Der Hydrocephalus ist kein einheitliches Krankheitsbild, sondern kann sich infolge vieler Ursachen und Ereignisse entwickeln. Es gibt verschiedene Definitionen, die sich entweder an einer vermeintlich zugrunde liegenden Ursache orientieren oder Bezug nehmen auf ein vermeintlich ursächliches Ereignis, dem der Hydrocephalus nachfolgt. Letztlich meint man mit Hydrocephalus in der Regel einen Zustand, bei dem es zu einer Erweiterung der inneren Gehirnkammern (Ventrikel) gekommen ist und sich somit relativ mehr Wasser innerhalb des Kopfraumes findet als üblich.
Häufigkeit
Angeborener Hydrocephalus
Eine angeborene Erweiterung der Hirnkammern kann bedingt sein durch einen Verschluss/Verengung der natürlichen inneren Hirnwasserwege, z.B. im Bereich des sog. Wasserganges (Aquädukt) oder im Bereich der Ausflussöffnungen aus der 4. Hirnkammer in die äußeren Hirnwasserräume. Dies kann sowohl bei einer isolierten Fehlbildung z.B. des Aquädukts der Fall sein, aber auch im Rahmen von komplexeren Fehlbildungen des Gehirns oder des Rückens (Spina bifida) auftreten. Eine andere Ursache ist eine Blutung in die Hirnkammern während der Schwangerschaft, die nachfolgend zur Verklebung der Hirnwasserwege führt. Bei manchen Fehlbildungsformen ist eine klare Ursache für den Hydrocephalus nicht zu erkennen. Man muss davon ausgehen, dass selbst hochauflösende MRT-Diagnostik (s. unten) bestenfalls einen Teil der möglichen zugrunde liegenden Ursachen für die Ausbildung eines Hydrocephalus anzeigt.
Erworbener Hydrocephalus
Eine sehr häufige früh nach der Geburt erworbene Form des Hydrocephalus ist eine Einblutung in die Hirnkammern, die insbesondere bei Frühgeburtlichkeit auftritt. Hier kommt es ebenfalls zu Verklebungen der natürlichen Hirnwasserabflusswege bzw. Hirnwasserräume.
Andere erworbene und relativ leicht zu erkennende Ursachen für einen Hydrocephalus sind jegliche Formen von Neubildungen (Tumore, Zysten), die zu einer Verlegung der natürlichen Hirnwasserwege führen. Auch nach schweren Hirnhautentzündungen, schweren Schädelhirnverletzungen im Rahmen eines Unfalles oder im Rahmen einer der seltenen Hirnblutungen im Kindesalter kann es zu einer Störung der Hirnwasserpulsation oder des Hirnwasserabflusses kommen.
Bei manchen Formen der Hirnkammerweiterung lässt sich selbst bei aufwändiger Suche keine erkennbare Ursache für die Hirnkammererweiterung finden.
Symptome
Die krankhafte Ansammlung von „Gehirnwasser“ (Liquor), meist in den Hirnkammern, seltener auch außerhalb, geht häufig, zumindest in der Anfangsphase, mit einer schädigenden Steigerung des Druckes im Kopf (Hirndruck = intrakranieller Druck = ICP) einher. Ein deutlich erhöhter intrakranieller Druck (ICP) führt zu sogenannten „Hirndrucksymptomen“ und „Hirndruckzeichen“ und daraus ergibt sich die Notwendigkeit zur Therapie des Hydrocephalus, was in der Regel durch eine Operation geschieht.
Zeichen: Insbesondere die Anfangsphase einer Hirnkammererweiterung (eines Hydrocephalus) ist mit einem erhöhten ICP (intrakranieller Druck = „Hirndruck“) vergesellschaftet. Dies führt bei Kleinkindern, bevor sich deren Schädelnähte verschließen, zu einer übermäßigen Zunahme des Kopfwachstums. Dies kann in den regelmäßigen Messungen des Kopfumfanges durch den Kinderarzt auffallen. Andere Zeichen des erhöhten Hirndruckes sind Doppelbilder bzw. nach unten abweichende Augen (Sonnenuntergangsphänomen).
