Onkologie
Die Medizinische Onkologie (Abt. Innere Medizin VIII) ist spezialisiert auf die Behandlung fortgeschrittener Tumorerkrankungen und setzt dabei alle verfügbaren Krebstherapien, incl. entsprechender Innovationen ein. Zu den Schwerpunkten mit spezieller Expertise gehören insbesondere alle Formen von Weichteilsarkomen, Knochentumoren, gastrointestinalen Stromatumoren (GIST), neuroendokrinen Neoplasien (NEN), NUT-Karzinomen sowie zahlreiche weitere solide Tumorerkrankungen.
Pneumologische Onkologie / Lungentumore

Pneumologische Onkologie / Lungentumore
Die Pneumologische Onkologie ist zuständig für sämtliche Krebsformen der Lunge, der Atemwege und des Rippenfells (Pleurakarzinose). Alle Maßnahmen zur Diagnostik und personalisierten Behandlung erfolgen im Rahmen des Lungenkrebszentrums Tübingen, das gemäß den Vorgaben der Deutschen Krebsgesellschaft (DKG) zertifiziert ist. Hierzu werden Empfehlungen in unserer fachspezifischen interdisziplinären Tumorkonferenz erarbeitet, welche sich aus Kollegen der Pneumologie, Medizinischen Onkologie, Herz-Thorax-Chirurgie, Strahlentherapie, Radiologie, Palliativmedizin und Pathologie zusammensetzt.
Weichteilsarkome, Knochentumoren und gastrointestinale Stromatumoren (GIST)


Das interdisziplinäre Sarkomzentrum in Tübingen ist eines der in Deutschland nach Vorgaben der deutschen Krebsgesellschaft (DKG) zertifizierten Zentren für Weichteilsarkome.
Weichteilsarkome, Knochentumoren und gastrointestinale Stromatumoren (GIST)
Die Medizinische Onkologie (Abt. Innere Medizin VIII) ist tragende Abteilung des nach der Deutschen Krebsgesellschaft (DKG) zertifizierten Zentrums für Weichteilsarkome, GIST und Knochentumoren (ZWS), das eines der größten Sarkomzentren in Deutschland darstellt und zum Comprehensive Cancer Center (CCC) Tübingen-Stuttgart gehört.
Am Sarkomzentrum Tübingen arbeiten wir mit allen Experten des Universitätsklinikums Tübingen sowie der BG-Klinik Tübingen interdisziplinär zusammen. Patientenfälle werden wöchentlich montags in der Sarkom-Tumorkonferenz im Expertenkreis des ZWS besprochen. Auf dieser Grundlage leisten wir wichtige Beiträge zur "Personalisierten Onkologie", sodass wir jedem Patienten die beste individuelle Diagnostik und Therapie anbieten können. Ein besonderer Schwerpunkt dabei ist die Erstellung molekulargenetischer Profile (sog. Tumorgenom-Sequenzierung) sowie die Ermöglichung auch neuartiger molekularer und immunologischer Therapien.
Neuro-Endokrine Tumore

Neuro-Endokrine Tumore
Die Medizinische Klinik VIII ist tragende Abteilung des Zentrums für Neuroendokrine Tumore (NET Zentrum). Das excellente Potenzial für eine verbesserte Entwicklung neuartiger Behandlungsmöglichkeiten von NET-Tumoren ist in einem universitären Zentrum gebündelt, das dem Comprehensive Cancer Center (CCC) Tübingen-Stuttgart zugeordnet ist. In interdisziplinärer Zusammenarbeit diagnostizieren und behandeln wir Patienten mit allen Formen von NET-Tumoren.
NUT-Karzinome

