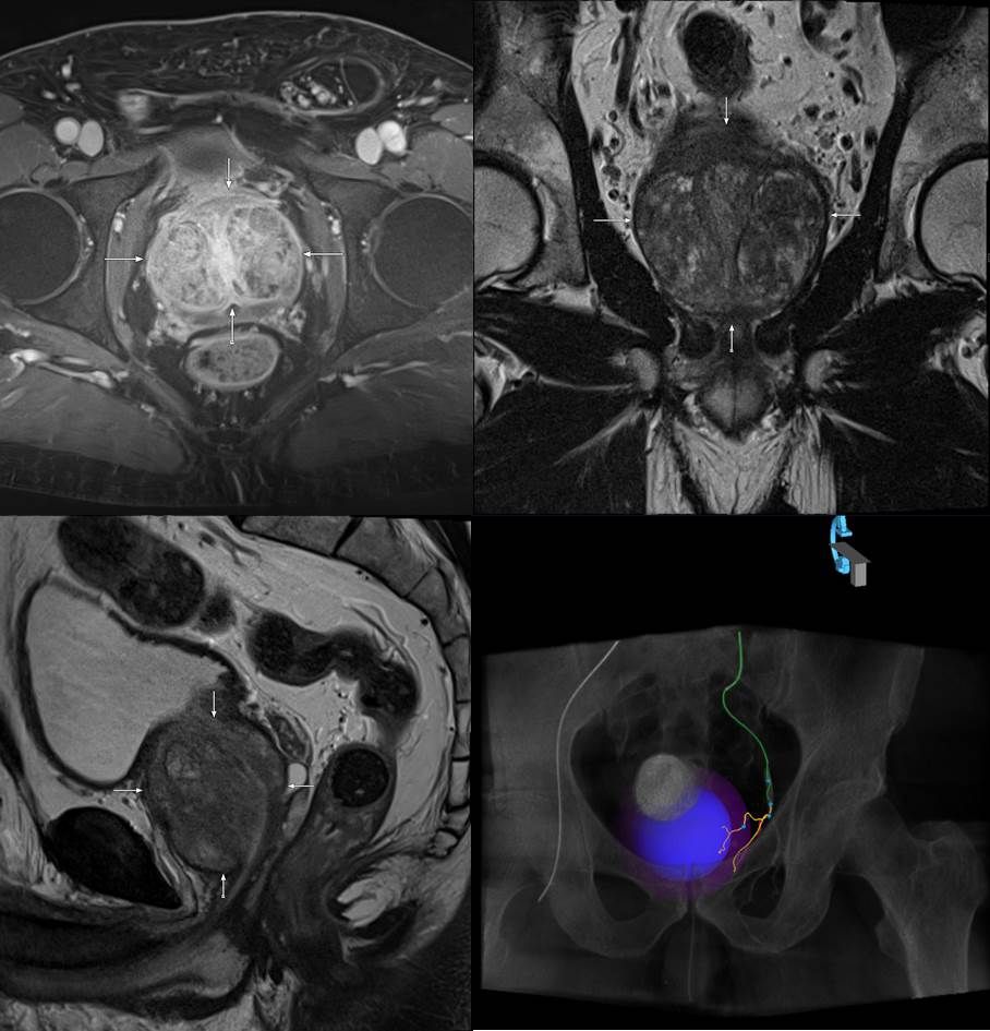
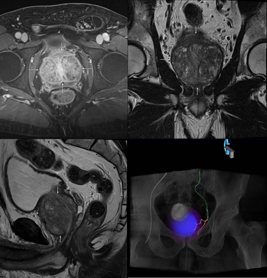
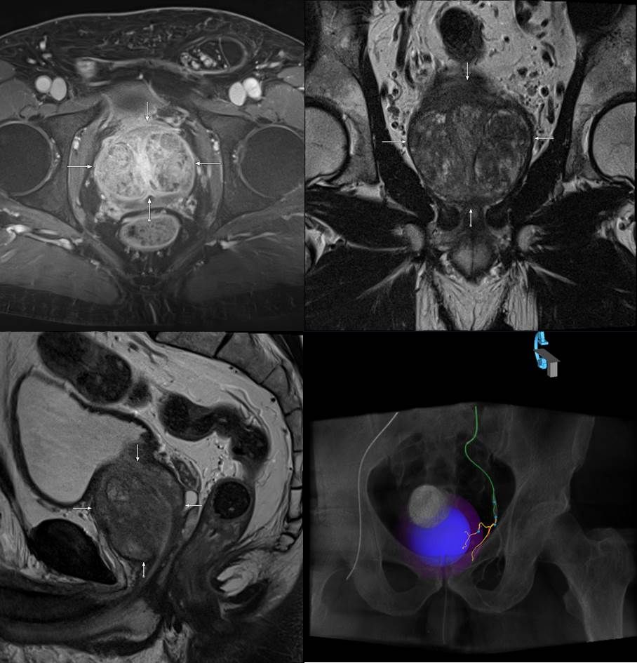
Die transarterielle Embolisation der Prostata richtet sich an Patienten mit einem benignen Prostatasyndrom. Hierbei führ die Vergrößerung der Prostata zu einer Einengung der Harnröhre und zu funktionellen Beschwerden. Hier stellt die minimalinvasive embolisierende Therapie über das die Prostata versorgende arterielle Gefäßsystem eine schonende Behandlungsmethode dar, als mögliche Alternative zu operativen Verfahren. Bei der Prostataembolisation wird die Prostataarterie mit kleinen Kunststoff Kügelchen verschlossen. Die Therapie kann in örtlicher Betäubung durchgeführt werden und läuft in der Regel weitgehend schmerzfrei ab. Die Embolisation (Verschluss) der Prostatagefäße bewirkt im weiteren Verlauf eine langfristige Abnahme des Prostatavolumens, bedingt durch eine verminderte Durchblutung. Die Datenlage zeigt gute kurz- und langfristige Erfolge mit einem initialen Ansprechen in mehr als 80% der Patienten und bei über 70% der Patienten einen anhaltenden Erfolg, über mehrere Jahre hinweg. Die Prostataembolisation zeichnet sich im Besonderen durch das gute Nebenwirkungsprofil aus mit einem geringen Risiko für eine posttherapeutische Inkontinenz oder eine retrograde