Gynäkologische Bildgebung

Die gynäkologische Bildgebung umfasst sowohl die Brustdiagnostik als auch die Diagnostik der inneren weiblichen Geschlechtsorgane und von Fehlbildungen des Urogenitaltraktes.

Die Diagnostik und Therapie von Erkrankungen der weiblichen Brust wird im  Brustzentrum des Universitätsklinikums Tübingen in enger Kooperation der Abteilung für Diagnostische und Interventionelle Radiologie und der Universitäts-Frauenklinik durchgeführt.

Zur bildgebenden Brustdiagnostik stehen die Mammographie, der Brustultraschall und die Kernspintomographie zur Verfügung. Bei auffälligen Befunden ist es möglich, unter Kontrolle der nachfolgend beschriebenen Verfahren Gewebeproben zu entnehmen, ohne gleich eine Operation durchzuführen. Dies wird als minimal-invasive Abklärung bezeichnet.

Kontakt

Terminvergabe
Mammographie und Mamma-MRT

07071 29-82241


Brustdiagnostik

Die Mammographie ist eine Röntgenaufnahme der Brust, mit der gutartige und bösartige Veränderungen dargestellt werden können. Diese Untersuchung ist die einzige anerkannte Untersuchung zur Brustkrebsfrüherkennung und die einzige Methode, mit der auch kleine Verkalkungen in der Brust zuverlässig erkannt werden können. Im Rahmen des Mammographie-Screenings werden alle Frauen im Alter von 50-69 Jahren alle 2 Jahre zur Mammographie eingeladen. In diesem Alter tritt Brustkrebs am häufigsten auf, daher ist eine Mammographie hier in jedem Fall empfehlenswert. Darüber hinaus gibt es Hinweise darauf, dass auch jüngere Frauen ab dem 40. Lebensjahr und ältere Frauen (70 Jahre und älter) in bestimmten Fällen von einer Mammographie profitieren. Wenn bei der jährlichen Tastuntersuchung durch den Frauenarzt oder bei der Brustselbstuntersuchung (Tasten) auffällige Befunde erhoben werden, eine verdächtige Flüssigkeitsabsonderung aus der Brustwarze (blutig oder klar) besteht oder eine neu aufgetretene Hauteinziehung oder Rötung auftritt, ist die Mammographie bei Frauen ab 40 Jahren die erste Methode, die zur Abklärung dieser Befunde eingesetzt werden sollte.

Bei der Mammographie entsteht das Bild entweder durch Belichtung eines Röntgenfilms (Film-Folien-Mammographie) oder mit Hilfe eines digitalen Bilddetektors (digitale Mammographie). Beide Systeme erreichen eine ähnliche Bildqualität. Studien haben gezeigt, dass bestimmte Veränderungen (Mikrokalk) etwas besser mit der digitalen Technik dargestellt werden können. In der Universitätsklinik Tübingen sind zwei digitale Mammographie-Systeme installiert, Film-Folien-Systeme werden nicht mehr verwendet. Die zwei zur Verfügung stehenden Mammographiegeräte bieten außerdem die Möglichkeit, eine Schichtbildmammographie, die sogenannte Tomosynthese, durchzuführen. Mit dieser Technik können gutartige Befunde besser von bösartigen Befunden differenziert werden.

Eine weitere Mammographie-Technik, die an unserer Universitätsklinik durchgeführt wird, ist die kontrastmittelangehobene Mammographie. Sie ist – insbesondere, wenn eine Kernspintomographie (s.u.) aus bestimmten Gründen (z.B. Angst in engen Räumen) nicht durchführbar ist – eine hilfreiche Methode, um auffällige Veränderungen in einer dichten Brust, also einer Brust mit viel Drüsengewebe, zu detektieren. Da die Mammographie eine Röntgenuntersuchung ist, sollte sie nur durchgeführt werden, wenn die Untersuchung medizinisch begründet ist, um eine unnötige Anwendung von Röntgenstrahlen zu vermeiden. Jüngere Frauen (vor dem 40. Lebensjahr) sollten daher nicht ohne eine entsprechende medizinische Begründung mammographiert werden. Ab dem 50. Lebensjahr überwiegt der Nutzen der Mammographie deutlich gegenüber den wenig wahrscheinlichen möglichen Schäden durch die applizierte Strahlung.

