330

Adresse: Calwerstraße 7
72076 Tübingen


Notfälle

In Notfällen: 07071 29-82211


Ersttrimester-Screening und NIPT

Liebe Patientin,

wir freuen uns, dass Sie zum Ersttrimester-Screening zu uns gekommen sind. Mit dieser Broschüre wollen wir Sie über die anstehende Untersuchung informieren. Das Informationsschreiben ersetzt nicht die Aufklärung und genetische Beratung. Diese erfolgt im persönlichen Gespräch mit den behandelnden Ärztinnen und Ärzten.

Das Ersttrimester-Screening ist eine vielschichtige Untersuchung, die zwischen der 12. und 14. Schwangerschaftswoche durchgeführt werden kann. Sie dient dazu, Ihr Risikoprofil zu bestimmen und die Schwangerschaftsbetreuung individuell an Ihre Bedürfnisse anpassen. 

Bestandteile des Ersttrimester-Screenings sind

  • Berechnung des Risikos einer fetalen Chromosomenstörung
  • Beurteilung der körperlichen Entwicklung des Feten und
  • Berechnung des Risikos einer Präeklampsie (Bluthochdruckerkrankungen in der Schwangerschaft

Die Untersuchung besteht aus einer vorangehenden Aufklärung und Beratung, einer eingehenden Ultraschall- und Blutuntersuchung sowie der Messung des mütterlichen Blutdrucks. Die Ergebnisse der Ultraschalluntersuchung teilen wir Ihnen direkt mit. Über das Gesamtergebnis der Ersttrimester-Screenings informieren wir Sie in einem separaten Gespräch ein paar Tage später.

In den unten aufgeführten Untermenus werden die Untersuchungen näher beschrieben.

Die Stärke des Ersttrimester-Screenings liegt in der Kombination verschiedener Einzeluntersuchungen, die im Rahmen des Ersttrimester-Screenings durchgeführt werden.

Es stellt deutlich mehr als nur eine isolierte Blutabnahme für die zellfreie DNA-Analyse (NIPT) oder die Messung der Nackentransparenz dar. Das Ersttrimester-Screening ist die zentrale Untersuchung, mit der wir erkennen können, ob ein erhöhtes Risiko für ein Problem in der Schwangerschaft vorliegt. Dadurch kann die Schwangerschaftsvorsorge auf Sie persönlich anpasst werden.

Wir hoffen, dass wir Ihnen mit den hier aufgeführten Eckdaten zum Ersttrimester-Screening einen Überblick über die anstehende Untersuchung geben konnten. Die eigentliche Aufklärung und genetische Beratung erfolgten im Untersuchungszimmer im persönlichen Gespräch.