Ejakulation. Weitere Vorteile sind die Möglichkeit der Durchführung dieser Therapie in Lokalanästhesie, eine kurze stationäre Verweildauer und eine schnelle Erholung. Es ist mit einem stationären Aufenthalt von 2 Nächten zu rechnen.
Embolisation bei benignem Prostatasyndrom
Unser Zentrum zeichnet sich weiterhin durch eine dreidimensionale bzw. räumliche periprozedurale Planung der Embolisation aus, hierbei werden die arteriellen Blutgefäße der Prostata dreidimensional im Raum dargestellt, um alle versorgenden Gefäße ausreichend und gezielt behandeln zu können, dies reduziert das Risiko einer ungewollten Embolisation anderer, benachbarter Gefäße (zum Beispiel darmversorgende Arterien).
Die korrekte Indikation der richtigen Therapieoption bei benignem Prostatasyndrom wird stets in enger Kooperation und Absprache mit den Kollegen der Urologie gestellt und gemeinsam mit unseren Patienten besprochen. Sollte die Methode der Prostataembolisation nicht den gewünschten Erfolg erzielen, kann im Anschluss jederzeit eine zusätzliche chirurgische Therapie erfolgen.
Zertifikate und Verbände

Focus: Top Nationales Krankenhaus 2025

Stern: Deutschlands Ausgezeichnete Arbeitgeber Pflege 24/25

Qualitätspartnerschaft mit der PKV

Erfolgsfaktor Familie

Die Altersvorsorge für den Öffentlichen Dienst