Mammographie einer 52jährigen Patientin zur Brustkrebsfrüherkennung

Mit dieser Methode können gutartige und bösartige Veränderungen der Brust dargestellt werden. Der Brustultraschall ist in der Regel eine Zusatzuntersuchung zur Mammographie und alleinig nicht für die Brustkrebsfrüherkennung (Screening) geeignet. Immer, wenn die Mammographie eingeschränkt beurteilbar ist (z. B. dichtes Gewebe) oder wenn unklare oder auffällige Befunde bestehen (Tastbefunde oder mammographische Befunde), sollte eine ergänzende Sonographie durchgeführt werden. Bei jungen Frauen (jünger als 40 Jahre) ist der Brustultraschall die erste Methode zur Abklärung unklarer Tastbefunde. Da hier keine Röntgenstrahlung verwendet wird, ist die Methode gesundheitlich unbedenklich. In der radiologischen Universitätsklinik stehen zwei Ultraschallgeräte mit hochauflösenden Schallköpfen und den neuesten Techniken (Elastographie, Mikroflussdarstellung) zur Verfügung.

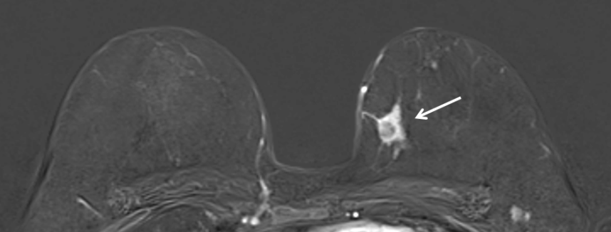
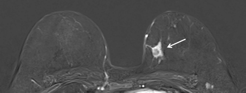
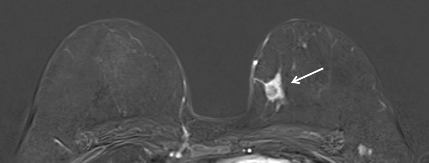
Bei der Kernspintomographie (= Magnetresonanztomographie oder MRT) der Brust werden mit Hilfe eines starken Magnetfeldes Schnittbilder beider Brüste erstellt. Die Untersuchung erfolgt ohne Röntgenstrahlen. Eine Kontrastmittelgabe ist in der Regel erforderlich. Die Kernspintomographie ist eine ergänzende Untersuchung, die bei speziellen Fragestellungen zusätzlich zu Sonographie und Mammographie durchgeführt wird. Bei Patientinnen mit Brustkrebs liefert sie oftmals wertvolle Zusatzinformationen zur Operationsplanung. Weiterhin findet sie bei speziellen Risikogruppen Anwendung, wie zum Beispiel bei Frauen, die bereits einmal wegen Brustkrebs operiert wurden oder Frauen mit nachgewiesen erhöhtem Brustkrebsrisiko, z.B. durch eine bekannte vorliegende Genmutation.