Symptome: Ein erhöhter ICP („Hirndruck") verursacht meist Kopfschmerzen. Bei kleinen Kindern äußert sich dies oft in einer vermehrten Unruhe, einer vermehrten Reizbarkeit und häufigem Schreien bzw. häufigem Anfassen des Kindes an den Kopf. Bei schwerer wiegendem „Hirndruck“ sind die Kinder vermehrt schläfrig, haben längere Schlafphasen als früher und trinken oft auch schlechter. Schwerwiegender „Hirndruck“ kann zu komaähnlichen Zuständen führen. Vorboten sind auch durch andere Ursachen nicht erklärbare Übelkeit und Erbrechen.
Insbesondere bei einem chronischen Hydrocephalus müssen sich jedoch keine der o.g. Symptome oder Zeichen eines erhöhten ICP („Hirndruck“) zeigen. Davon abzugrenzen sind Krankheitsbilder, bei denen es aufgrund einer Gehirnerkrankung zu einer relativen Schrumpfung der Gehirnmasse kommt (sogenannte Atrophie), und es auf diesem Weg zu einer Erweiterung der Hirnkammern und relativen Zunahme des Gehirnwassers kommt. Hier handelt es sich dann nicht um einen Hydrocephalus. Den „wahren“ vom „vorgetäuschten“ Zustand zu unterscheiden ist immer dann schwierig, wenn offensichtliche „Hirndruckzeichen / Hirndrucksymptome“ fehlen.
Ein wahrer Hydrocephalus ohne offensichtliche Zeichen und Beschwerden sollte unserer Meinung nach behandelt werden.
Diagnostik
Angesichts der vielfältigen Ursachen, einen Hydrocephalus zu entwickeln, und angesichts der Tatsache, dass es sich um ein lebenslanges Problem für das Kind handelt, sollte vor der ersten therapeutischen Entscheidung immer eine sehr ausführliche Diagnostik stehen.
Bildgebende Diagnostik
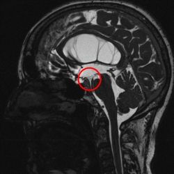
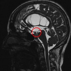
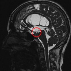
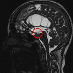
Prinzipiell stehen bei noch offener Fontanelle die Sonographie und die Kernspintomographie (MRT) zur Verfügung. Die Sonographie hat meist eine zu geringe Auflösung um zur Ursachendiagnostik eingesetzt zu werden. Die Computertomographie ist zur Ursachendiagnostik nicht sinnvoll, da der Informationsgehalt zu gering und die Strahlenbelastung für das kindliche Gehirn problematisch ist und vermieden werden soll. Somit ist die MRT die Untersuchung der Wahl. Da die diagnostische Präzision des MRT im Wesentlichen von der Qualität der Untersuchung abhängt, führen wir eine speziell auf die HIrnwasserräume abgestimmte hochauflösende Kernspintomographie, ggf. in Narkose, durch. Die Qualität dieser Aufnahmen unterscheidet sich erheblich von einer sog. „Standard-Kernspintomographie“. Mit diesem Vorgehen gelingt es häufig, zumindest eine erkennbare Ursache für einen Hydrocephalus darzustellen.
Rolle der Sonographie
Gelegentlich lässt sich eine Erhöhung des ICP bei einer Spiegelung des Augenhintergrundes durch den Augenarzt anhand einer sog. Stauungspapille erkennen. Diese Untersuchung ist aber nicht zuverlässig und zeitaufwändig. Wesentlich besser kann eine ICP Erhöhung („Hirndruck“ ) über eine Messung der Weite der Sehnervenscheiden (ONSD) mittels hochauflösendem Ultraschall in wenigen Minuten abgeschätzt werden, wobei eine gewisse Kooperation des Kindes Voraussetzung ist. Dieses Verfahren wird von uns mittlerweile routinemäßig eingesetzt.