Herzliche Grüße,
Ihre Frauenklinik

Kontakt

Pränatalmedizin


Prof. Karl Oliver Kagan
Prof. Markus Hoopmann

07071 29-84807

07071 29-5619


frontend.sr-only_#{element.icon}: Praenatalzentrum@med.uni-tuebingen.de


Humangenetik


Prof. Olaf Rieß
PD Dr. Andreas Dufke

07071 29-76408


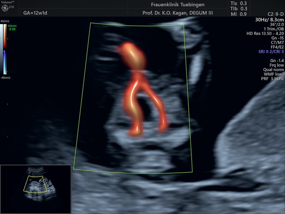
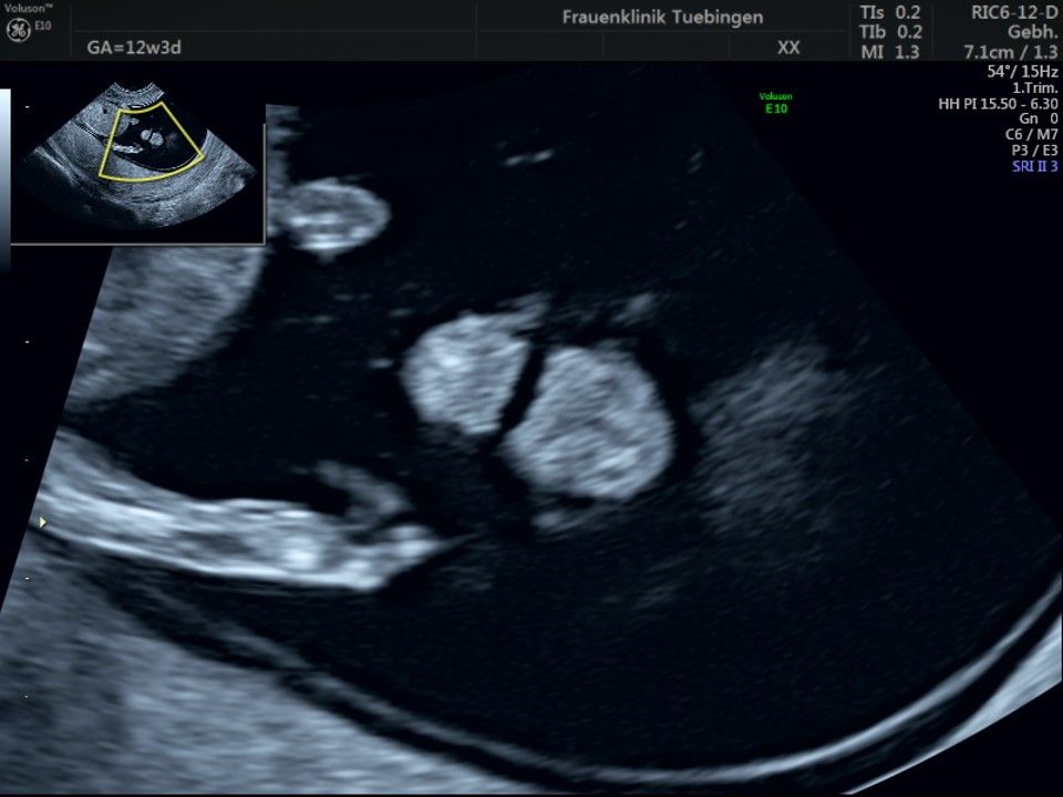
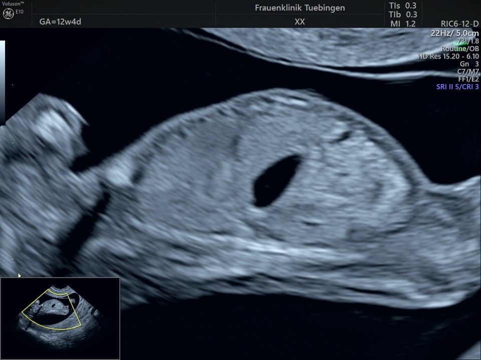
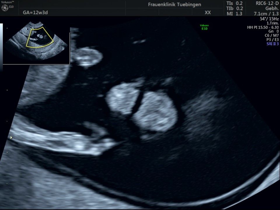
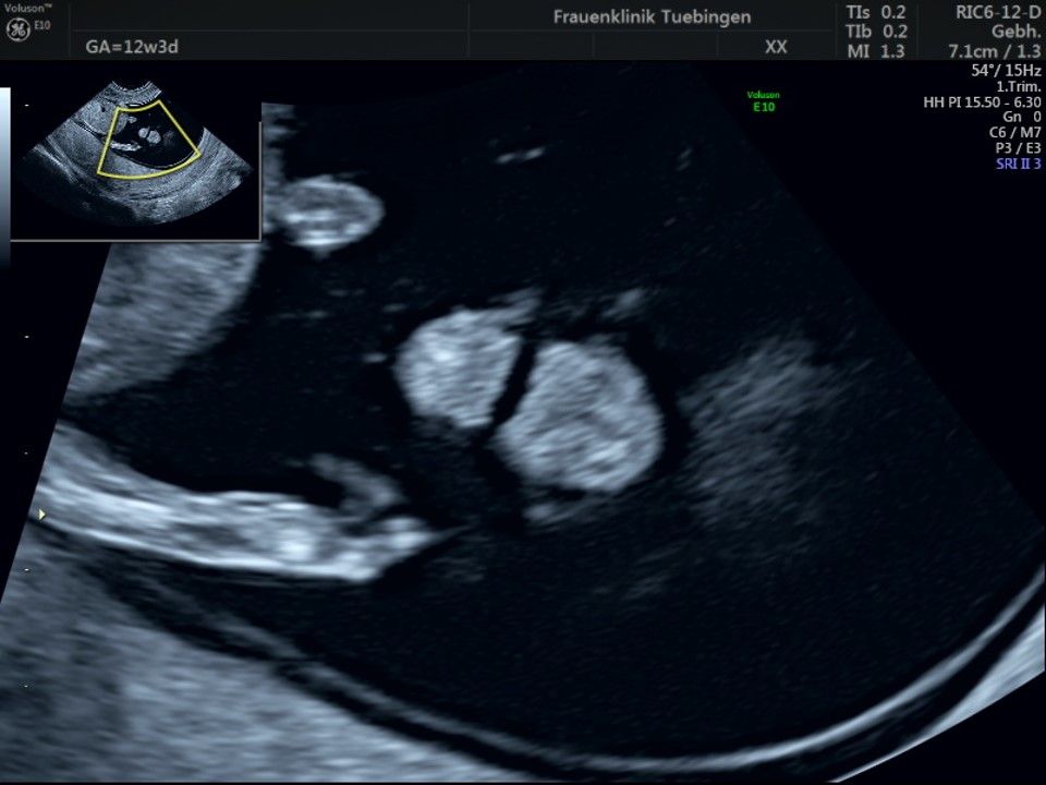
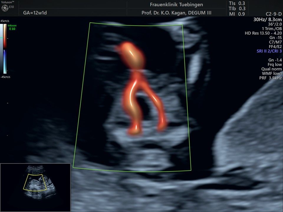
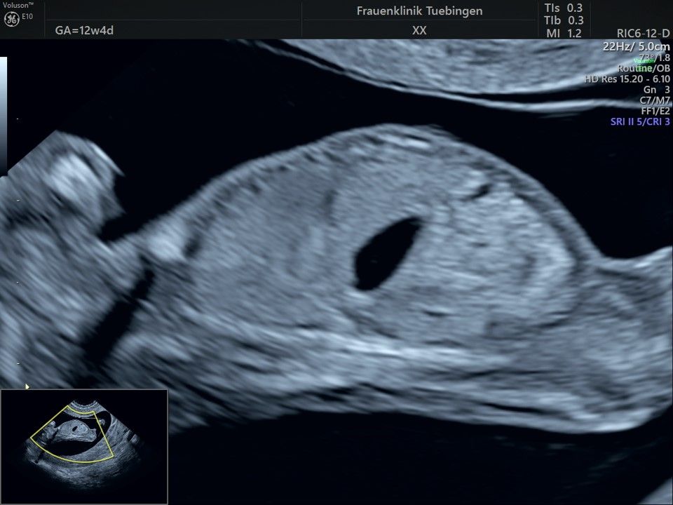
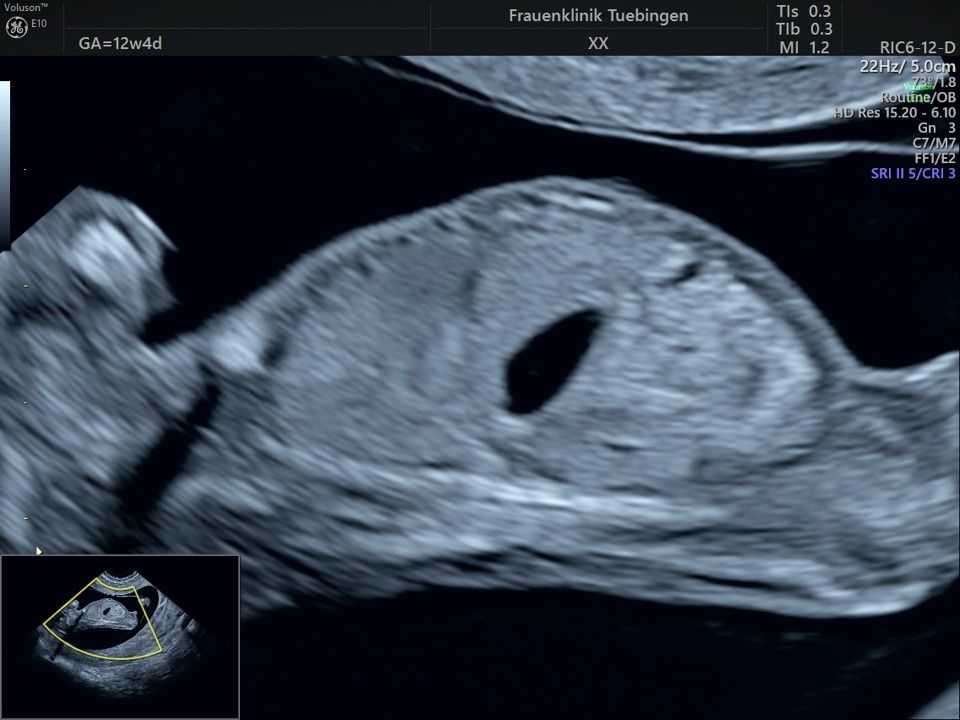
Im Rahmen des Ersttrimester-Screenings untersuchen wir die Organe des Feten mittels Ultraschall. Dabei machen wir auch gerne ein Bild für Sie.