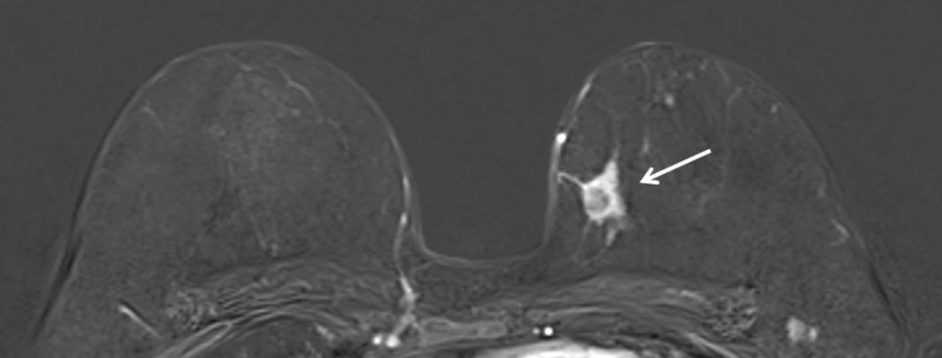
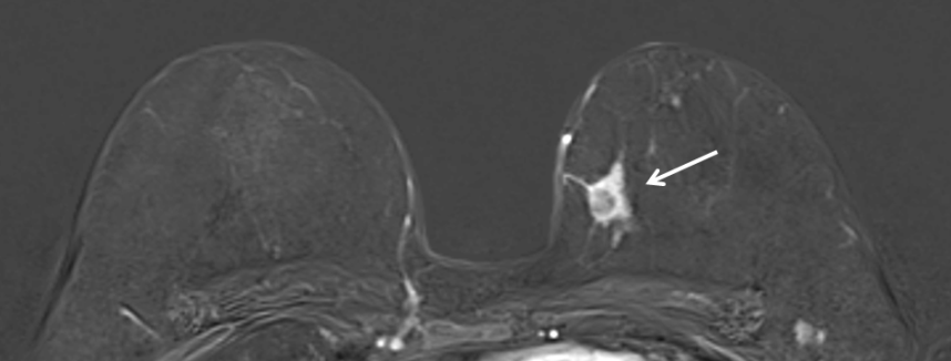
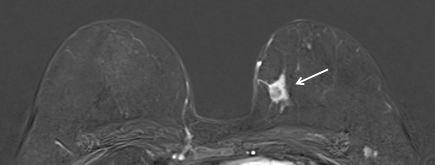
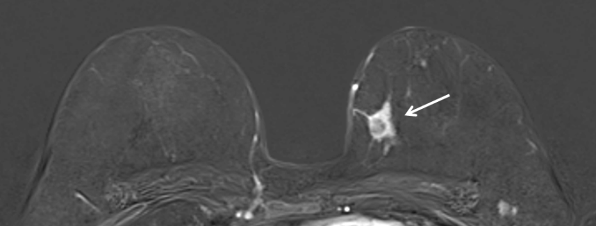
Kernspinuntersuchung einer 55jährigen Patientin mit gesichertem Karzinom in der linken Brust (im Bild rechts, Pfeil)

Die Kernspinuntersuchung der Brust ist nicht generell für die alleinige Brustkrebsfrüherkennung geeignet und kann auch nicht die Mammographie oder die Sonographie ersetzen.

Die Patientin befindet sich für die Untersuchung der Brust etwa 20 Minuten im MRT Gerät. Sie liegt hierfür auf dem Bauch, die Brüste sind in einer speziellen Spule gelagert. Etwa nach der Hälfte der Untersuchungszeit wird das Kontrastmittel über eine Armvene injiziert. Zum Schutz vor dem während der Untersuchung entstehenden Lärm werden Kopfhörer getragen, über die auch die Kommunikation mit dem ärztlichen und MTRA-Personal möglich ist.

Bei Frauen mit regelmäßiger Zyklusblutung sollte die Kernspintomographie zwischen dem 7. und dem 14. Zyklustag, gerechnet vom 1. Tag der letzten Periodenblutung, erfolgen, um hormonelle Einflüsse auf das Drüsengewebe zu reduzieren. Diese könnten sonst zu falschen Befunden führen. Frauen, die nach den Wechseljahren Geschlechtshormone einnehmen, sollten diese mindestens 4 Wochen vor der Untersuchung absetzen. Zur Kontrolle der Nierenfunktion sollte ein aktueller Kreatinin-Wert (nicht älter als 3 Monate) vorliegen. Diesen können Sie bei Ihrem Haus- oder Frauenarzt bestimmen lassen.

Die Kernspintomographie der Brust ist eine schonende Untersuchungsmethode, da sie ohne Röntgenstrahlung auskommt. Bei bekannten Allergien gegen das verwendete Kontrastmittel, welches nicht jodhaltig ist, sollte allerdings die Notwendigkeit der Untersuchung überprüft werden. Ebenso sollte vor einer Kontrastmittelgabe die Nierenfunktion überprüft werden, da das Kontrastmittel bei unzureichender Nierenfunktion länger als üblich im Körper verbleibt und sich in Geweben und Organen einlagern kann. Bei nierengesunden Personen ist eine Kontrastmittelgabe diesbezüglich unbedenklich. Patientinnen mit eisenhaltigen Implantaten, insbesondere Herzschrittmachern oder Metall-Clips im Gehirn, können aufgrund des Risikos nicht oder nur eingeschränkt, unter besonderen Vorsichtsmaßnahmen, im Magnetfeld untersucht werden. Bei manchen Patientinnen, die unter Angst in engen Räumen leiden (Klaustrophobie) kann die MRT ggfs. nicht bzw. nur unter Gabe eines Beruhigungsmittels durchgeführt werden. Das weitere Procedere wird dann im Einzelfall mit der Patientin besprochen. 

