360
361
362
364

Adresse: Osianderstr. 2-8
72076 Tübingen


Telefonnummer: 07071 29-86180 Callcenter


Öffnungszeiten: Öffnungszeiten
Montag bis Freitag
8.00-12.00 Uhr
& 13.00-17.00 Uhr


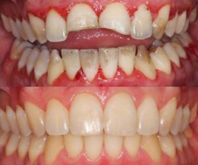
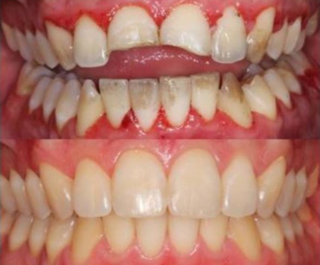
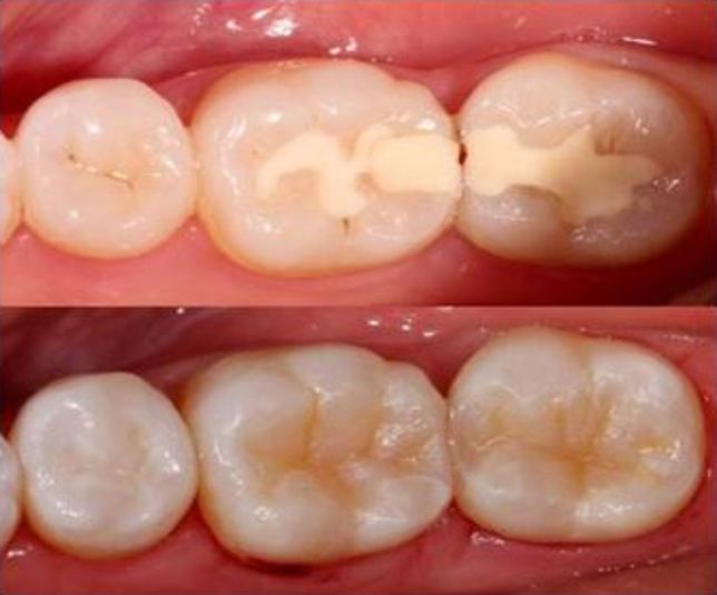
