Ablationen
Radiofrequenzablation - RFA
Bei der Radiofrequenzablation (RFA) wird Tumorgewebe gezielt durch lokale Hitzeeinwirkung zerstört. Bei diesem minimalinvasiven Verfahren positioniert ein Arzt unter CT- oder MRT Kontrolle eine spezielle Nadel durch die Haut in den Tumor. An der Spitze der Nadel wird durch einen hochfrequenten Stromfluss Hitze erzeugt, so dass der angrenzende Tumor zerstört wird. Die Eingriffe werden je nach Tumorlage und Größe unter lokaler Betäubung oder in Vollnarkose durchgeführt.
Einsatzbereiche des Verfahrens sind Tumore der Leber, Niere, der Lunge und des Knochens.
In unserer Abteilung ist die Technik der perkutanen Thermoablation seit über 20 Jahren Gegenstand der Forschung. In enger Kooperation mit klinischen und industriellen Partnern arbeiten wir ständig an der Optimierung der entsprechenden Ablations-Systeme.
Mikrowellenablation - MWA
Die Mikrowellenablation (MWA) ist ein minimal-invasives Verfahren zur perkutanen minimalinvasiven Tumortherapie, das in den letzten Jahren zunehmend an Bedeutung gewonnen hat. Wie bei der der Radiofrequenzablation wird hierzu unter CT- oder MRT Kontrolle eine spezielle Nadel durch die Haut in den Tumor geschoben. An der Spitze der Nadel wird durch elektromagnetische Mikrowellen Hitze erzeugt. Im Gegensatz zur RFA beruht die MWA nicht auf einem elektrischen Stromfluss, wodurch bei der MWA höhere Temperaturen erreicht werden können, so können z.T. schneller und auch größere Ablationszonen erreicht werden, die weniger von umgebenden Blutgefäßen beeinflusst werden. Die Entscheidung, welches Ablationsverfahren für einen Patienten geeigneter ist, wird individuell je nach Lage und Größe des Tumors getroffen. Die Eingriffe werden je nach Tumorlage und Größe unter lokaler Betäubung oder in Vollnarkose durchgeführt. Einsatzbereiche des Verfahrens sind u.a. Tumore der Leber, Niere und der Lunge.
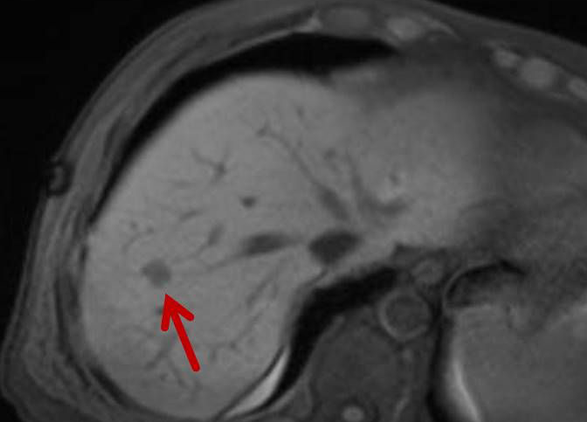
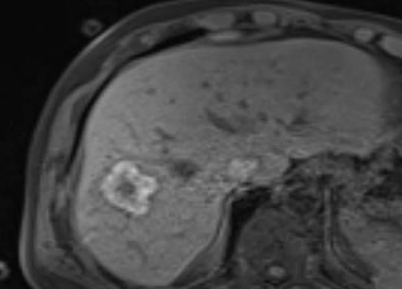
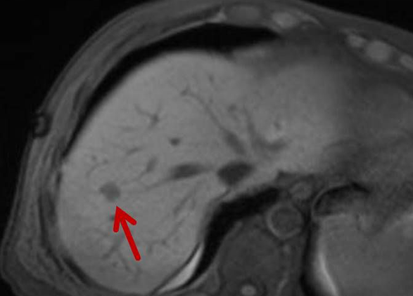
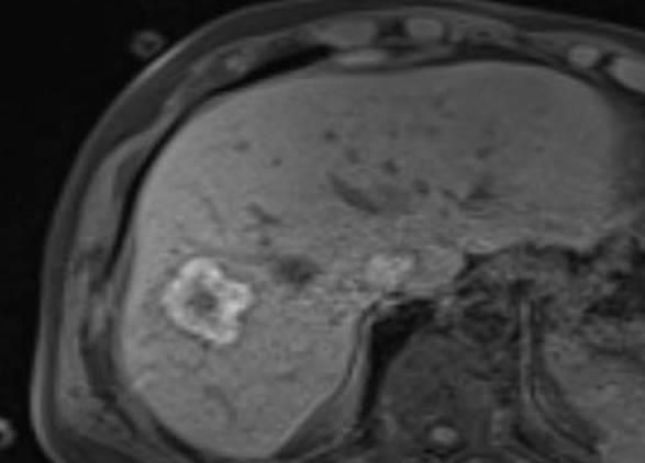
Thermoablation von Lebertumoren
Die minimalinvasive Thermoablation ist eine Therapieoption für Leberkarzinome und Lebermetastasen. Voraussetzung hierfür ist, dass bestimmte Bedingungen wie Tumorgröße, Anzahl und Lage des Zieltumors erfüllt sein. Ob ein Lebertumor mit einem thermoablativen Verfahren (Mikrowellenablation oder Radiofrequenzablation) sicher und effektiv behandelt werden kann, wird vor der Therapie interdisziplinär mit Kollegen aller für diese Fragestellung relevanter Fachrichtungen besprochen.