Physiologische Diagnostik
Findet sich bei einem Kind eine Erweiterung der Hirnkammern, die vom Aspekt her einem Hydrocephalus gleichzusetzen ist, und sind jedoch keine Zeichen eines erhöhten Hirndruckes und keine sicheren Hinweise auf eine hydrocephalusbedingte Entwicklungsverzögerung vorhanden, muss die Diagnose eines Hydrocephalus vor einer therapeutischen Maßnahme zusätzlich abgesichert bzw. ausgeschlossen werden. Hierfür eignet sich in besonderem Maße die computerisierte ICP Analyse von einer nächtlichen hochauflösenden Aufzeichnung des ICP („Hirndruckes“). In dieser Phase, in der die Kinder schlafen und das ICP Signal frei von sog. „Artefakten“ ist, lassen sich typische ICP-Muster erkennen, die mit hoher diagnostischer Sicherheit mit einem behandlungsbedürftigen Hydrocephalus vergesellschaftet sind. Als eine der ganz wenigen Kliniken weltweit führen wir diese Messung seit einigen Jahren routinemäßig durch und es besteht eine große Erfahrung und Expertise in der Interpretation der nächtlichen ICP Werte.
Hat ein Kind bereits eine sogenanntes „Reservoir“, also eine Kapsel mit einem Schlauch in die Hirnwasserräume, die im Rahmen einer vorherigen Operation an den Hirnkammern angelegt wurde, dann kann über dieses Reservoir eine sogenannte computerisierte „Infusionsstudie“ erfolgen, die ebenfalls eindeutigen Aufschluss über das Vorliegen eines behandlungsbedürftigen Hydrocephalus liefern kann.
Therapie
Grundsätzlich stehen hier drei Optionen zur Verfügung:
Entfernung der Ursache
In wenigen Fällen lässt sich eine klar erkennbare Ursache für den Hydrocephalus wie z.B. ein Tumor oder eine Zyste durch einen operativen Eingriff beseitigen. Damit ist dann der Hydrocephalus ebenfalls und im Idealfalle dauerhaft behandelt und tritt nicht mehr auf.
Umgehung der Ursache
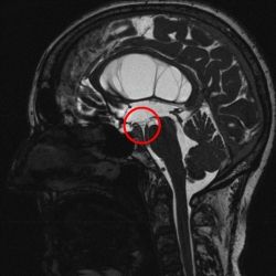
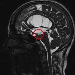
Ist die einzige Ursache des Hydrocephalus eine erworbene, umschriebene Abflussbehinderung des Hirnwassers im Bereich des sog. Aquädukt, der 4. Hirnkammer oder der Ausflussöffnung aus der 4. Hirnkammer, so kann diese Abflussbehinderung durch eine „innere Umleitung“ durch Eröffnung des Bodens des 3. Ventrikels umgangen werden.
Das hierfür verwendete Verfahren ist die endoskopische Ventrikulozisternostomie (englisch endoscopic third ventriculostomy = ETV). Hierbei wird ein feines Endoskop in die erweiterten Hirnkammern vorgeschoben und damit am Boden des 3. Ventrikels in einem Areal, welches keine Funktion enthält, unter Sicht meist mit einem Speziallaser eine Öffnung geschaffen.


Unter der Voraussetzung, dass das Hirnwasser aus den hier liegenden Hirnwasserräumen, den sogenannten „basalen Zisternen“, auch frei abfließen kann, und die o.g. Abflussbehinderung die einzige Ursache des Hydrocephalus darstellt, ist die ETV ein sehr elegantes und dann sehr erfolgreiches Verfahren.
Insbesondere bei angeborenem Hydrocephalus und Kindern unter einem Jahr sind eine freie Abflussbedingungen aus den „basalen Zisternen“ oft nicht gegeben, auch bei Verklebung nach frühkindlicher Hirnblutung oder nach Hirnhautentzündung ist dies der Fall. In diesen Fällen ist die Erfolgsrate der ETV bestenfalls 20%. Als Faustregel gilt: Bei Kindern unter einem Jahr mit angeborenem Hydrozephalus und bei Zustand nach Hirnblutung hat eine ETV eine zu geringe Erfolgsaussicht. Da eine funktionierende ETV jedoch alle Probleme, die mit einem Shuntsystem (s. unten) vergesellschaftet sind, elegant umgeht, geben wir diesem Verfahren immer dann den Vorzug, wenn es erfolgversprechend erscheint.