Obwohl der Fet zu diesem Zeitpunkt erst zwischen 5 und 8cm groß ist, lassen sich bereits etwa die Hälfte aller schwerwiegenden Fehlbildungen erkennen bzw. ausschließen. Sollten wir eine Auffälligkeit sehen, werden wir mit Ihnen den Befund und das weitere Vorgehen ausführlich besprechen.

Die eigentliche Organuntersuchung findet um die 20.SSW (zweites Screening) statt. Das Ersttrimester-Screening und das zweite Screening sind sich ergänzende Untersuchungen und ersetzen sich gegenseitig nicht.

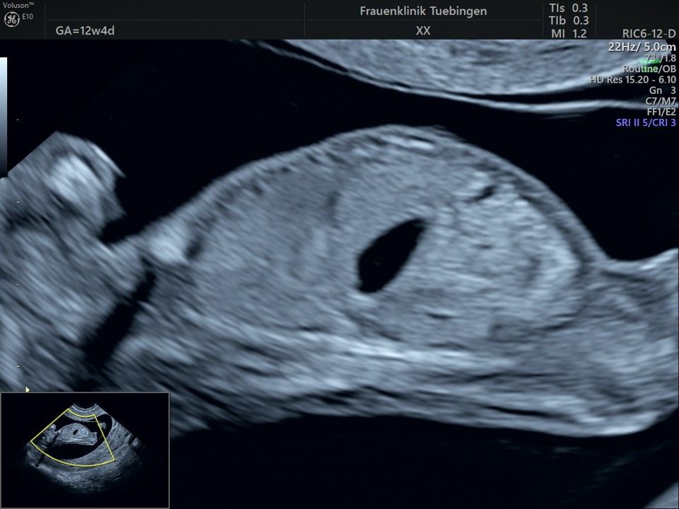
Fetale Anatomie
Fetale Anatomie
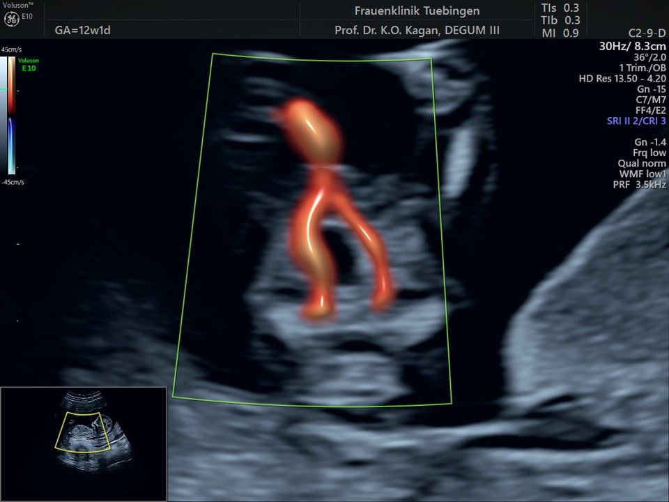
Herz
Herz
Bauchwanddefekt
Bauchwanddefekt

Die Präeklampsie ist eine relativ häufige Komplikation in der Schwangerschaft und betrifft die Schwangere selbst. Sie tritt in der zweiten Hälfte der Schwangerschaft auf und beinhaltet eine Bluthochdruckproblematik, eine vermehrte Eiweißausscheidung im Urin und Wassereinlagerungen. Zahlreiche andere Probleme können mit der Präeklampsie einhergehen. Häufig kommt es zu einer fetalen Wachstumsretardierung.