NUT-Karzinome
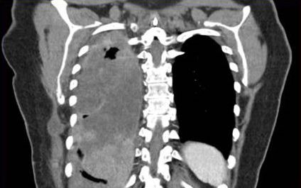
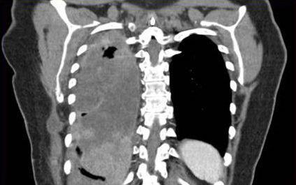
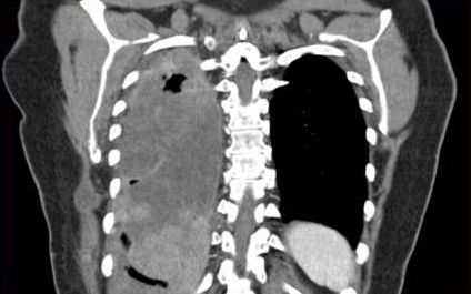
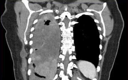
Das NUT-Karzinom (NC) ist ein seltener und hochgradig aggressiver Tumor, der hauptsächlich bei Jugendlichen und jungen Erwachsenen auftritt und durch das Vorhandensein eines singulären somatischen Rearrangements im NUTM1 Gen definiert ist.
Bisher waren Standardbehandlungsansätze wie Chemotherapie, Strahlentherapie und Operation nur in sehr seltenen, früh diagnostizierten Fällen mit stark lokalisierten Tumoren erfolgreich. Zielgerichtete Ansätze, einschließlich epigenetischer Modulatoren wie sog. BET- (iBET) und HDAC-Inhibitoren (HDACi) konnten diese katastrophale Situation nicht verbessern. Die Patienten versterben in der Regel innerhalb weniger Monate.
Onkolytische Viren (OV) stellen einen neuartigen Ansatz dar, der bislang noch nicht für die Behandlung von NC getestet wurde. Bei der Verwendung des Virotherapeutikums T-VEC (das bisher nur für Melanome als IMLYGIC® zugelassen ist) erwiesen sich NC-Zelllinien als sehr empfänglich und konnten mit großer Effizienz im Zuge der virotherapeutischen Behandlung abgetötet werden. Bei der Behandlung eines allerersten erwachsenen NC-Patienten am UKT wurde T-VEC nicht nur sehr gut vertragen, sondern vermehrte sich auch mit sehr hohen Raten in den NC-Tumorzellen des Patienten und führte so zu einer tiefgreifenden Onkolyse. Bei der Behandlung weiterer NC-Patienten am UKT (ein Erwachsener im Alter von 23 Jahren; ein Kind im Alter von 10 Jahren (in Zusammenarbeit mit PD Dr. Ines Brecht von der Universitätskinderklinik Tübingen) konnte ebenfalls sowohl die Sicherheit als auch die Wirksamkeit von T-VEC nachgewiesen werden.
Auf dieser Basis eröffnen wir gegenwärtig die weltweit erste Phase-I-Studie zur Untersuchung der additiven T-VEC-ImmunoVirotherapie von NUT-Karzinomen im Rahmen multimodaler Therapieschemata. Um die antitumorale Immunantwort weiter zu verstärken, wird der Immun-Checkpoint-Inhibitor Pembrolizumab zu jeder Anwendung von T-VEC hinzugefügt (wie bereits bei allen drei UKT NC-Patienten geschehen).
Literatur
- Kloker LD, Calukovic B, Benzler K, Golf A, Böhm S, Günther S, Horger M, Haas S, Berchtold S, Beil J, Carter ME, Ganzenmueller T, Singer S, Agaimy A, Stöhr R, Hartmann A, Duell T, Mairhofer S, Fohrer F, Reinmuth N, Zender L, Lauer UM. Case report: Immunovirotherapy as a novel add-on treatment in a patient with thoracic NUT carcinoma. Front Oncol. 2022 Oct 27;12:995744. doi: 10.3389/fonc.2022.995744.
- Ohnesorge PV, Berchtold S, Beil J, Haas SA, Smirnow I, Schenk A, French CA, Luong NM, Huang Y, Fehrenbacher B, Schaller M, Lauer UM. Efficacy of Oncolytic Herpes Simplex Virus T-VEC Combined with BET Inhibitors as an Innovative Therapy Approach for NUT Carcinoma. Cancers (Basel). 2022 Jun 2;14(11):2761. doi: 10.3390/cancers14112761.
- Lemelle L, Flaadt T, Fresneau B, Moya-Plana A, Timmermann B, Roganovic J, Ferrari A, Fichera G, Lauer UM, Ben-Ami T, Schneider DT, Vokuhl C, Bolle S, Fox E, DuBois SG, Rodriguez-Galindo C, Bisogno G, Surun A, Brecht IB, Orbach D. NUT Carcinoma in Children and Adolescents: The Expert European Standard Clinical Practice Harmonized Recommendations. J Pediatr Hematol Oncol. 2022 Oct 10. doi: 10.1097/MPH.0000000000002568.
- Lauer UM, Hinterleitner M, Horger M, Ohnesorge PV, Zender L. NUT Carcinoma - An Underdiagnosed Malignancy. Front Oncol. 2022 Jul 26;12:914031. doi: 10.3389/fonc.2022.914031. eCollection 2022. PMID: 35957893.
- Lauer UM, Beil J. Oncolytic viruses: challenges and considerations in an evolving clinical landscape. Future Oncol. 2022 Jul 12. doi: 10.2217/fon-2022-0440. Online ahead of print. PMID: 35818970.
- French CA, Cheng ML, Hanna GJ, DuBois SG, Chau NG, Hann CL, Storck S, Salgia R, Trucco M, Tseng J, Stathis A, Piekarz R, Lauer UM, Massard C, Bennett K, Coker S, Tontsch-Grunt U, Sos ML, Liao S, Wu CJ, Polyak K, Piha-Paul SA, Shapiro GI. Report of the First International Symposium on NUT Carcinoma. Clin Cancer Res. 2022 Apr 13:clincanres.0591.2022. doi: 10.1158/1078-0432.CCR-22-0591.
- Baumgartner K, Lauer U, Horger M, Zender L, Kloth C. Nuclear-protein-in-testis (NUT)-Mittellinienkarzinom. Fortschr Röntgenstr 2019. DOI: 10.1055/a-1026-6561
Solide Tumoren

Weitere solide Tumoren
Interdisziplinäres Onkologisches Kolloquium (IOK)
Die Medizinische Onkologie (Abt. Innere Medizin VIII) veranstaltet eine spezielle Tumorkonferenz, in der weitere solide Tumoren interdisziplinär diagnostiziert und behandelt werden, wie z.B. Schilddrüsenkarzinome, Thymuskarzinome, NUT-Karzinome, CUP (cancer of unknown primary)-Karzinome sowie weitere seltene Krebserkrankungen.
Tumorboards der Inneren Medizin VIII
Die wöchentlichen Tumorkonferenzen sind das Herzstück der interdisziplinären Zusammenarbeit mit dem CCC Tübingen-Stuttgart.
Interdisziplinäres Onkologisches Kolloquium (IOK)
Anmeldung und Informationen zum Board
Mehr erfahrenAlle Boards des CCC
Mehr erfahrenZertifikate und Verbände

Focus: Top Nationales Krankenhaus 2025

Stern: Deutschlands Ausgezeichnete Arbeitgeber Pflege 24/25

Qualitätspartnerschaft mit der PKV

Erfolgsfaktor Familie

Die Altersvorsorge für den Öffentlichen Dienst