Jedoch kann durch eine ETV ein zuvor druckaktiver Hydrocephalus in einen chronisch kompensierten Hydrocephalus umgewandelt werden. Der vermeintliche Erfolg des Verschwindens der offensichtlichen Symptome und Zeichen des erhöhten ICP („Hirndruck“) stellt sich im Verlauf dann als nicht ausreichend heraus. Deshalb beobachten wir Kinder nach ETV genauso intensiv nach wie Kinder mit Shuntanlage und führen ggf. weitere Diagnostik durch, um einen chronischen Hydrocephalus als Ergebnis der ETV auszuschließen.
Ableitung von Hirnwasser - Shunttherapie
Die gängigste Methode zur Behandlung des Hydrocephalus ist die Anlage eines sog. Hydrocephalus-Shuntsystems Dieses besteht aus a) einem Ventrikelkatheter, einem kleinen Schlauch, der in einer Hirnkammer zu liegen kommt, b) einem sog. Shuntventil, welches den Hirnwasserabfluss regeln kann, und c) einem ableitenden Katheter, der in der Regel in der Bauchhöhle oder selten im Vorhof des Herzens zu liegen kommt.
Das Hydrocephalus-Shuntsystem behandelt, ebenso wie die ETV, nicht die Ursache, sondern leitet Hirnwasser aus den inneren Hirnräumen außerhalb des Kopfes ab. Damit wird ein komplexes gestörtes System innerhalb des Kopfes durch ein relativ simples System mit technischen Limitationen nach außen geöffnet. Diese Aussage gilt, obwohl wir ein sehr teures, technisch ausgereiftes Hochqualitätsprodukt als Shuntsystem einsetzen (s.u.)
Das bedingt, dass die Hydrocephalus-Therapie mittels eines Shuntsystems nicht frei von Problemen ist und einer besonders aufmerksamen und engen Überwachung bedarf. Nachfolgeoperationen sind zu erwarten. Trotz aller Einschränkungen, die sich aus der Therapie mit dem Hydrocephalus-Shuntsystem ergeben, handelt es sich um eine segensreiche Methode, die im Idealfall eine den Möglichkeiten des Kindes entsprechende Entwicklung unabhängig von der Problematik des Hydrocephalus ermöglicht.
- Grundlagen der Shunttherapie
Ein Shuntsystem sollte idealerweise eine normale Entwicklung des Kindes ermöglichen und alle durch den Hydrocephalus bedingten negativen Einflüsse vom Kind fernhalten. Der Ventrikelkatheter (Schlauch in der Hirnkammer) sollte idealerweise so platziert werden, dass er im Laufe des Kopfwachstums nicht aus der Hirnkammer herausrutscht und immer fern der Wände der Hirnkammer zu liegen kommt, so dass diese den Katheter nicht berühren und Gewebe in den Katheter einwachsen kann. Das Ventil, welches den Durchfluss des Hirnwassers regelt, sollte idealerweise den Druck im Kopf so regulieren, dass er der altersentsprechenden Norm entspricht, und sollte zudem die Körperposition des Kindes und die damit bedingten hydrostatischen Druckschwankungen im Shuntsystem kompensieren. In aufrechter Körperhaltung entsteht in einem Shuntsystem aufgrund des Höhenunterschiedes zwischen Kopf und Bauchraum ein Sog, der dazu führt, dass vermehrt Wasser aus dem Kopf in den Bauch abfließt (Überdrainage). Sogenannte gravitationsgesteuerte Ventileinheiten können angepasst an die Körperlage ihren Durchflusswiderstand erhöhen und somit der Überdrainage entgegen wirken.