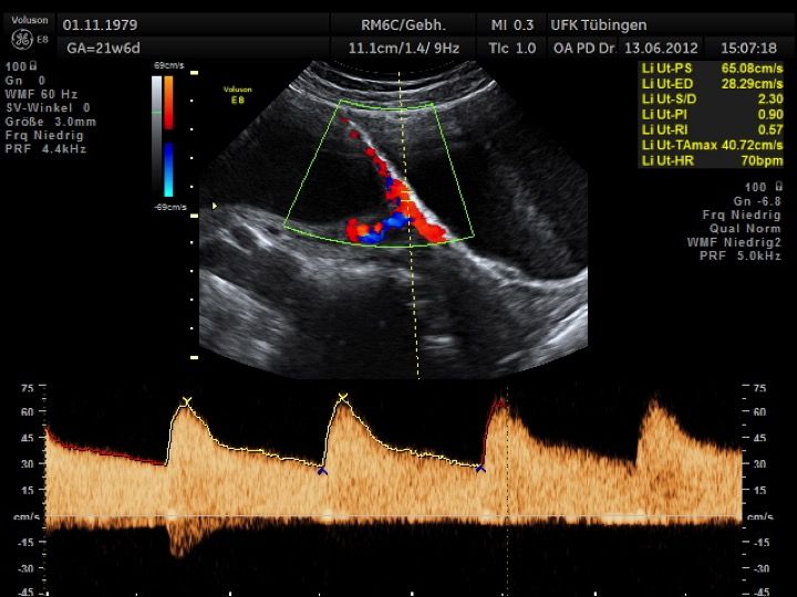
Mithilfe des Ersttrimester-Screenings kann das persönliche Risiko einer Präeklampsie bestimmt werden. Dazu wird die Vorgeschichte der Schwangeren, der aktuelle Blutdruck, das Ergebnis der Ultraschalluntersuchung (Widerstand in den Gebärmutter-nahen Gefäßen) und der Blutabnahme bei Ihnen (PAPP-A) kombiniert. Sollte das Risiko über 1:100 sein, empfehlen wir die tägliche Einnahme von Aspirin 150mg bis zu 35.SSW und eine gezielte Überwachung der weiteren Schwangerschaft.

Auch hier gilt wieder, dass der Untersuchung eine Aufklärung und Beratung vorausgeht und die Ergebnisse nach Abschluss der Untersuchung ausführlich besprochen werden.

Es gibt viele fetale Chromosomenstörungen bzw. Erbgutveränderungen, nicht nur die bekannte Trisomie 21 (Down-Syndrom). Die Auffälligkeiten in den Chromosomen betreffen sowohl die Anzahl als auch die Struktur der Chromosomen. Sowohl die Trisomie 21 als auch die anderen klassischen Trisomien 18 und 13 sind altersabhängig. Das Risiko für eine fetale Trisomie 21 in der 12.SSW liegt bei etwa 1:1.000 bei einer 20jährigen und 1:100 bei einer 40jährigen Patientin. Andere Chromosomenstörungen kommen in allen Altersschichten gleich häufig vor. Das Gesamt-Risiko einer Chromosomenstörung liegt in der 12.SSW bei etwa 1:120 bei einer 20jährigen und 1:40 bei einer 40jährigen Schwangeren. Die Risiken sind graphisch in Abbildung 1 dargelegt.

Die Risiken können im Einzelfall deutlich abweichen. Das persönliche Risikoprofil wird im Rahmen der Aufklärung und der genetischen Beratung besprochen.

Es sollte berücksichtigt werden, dass strukturelle/anatomische Fehlbildungen (z.B. angeborene Herzfehler) deutlich häufiger auftreten. Bei etwa 2-3% (1:30 - 1:50) der Feten werden Fehlbildungen gefunden. Diese können isoliert, d.h. ohne Chromosomenstörung auftreten. Sie werden aber gehäuft bei Trisomien und andersartigen Veränderung des Erbguts gefunden. Daher ist eine detaillierte Ultraschalluntersuchung im Rahmen der Risikobeurteilung unerlässlich. Sollte eine Fehlbildung erkannt werden, so ist eine Risikoberechnung für Trisomie 21 alleine nicht ausreichend. Hier sollte eher an eine Fruchtwasser- oder Mutterkuchenpunktion gedacht werden, um eine Chromosomenstörung erkennen oder ausschließen zu können.

Wie erfolgt die Risikobeurteilung?