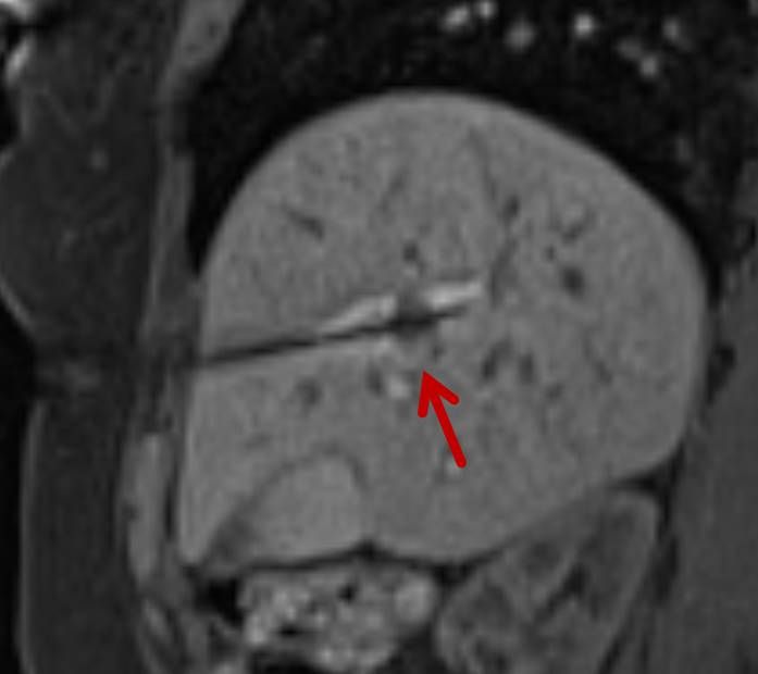
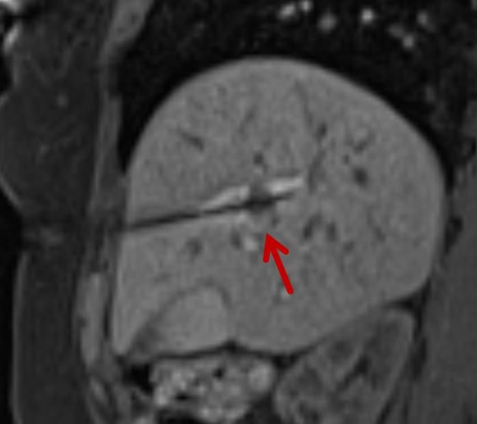
Thermoablation von Nierentumoren
Die minimalinvasive Thermoablation ist auch eine Therapieoption für bestimmte Nierentumore. Damit ein Nierentumor mit einem thermoablativen Verfahren (Radiofrequenzablation oder Mikrowellenablation) effektiv und sicher behandelt werden kann, müssen bestimmte Bedingungen (wie Größe, Anzahl und Lage) erfüllt sein. Dies wird im Vorfeld des Eingriffes mit Kollegen der Urologie besprochen.
Bei der perkutanen Thermoablation von Nierentumoren werden spezielle Applikatoren unter CT- oder MRT Bildgebung in den Zieltumor eingebracht. Durch Hitze wird der Tumor zerstört.