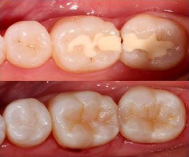
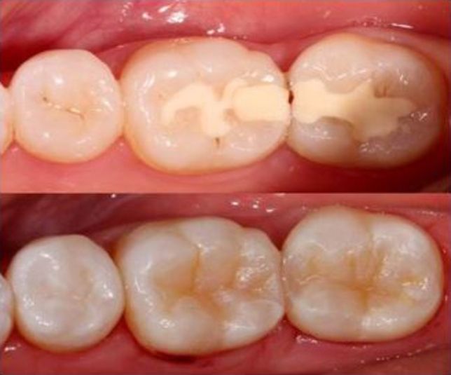
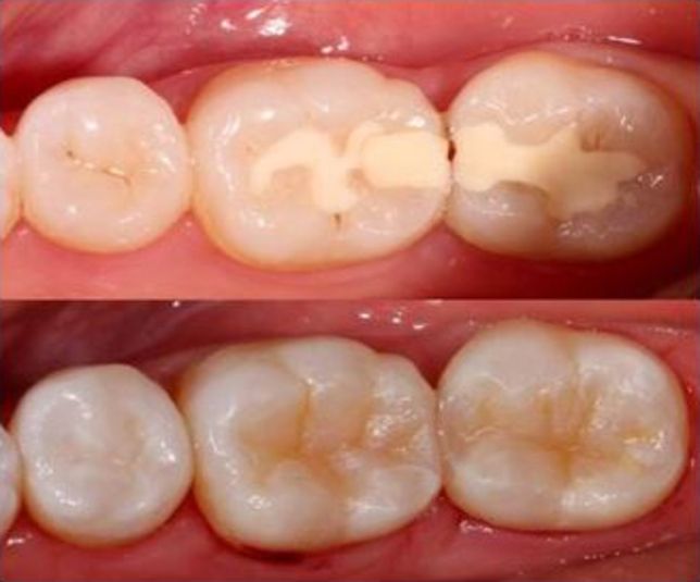
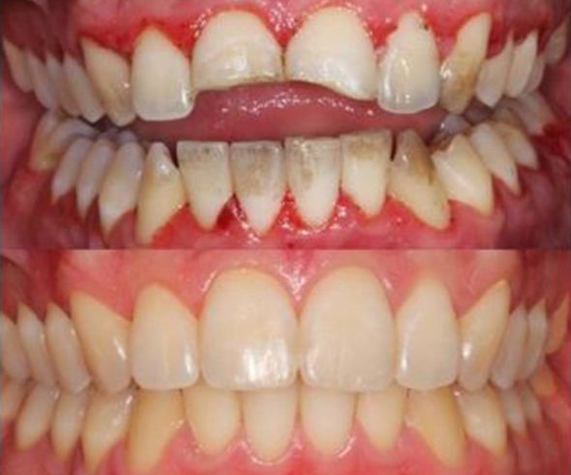
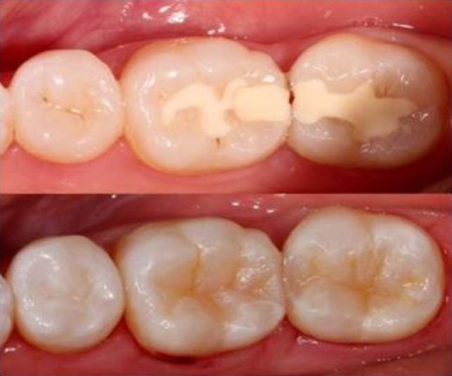
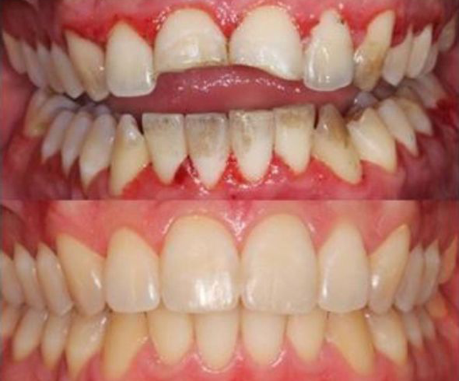
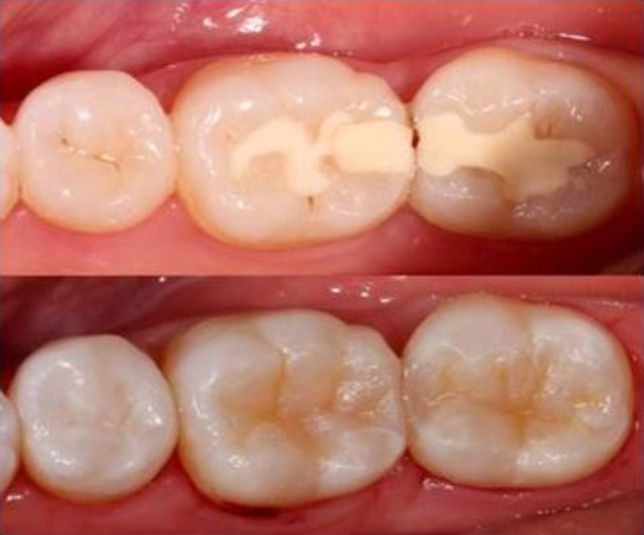
Direkte Restaurationen