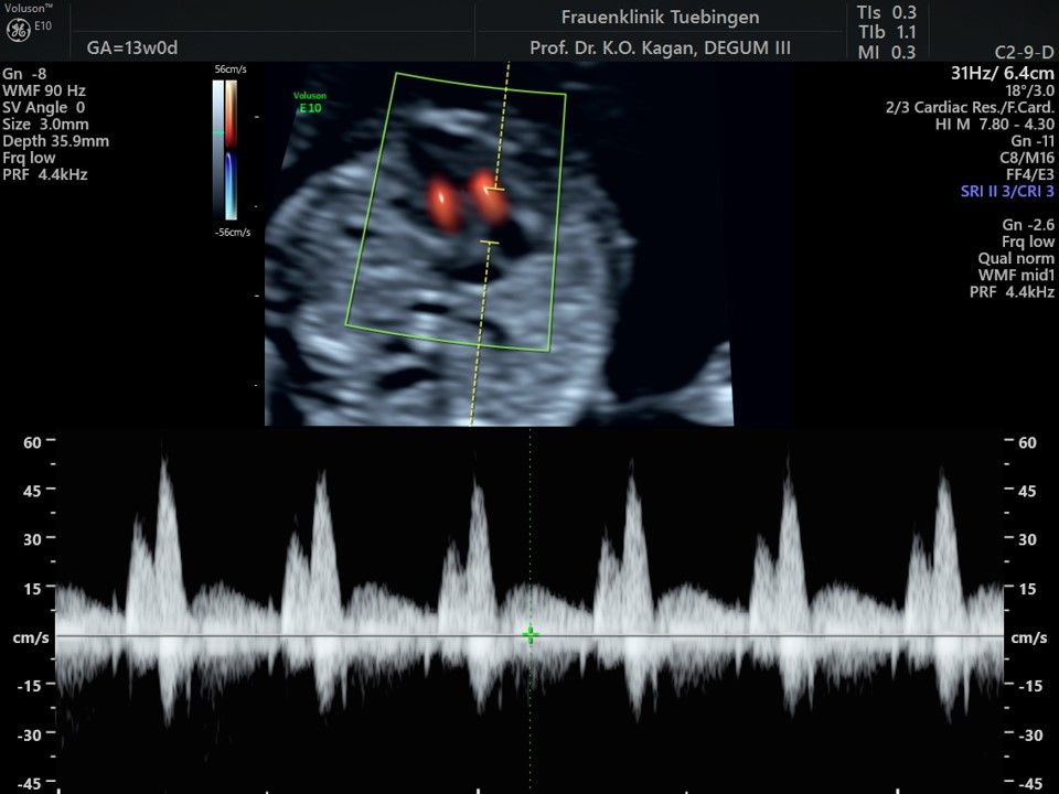
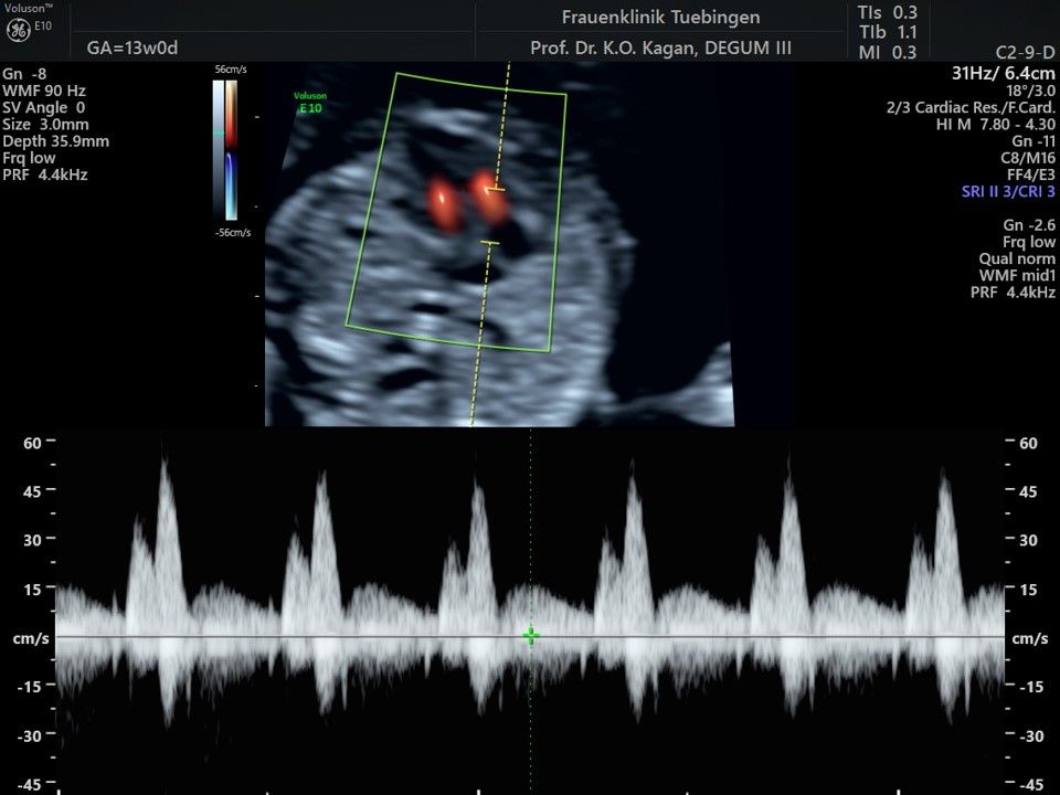
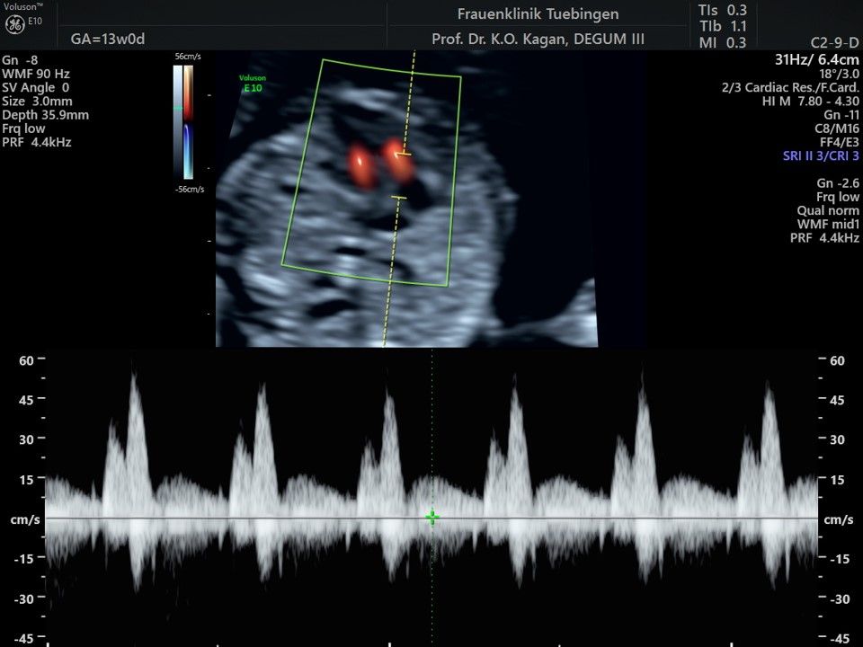
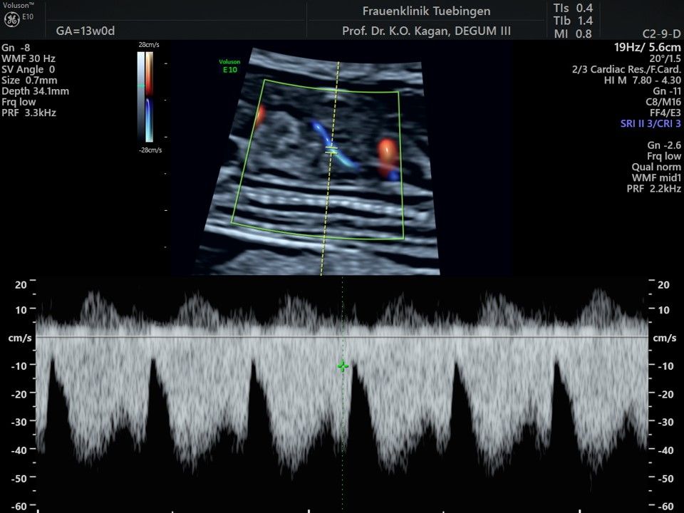
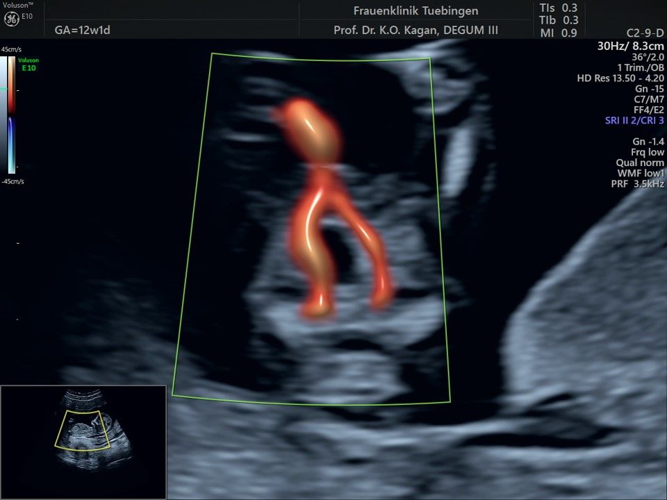
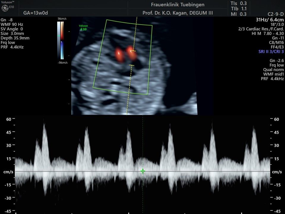
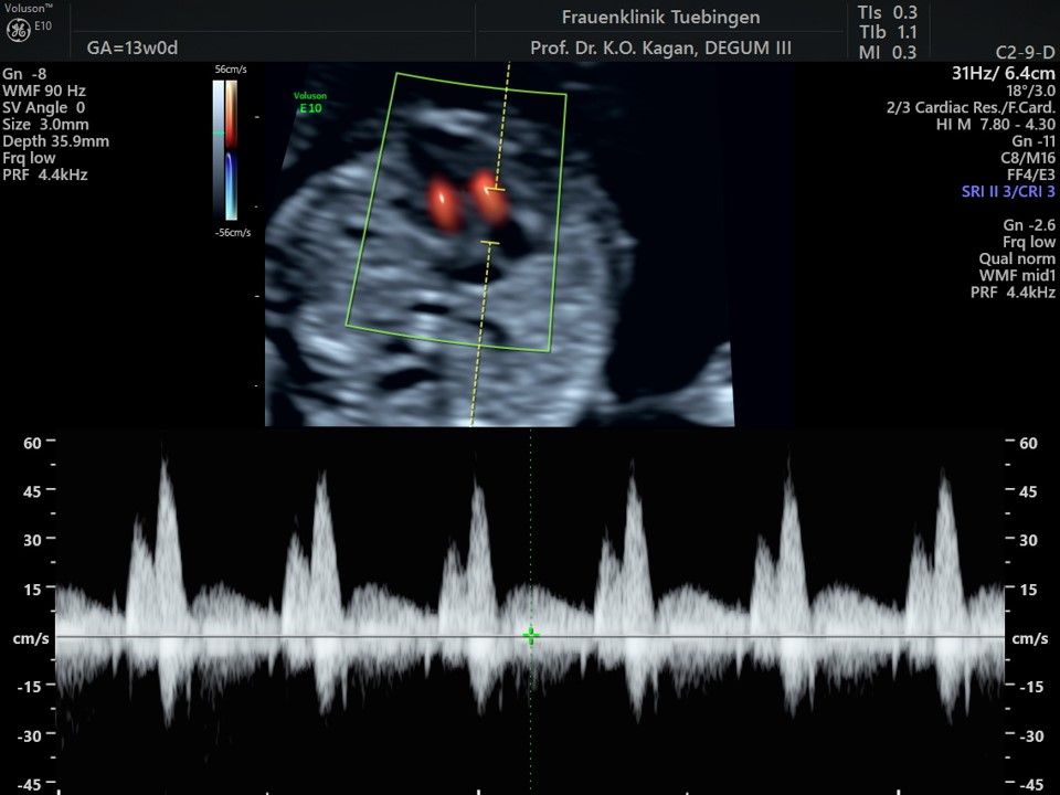
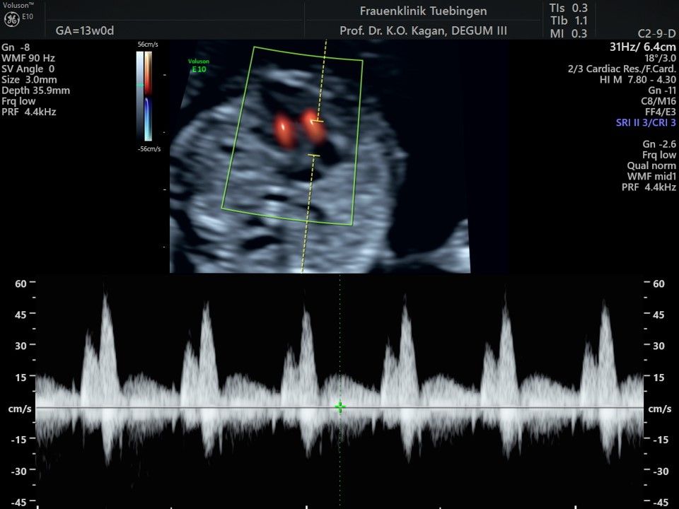