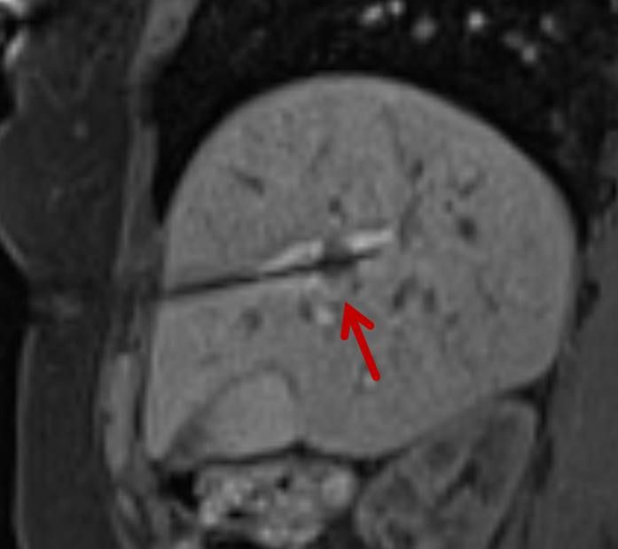
Thermoablation von Lungentumoren
Die minimalinvasive Thermoablation ist auch eine Therapieoption für Lungentumore. Damit ein Lungentumor mit diesem Verfahren effektiv und sicher behandelt werden kann, sollten bestimmte Bedingungen (wie Größe, Anzahl und Lage) erfüllt sein. Ob diese Voraussetzungen gegeben sind, wird das Vorgehen vor der Therapie mit Kollegen aller für diese Fragestellung relevanten Fachdisziplinen besprochen.
Abbildung: Bei der perkutanen Thermoablation von Lungentumoren werden spezielle Applikatoren unter CT-Bildgebung in den Zieltumor eingebracht. Durch Hitze wird der Tumor dann zerstört.
RFA zur Therapie des Osteoidosteoms
Das Osteoidosteom ist ein gutartiger, jedoch sehr schmerzhafter Knochentumor, der bevorzugt bei jüngeren Patienten auftritt. Die Radiofrequenzablation (RFA) hat sich in den letzten Jahren zu einer zuverlässigen, minimalinvasiven Therapieoption bei der Behandlung des Osteoidosteoms entwickelt und wird seit über 15 Jahren an der Uniklinik Tübingen angewandt.
Abbildung: Osteoidosteom (Pfeil) im Schienbein bei einem jungen Patienten. Unter CT-Bildgebung wird ein spezieller Applikatoren unter CT-Bildgebung in das Osteoidosteom eingebracht. Durch Hitze wird dieses effektiv und dauerhaft zerstört.
Transarterielle Chemoembolisation (TACE)
Das Verfahren der Transarteriellen Chemoembolisation (TACE) kann bei Leberkrebs oder -metastasen bestimmter Primärtumoren (z.B. Kolo rektales Karzinom) eingesetzt werden, wenn diese nicht chirurgisch entfernt oder per RFA behandelt werden können.
Über die Leistenarterie wird in Lokalanästhesie ein dünner Katheter (Schlauch) in der Leber platziert. Über den Katheter werden Partikel verabreicht, die die Gefäßversorgung des Tumors unterbinden, und die gleichzeitig mit einem Chemotherapeutikum beladen sind, welches über mehrere Tage auf den Tumor einwirkt und diesen verkleinern soll.
Selektive Interne Radio-Therapie (SIRT)
Die Selektive Interne Radiotherapie (SIRT) wird in der Fachliteratur auch Radioembolisation (RE) genannt. Hierbei werden gezielt kleine, radioaktive Kügelchen, sog. Mikrosphären, über den Katheter (siehe TACE) von mehreren Positionen in der Leber mit dem Blutstrom in das gut durchblutete Tumorgewebe gebracht und bleiben dort in den kleinen Gefäßen "stecken", die den Tumor ernähren. Von dort bestrahlt das in den Kügelchen enthaltene radioaktive Element Yttrium-90 über mehrere Tage hinweg das Tumorgewebe und zerstört es selektiv. Dieses Verfahren kann bei Leberkrebs oder -metastasen eingesetzt werden, wenn die Herde trotz Chemotherapie weiter wachsen und nicht chirurgisch oder mittels RFA und TACE behandelbar sind.
Das Verfahren wird von der interventionellen Radiologie zusammen mit der Partnerabteilung der Nuklearmedizin sowie den entsprechenden Partnerkliniken geplant und durchgeführt.
