Behandlung von Rücken- und Gelenkschmerzen dar. Durch den Einsatz von Röntgenbildwandlern wird die genaue Position der Nadel während des Eingriffs sichtbar gemacht, wodurch eine präzise und zielgerichtete Behandlung möglich ist. Zielgebiete der Infiltration sind hierbei die sog. Facettengelenke oder das Ileosakralgelenk (ISG). Wenn die infiltrative Methode nicht ausreicht bzw. die Schmerzlinderung nur kurz anhält, setzen wir auch Facettenthermokoagulationen ein, bei denen durch gezielte Wärmeanwendungen an den betroffenen Nerven die Schmerzübertragung blockiert wird.

Infiltration von Facettengelenken
Infiltration von Facettengelenken
Infiltration eines Ileosakralgelenks
Infiltration eines Ileosakralgelenks

Leitung

Prof. Dr. med. Kathrin Machetanz

Prof. Dr. med. Kathrin Machetanz

Leiterin des Bereiches Neurochirurgische Schmerztherapie

Publikationen: Publikationen

Personenprofil: Mehr zur Person

Forschung

Das Hauptziel unserer Arbeitsgruppe zur neurochirurgischen Schmerztherapie und Neuromodulation ist die Weiterentwicklung bestehender Verfahren und die Neuentwicklung von Therapieoptionen, um unseren Patienten die bestmögliche Behandlung zu bieten und die Lebensqualität nachhaltig zu verbessern.

Zertifikate und Verbände