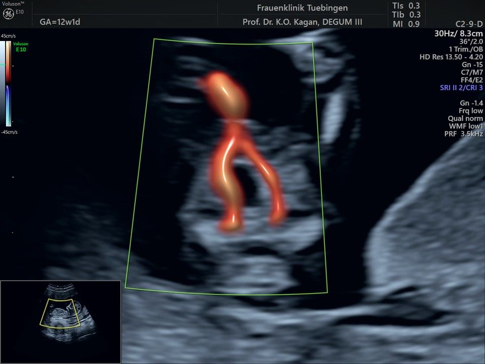
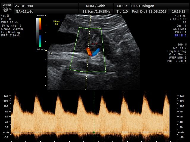
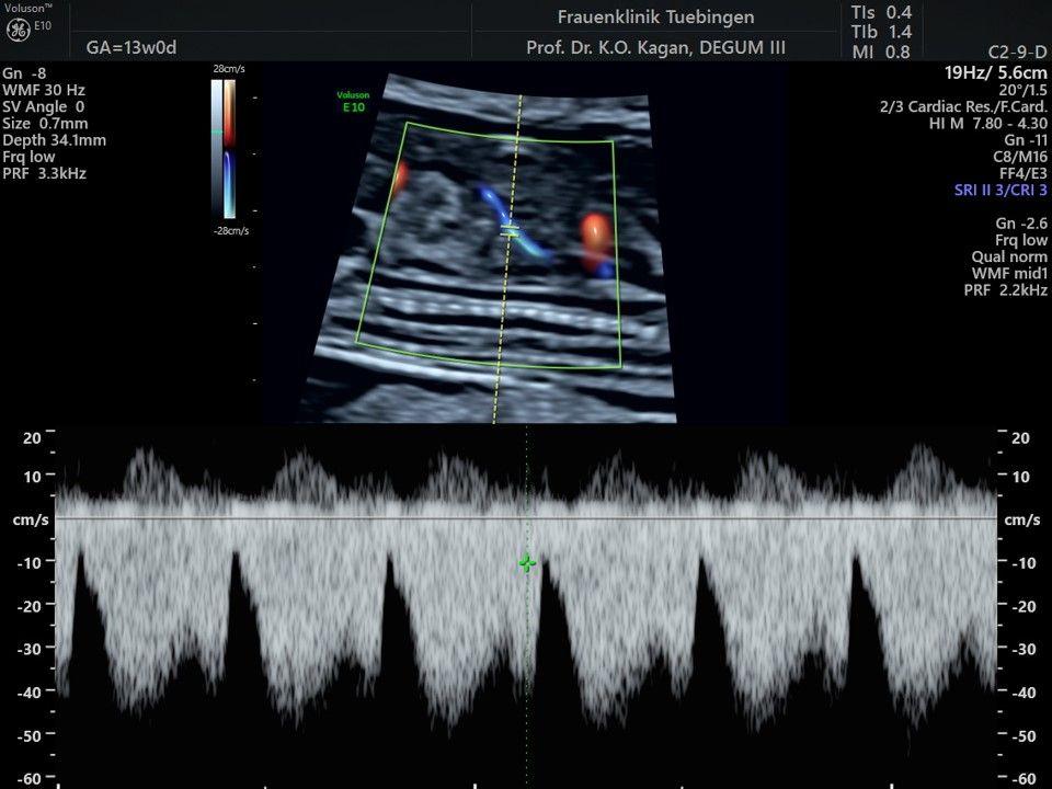
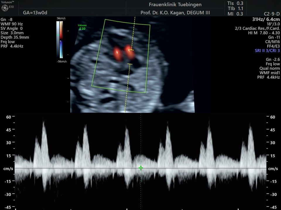
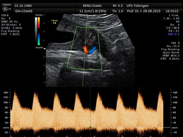
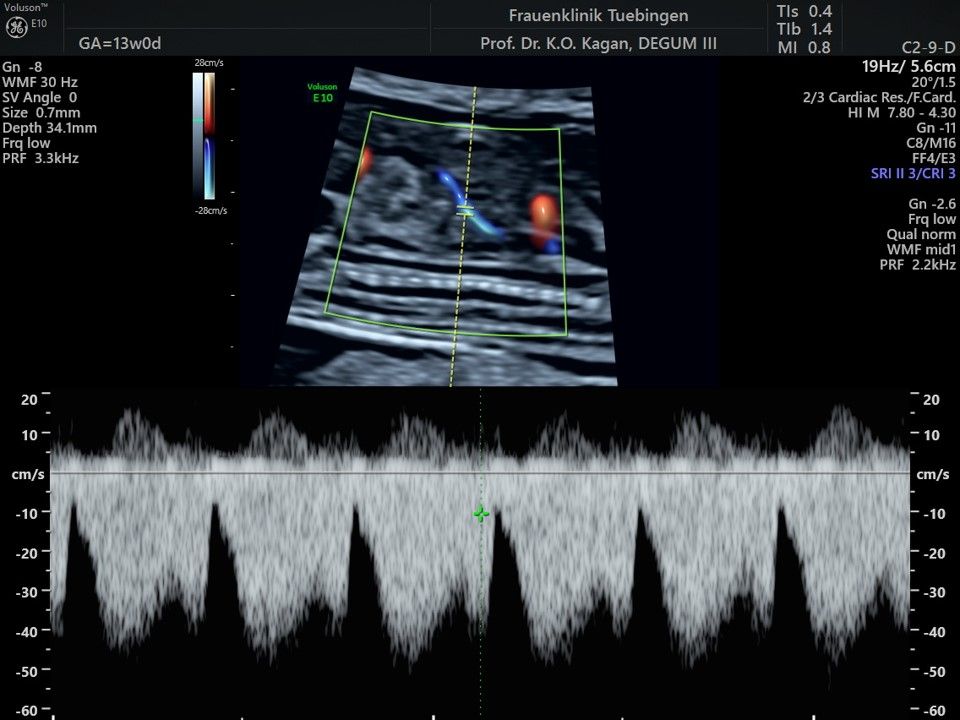
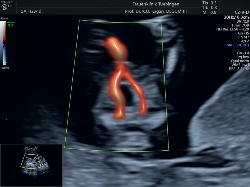
Das Ergebnis der Ultraschalluntersuchung ist wegweisend. Dabei wird der Fet vermessen, die Organe werden untersucht und die sonographischen Marker zur Risikoberechnung für Chromosomenstörungen werden beurteilt. Das sind: die Nackentransparenzdicke, Nasenbein sowie der Blutfluss in der rechten Herzhälfte und im Ductus venosus, einem Gefäß in der Leber des Feten.