oben: provisorische Füllungen aus Zement | unten: definitive Versorgung mit zahnfarbenen Kompositfüllungen

Kompositrestaurationen 

Kompositrestaurationen sind zahnfarbene Restaurationen, die über Adhäsivtechnik direkt mit den Zahnoberflächen verbunden werden. Daraus resultieren langlebige und ästhetisch ansprechende Versorgungen.

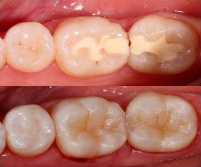
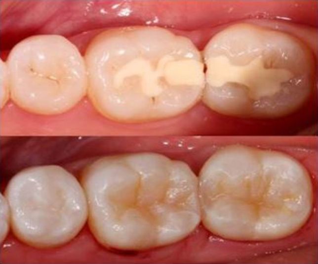
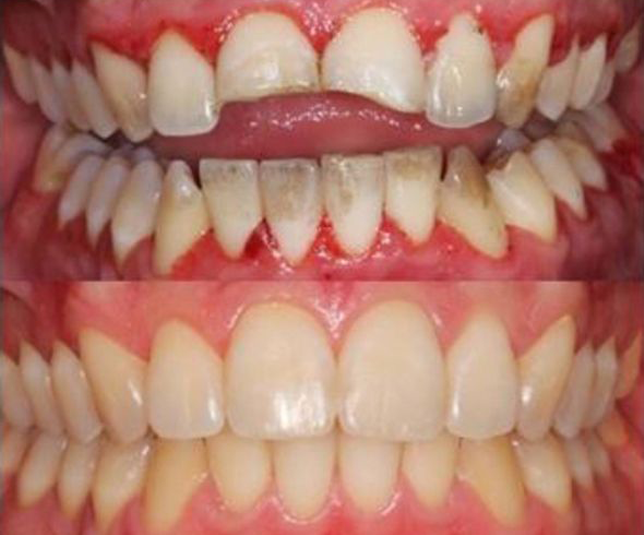
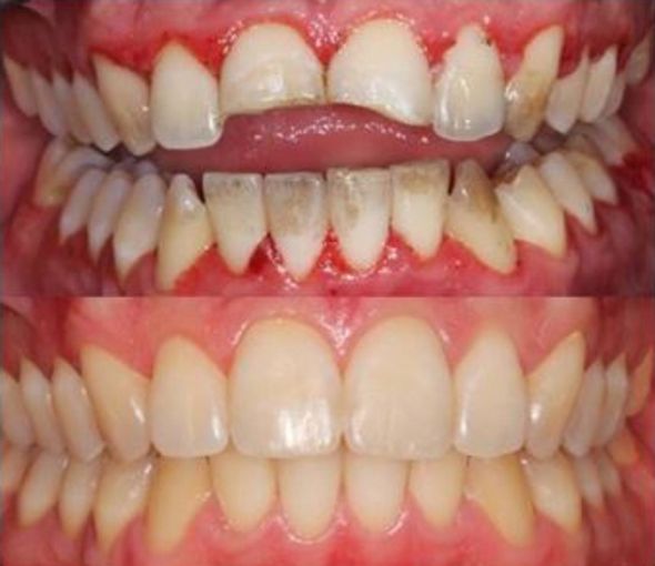
oben: frakturierte Frontzähne nach einem Unfall | unten: mit Komposit wieder aufgebaute Frontzähne

Frontzahngebiet

Mittels Mehrfarbtechnik wird Komposit in einzelnen Schichten unterschiedlicher Farbintensitäten eingebracht, um die Restauration bestmöglich an die natürliche Zahnfarbe und -form anzupassen. In vielen Fällen kann durch eine Versorgung mit Kompositen eine sehr gute Ästhetik erzielt werden.

Teilweise empfiehlt sich in der Front der Einsatz von sog. Keramikveneers (Verschalungen). Hierzu wird die Oberfläche des Zahnes leicht abgetragen und in einer zweiten Sitzung das Veneer auf die Zähne geklebt.

Mehr zu indirekten Verfahren

Aufklärungsbogen

Bei Interesse können Sie hier unseren Aufklärungsbogen für direkte Restaurationen herunterladen und vorab ausfüllen. Dieser wird vor Ihrer Behandlung mit Ihnen besprochen. 

Aufklärungsbogen Direktes Verfahren

Zertifikate und Verbände