Der ableitende Katheter des Shuntsystems sollte idealerweise so platziert sein, dass er spannungsfrei im Laufe des Größenwachstums verbleibt und lang genug ist, um die gesamte Wachstumslänge des Kindes abzudecken. Er sollte also ungekürzt implantiert werden.
Da es kein ideales Shuntsystem gibt, welches eine völlig physiologische, also den natürlichen Bedingungen entsprechende, Kontrolle der Hirnwassermengen und der intrakraniellen Druckverhältnisse ermöglicht, ist die Shunt-Therapie immer mit Kompromissen vergesellschaftet. Komplikationsmöglichkeiten durch Überdrainage und Unterdrainage, durch Fehllage und Verstopfung von Komponenten des Shuntsystems sind gegeben. Naturgemäß werden deshalb in den verschiedenen Kliniken unterschiedliche Shuntsysteme zum Einsatz kommen.
Wir verwenden eine teures „programmierbares“ Shuntventil aus Titan, dessen Druckstufe sich variabel einstellen lässt, und zusätzlich eine Gravitationseinheit besitzt, die in aufrechter Körperposition den Widerstand im System stark erhöht und so eine Überdrainage weitgehend zu verhindern sucht. Das Shuntsystem verstellt sich nicht im Rahmen von MRT-Kontrolluntersuchungen und ist von außen ohne die Anfertigung von Röntgenbildern überprüfbar.
Nachsorge
Nachsorge nach Hydrocephalus-Operationen
Ein Kind, welches eine ETV oder ein Hydrocephalus-Shuntsystem erhalten hat, bedarf der sorgfältigen und lebenslangen Überwachung, um ein möglichst adäquates Funktionieren der Ventrikulozisternostomie bzw des Shuntssystems sicherzustellen.
Hierfür bieten wir eine interdisziplinäre Hydrocephalus-Sprechstunde zusammen mit der Neuropädiatrie in der Kinderklinik an, in die die Kinder in immer länger werdenden Abständen einbestellt werden. Unmittelbar nach einer Operation erfolgt eine rein chirurgische Nachkontrolle und ggf. erste Nachjustierung der Shunteinstellung innerhalb von 2 bis 8 Wochen nach Entlassung. Die anschließende Weiterbetreuung erfolgt dann in der o.g. Hydrocephalus-Sprechstunde der Neuropädiatrie. Neben der Kontrolle von Kopfumfang und Hirnkammerweite wird die Entwicklung der Kinder in allen Bereichen untersucht. Ein besonderes Augenmerk legen wir auf die Erkennung einer schleichenden ETV oder Shunt-Unterfunktion, die sich ohne klinische Symptome oder Zeichen entwickeln kann. Besonders hilfreich hierfür ist die computerisierte Shuntinfusionsstudie bei liegendem Shuntsystem oder Reservoirinfusionsstudie bei Zustand nach ETV, die unter Vermeidung einer Shuntoperation eine klare Aussage zur Funktionsfähigkeit eines Shunts bzw. der ETV treffen kann. Hierfür sind keine Röntgenstrahlen und keine radioaktiven Substanzen notwendig. Kleine Kinder müssen jedoch, da man für diese Untersuchung ruhig liegen bleiben muss, sediert werden. Dies erfolgt über die interdisziplinäre Tagestation 11.
Hydrocephalus-Sprechstunde
Zusammen mit der Neuropädiatrie in der Kinderklinik bieten wir eine interdisziplinäre Sprechstunde an, in die die Kinder in immer länger werdenden Abständen einbestellt werden.
Neuropädiatrische Ambulanz im Sozialpädiatrischen Zentrum (SPZ)Siehe auch
Zertifikate und Verbände

Focus: Top Nationales Krankenhaus 2025

Stern: Deutschlands Ausgezeichnete Arbeitgeber Pflege 24/25

Qualitätspartnerschaft mit der PKV

Erfolgsfaktor Familie

Die Altersvorsorge für den Öffentlichen Dienst