In der Mammographie: Stereotaktische Vakuumbiopsie
Bei der stereotaktischen Vakuumbiopsie werden unter Röntgensicht Gewebeproben mit Hilfe einer Biopsienadel aus auffälligen Brustbereichen entnommen und anschließend durch einen Pathologen untersucht. Zumeist handelt es sich um auffällige Verkalkungen, da diese in der Regel nicht im Ultraschall oder der Kernspintomographie dargestellt werden können. Durch die feingewebliche Untersuchung der Proben kann eine bösartige Veränderung festgestellt oder ausgeschlossen werden. Der Eingriff dauert meist etwa eine Stunde und wird ambulant mit örtlicher Betäubung durchgeführt.

Hierfür steht in unserem Hause ein modernes Biopsiegerät zur Verfügung, an dem die Probeentnahme in Bauchlage Tomosynthese-gesteuert erfolgt.

Tomosynthese-gesteuerte Vakuumbiopsie von auffälligen Verkalkungen in der rechten Brust einer 52jährigen Patientin. Im linken Bild sieht man das Verkalkungsareal. Nach Entnahme von Gewebeproben (rechtes Bild) ist das Verkalkungsareal komplett entfernt und man kann den eingelegten Markierungsclip abgrenzen.

Auffällige Flüssigkeitsabsonderungen aus einem Milchgang (blutig oder klar) sollten mit Hilfe der Galaktographie abgeklärt werden. Dabei wird eine sehr feine stumpfe Sonde in den sezernierenden Milchgang eingeführt. Dies ist in der Regel nicht schmerzhaft. Anschließend wird röntgendichtes Kontrastmittel in den sondierten Gang injiziert, welches sich dann in dem baumartig verzweigenden Milchgangsegment verteilt. In der anschließenden Mammographie können so die mit Kontrastmittel gefüllten Milchgänge sichtbar gemacht werden. Krankhafte Veränderungen der Milchgänge müssen operativ entfernt werden, um bösartige Veränderungen auszuschließen.

Sonographisch auffällige Befunde werden unter Ultraschallsicht mittels Nadelbiopsie abgeklärt. Der Eingriff dauert nur wenige Minuten und wird ambulant unter örtlicher Betäubung durchgeführt. Die Gewebeproben werden anschließend von einem Pathologen untersucht, um bösartige Veränderungen nachzuweisen oder auszuschließen.

Sind in der Kernspintomographie auffällige Befunde nachgewiesen worden, müssen diese feingeweblich untersucht werden. Falls diese weder mammographisch noch sonographisch aufzufinden sind, muss eine MRT-gesteuerte Nadelbiopsie in örtlicher Betäubung oder eine MRT-gesteuerte Befundmarkierung und anschließende operative Gewebsgewinnung in Narkose durchgeführt werden. Beide Verfahren dienen zum Nachweis oder Ausschluss bösartiger Brustveränderungen.

Zur Diagnostik der inneren weiblichen Geschlechtsorgane und von Fehlbildungen des Urogenitaltraktes steht die Kernspintomographie zur Verfügung. In Rückenlage wird der Bauch- und Beckenraum untersucht, wozu in der Regel die Verabreichung von Kontrastmittel über die Vene notwendig ist. In manchen Fällen ist die Gabe von Buscopan erforderlich, um eine gute Bildqualität zu gewährleisten. Nach Buscopangabe kann die Fahrtüchtigkeit eingeschränkt sein, weshalb die Nutzung öffentlicher Verkehrsmittel oder eine fahrtüchtige Begleitperson erforderlich wären. Auch die Funktion des Beckenbodens kann in einer MRT Untersuchung mit bewegten Bildern (sogenannte dynamische Beckenuntersuchung) analysiert werden. Hier können z.B. Beckenboden-Insuffizienzen detailliert dargestellt und analysiert werden.

In der Radiologie der Universitätsklinik Tübingen stehen in den Räumen der Universitätsfrauenklink zwei moderne digitale Mammographie-Geräte zwei state-of-the-art Sonographie-Geräte, eine neueste Biopsie-Einheit sowie ein 1,5T MRT Gerät mit großem Röhrendurchmesser und dem neuesten Stand der Technik zur Verfügung.

Zertifikate und Verbände

Springe zum Hauptteil