Findet sich eine Fehlbildung oder ist die Nackentransparenzdicke deutlich erhöht, werden wir mit Ihnen eine Abklärung mittels Fruchtwasser- oder Mutterkuchenpunktion besprechen. Ob diese dann tatsächlich durchgeführt wird, müssen wir in einem gemeinsamen Gespräch klären.

Wissenschaftliche Abbildung
Abbildung 1: Risiken für Chromosomenstörungen und für strukturelle Fehlbildungen bei einer 20 und einer 40jährigen Patientin.

Zellfreie DNA-Analyse (NIPT): Hierbei wird Ihnen Blut zur Bestimmung der zellfreien DNA im mütterlichen Blut abgenommen. Die Ergebnisse sind nach ein paar Tagen verfügbar, auch hier werden wir Sie über das Ergebnis zunächst telefonisch informieren. Mit der zellfreien DNA-Analyse werden etwa 99% der Feten mit Trisomie 21 erkannt, mit einem falsch-positiven Ergebnis ist bei etwa 0,1% der Schwangeren zu rechnen.

Die zellfreie DNA-Analyse bleibt in etwa 2-3% der Fälle ohne Ergebnis. Die Blutabnahme kann nach etwa 2-3 Wochen wiederholt werden. Sollte wieder kein Ergebnis erzielt werden, sollte eine Fruchtwasser- oder Mutterkuchenpunktion erwogen werden, da das Risiko einer Chromosomenstörung bei Testversagen ansteigt.

Der gemeinsame Bundesausschluss (G-BA) hat beschlossen, dass die zellfreie DNA-Analyse ab dem 1.7.2022 von den Krankenkassen übernommen werden kann, wenn ein Risiko vorliegt. Eine Anwendung der Untersuchung bei allen Patientinnen ist vom G-BA nicht gewünscht.

Wir werden daher in einem gemeinsamen Gespräch mit Ihnen besprechen, welcher Ansatz für Sie am besten passt.

Grundsätzlich gilt aber, dass mit beiden Ansätzen ein Risiko berechnet wird, welches sich auf bestimmte Chromosomenstörungen, insbesondere die Trisomien 21, 13 und 18, bezieht. Ein sicherer Ausschluss einer Chromosomenstörung bzw. einer Erbgutveränderung ist mithilfe dieser Methoden nicht möglich. Wenn eine spezifische, bereits vorab bekannte Erbgutveränderung ausgeschlossen werden soll oder wenn Sie eine umfassende Untersuchung einer numerischen oder strukturellen Chromosomenstörung wünschen, ist weiterhin eine Fruchtwasser- oder Mutterkuchenpunktion notwendig. Diese sind aber mit einem 0,1%igen Fehlgeburtsrisiko vergesellschaftet ist.

Abschließend möchten wir darauf hinweisen, dass Sie sowohl vor als auch nach der Untersuchung das Recht auf eine genetische Beratung haben. Diese wird von uns übernommen, im Einzelfall überweisen wir Sie aber auch zu unseren Kollegen in die Humangenetik.

Sollte die Ultraschalluntersuchung unauffällig sein, so ist die Wahrscheinlichkeit, dass der Fet eine Chromosomenstörung hat, deutlich abgesenkt. Es folgt eine Blutuntersuchung zur Berechnung des Risikos für eine Trisomie 21, 18 und 13.

Hier gibt es zwei unterschiedliche Ansätze:

Wissenschaftliche Abbildung
Abbildung 2: Berechnetes Risiko für Trisomie 21 und weiterführende Maßnahmen

Klassischer Ansatz: Dabei wird Ihnen Blut zur Bestimmung der Hormone freies beta-hCG und PAPP-A abgenommen. Die Konzentration der Hormone im mütterlichen Blut ist im Falle einer Chromosomenstörung häufig auffällig. Gemeinsam mit dem Alter der Schwangeren und den Ultraschallbefunden können die Blutwerte zur Risikoberechnung verwendet werden. Das Trisomie-Risiko wird in Form von 1:x also beispielsweise 1:100 oder 1:1.000 berechnet. Wir rufen Sie nach ein paar Tagen an und informieren Sie über das Endergebnis. Bei der Mehrheit der Schwangeren ist mit beruhigenden, niedrigen Risikowerten unter 1:1.000 zu rechnen. Ungefähr bei jeder vierten Patientin wird das Risiko für Trisomie 21 zwischen 1:10 und 1:1.000 liegen. In diesen Fällen ist das Risiko für eine Trisomie 21 immer noch niedrig. Dennoch ist eine weitere Risikobeurteilung mithilfe der zellfreien DNA (NIPT) sinnvoll. Diese beinhaltet eine erneute Blutabnahme bei Ihnen. Dabei wird das Risiko auf eine andere Art berechnet (siehe unten). Mit dieser kombinierten Methode werden 98,5% der Feten mit Trisomie 21 erkannt. Bei weniger als 1% der Feten mit normalen Chromosomen ist mit einem erhöhten Risiko zu rechnen (Abbildung 2).

Zertifikate und Verbände