Abbildung Körper: Schematische Darstellung des Zugangsweges bei SIRT-Therapie über die Leistenarterie. Die arteriellen tumorversorgenden Gefäße in der Leber werden selektiv dargestellt und von dort wird die Therapie lokal appliziert. (Bildrechte beim Thieme-Verlag!)

Chemosaturation
Die Chemosaturations-Therapie ist eine Methode zur Behandlung von Lebermetastasen, mit ausgezeichnetem Erfolg bei Aderhautmelanomen. Die Behandlung weiterer Tumorarten sind denkbar, jedoch aktuell noch Gegenstand von Studien.
Der Eingriff wird unter Vollnarkose durchgeführt. Grundgedanke der Chemosaturations-Therapie ist es, die Leber vorübergehend vom Blutkreislauf abzutrennen und anschließend eine konzentrierte Dosis eines Krebsmedikaments direkt in die Leber zu verbringen, um dadurch das gesamte Organ zu „saturieren“ (d. h. zu sättigen).
Das aus der Leber abfließende Blut wird außerhalb des Körpers durch Filter geleitet, die das Krebsmedikament größtenteils entfernen, bevor das Blut wieder in den Körper zurückgeleitet wird. Das Krebsmedikament kann dadurch in einer höheren Konzentration verabreicht werden, als es bei einer systemischen Chemotherapie möglich wäre, weil die Leber vom Rest des Körpers isoliert ist. Indem dieses Medikament an die gesamte Leber verabreicht wird, kann es im Prinzip sowohl die sichtbaren als auch bislang unerkannt gebliebene Mikrotumore erreichen.
Es hat sich gezeigt, dass die Chemosaturations-Therapie zur Verlangsamung oder zur Umkehr des Tumorwachstums bei bestimmten Krebsarten in der Leber beitragen kann. Die Chemosaturations-Therapie ist eine mehrfach anwendbare Behandlung, die es dem Arzt bei bestimmten Patienten ermöglichen kann, Tumore in der Leber unter Kontrolle zu bringen.
Die Chemosaturations-Therapie ist ein sehr anspruchsvolles Verfahren und kann nur von einem spezialisierten Expertenteam durchgeführt werden. Zu einem solchen Team gehören neben einem Radiologen und einem Anästhesist auch ein Kardiotechniker. (Letzterer ist für den extrakorporalen Filter und für die Kontrolle des Kreislaufsystems zuständig).

Präoperative Tumormarkierung
Eine Voraussetzung für die vollständige chirurgische Entfernung von Knochen- und Weichteiltumoren ist die präzise Erkennung der Tumorausdehnung und der Tumorgrenzen. Mit der Kernspintomographie (MRT) kann das Tumorgewebe exzellent von gesundem Gewebe abgegrenzt werden und somit die Ausdehnung vor der Operation bestimmt werden. Nach der kernspintomographischen Bestimmung der Tumorausdehnung werden unter kontinuierlicher MRT-Bildgebung die Grenzen des Tumors markiert. Die Marker werden mit einer Nadel ins angrenzende gesunde Gewebe eingebracht. Die Markierung kann am Tage vor der Operation durchgeführt werden. Alternativ ist die Tumormarkierung auch mit anderen bildgebenden Verfahren möglich, z.B. mit der Computertomographie oder dem Ultraschall.
Abbildung: Bei diesem Patienten wurde ein im Röntgen nur schlecht sichtbarer Knochentumor vor der Operation unter MRT-Kontrolle mit kleinen röntgendichten Spiralen („Coils“) markiert. Damit hat der Operateur eine optimale Darstellung des Tumorbereichs bzw. der Tumorgrenzen und kann gezielter, schonender und effektiver operieren.
Interventionelle Schmerztherapie
Thermoablation von Knochenmetasten zur Schmerztherapie
Die minimalinvasive Thermoablation kann eingesetzt werden, um schmerzhafte Knochenmetastasen zu behandeln. Damit eine Knochenmetastase mit diesem Verfahren effektiv und sicher behandelt werden kann, müssen bestimmte Bedingungen (wie Größe, Anzahl und Lage) erfüllt sein. Wir prüfen zusammen mit Kollegen der klinischen Partner-Abteilungen vor dem Eingriff, ob die Schmerztherapie einer Knochenmetastase mit der perkutanen Thermoablation möglich und sinnvoll ist.